JavaScript is disabled in your browser. Please enable JavaScript to view this website.
AB317304

Anti-Neuroligin 2 antibody [EPR28230-122] - BSA and Azide free

Be the first to review this product! Submit a review

|

(0 Publication)

Rabbit Recombinant Monoclonal Neuroligin 2 antibody. Carrier free. Suitable for IHC-P, IP, IHC-Fr, ICC/IF, Flow Cyt and reacts with Transfected cell line - Mouse, Mouse, Rat samples.

View Alternative Names

Kiaa1366, Nlgn2, Neuroligin-2

13 Images
Immunohistochemistry (Formalin/PFA-fixed paraffin-embedded sections) - Anti-Neuroligin 2 antibody [EPR28230-122] - BSA and Azide free (AB317304)
  • IHC-P

Supplier Data

Immunohistochemistry (Formalin/PFA-fixed paraffin-embedded sections) - Anti-Neuroligin 2 antibody [EPR28230-122] - BSA and Azide free (AB317304)

This data was developed using ab317303, the same antibody clone in a different buffer formulation.

Immunohistochemical analysis of paraffin-embedded (A) HEK-293T (human embryonic kidney epithelial cell) transfected with a mouse NLGN2 expression vector containing a his tag. (B) HEK-293T cells transfected with a mouse NLGN1 expression vector containing a his tag. (C) HEK-293T cells transfected with a mouse NLGN3 expression vector containing a his tag. (D) HEK-293T cells transfected with empty vector containing a his tag. tissue labeling Neuroligin 2 with ab317303 at 1/100 (4.92 ug/ml) dilution, followed by a ready to use LeicaDS9800 (Bond™ Polymer Refine Detection).

Positive staining on (A) HEK-293T cells transfected with a mouse NLGN2 expression vector containing a his tag, no staining on (B) HEK-293T cells transfected with a mouse NLGN1 expression vector containing a his tag, and (C) HEK-293T cells transfected with a mouse NLGN3 expression vector containing a his tag, and (D) HEK-293T cells transfected with empty vector containing a his tag.
The section was incubated with ab317303 for 30 mins at room temperature.
The immunostaining was performed on a Leica Biosystems BOND® RX instrument
Incubate slides with 3% Hydrogen Peroxide for 10 mins at room temperature after secondary antibody incubation to reduce the background

Counterstained with Hematoxylin.

Secondary antibody only control : Secondary antibody is a ready to use LeicaDS9800 (Bond™ Polymer Refine Detection).

Heat mediated antigen retrieval was performed with Tris-EDTA buffer (pH 9.0, Epitope Retrieval Solution2) for 20 mins

Immunohistochemistry (Formalin/PFA-fixed paraffin-embedded sections) - Anti-Neuroligin 2 antibody [EPR28230-122] - BSA and Azide free (AB317304)
  • IHC-P

Supplier Data

Immunohistochemistry (Formalin/PFA-fixed paraffin-embedded sections) - Anti-Neuroligin 2 antibody [EPR28230-122] - BSA and Azide free (AB317304)

This data was developed using ab317303, the same antibody clone in a different buffer formulation.

Immunohistochemical analysis of paraffin-embedded Mouse liver tissue labeling Neuroligin 2 with ab317303 at 1/100 (4.92 ug/ml) dilution, followed by a ready to use LeicaDS9800 (Bond™ Polymer Refine Detection).

Negative control : no staining on mouse liver.
The section was incubated with ab317303 for 30 mins at room temperature.
The immunostaining was performed on a Leica Biosystems BOND® RX instrument
Incubate slides with 3% Hydrogen Peroxide for 10 mins at room temperature after secondary antibody incubation to reduce the background

Counterstained with Hematoxylin.

Secondary antibody only control : Secondary antibody is a ready to use LeicaDS9800 (Bond™ Polymer Refine Detection).

