JavaScript is disabled in your browser. Please enable JavaScript to view this website.
AB278107

Anti-Neuroligin 1 + Neuroligin 3 + Neuroligin 2 + Neuroligin 4 antibody [EPR24149-36] - BSA and Azide free

Be the first to review this product! Submit a review

|

(0 Publication)

Rabbit Recombinant Monoclonal Neuroligin 1 antibody. Carrier free. Suitable for IHC-P and reacts with Mouse, Rat, Human samples.

View Alternative Names

Kiaa1070, Nlgn1, Neuroligin-1

8 Images
Immunohistochemistry (Formalin/PFA-fixed paraffin-embedded sections) - Anti-Neuroligin 1 + Neuroligin 3 + Neuroligin 2 + Neuroligin 4 antibody [EPR24149-36] - BSA and Azide free (AB278107)
  • IHC-P

Supplier Data

Immunohistochemistry (Formalin/PFA-fixed paraffin-embedded sections) - Anti-Neuroligin 1 + Neuroligin 3 + Neuroligin 2 + Neuroligin 4 antibody [EPR24149-36] - BSA and Azide free (AB278107)

This data was developed using ab259936, the same antibody clone in a different buffer formulation.

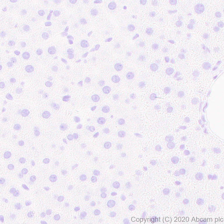
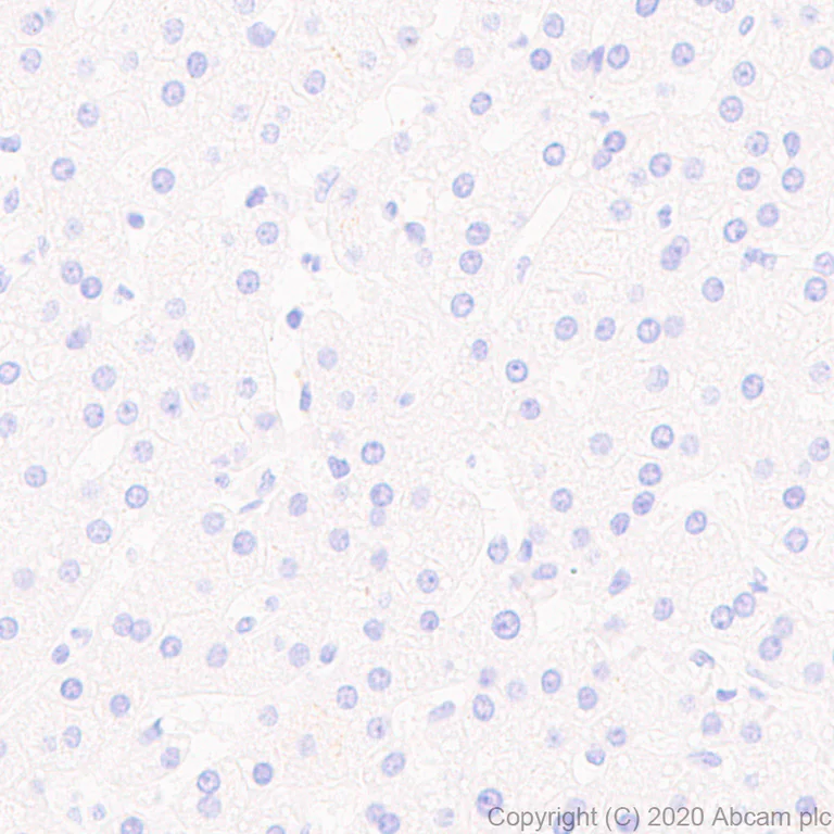
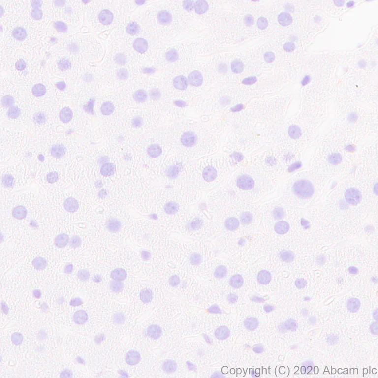
Immunohistochemical analysis of paraffin-embedded Human liver tissue labeling Neuroligin 1 + Neuroligin 2 + Neuroligin 3 + Neuroligin 4 with ab259936 at 1/5000 (0.098 ug/ml) dilution followed by a ready to use LeicaDS9800 (Bond® Polymer Refine Detection). Negative control : no staining on human liver. The section was incubated with ab259936 for 30 mins at room temperature. The immunostaining was performed on a Leica Biosystems BOND® RX instrument. Counterstained with Hematoxylin.

