JavaScript is disabled in your browser. Please enable JavaScript to view this website.
AB273465

Anti-Neurogranin antibody [NG22] - BSA and Azide free

Be the first to review this product! Submit a review

|

(1 Publication)

Mouse Recombinant Monoclonal Neurogranin antibody. Carrier free. Suitable for IHC-P, WB and reacts with Human samples. Cited in 1 publication.

View Alternative Names

Neurogranin, Ng, RC3, NRGN

3 Images
Immunohistochemistry (Formalin/PFA-fixed paraffin-embedded sections) - Anti-Neurogranin antibody [NG22] - BSA and Azide free (AB273465)
  • IHC-P

Unknown

Immunohistochemistry (Formalin/PFA-fixed paraffin-embedded sections) - Anti-Neurogranin antibody [NG22] - BSA and Azide free (AB273465)

This data was developed using ab273444 the same antibody clone in a different buffer formulation.

Immunohistochemical analysis of paraffin-embedded human cerebrum tissue labeling Neurogranin with ab273444 at 1/10000 (0.111 ug/ml) dilution followed by a ready to use LeicaDS9800 (Bond® Polymer Refine Detection) was used. Positive staining on human cererbum. The section was incubated with ab273444 for 10 mins at room temperature. The immunostaining was performed on a Leica Biosystems BOND® RX instrument. Counterstained with Hematoxylin.

Secondary antibody only control : Secondary antibody is a ready to use LeicaDS9800 (Bond® Polymer Refine Detection) was used.

Heat mediated antigen retrieval with Citrate buffer (pH 6.0, epitope retrieval solution 1) for 20 mins.

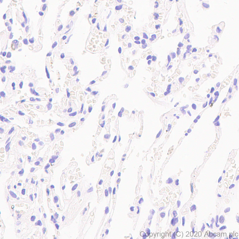
Immunohistochemistry (Formalin/PFA-fixed paraffin-embedded sections) - Anti-Neurogranin antibody [NG22] - BSA and Azide free (AB273465)
  • IHC-P

Unknown

Immunohistochemistry (Formalin/PFA-fixed paraffin-embedded sections) - Anti-Neurogranin antibody [NG22] - BSA and Azide free (AB273465)

This data was developed using ab273444 the same antibody clone in a different buffer formulation.

Immunohistochemical analysis of paraffin-embedded human lung tissue labeling Neurogranin with ab273444 at 1/10000 (0.111 ug/ml) dilution followed by a ready to use LeicaDS9800 (Bond® Polymer Refine Detection) was used. Negative control : No staining on human lung. The section was incubated with ab273444 for 10 mins at room temperature. The immunostaining was performed on a Leica Biosystems BOND® RX instrument. Counterstained with Hematoxylin.

Secondary antibody only control : Secondary antibody is a ready to use LeicaDS9800 (Bond® Polymer Refine Detection) was used.

Heat mediated antigen retrieval with Citrate buffer (pH 6.0, epitope retrieval solution 1) for 20 mins.

Western blot - Anti-Neurogranin antibody [NG22] - BSA and Azide free (AB273465)
  • WB

Supplier Data

Western blot - Anti-Neurogranin antibody [NG22] - BSA and Azide free (AB273465)

This data was developed using ab273444 the same antibody clone in a different buffer formulation.

Negative control : Human lung (PMID : 20665622).
The molecular weight observed is consistent with what has been described in the literature (PMID : 20875798).

Blocking/Dilution buffer : 5% NFDM/TBST.

All lanes:

Western blot - Anti-Neurogranin antibody [NG22] (<a href='/en-us/products/primary-antibodies/neurogranin-antibody-ng22-ab273444'>ab273444</a>) at 1/1000 dilution

Lane 1:

Human brain lysate at 10 µg

Lane 2:

Human lung lysate at 10 µg

Secondary

All lanes:

Peroxidase-Conjugated Goat anti-Mouse IgG (H+L) at 1/10000 dilution

Predicted band size: 8 kDa

false

Exposure time: 37s

Key facts

Host species

Mouse

Clonality

Monoclonal

Clone number

NG22

Isotype

IgG1

Carrier free

Yes

Reacts with

Human

Applications

IHC-P, WB

applications

Immunogen

The exact immunogen used to generate this antibody is proprietary information.