Heat mediated antigen retrieval was performed with Tris-EDTA buffer (pH 9.0, Epitope Retrieval Solution2) for 20 mins

Immunohistochemistry (Frozen sections) - Anti-Neuroligin 2 antibody [EPR28230-122] - BSA and Azide free (AB317304)
  • IHC-Fr

Supplier Data

Immunohistochemistry (Frozen sections) - Anti-Neuroligin 2 antibody [EPR28230-122] - BSA and Azide free (AB317304)

This data was developed using ab317303, the same antibody clone in a different buffer formulation.

Immunohistochemical analysis of 4% PFA-fixed, 0.2% Triton X-100 permeabilized frozen Rat liver (fresh frozen) tissue labeling Neuroligin 2 with ab317303 at 1/50 (9.84 ug/ml) dilution followed by ab150081 Goat Anti-Rabbit IgG H&L (Alexa Fluor® 488) preadsorbed at 1/1000 (2 ug/mL) dilution (Green).

Negative control : confocal image showing no staining on rat liver. The nuclear counterstain was DAPI (Blue). The section was incubated with ab317303 for 60 mins at room temperature. The section was then mounted using Fluoromount®.The immunostaining was performed on a Leica Biosystems BOND® RX instrument. Image was taken with a confocal microscope (Leica-Microsystems, TCS SP8).

Secondary antibody control : Secondary antibody is ab150081 Goat Anti-Rabbit IgG H&L (Alexa Fluor® 488) preadsorbedat 1/1000 (2 ug/mL) dilution.

Immunohistochemistry (Frozen sections) - Anti-Neuroligin 2 antibody [EPR28230-122] - BSA and Azide free (AB317304)
  • IHC-Fr

Supplier Data

Immunohistochemistry (Frozen sections) - Anti-Neuroligin 2 antibody [EPR28230-122] - BSA and Azide free (AB317304)

This data was developed using ab317303, the same antibody clone in a different buffer formulation.

Immunohistochemical analysis of 4% PFA-fixed, 0.2% Triton X-100 permeabilized frozen Mouse liver (fresh frozen) tissue labeling Neuroligin 2 with ab317303 at 1/50 (9.84 ug/ml) dilution followed by ab150081 Goat Anti-Rabbit IgG H&L (Alexa Fluor® 488) preadsorbed at 1/1000 (2 ug/mL) dilution (Green).

Negative control : confocal image showing no staining on mouse liver. The nuclear counterstain was DAPI (Blue). The section was incubated with ab317303 for 60 mins at room temperature. The section was then mounted using Fluoromount®.The immunostaining was performed on a Leica Biosystems BOND® RX instrument. Image was taken with a confocal microscope (Leica-Microsystems, TCS SP8).

Secondary antibody control : Secondary antibody is ab150081 Goat Anti-Rabbit IgG H&L (Alexa Fluor® 488) preadsorbedat 1/1000 (2 ug/mL) dilution.

Flow Cytometry - Anti-Neuroligin 2 antibody [EPR28230-122] - BSA and Azide free (AB317304)
  • Flow Cyt

Supplier Data

Flow Cytometry - Anti-Neuroligin 2 antibody [EPR28230-122] - BSA and Azide free (AB317304)

This data was developed using ab317303, the same antibody clone in a different buffer formulation.

Flow cytometric analysis of Rat primary neuron cells labelling Neuroligin 2 with ab317303 at 1/50 dilution (1 ug)/Right compared with a Rabbit monoclonal IgG (ab172730) / Left isotype control.

Goat Anti-Rabbit IgG (Alexa Fluor® 488, ab150081) at 1/5000 dilution was used as the secondary antibody.

Gated on viable cell.

Flow Cytometry - Anti-Neuroligin 2 antibody [EPR28230-122] - BSA and Azide free (AB317304)
  • Flow Cyt

Supplier Data

Flow Cytometry - Anti-Neuroligin 2 antibody [EPR28230-122] - BSA and Azide free (AB317304)

This data was developed using ab317303, the same antibody clone in a different buffer formulation.