Secondary antibody only control : Secondary antibody is a ready to use LeicaDS9800 (Bond® Polymer Refine Detection).

Heat mediated antigen retrieval with Tris-EDTA buffer (pH 9.0, epitope retrieval solution2) for 20 mins.

Immunohistochemistry (Formalin/PFA-fixed paraffin-embedded sections) - Anti-Neuroligin 1 + Neuroligin 3 + Neuroligin 2 + Neuroligin 4 antibody [EPR24149-36] - BSA and Azide free (AB278107)
  • IHC-P

Supplier Data

Immunohistochemistry (Formalin/PFA-fixed paraffin-embedded sections) - Anti-Neuroligin 1 + Neuroligin 3 + Neuroligin 2 + Neuroligin 4 antibody [EPR24149-36] - BSA and Azide free (AB278107)

This data was developed using ab259936, the same antibody clone in a different buffer formulation.

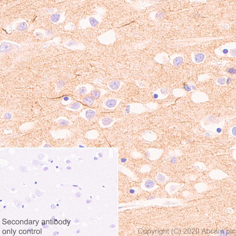
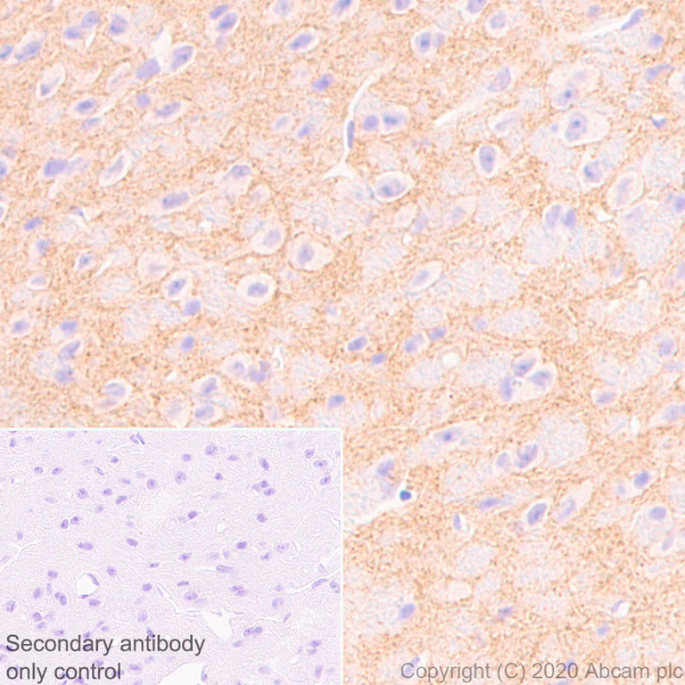
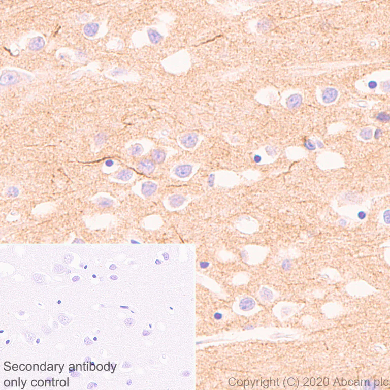
Immunohistochemical analysis of paraffin-embedded Human cerebrum tissue labeling Neuroligin 1 + Neuroligin 2 + Neuroligin 3 + Neuroligin 4 with ab259936 at 1/5000 (0.098 ug/ml) dilution followed by ready to use LeicaDS9800 (Bond® Polymer Refine Detection). Positive staining on human cerebrum. The section was incubated with ab259936 for 30 mins at room temperature. The immunostaining was performed on a Leica Biosystems BOND® RX instrument. Counterstained with Hematoxylin.

Secondary antibody only control : Secondary antibody is ready to use LeicaDS9800 (Bond® Polymer Refine Detection).

Heat mediated antigen retrieval with Tris-EDTA buffer (pH 9.0, epitope retrieval solution2) for 20 mins.