Reactivity data

{ "title": "Reactivity Data", "filters": { "stats": ["", "Species", "Dilution Info", "Notes"], "tabs": { "all-applications": {"fullname" : "All Applications", "shortname": "All Applications"}, "IHCP" : {"fullname" : "Immunohistochemistry (Formalin/PFA-fixed paraffin-embedded sections)", "shortname":"IHC-P"}, "WB" : {"fullname" : "Western blot", "shortname":"WB"}, "IHCFr" : {"fullname" : "Immunohistochemistry (Frozen sections)", "shortname":"IHC-Fr"}, "ICCIF" : {"fullname" : "Immunocytochemistry/ Immunofluorescence", "shortname":"ICC/IF"} }, "product-promise": { "all": "all", "testedAndGuaranteed": "tested", "guaranteed": "expected", "predicted": "predicted", "notRecommended": "not-recommended" } }, "values": { "Human": { "IHCP-species-checked": "testedAndGuaranteed", "IHCP-species-dilution-info": "", "IHCP-species-notes": "<p></p>", "WB-species-checked": "testedAndGuaranteed", "WB-species-dilution-info": "", "WB-species-notes": "<p></p>", "IHCFr-species-checked": "notRecommended", "IHCFr-species-dilution-info": "", "IHCFr-species-notes": "<p></p>", "ICCIF-species-checked": "notRecommended", "ICCIF-species-dilution-info": "", "ICCIF-species-notes": "<p></p>" }, "Mouse": { "IHCP-species-checked": "notRecommended", "IHCP-species-dilution-info": "", "IHCP-species-notes": "", "WB-species-checked": "notRecommended", "WB-species-dilution-info": "", "WB-species-notes": "<p></p>", "IHCFr-species-checked": "notRecommended", "IHCFr-species-dilution-info": "", "IHCFr-species-notes": "<p></p>", "ICCIF-species-checked": "notRecommended", "ICCIF-species-dilution-info": "", "ICCIF-species-notes": "<p></p>" }, "Rat": { "IHCP-species-checked": "notRecommended", "IHCP-species-dilution-info": "", "IHCP-species-notes": "", "WB-species-checked": "notRecommended", "WB-species-dilution-info": "", "WB-species-notes": "<p></p>", "IHCFr-species-checked": "notRecommended", "IHCFr-species-dilution-info": "", "IHCFr-species-notes": "<p></p>", "ICCIF-species-checked": "notRecommended", "ICCIF-species-dilution-info": "", "ICCIF-species-notes": "" } } }

Product details

ab273465 is the carrier-free version of ab273444.

What are the advantages of a recombinant monoclonal antibody?
This product is a recombinant monoclonal antibody, which offers several advantages including:

  • - High batch-to-batch consistency and reproducibility
  • - Improved sensitivity and specificity
  • - Long-term security of supply
  • - Animal-free batch production

For more information, read more on recombinant antibodies.

Want a custom formulation?
This antibody clone is manufactured by Abcam. If you require a custom buffer formulation or conjugation for your experiments, please contact orders@abcam.com

Conjugation ready
Our carrier-free antibodies are typically supplied in a PBS-only formulation, purified and free of BSA, sodium azide and glycerol. This conjugation-ready format is designed for use with fluorochromes, metal isotopes, oligonucleotides, and enzymes, which makes them ideal for antibody labelling, functional and cell-based assays, flow-based assays (e.g. mass cytometry) and Multiplex Imaging applications.

