JavaScript is disabled in your browser. Please enable JavaScript to view this website.
AB7795

Anti-Neurofilament heavy polypeptide antibody [NF-01]

4

(5 Reviews)

|

(34 Publications)

Mouse Monoclonal Neurofilament heavy polypeptide antibody. Suitable for Flow Cyt, IHC-P and reacts with Human samples. Cited in 34 publications. Immunogen corresponding to Native Full Length Protein corresponding to Pig NEFH.

View Alternative Names

KIAA0845, NFH, NEFH, Neurofilament heavy polypeptide, NF-H, 200 kDa neurofilament protein, Neurofilament triplet H protein

2 Images
Flow Cytometry - Anti-Neurofilament heavy polypeptide antibody [NF-01] (AB7795)
  • Flow Cyt

Unknown

Flow Cytometry - Anti-Neurofilament heavy polypeptide antibody [NF-01] (AB7795)

Overlay histogram showing SH-SY5Y cells stained with ab7795 (red line). The cells were fixed with 4% paraformaldehyde (10 min) and then permeabilized with 0.1% PBS-Tween for 20 min. The cells were then incubated in 1x PBS / 10% normal goat serum / 0.3M glycine to block non-specific protein-protein interactions followed by the antibody (ab7795, 1μg/1x106 cells) for 30 min at 22°C. The secondary antibody used was a goat anti-mouse DyLight® 488 (IgG; H+L) (ab96879) at 1/500 dilution for 30 min at 22°C. Isotype control antibody (black line) was mouse IgG1 [ICIGG1] (ab91353 2μg/1x106 cells) used under the same conditions. Acquisition of >5,000 events was performed. This antibody gave a positive signal in SH-SY5Y cells fixed with 80% methanol (5 min)/permeabilized with 0.1% PBS-Tween for 20 min used under the same conditions.

Immunohistochemistry (Formalin/PFA-fixed paraffin-embedded sections) - Anti-Neurofilament heavy polypeptide antibody [NF-01] (AB7795)
  • IHC-P

Supplier Data

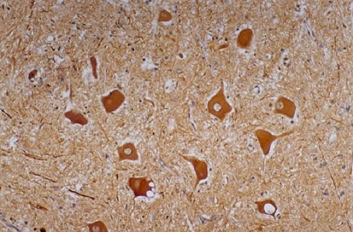
Immunohistochemistry (Formalin/PFA-fixed paraffin-embedded sections) - Anti-Neurofilament heavy polypeptide antibody [NF-01] (AB7795)

Immunohistochemical analysis of paraffin-embedded human cerebellum tissue sections labelling Neurofilament heavy polypeptide protein with ab7795 at 5 μL.

Key facts

Host species

Mouse

Clonality

Monoclonal

Clone number

NF-01

Isotype

IgG1

Light chain type

unknown

Carrier free

No

Reacts with

Human

Applications

Flow Cyt, IHC-P

applications

Immunogen

Native Full Length Protein corresponding to Pig NEFH.

P12037

Specificity

This antibody recognizes a phosphorylated epitope on heavy neurofilament protein (210 kDa) of various species.

Reactivity data

{ "title": "Reactivity Data", "filters": { "stats": ["", "Species", "Dilution Info", "Notes"], "tabs": { "all-applications": {"fullname" : "All Applications", "shortname": "All Applications"}, "FlowCyt" : {"fullname" : "Flow Cytometry", "shortname":"Flow Cyt"}, "IHCP" : {"fullname" : "Immunohistochemistry (Formalin/PFA-fixed paraffin-embedded sections)", "shortname":"IHC-P"} }, "product-promise": { "all": "all", "testedAndGuaranteed": "tested", "guaranteed": "expected", "predicted": "predicted", "notRecommended": "not-recommended" } }, "values": { "Human": { "FlowCyt-species-checked": "testedAndGuaranteed", "FlowCyt-species-dilution-info": "1 µg for 10^6 Cells", "FlowCyt-species-notes": "<p><a href='/en-us/products/primary-antibodies/mouse-igg1-kappa-monoclonal-15-6e10a7-isotype-control-ab170190'>ab170190</a> - Mouse monoclonal IgG1, is suitable for use as an isotype control with this antibody.</p>", "IHCP-species-checked": "testedAndGuaranteed", "IHCP-species-dilution-info": "1/5 - 1/10", "IHCP-species-notes": "<p></p>" }, "Mammals": { "FlowCyt-species-checked": "predicted", "FlowCyt-species-dilution-info": "", "FlowCyt-species-notes": "", "IHCP-species-checked": "predicted", "IHCP-species-dilution-info": "", "IHCP-species-notes": "" } } }