Immunohistochemistry (Formalin/PFA-fixed paraffin-embedded sections) - Anti-Neuroligin 1 + Neuroligin 3 + Neuroligin 2 + Neuroligin 4 antibody [EPR24149-36] - BSA and Azide free (AB278107)
  • IHC-P

Supplier Data

Immunohistochemistry (Formalin/PFA-fixed paraffin-embedded sections) - Anti-Neuroligin 1 + Neuroligin 3 + Neuroligin 2 + Neuroligin 4 antibody [EPR24149-36] - BSA and Azide free (AB278107)

This data was developed using ab259936, the same antibody clone in a different buffer formulation.

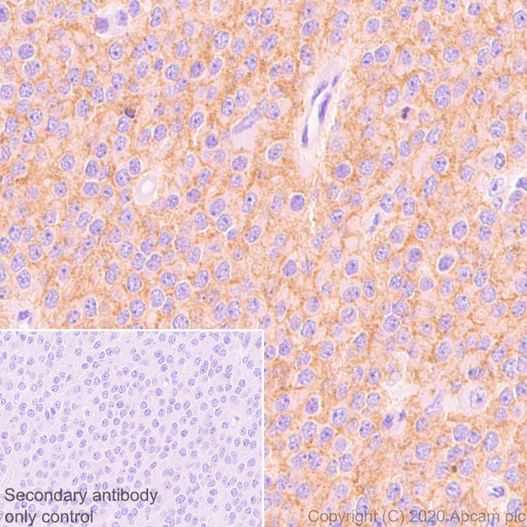
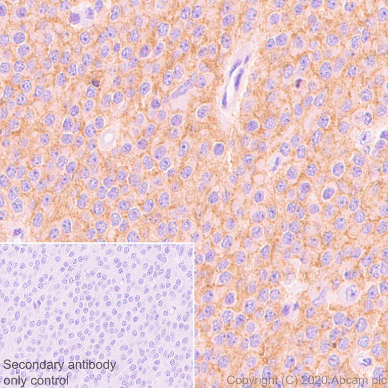
Immunohistochemical analysis of paraffin-embedded Human astrocytoma tissue labeling Neuroligin 1 + Neuroligin 2 + Neuroligin 3 + Neuroligin 4 with ab259936 at 1/5000 (0.098 ug/ml) dilution followed by a ready to use LeicaDS9800 (Bond® Polymer Refine Detection). Positive staining on human astrocytoma. The section was incubated with ab259936 for 30 mins at room temperature. The immunostaining was performed on a Leica Biosystems BOND® RX instrument. Counterstained with Hematoxylin.

Secondary antibody only control : Secondary antibody is a ready to use LeicaDS9800 (Bond® Polymer Refine Detection).

Heat mediated antigen retrieval with Tris-EDTA buffer (pH 9.0, epitope retrieval solution2) for 20 mins.

Immunohistochemistry (Formalin/PFA-fixed paraffin-embedded sections) - Anti-Neuroligin 1 + Neuroligin 3 + Neuroligin 2 + Neuroligin 4 antibody [EPR24149-36] - BSA and Azide free (AB278107)
  • IHC-P

Supplier Data

Immunohistochemistry (Formalin/PFA-fixed paraffin-embedded sections) - Anti-Neuroligin 1 + Neuroligin 3 + Neuroligin 2 + Neuroligin 4 antibody [EPR24149-36] - BSA and Azide free (AB278107)

This data was developed using ab259936, the same antibody clone in a different buffer formulation.

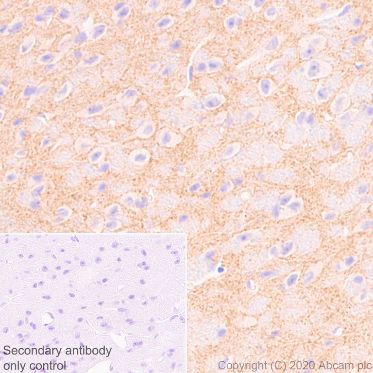
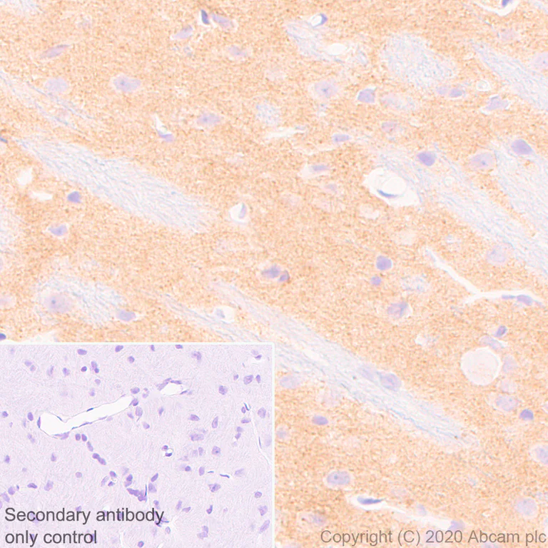
Immunohistochemical analysis of paraffin-embedded Mouse cerebrum tissue labeling Neuroligin 1 + Neuroligin 2 + Neuroligin 3 + Neuroligin 4 with ab259936 at 1/5000 (0.098 ug/ml) dilution followed by a ready to use LeicaDS9800 (Bond® Polymer Refine Detection). Positive staining on mouse cerebrum. The section was incubated with ab259936 for 30 mins at room temperature. The immunostaining was performed on a Leica Biosystems BOND® RX instrument. Counterstained with Hematoxylin.

