JavaScript is disabled in your browser. Please enable JavaScript to view this website.
AB218137

Anti-Neuroglycan C antibody

Be the first to review this product! Submit a review

|

(1 Publication)

Rabbit Polyclonal Neuroglycan C antibody. Suitable for IHC-P, WB and reacts with Rat, Mouse, Human samples. Cited in 1 publication. Immunogen corresponding to Synthetic Peptide within Human CSPG5 aa 350-450 conjugated to Keyhole Limpet Haemocyanin.

View Alternative Names

CALEB, NGC, CSPG5, Chondroitin sulfate proteoglycan 5, Acidic leucine-rich EGF-like domain-containing brain protein, Neuroglycan C

3 Images
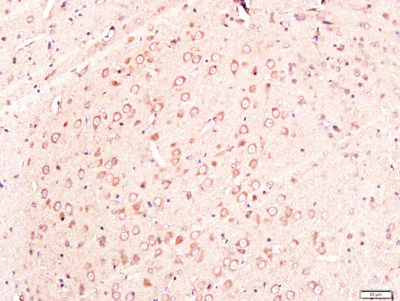
Immunohistochemistry (Formalin/PFA-fixed paraffin-embedded sections) - Anti-Neuroglycan C antibody (AB218137)
  • IHC-P

Supplier Data

Immunohistochemistry (Formalin/PFA-fixed paraffin-embedded sections) - Anti-Neuroglycan C antibody (AB218137)

Immunohistochemical analysis of formalin-fixed, paraffin-embedded rat brain tissue labeling Neuroglycan C with ab218137 at 1/300 dilution, followed by conjugation to the secondary antibody and DAB staining.

Western blot - Anti-Neuroglycan C antibody (AB218137)
  • WB

Supplier Data

Western blot - Anti-Neuroglycan C antibody (AB218137)

All lanes:

Western blot - Anti-Neuroglycan C antibody (ab218137) at 1/300 dilution

All lanes:

Human U251 cell lysate

Secondary

All lanes:

onjugated secondary antibody at 1/10000 dilution

Predicted band size: 60 kDa

false

Western blot - Anti-Neuroglycan C antibody (AB218137)
  • WB

Supplier Data

Western blot - Anti-Neuroglycan C antibody (AB218137)

All lanes:

Western blot - Anti-Neuroglycan C antibody (ab218137) at 1/300 dilution

All lanes:

mouse cerebrum lysate

Secondary

All lanes:

conjugated secondary antibody at 1/10000 dilution

Predicted band size: 60 kDa

false

Key facts

Host species

Rabbit

Clonality

Polyclonal

Isotype

IgG

Carrier free

No

Reacts with

Mouse, Rat, Human

Applications

WB, IHC-P

applications

Immunogen

Synthetic Peptide within Human CSPG5 aa 350-450 conjugated to Keyhole Limpet Haemocyanin. The exact immunogen used to generate this antibody is proprietary information.

O95196

Reactivity data

{ "title": "Reactivity Data", "filters": { "stats": ["", "Species", "Dilution Info", "Notes"], "tabs": { "all-applications": {"fullname" : "All Applications", "shortname": "All Applications"}, "IHCP" : {"fullname" : "Immunohistochemistry (Formalin/PFA-fixed paraffin-embedded sections)", "shortname":"IHC-P"}, "WB" : {"fullname" : "Western blot", "shortname":"WB"} }, "product-promise": { "all": "all", "testedAndGuaranteed": "tested", "guaranteed": "expected", "predicted": "predicted", "notRecommended": "not-recommended" } }, "values": { "Human": { "IHCP-species-checked": "guaranteed", "IHCP-species-dilution-info": "", "IHCP-species-notes": "", "WB-species-checked": "testedAndGuaranteed", "WB-species-dilution-info": "1/100 - 1/1000", "WB-species-notes": "<p></p>" }, "Mouse": { "IHCP-species-checked": "guaranteed", "IHCP-species-dilution-info": "", "IHCP-species-notes": "", "WB-species-checked": "testedAndGuaranteed", "WB-species-dilution-info": "1/100 - 1/1000", "WB-species-notes": "<p></p>" }, "Rat": { "IHCP-species-checked": "testedAndGuaranteed", "IHCP-species-dilution-info": "1/100 - 1/500", "IHCP-species-notes": "<p></p> Perform heat-mediated antigen retrieval with citrate buffer pH 6 before commencing with IHC staining protocol.", "WB-species-checked": "guaranteed", "WB-species-dilution-info": "", "WB-species-notes": "" } } }

Properties and storage information

Form
Liquid
Purification technique
Affinity purification Protein A
Storage buffer
pH: 7.4 Preservative: 0.02% Proclin 300 Constituents: 50% Glycerol (glycerin, glycerine), 48.98% TBS, 1X, 1% BSA
Shipped at conditions
Blue Ice
Appropriate short-term storage duration
1-2 weeks
Appropriate short-term storage conditions
+4°C
Appropriate long-term storage conditions
-20°C
Aliquoting information
Upon delivery aliquot
Storage information
Avoid freeze / thaw cycle

Supplementary information

This supplementary information is collated from multiple sources and compiled automatically.

Neuroglycan C also known as CSPG5 or NG2 functions as a type I transmembrane chondroitin sulfate proteoglycan. It has a molecular mass of about 120 kDa when modified. Neuroglycan C is expressed mainly in the central nervous system specifically in neural precursor cells and neurons. It contains an extracellular domain that interacts with the cellular environment a single transmembrane domain and an intracellular region potentially involved in signaling.
Biological function summary

This protein plays a role in neurodevelopment and plasticity. It belongs to a family of proteoglycans that assist in cell adhesion and migration. Neuroglycan C is part of a complex involving chondroitin sulfate side chains and interacts with extracellular matrix components. This interaction supports neuronal growth and axon guidance which are essential for the formation and function of neural networks.

Pathways

More insights arise in neural development and synaptic plasticity. Neuroglycan C engages in signaling pathways like the MAPK/ERK and PI3K/Akt which are necessary for cell proliferation and survival. These pathways involve other proteins such as ERK Akt and integrins suggesting cooperative roles in regulating cell signaling and communication.

Researchers have linked Neuroglycan C to neurodevelopmental disorders and certain gliomas. Its altered expression or mutations could contribute to diseases like schizophrenia and glioblastoma. Neuroglycan C interacts with proteins implicated in these conditions such as EGFR in glioblastoma potentially affecting tumor growth and invasive behavior. Understanding these connections could offer insights into therapeutic approaches.

Product protocols

For this product, it's our understanding that no specific protocols are required. You can visit:

Target data

May function as a growth and differentiation factor involved in neuritogenesis. May induce ERBB3 activation.
See full target information CSPG5

Publications (1)

Recent publications for all applications. Explore the full list and refine your search

Artificial cells, nanomedicine, and biotechnology 47:3350-3358 PubMed31387394

2019

Silencing circular RNA circZNF609 restrains growth, migration and invasion by up-regulating microRNA-186-5p in prostate cancer.

Applications

Unspecified application

Species

Unspecified reactive species

Chengjun Jin,Weiming Zhao,Zijian Zhang,Wanpeng Liu
View all publications

Product promise

We are committed to supporting your work with high-quality reagents, and we're here for you every step of the way. In the unlikely event that one of our products does not perform as expected, you're protected by our Product Promise.
For full details, please see our Terms & Conditions

Please note: All products are 'FOR RESEARCH USE ONLY. NOT FOR USE IN DIAGNOSTIC OR THERAPEUTIC PROCEDURES'.

For licensing inquiries, please contact partnerships@abcam.com