Properties and storage information

Form
Liquid
Purification technique
Affinity purification Protein A
Purification notes
>95 % pure (by PAGE)
Storage buffer
pH: 7.4 Preservative: 0.097% Sodium azide Constituents: PBS
Shipped at conditions
Blue Ice
Appropriate short-term storage duration
1-2 weeks
Appropriate short-term storage conditions
+4°C
Appropriate long-term storage conditions
-20°C
Aliquoting information
Upon delivery aliquot
Storage information
Avoid freeze / thaw cycle

Supplementary information

This supplementary information is collated from multiple sources and compiled automatically.

Neurofilament heavy polypeptide often referred to as NF-H or neurofilament heavy chain plays an important role in the structural integrity of neurons. This protein is a critical component of the cytoskeleton in neurons consisting of an approximate molecular mass of 200 kDa. It is predominantly expressed in the neuronal axons where it contributes to the assembly and stability of neurofilament structures. NF-H is essential for maintaining axonal diameter and for proper conduction of electrical impulses along nerve fibers.
Biological function summary

This polypeptide participates in the formation of neurofilament a complex structure that includes other neurofilament proteins like the neurofilament light (NF-L) and neurofilament medium (NF-M). These proteins form a stable scaffold within the axon aiding in neuronal growth and repair. The phosphorylation of NF-H modulates its interactions within the neurofilament network influencing axonal transport processes and dynamics which are vital for neuron function and survival.

Pathways

Neurofilament heavy polypeptide is integral to the axonal transport pathway important in conveying molecules between the neuronal cell body and the synaptic terminals. Through its interactions with microtubules and motor proteins NF-H facilitates the movement of organelles and neurotransmitters. It has significant associations with proteins involved in the ubiquitin-proteasome system reflecting its role in maintaining neuronal homeostasis and proteostasis essential in neuronal development and function.

Neurofilament heavy polypeptide serves as an important biomarker for neurodegenerative disorders such as Amyotrophic Lateral Sclerosis (ALS) and Alzheimer's disease. NF-H especially in phosphorylated form accumulates in conditions of axonal injury or degeneration. It often interacts with tau protein in Alzheimer's pathology forming neurofibrillary tangles. Elevated levels of NF-H in cerebrospinal fluid or blood can indicate neuronal damage offering insights into disease progression and potential targets for therapeutic intervention.

Product protocols

For this product, it's our understanding that no specific protocols are required. You can visit:

Target data

Neurofilaments usually contain three intermediate filament proteins : NEFL, NEFM, and NEFH which are involved in the maintenance of neuronal caliber. NEFH has an important function in mature axons that is not subserved by the two smaller NF proteins. May additionally cooperate with the neuronal intermediate filament proteins PRPH and INA to form neuronal filamentous networks (By similarity).
See full target information NEFH

Publications (34)

Recent publications for all applications. Explore the full list and refine your search

Nature cell biology 26:378-392 PubMed38429475

2024

Combinatorial selective ER-phagy remodels the ER during neurogenesis.

Applications

Unspecified application

Species

Unspecified reactive species

Melissa J Hoyer,Cristina Capitanio,Ian R Smith,Julia C Paoli,Anna Bieber,Yizhi Jiang,Joao A Paulo,Miguel A Gonzalez-Lozano,Wolfgang Baumeister,Florian Wilfling,Brenda A Schulman,J Wade Harper

Nature biotechnology 42:1836-1843 PubMed38253880

2024

Kirigami electronics for long-term electrophysiological recording of human neural organoids and assembloids.

Applications

Unspecified application

Species

Unspecified reactive species

Xiao Yang,Csaba Forró,Thomas L Li,Yuki Miura,Tomasz J Zaluska,Ching-Ting Tsai,Sabina Kanton,James P McQueen,Xiaoyu Chen,Valentina Mollo,Francesca Santoro,Sergiu P Pașca,Bianxiao Cui

Neuroscience letters 810:137330 PubMed37330193

2023

Biochemical analyses of tau and other neuronal markers in the submandibular gland and frontal cortex across stages of Alzheimer disease.