Secondary antibody only control : Secondary antibody is a ready to use LeicaDS9800 (Bond® Polymer Refine Detection) was used.

Heat mediated antigen retrieval with Tris-EDTA buffer (pH 9.0, epitope retrieval solution2) for 20 mins.

Immunohistochemistry (Formalin/PFA-fixed paraffin-embedded sections) - Anti-Neuroligin 1 + Neuroligin 3 + Neuroligin 2 + Neuroligin 4 antibody [EPR24149-36] - BSA and Azide free (AB278107)
  • IHC-P

Supplier Data

Immunohistochemistry (Formalin/PFA-fixed paraffin-embedded sections) - Anti-Neuroligin 1 + Neuroligin 3 + Neuroligin 2 + Neuroligin 4 antibody [EPR24149-36] - BSA and Azide free (AB278107)

This data was developed using ab259936, the same antibody clone in a different buffer formulation.

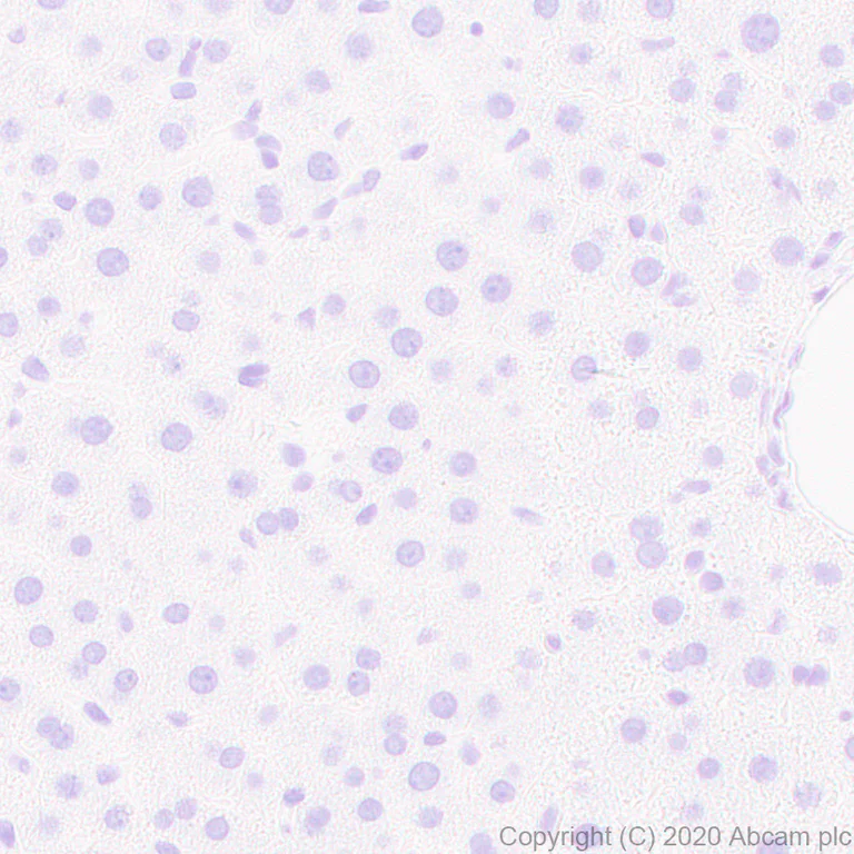
Immunohistochemical analysis of paraffin-embedded Mouse liver tissue labeling Neuroligin 1 + Neuroligin 2 + Neuroligin 3 + Neuroligin 4 with ab259936 at 1/5000 (0.098 ug/ml) dilution followed by a ready to use LeicaDS9800 (Bond® Polymer Refine Detection). Negative control : no staining on rat liver (PMID : 7736595). The section was incubated with ab259936 for 30 mins at room temperature. The immunostaining was performed on a Leica Biosystems BOND® RX instrument. Counterstained with Hematoxylin.