Use our conjugation kits for antibody conjugates that are ready-to-use in as little as 20 minutes with 1 minute hands-on-time and 100% antibody recovery: available for fluorescent dyes, HRP, biotin and gold.

Compatibility
This product is compatible with the Maxpar® Antibody Labeling Kit from Fluidigm, without the need for antibody preparation. Maxpar® is a trademark of Fluidigm Canada Inc.

Properties and storage information

Form
Liquid
Purification technique
Affinity purification Protein A
Storage buffer
Constituents: PBS
Shipped at conditions
Blue Ice
Appropriate short-term storage conditions
+4°C
Appropriate long-term storage conditions
+4°C
Storage information
Do Not Freeze

Supplementary information

This supplementary information is collated from multiple sources and compiled automatically.

Neurogranin also known as NRGN is a small neuronal protein with an approximate molecular mass of 7.6 kDa. It is mainly expressed in the brain predominantly within the dendrites of neurons. Neurogranin binds to calmodulin in the presence of calcium playing an important role in synaptic plasticity. This protein acts as a kinase substrate influencing signal transduction pathways tied to learning and memory. Due to its specific expression pattern neurogranin serves as a significant molecular marker for studying the nervous system.
Biological function summary

Neurogranin functions as a modulator in cerebellar signaling and synaptic transmission. It influences calcium-calmodulin signaling facilitating the activation of proteins important in the central nervous system. Neurogranin does not form part of a multi-protein complex but interacts closely with calmodulin to regulate downstream signal cascades. These interactions emphasize its fundamental role in modulating processes that influence cognitive functions like learning and memory.

Pathways

Neurogranin significantly impacts the calcium signaling pathway and contributes to the regulation of long-term potentiation. It closely associates with proteins such as Protein Kinase C (PKC) and calmodulin-dependent protein kinases which are instrumental in these pathways. By modulating these essential signaling routes neurogranin affects intracellular signals that are vital for synaptic plasticity and enhanced neural communication.

Neurogranin has a noted involvement in conditions like Alzheimer's disease and cognitive impairment. Changes in neurogranin expression levels are linked to the progression of Alzheimer's where reduced levels may contribute to the disruption of synaptic plasticity. Interactions with amyloid-beta peptides and other proteins such as tau highlight its potential as a biomarker for neurodegenerative diseases. These connections underline neurogranin's significant role in understanding cognitive-related disorders and guiding therapeutic research.

Product protocols

For this product, it's our understanding that no specific protocols are required. You can visit:

Target data

Acts as a 'third messenger' substrate of protein kinase C-mediated molecular cascades during synaptic development and remodeling. Binds to calmodulin in the absence of calcium (By similarity).
See full target information NRGN

Publications (1)

Recent publications for all applications. Explore the full list and refine your search

Acta neuropathologica 136:363-376 PubMed29700597

2018

Cerebrospinal fluid neurogranin concentration in neurodegeneration: relation to clinical phenotypes and neuropathology.

Applications

Unspecified application

Species

Unspecified reactive species

Erik Portelius,Bob Olsson,Kina Höglund,Nicholas C Cullen,Hlin Kvartsberg,Ulf Andreasson,Henrik Zetterberg,Åsa Sandelius,Leslie M Shaw,Virginia M Y Lee,David J Irwin,Murray Grossman,Daniel Weintraub,Alice Chen-Plotkin,David A Wolk,Leo McCluskey,Lauren Elman,Jennifer McBride,Jon B Toledo,John Q Trojanowski,Kaj Blennow
View all publications

Product promise

We are committed to supporting your work with high-quality reagents, and we're here for you every step of the way. In the unlikely event that one of our products does not perform as expected, you're protected by our Product Promise.
For full details, please see our Terms & Conditions

Please note: All products are 'FOR RESEARCH USE ONLY. NOT FOR USE IN DIAGNOSTIC OR THERAPEUTIC PROCEDURES'.

For licensing inquiries, please contact partnerships@abcam.com