Applications

Unspecified application

Species

Unspecified reactive species

Yamah Hamsafar,Qian Chen,Alexander D Borowsky,Thomas G Beach,Geidy E Serrano,Lucia I Sue,Charles H Adler,Douglas G Walker,Brittany N Dugger

Journal of neural engineering 20: PubMed36920156

2023

Calcium imaging and analysis of the jugular-nodose ganglia enables identification of distinct vagal sensory neuron subsets.

Applications

Unspecified application

Species

Unspecified reactive species

Tomás S Huerta,Bilal Haider,Richard Adamovich-Zeitlin,Adrian C Chen,Saher Chaudhry,Theodoros P Zanos,Sangeeta S Chavan,Kevin J Tracey,Eric H Chang

International journal of molecular sciences 23: PubMed35806005

2022

Human IL12p80 Promotes Murine Oligodendrocyte Differentiation to Repair Nerve Injury.

Applications

Unspecified application

Species

Unspecified reactive species

Yu-Fen Chung,Jong-Hang Chen,Ching-Wen Li,Hui-Yu Hsu,Ya-Ping Chen,Chiao-Chan Wang,Ing-Ming Chiu

PloS one 16:e0258802 PubMed34673814

2021

The clinico-pathologic profile of primary and recurrent orbital/periorbital plexiform neurofibromas (OPPN).

Applications

Unspecified application

Species

Unspecified reactive species

Mohammad Alabduljabbar,Diego Strianese,Osama Al-Sheikh,Hind M Alkatan,Hailah Al-Hussain,Azza M Y Maktabi,Rajiv Khandekar,Malak Abedalthagafi,Deepak P Edward

Journal of pineal research 71:e12771 PubMed34585785

2021

Melatonin pretreatment alleviates the long-term synaptic toxicity and dysmyelination induced by neonatal Sevoflurane exposure via MT1 receptor-mediated Wnt signaling modulation.

Applications

Unspecified application

Species

Unspecified reactive species

Lirong Liang,Tian Zeng,Youyi Zhao,Rui Lu,Baolin Guo,Rougang Xie,Wenjing Tang,Li Zhang,Zirui Mao,Xinyu Yang,Shengxi Wu,Yazhou Wang,Hui Zhang

Biomaterials 275:120982 PubMed34214785

2021

Electrical stimulation of human neural stem cells via conductive polymer nerve guides enhances peripheral nerve recovery.

Applications

Unspecified application

Species

Unspecified reactive species

Shang Song,Kelly W McConnell,Danielle Amores,Alexa Levinson,Hannes Vogel,Marco Quarta,Thomas A Rando,Paul M George

Scientific reports 11:7834 PubMed33837260

2021

Endovascular repair and open repair surgery of thoraco-abdominal aortic aneurysms cause drastically different types of spinal cord injury.

Applications

Unspecified application

Species

Unspecified reactive species

Hamdy Awad,Esmerina Tili,Gerard Nuovo,Hesham Kelani,Mohamed Ehab Ramadan,Jim Williams,Katherine Binzel,Jayanth Rajan,David Mast,Alexander A Efanov,Kareem B Rasul,Sarah Moore,Michele Basso,Adel Mikhail,Mostafa Eltobgy,Raphael A Malbrue,Eric Bourekas,Michael Oglesbee,Valerie Bergdall,Michael Knopp,Jean-Jacques Michaille,Hosam El-Sayed

Advanced biology 5:e2000223 PubMed33729694

2021

Electrophysiological Phenotype Characterization of Human iPSC-Derived Neuronal Cell Lines by Means of High-Density Microelectrode Arrays.

Applications

Unspecified application

Species

Unspecified reactive species

Silvia Ronchi,Alessio Paolo Buccino,Gustavo Prack,Sreedhar Saseendran Kumar,Manuel Schröter,Michele Fiscella,Andreas Hierlemann
View all publications

Product promise

We are committed to supporting your work with high-quality reagents, and we're here for you every step of the way. In the unlikely event that one of our products does not perform as expected, you're protected by our Product Promise.
For full details, please see our Terms & Conditions

Please note: All products are 'FOR RESEARCH USE ONLY. NOT FOR USE IN DIAGNOSTIC OR THERAPEUTIC PROCEDURES'.

For licensing inquiries, please contact partnerships@abcam.com