Secondary antibody only control : Secondary antibody is a ready to use LeicaDS9800 (Bond® Polymer Refine Detection).

Heat mediated antigen retrieval with Tris-EDTA buffer (pH 9.0, epitope retrieval solution2) for 20 mins.

Immunohistochemistry (Formalin/PFA-fixed paraffin-embedded sections) - Anti-Neuroligin 1 + Neuroligin 3 + Neuroligin 2 + Neuroligin 4 antibody [EPR24149-36] - BSA and Azide free (AB278107)
  • IHC-P

Supplier Data

Immunohistochemistry (Formalin/PFA-fixed paraffin-embedded sections) - Anti-Neuroligin 1 + Neuroligin 3 + Neuroligin 2 + Neuroligin 4 antibody [EPR24149-36] - BSA and Azide free (AB278107)

This data was developed using ab259936, the same antibody clone in a different buffer formulation.

Immunohistochemical analysis of paraffin-embedded Rat cerebrum tissue labeling Neuroligin 1 + Neuroligin 2 + Neuroligin 3 + Neuroligin 4 with ab259936 at 1/5000 (0.098 ug/ml) dilution followed by a ready to use LeicaDS9800 (Bond® Polymer Refine Detection). Positive staining on rat cerebrum (PMID : 7736595). The section was incubated with ab259936 for 30 mins at room temperature. The immunostaining was performed on a Leica Biosystems BOND® RX instrument. Counterstained with Hematoxylin.

Secondary antibody only control : Secondary antibody is a ready to use LeicaDS9800 (Bond® Polymer Refine Detection) was used.

Heat mediated antigen retrieval with Tris-EDTA buffer (pH 9.0, epitope retrieval solution2) for 20 mins.

Immunohistochemistry (Formalin/PFA-fixed paraffin-embedded sections) - Anti-Neuroligin 1 + Neuroligin 3 + Neuroligin 2 + Neuroligin 4 antibody [EPR24149-36] - BSA and Azide free (AB278107)
  • IHC-P

Supplier Data

Immunohistochemistry (Formalin/PFA-fixed paraffin-embedded sections) - Anti-Neuroligin 1 + Neuroligin 3 + Neuroligin 2 + Neuroligin 4 antibody [EPR24149-36] - BSA and Azide free (AB278107)

This data was developed using ab259936, the same antibody clone in a different buffer formulation.

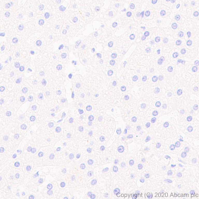
Immunohistochemical analysis of paraffin-embedded Mouse liver tissue labeling Neuroligin 1 + Neuroligin 2 + Neuroligin 3 + Neuroligin 4 with ab259936 at 1/5000 (0.098 ug/ml) dilution followed by a ready to use LeicaDS9800 (Bond® Polymer Refine Detection). Negative control : no staining on mouse liver. The section was incubated with ab259936 for 30 mins at room temperature. The immunostaining was performed on a Leica Biosystems BOND® RX instrument. Counterstained with Hematoxylin.

Secondary antibody only control : Secondary antibody is a ready to use LeicaDS9800 (Bond® Polymer Refine Detection).

Heat mediated antigen retrieval with Tris-EDTA buffer (pH 9.0, epitope retrieval solution2) for 20 mins.

Western blot - Anti-Neuroligin 1 + Neuroligin 3 + Neuroligin 2 + Neuroligin 4 antibody [EPR24149-36] - BSA and Azide free (AB278107)
  • WB

Lab

Western blot - Anti-Neuroligin 1 + Neuroligin 3 + Neuroligin 2 + Neuroligin 4 antibody [EPR24149-36] - BSA and Azide free (AB278107)

This data was developed using ab259936, the same antibody clone in a different buffer formulation.

Blocking and diluting buffer and concentration : 5% NFDM/TBST

The rec proteins of neuroligin 1, neuroligin 2 and neuroligin 3 were made in house.