Flow cytometric analysis of Mouse primary neuron cells labelling Neuroligin 2 with ab317303 at 1/500 dilution (0.1 ug)/Right compared with a Rabbit monoclonal IgG (ab172730) / Left isotype control.

Goat Anti-Rabbit IgG (Alexa Fluor® 488, ab150081) at 1/5000 dilution was used as the secondary antibody.

Gated on viable cell.

Immunohistochemistry (Frozen sections) - Anti-Neuroligin 2 antibody [EPR28230-122] - BSA and Azide free (AB317304)
  • IHC-Fr

Supplier Data

Immunohistochemistry (Frozen sections) - Anti-Neuroligin 2 antibody [EPR28230-122] - BSA and Azide free (AB317304)

This data was developed using ab317303, the same antibody clone in a different buffer formulation.

Immunohistochemical analysis of 4% PFA-fixed, 0.2% Triton X-100 permeabilized frozen Rat hippocampus (fresh frozen) tissue labeling Neuroligin 2 with ab317303 at 1/50 (9.84 ug/ml) dilution followed by ab150081 Goat Anti-Rabbit IgG H&L (Alexa Fluor® 488) preadsorbed at 1/1000 (2 ug/mL) dilution (Green).

Panel A : merged staining of anti-Neuroligin-2 (ab317303, green), anti-NeuN (ab190565, grey) and anti-GFAP (ab201732, magenta) on rat hippocampus.
Panel B : anti-Neuroligin-2 stained on rat hippocampus.
Panel C : anti-NeuN stained in neurons of rat hippocampus.
Panel D : anti-GFAP stained in astrocytes of rat hippocampus.
The section was incubated in two rounds of staining : in the order of ab317303 and ab190565, ab201732 for 1 hr at room temperature. The nuclear counterstain was DAPI (Blue). The section was then mounted using Fluoromount®.The immunostaining was performed on a Leica Biosystems BOND® RX instrument. Image was taken with a confocal microscope (Leica-Microsystems, TCS SP8).

Immunocytochemistry/ Immunofluorescence - Anti-Neuroligin 2 antibody [EPR28230-122] - BSA and Azide free (AB317304)
  • ICC/IF

Supplier Data

Immunocytochemistry/ Immunofluorescence - Anti-Neuroligin 2 antibody [EPR28230-122] - BSA and Azide free (AB317304)

This data was developed using ab317303, the same antibody clone in a different buffer formulation.

Immunofluorescent analysis of 4% Paraformaldehyde-fixed, 0.1% TritonX-100 permeabilized mouse primary neuron cells labelling Neuroligin 2 with ab317303 at 1/50 (9.84 ug/ml) dilution, followed by ab150081 Goat Anti-Rabbit IgG H&L (Alexa Fluor® 488) preadsorbed antibody at 1/1000 (2 ug/ml) dilution (Green).

Confocal image showing cytoplasmic staining in mouse primary neuron (shown in green). The counterstain was observed in magenta. Nuclear DNA was labeled with DAPI (shown in blue).
Confocal scanning Z step was set as 0.3 μm followed by image processing with maximum Z projection.
Image was taken with a confocal microscope (Leica-Microsystems, TCS SP8).

ab11267 Anti-MAP2 mouse monoclonal antibody was used to counterstain at 1/500 (4ug/ml) dilution (Magenta). The Nuclear counterstain was DAPI (Blue).

Secondary antibody only control : Secondary antibody is ab150081 Goat Anti-Rabbit IgG H&L (Alexa Fluor® 488) preadsorbed at 1/1000 (2 ug/ml) dilution.

Immunohistochemistry (Frozen sections) - Anti-Neuroligin 2 antibody [EPR28230-122] - BSA and Azide free (AB317304)
  • IHC-Fr

Supplier Data

Immunohistochemistry (Frozen sections) - Anti-Neuroligin 2 antibody [EPR28230-122] - BSA and Azide free (AB317304)

This data was developed using ab317303, the same antibody clone in a different buffer formulation.

Immunohistochemical analysis of 4% PFA-fixed, 0.2% Triton X-100 permeabilized frozen Mouse hippocampus (fresh frozen) tissue labeling Neuroligin 2 with ab317303 at 1/50 (9.84 ug/ml) dilution followed by ab150081 Goat Anti-Rabbit IgG H&L (Alexa Fluor® 488) preadsorbed at 1/1000 (2 ug/mL) dilution (Green).

Panel A : merged staining of anti-Neuroligin-2 (ab317303, green), anti-NeuN (ab190565, grey) and anti-GFAP (ab201732, magenta) on mouse hippocampus.
Panel B : anti-Neuroligin-2 stained on mouse hippocampus.
Panel C : anti-NeuN stained in neurons of mouse hippocampus.
Panel D : anti-GFAP stained in astrocytes of mouse hippocampus.
The section was incubated in two rounds of staining : in the order of ab317303 and ab190565, ab201732 for 1 hr at room temperature. The nuclear counterstain was DAPI (Blue). The section was then mounted using Fluoromount®.The immunostaining was performed on a Leica Biosystems BOND® RX instrument. Image was taken with a confocal microscope (Leica-Microsystems, TCS SP8).

Immunohistochemistry (Formalin/PFA-fixed paraffin-embedded sections) - Anti-Neuroligin 2 antibody [EPR28230-122] - BSA and Azide free (AB317304)
  • IHC-P

Supplier Data

Immunohistochemistry (Formalin/PFA-fixed paraffin-embedded sections) - Anti-Neuroligin 2 antibody [EPR28230-122] - BSA and Azide free (AB317304)

This data was developed using ab317303, the same antibody clone in a different buffer formulation.

Immunohistochemical analysis of paraffin-embedded Rat cerebrum tissue labeling Neuroligin 2 with ab317303 at 1/100 (4.92 ug/ml) dilution, followed by a ready to use LeicaDS9800 (Bond™ Polymer Refine Detection).

Positive staining on rat cerebrum (PMID : 16982420).
The section was incubated with ab317303 for 30 mins at room temperature.
The immunostaining was performed on a Leica Biosystems BOND® RX instrument
Incubate slides with 3% Hydrogen Peroxide for 10 mins at room temperature after secondary antibody incubation to reduce the background

Counterstained with Hematoxylin.

Secondary antibody only control : Secondary antibody is a ready to use LeicaDS9800 (Bond™ Polymer Refine Detection).

Heat mediated antigen retrieval was performed with Tris-EDTA buffer (pH 9.0, Epitope Retrieval Solution2) for 20 mins

Immunohistochemistry (Formalin/PFA-fixed paraffin-embedded sections) - Anti-Neuroligin 2 antibody [EPR28230-122] - BSA and Azide free (AB317304)
  • IHC-P

Supplier Data

Immunohistochemistry (Formalin/PFA-fixed paraffin-embedded sections) - Anti-Neuroligin 2 antibody [EPR28230-122] - BSA and Azide free (AB317304)

This data was developed using ab317303, the same antibody clone in a different buffer formulation.

Immunohistochemical analysis of paraffin-embedded Mouse cerebrum tissue labeling Neuroligin 2 with ab317303 at 1/100 (4.92 ug/ml) dilution, followed by a ready to use LeicaDS9800 (Bond™ Polymer Refine Detection).

Positive staining on mouse cerebrum (PMID : 19926856).
The section was incubated with ab317303 for 30 mins at room temperature.
The immunostaining was performed on a Leica Biosystems BOND® RX instrument
Incubate slides with 3% Hydrogen Peroxide for 10 mins at room temperature after secondary antibody incubation to reduce the background

Counterstained with Hematoxylin.