The recombinant proteins were expressed from a mammalian - HEK-293 expression system.

Exposure time : 3 minutes

All lanes:

Western blot - Anti-Neuroligin 1 + Neuroligin 3 + Neuroligin 2 + Neuroligin 4 antibody [EPR24149-36] (<a href='/en-us/products/primary-antibodies/neuroligin-1-neuroligin-3-neuroligin-2-neuroligin-4-antibody-epr24149-36-ab259936'>ab259936</a>) at 1/1000 dilution

Lane 1:

His-tagged mouse neuroligin 1 recombinant protein, 10 ng

Lane 2:

LIF/His-tagged mouse neuroligin 2 recombinant protein, 10 ng

Lane 3:

His-tagged mouse neuroligin 3 recombinant protein, 10 ng

Lane 4:

His-tagged human neuroligin 4 recombinant protein, 10 ng

Secondary

All lanes:

Goat Anti-Rabbit IgG, (H+L), Peroxidase conjugated (<a href='/en-us/products/secondary-antibodies/goat-rabbit-igg-h-l-hrp-ab97051'>ab97051</a>) at 1/100000 dilution

false

  • Unconjugated

    Anti-Neuroligin 1 + Neuroligin 3 + Neuroligin 2 + Neuroligin 4 antibody [EPR24149-36]

Key facts

Host species

Rabbit

Clonality

Monoclonal

Clone number

EPR24149-36

Isotype

IgG

Carrier free

Yes

Reacts with

Mouse, Rat, Human

Applications

IHC-P

applications

Immunogen

The exact immunogen used to generate this antibody is proprietary information.

Reactivity data

{ "title": "Reactivity Data", "filters": { "stats": ["", "Species", "Dilution Info", "Notes"], "tabs": { "all-applications": {"fullname" : "All Applications", "shortname": "All Applications"}, "ICCIF" : {"fullname" : "Immunocytochemistry/ Immunofluorescence", "shortname":"ICC/IF"}, "IP" : {"fullname" : "Immunoprecipitation", "shortname":"IP"}, "WB" : {"fullname" : "Western blot", "shortname":"WB"}, "IHCP" : {"fullname" : "Immunohistochemistry (Formalin/PFA-fixed paraffin-embedded sections)", "shortname":"IHC-P"} }, "product-promise": { "all": "all", "testedAndGuaranteed": "tested", "guaranteed": "expected", "predicted": "predicted", "notRecommended": "not-recommended" } }, "values": { "Human": { "ICCIF-species-checked": "notRecommended", "ICCIF-species-dilution-info": "", "ICCIF-species-notes": "<p></p>", "IP-species-checked": "notRecommended", "IP-species-dilution-info": "", "IP-species-notes": "<p></p>", "WB-species-checked": "notRecommended", "WB-species-dilution-info": "", "WB-species-notes": "<p>We only have data for recombinant protein.</p>", "IHCP-species-checked": "testedAndGuaranteed", "IHCP-species-dilution-info": "", "IHCP-species-notes": "<p></p>" }, "Mouse": { "ICCIF-species-checked": "notRecommended", "ICCIF-species-dilution-info": "", "ICCIF-species-notes": "<p></p>", "IP-species-checked": "notRecommended", "IP-species-dilution-info": "", "IP-species-notes": "<p></p>", "WB-species-checked": "notRecommended", "WB-species-dilution-info": "", "WB-species-notes": "<p>We only have data for recombinant protein.</p>", "IHCP-species-checked": "testedAndGuaranteed", "IHCP-species-dilution-info": "", "IHCP-species-notes": "<p></p>" }, "Rat": { "ICCIF-species-checked": "notRecommended", "ICCIF-species-dilution-info": "", "ICCIF-species-notes": "<p></p>", "IP-species-checked": "notRecommended", "IP-species-dilution-info": "", "IP-species-notes": "<p></p>", "WB-species-checked": "notRecommended", "WB-species-dilution-info": "", "WB-species-notes": "<p>We only have data for recombinant protein.</p>", "IHCP-species-checked": "testedAndGuaranteed", "IHCP-species-dilution-info": "", "IHCP-species-notes": "<p></p>" } } }

Product details

ab278107 is the carrier-free version of ab259936.

Patented technology
Our RabMAb® technology is a patented hybridoma-based technology for making rabbit monoclonal antibodies. For details on our patents, please refer to RabMAb® patents.