Secondary antibody only control : Secondary antibody is a ready to use LeicaDS9800 (Bond™ Polymer Refine Detection).

Heat mediated antigen retrieval was performed with Tris-EDTA buffer (pH 9.0, Epitope Retrieval Solution2) for 20 mins

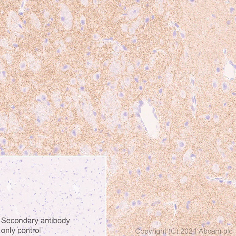
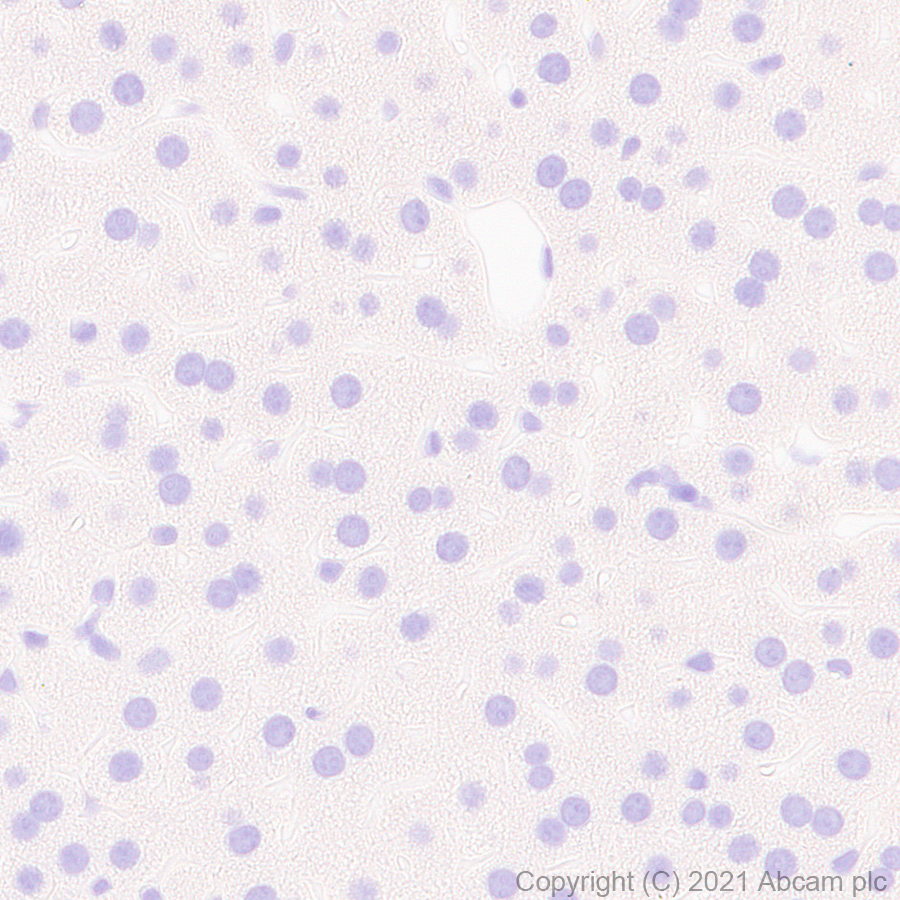
Immunohistochemistry (Formalin/PFA-fixed paraffin-embedded sections) - Anti-Neuroligin 2 antibody [EPR28230-122] - BSA and Azide free (AB317304)
  • IHC-P

Supplier Data

Immunohistochemistry (Formalin/PFA-fixed paraffin-embedded sections) - Anti-Neuroligin 2 antibody [EPR28230-122] - BSA and Azide free (AB317304)

This data was developed using ab317303, the same antibody clone in a different buffer formulation.

Immunohistochemical analysis of paraffin-embedded Rat liver tissue labeling Neuroligin 2 with ab317303 at 1/100 (4.92 ug/ml) dilution, followed by a ready to use LeicaDS9800 (Bond™ Polymer Refine Detection).

Negative control : no staining on rat liver.
The section was incubated with ab317303 for 30 mins at room temperature.
The immunostaining was performed on a Leica Biosystems BOND® RX instrument
Incubate slides with 3% Hydrogen Peroxide for 10 mins at room temperature after secondary antibody incubation to reduce the background

Counterstained with Hematoxylin.

Secondary antibody only control : Secondary antibody is a ready to use LeicaDS9800 (Bond™ Polymer Refine Detection).

Heat mediated antigen retrieval was performed with Tris-EDTA buffer (pH 9.0, Epitope Retrieval Solution2) for 20 mins

Immunoprecipitation - Anti-Neuroligin 2 antibody [EPR28230-122] - BSA and Azide free (AB317304)
  • IP

Supplier Data

Immunoprecipitation - Anti-Neuroligin 2 antibody [EPR28230-122] - BSA and Azide free (AB317304)

This data was developed using ab317303, the same antibody clone in a different buffer formulation.

Neuroligin 2 was immunoprecipitated from 0.35 mg Mouse brain tissue lysate with ab317303 at 1/30 dilution (2ug in 0.35mg lysates). Western blot was performed on the immunoprecipitate using ab317303 at 1/1000 dilution. VeriBlot for IP secondary antibody(HRP)(ab131366) was used at 1/5000 dilution.

Lane 1 : Mouse brain tissue lysate
Lane 2 : ab317303 IP in Mouse brain tissue lysate
Lane 3 : Rabbit monoclonal IgG (ab172730) instead of ab317303 in mouse brain tissue lysate

All lanes:

Immunoprecipitation - Anti-Neuroligin 2 antibody [EPR28230-122] (<a href='/en-us/products/primary-antibodies/neuroligin-2-antibody-epr28230-122-ab317303'>ab317303</a>) at 1/30 dilution

All lanes:

Mouse brain tissue lysate with NFDM/TBST

Secondary

All lanes:

Immunoprecipitation - VeriBlot for IP Detection Reagent (HRP) (<a href='/en-us/products/reagents/veriblot-for-ip-detection-reagent-hrp-ab131366'>ab131366</a>) at 1/5000 dilution

false

Exposure time: 8s

Key facts

Host species

Rabbit

Clonality

Monoclonal

Clone number

EPR28230-122

Isotype

IgG

Carrier free

Yes

Reacts with

Mouse, Rat

Applications

IHC-P, IHC-Fr, Flow Cyt, ICC/IF, IP

applications

Immunogen

The exact immunogen used to generate this antibody is proprietary information.