What are the advantages of a recombinant monoclonal antibody?
This product is a recombinant monoclonal antibody, which offers several advantages including:

  • - High batch-to-batch consistency and reproducibility
  • - Improved sensitivity and specificity
  • - Long-term security of supply
  • - Animal-free batch production

For more information, read more on recombinant antibodies.

Conjugation ready
Our carrier-free antibodies are typically supplied in a PBS-only formulation, purified and free of BSA, sodium azide and glycerol. This conjugation-ready format is designed for use with fluorochromes, metal isotopes, oligonucleotides, and enzymes, which makes them ideal for antibody labelling, functional and cell-based assays, flow-based assays (e.g. mass cytometry) and Multiplex Imaging applications.

Use our conjugation kits for antibody conjugates that are ready-to-use in as little as 20 minutes with 1 minute hands-on-time and 100% antibody recovery: available for fluorescent dyes, HRP, biotin and gold.

Compatibility
This product is compatible with the Maxpar® Antibody Labeling Kit from Fluidigm, without the need for antibody preparation. Maxpar® is a trademark of Fluidigm Canada Inc.

Properties and storage information

Form
Liquid
Purification technique
Affinity purification Protein A
Storage buffer
Constituents: PBS
Shipped at conditions
Blue Ice
Appropriate short-term storage conditions
+4°C
Appropriate long-term storage conditions
+4°C

Supplementary information

This supplementary information is collated from multiple sources and compiled automatically.

Neuroligin proteins including Neuroligin 1 Neuroligin 2 Neuroligin 3 and Neuroligin 4 serve as important synaptic cell adhesion molecules. They are mostly massed between 90-110 kDa and are alternatively referred to as NLGN1 NLGN2 NLGN3 and NLGN4 respectively. These proteins are expressed in the nervous system particularly in the synaptic clefts where they play a role in establishing and maintaining synapses between neurons. By interacting with neurexins they facilitate connections and communication between presynaptic and postsynaptic neurons.
Biological function summary

The neuroligin proteins are essential for synaptic organization and function. They act as part of the synaptic complex forming a bridge with neurexin proteins which are located on the presynaptic membrane. This complex ensures proper synaptic signaling and plasticity. Neuroligin 1 is mainly involved with excitatory synapses whereas Neuroligin 2 associates more with inhibitory synapses. Neuroligin 3 and 4 can modulate both types of synapses highlighting their versatile roles in synaptic regulation.

Pathways

Neuroligin proteins contribute significantly to the development and modulation of synaptic pathways. They are engaged in neurotransmission pathways which impact how neurons communicate with each other using chemical signals. Specifically they interact with the postsynaptic scaffold proteins like PSD-95 which are critical in the glutamatergic signaling pathway. Through these pathways neuroligins ensure the balance of excitatory and inhibitory signals maintaining a fine-tuned neuronal network.

Neuroligin proteins have a significant connection to autism spectrum disorders and schizophrenia. Variations in genes encoding these proteins can lead to improper synaptic function making it a research focus for understanding neurodevelopmental disorders. Additionally neuroligins have been linked with neuroligins-NRXN1 interactions in these diseases. Mutations or dysregulation in these proteins can disrupt standard synaptic operation emphasizing their role in neuropsychiatric conditions.

Product protocols

For this product, it's our understanding that no specific protocols are required. You can visit:

Target data

Cell surface protein involved in cell-cell-interactions via its interactions with neurexin family members. Plays a role in synapse function and synaptic signal transmission, and probably mediates its effects by recruiting and clustering other synaptic proteins. May promote the initial formation of synapses, but is not essential for this. In vitro, triggers the de novo formation of presynaptic structures. May be involved in specification of excitatory synapses. Required to maintain wakefulness quality and normal synchrony of cerebral cortex activity during wakefulness and sleep (PubMed : 23716671). The protein is involved in nervous system development.
See full target information Nlgn1

Additional targets

Nlgn2,Nlgn3,Nlgn4l

Product promise

We are committed to supporting your work with high-quality reagents, and we're here for you every step of the way. In the unlikely event that one of our products does not perform as expected, you're protected by our Product Promise.
For full details, please see our Terms & Conditions

Please note: All products are 'FOR RESEARCH USE ONLY. NOT FOR USE IN DIAGNOSTIC OR THERAPEUTIC PROCEDURES'.

For licensing inquiries, please contact partnerships@abcam.com