Specificity

Unsuitable for rat ICC

Reactivity data

{ "title": "Reactivity Data", "filters": { "stats": ["", "Species", "Dilution Info", "Notes"], "tabs": { "all-applications": {"fullname" : "All Applications", "shortname": "All Applications"}, "IHCP" : {"fullname" : "Immunohistochemistry (Formalin/PFA-fixed paraffin-embedded sections)", "shortname":"IHC-P"}, "IP" : {"fullname" : "Immunoprecipitation", "shortname":"IP"}, "IHCFr" : {"fullname" : "Immunohistochemistry (Frozen sections)", "shortname":"IHC-Fr"}, "ICCIF" : {"fullname" : "Immunocytochemistry/ Immunofluorescence", "shortname":"ICC/IF"}, "FlowCyt" : {"fullname" : "Flow Cytometry", "shortname":"Flow Cyt"}, "WB" : {"fullname" : "Western blot", "shortname":"WB"} }, "product-promise": { "all": "all", "testedAndGuaranteed": "tested", "guaranteed": "expected", "predicted": "predicted", "notRecommended": "not-recommended" } }, "values": { "Human": { "IHCP-species-checked": "notRecommended", "IHCP-species-dilution-info": "", "IHCP-species-notes": "<p></p>", "IP-species-checked": "notRecommended", "IP-species-dilution-info": "", "IP-species-notes": "", "IHCFr-species-checked": "notRecommended", "IHCFr-species-dilution-info": "", "IHCFr-species-notes": "", "ICCIF-species-checked": "notRecommended", "ICCIF-species-dilution-info": "", "ICCIF-species-notes": "", "FlowCyt-species-checked": "notRecommended", "FlowCyt-species-dilution-info": "", "FlowCyt-species-notes": "", "WB-species-checked": "notRecommended", "WB-species-dilution-info": "", "WB-species-notes": "<p></p>" }, "Mouse": { "IHCP-species-checked": "testedAndGuaranteed", "IHCP-species-dilution-info": "", "IHCP-species-notes": "<p></p>", "IP-species-checked": "testedAndGuaranteed", "IP-species-dilution-info": "", "IP-species-notes": "<p></p>", "IHCFr-species-checked": "testedAndGuaranteed", "IHCFr-species-dilution-info": "", "IHCFr-species-notes": "<p></p>", "ICCIF-species-checked": "testedAndGuaranteed", "ICCIF-species-dilution-info": "", "ICCIF-species-notes": "<p></p>", "FlowCyt-species-checked": "testedAndGuaranteed", "FlowCyt-species-dilution-info": "", "FlowCyt-species-notes": "<p></p>", "WB-species-checked": "notRecommended", "WB-species-dilution-info": "", "WB-species-notes": "<p></p>" }, "Rat": { "IHCP-species-checked": "testedAndGuaranteed", "IHCP-species-dilution-info": "", "IHCP-species-notes": "<p></p>", "IP-species-checked": "guaranteed", "IP-species-dilution-info": "", "IP-species-notes": "", "IHCFr-species-checked": "testedAndGuaranteed", "IHCFr-species-dilution-info": "", "IHCFr-species-notes": "<p></p>", "ICCIF-species-checked": "notRecommended", "ICCIF-species-dilution-info": "", "ICCIF-species-notes": "<p></p>", "FlowCyt-species-checked": "testedAndGuaranteed", "FlowCyt-species-dilution-info": "", "FlowCyt-species-notes": "<p></p>", "WB-species-checked": "notRecommended", "WB-species-dilution-info": "", "WB-species-notes": "<p></p>" }, "Transfected cell line - Mouse": { "IHCP-species-checked": "testedAndGuaranteed", "IHCP-species-dilution-info": "", "IHCP-species-notes": "<p></p>", "IP-species-checked": "notRecommended", "IP-species-dilution-info": "", "IP-species-notes": "", "IHCFr-species-checked": "notRecommended", "IHCFr-species-dilution-info": "", "IHCFr-species-notes": "", "ICCIF-species-checked": "notRecommended", "ICCIF-species-dilution-info": "", "ICCIF-species-notes": "", "FlowCyt-species-checked": "notRecommended", "FlowCyt-species-dilution-info": "", "FlowCyt-species-notes": "", "WB-species-checked": "notRecommended", "WB-species-dilution-info": "", "WB-species-notes": "" } } }

Product details

ab317304 is the carrirer-free version of ab317303.

Patented technology
Our RabMAb® technology is a patented hybridoma-based technology for making rabbit monoclonal antibodies. For details on our patents, please refer to RabMAb® patents.

What are the advantages of a recombinant monoclonal antibody?
This product is a recombinant monoclonal antibody, which offers several advantages including:

  • - High batch-to-batch consistency and reproducibility
  • - Improved sensitivity and specificity
  • - Long-term security of supply
  • - Animal-free batch production

For more information, read more on recombinant antibodies.

Conjugation ready
Our carrier-free antibodies are typically supplied in a PBS-only formulation, purified and free of BSA, sodium azide and glycerol. This conjugation-ready format is designed for use with fluorochromes, metal isotopes, oligonucleotides, and enzymes, which makes them ideal for antibody labelling, functional and cell-based assays, flow-based assays (e.g. mass cytometry) and Multiplex Imaging applications.

Use our conjugation kits for antibody conjugates that are ready-to-use in as little as 20 minutes with 1 minute hands-on-time and 100% antibody recovery: available for fluorescent dyes, HRP, biotin and gold.

Compatibility
This product is compatible with the Maxpar® Antibody Labeling Kit from Fluidigm, without the need for antibody preparation. Maxpar® is a trademark of Fluidigm Canada Inc.

Properties and storage information

Form
Liquid
Purification technique
Affinity purification Protein A
Storage buffer
pH: 7.2 - 7.4 Constituents: PBS
Shipped at conditions
Blue Ice
Appropriate short-term storage conditions
+4°C
Appropriate long-term storage conditions
+4°C

Supplementary information

This supplementary information is collated from multiple sources and compiled automatically.

Neuroligin 2 also known as NLGN2 is a postsynaptic cell adhesion molecule with a mass of approximately 106 kDa. It plays an important role in forming and maintaining synaptic connections which are essential for communication between neurons. Neuroligin 2 is predominately expressed in the central nervous system and can be found at inhibitory synapses where it interacts with other synaptic proteins to maintain synaptic structure and function.
Biological function summary

This synaptic adhesion protein plays a part in the formation of synapses and the modulation of synaptic strength. Neuroligin 2 forms a trans-synaptic complex with neurexins on the presynaptic side which helps to stabilize synapses by mediating cell-cell interactions. This interaction is important for maintaining balance between excitatory and inhibitory signals in the brain which contributes to normal brain function and neuronal communication.

Pathways

Neuroligin 2 functions as an integral part of synaptic signaling and neural network activity. It is connected to synaptic pathways that govern synapse assembly which involves other proteins like PSD-95. In particular its interaction with neurexins plays a role in the formation of the inhibitory synapses pathway which regulates inhibitory neurotransmission. Through these pathways Neuroligin 2 influences how neurons communicate and process information within neural circuits.

This protein associates with certain neurological and psychiatric conditions. Altered Neuroligin 2 function has links to autism spectrum disorders and schizophrenia. In these diseases its interaction with proteins such as neurexin may be disrupted which can impact synaptic balance and lead to deficits in synaptic function. Studying Neuroligin 2 helps to understand these disorders better and potentially develop therapeutic strategies targeting synaptic adhesion molecules.

Product protocols

For this product, it's our understanding that no specific protocols are required. You can visit:

Target data

Transmembrane scaffolding protein involved in cell-cell interactions via its interactions with neurexin family members. Mediates cell-cell interactions both in neurons and in other types of cells, such as Langerhans beta cells. Mediates cell-cell interactions between Langerhans beta cells and modulates insulin secretion (By similarity). Plays a role in synapse function and synaptic signal transmission, especially via gamma-aminobutyric acid receptors (GABA(A) receptors). Functions by recruiting and clustering synaptic proteins. Promotes clustering of postsynaptic GABRG2 and GPHN. Promotes clustering of postsynaptic LHFPL4 (PubMed : 29742426). Modulates signaling by inhibitory synapses, and thereby plays a role in controlling the ratio of signaling by excitatory and inhibitory synapses and information processing. Required for normal signal amplitude from inhibitory synapses, but is not essential for normal signal frequency. May promote the initial formation of synapses, but is not essential for this. In vitro, triggers the de novo formation of presynaptic structures.
See full target information Nlgn2

Product promise

We are committed to supporting your work with high-quality reagents, and we're here for you every step of the way. In the unlikely event that one of our products does not perform as expected, you're protected by our Product Promise.
For full details, please see our Terms & Conditions

Please note: All products are 'FOR RESEARCH USE ONLY. NOT FOR USE IN DIAGNOSTIC OR THERAPEUTIC PROCEDURES'.

For licensing inquiries, please contact partnerships@abcam.com