JavaScript is disabled in your browser. Please enable JavaScript to view this website.
AB244265

Anti-Neuroligin 3 antibody

Be the first to review this product! Submit a review

|

(2 Publications)

Rabbit Polyclonal Neuroligin 3 antibody. Suitable for IHC-P, WB and reacts with Human samples. Cited in 2 publications. Immunogen corresponding to Recombinant Fragment Protein within Human NLGN3 aa 1-200.

View Alternative Names

KIAA1480, NL3, NLGN3, Neuroligin-3, Gliotactin homolog

6 Images
Immunohistochemistry (Formalin/PFA-fixed paraffin-embedded sections) - Anti-Neuroligin 3 antibody (AB244265)
  • IHC-P

Unknown

Immunohistochemistry (Formalin/PFA-fixed paraffin-embedded sections) - Anti-Neuroligin 3 antibody (AB244265)

Formalin-fixed, paraffin-embedded human cerebral cortex tissue stained for Neuroligin 3 using ab244265 at 1/50 dilution in immunohistochemical analysis.

Immunohistochemistry (Formalin/PFA-fixed paraffin-embedded sections) - Anti-Neuroligin 3 antibody (AB244265)
  • IHC-P

Unknown

Immunohistochemistry (Formalin/PFA-fixed paraffin-embedded sections) - Anti-Neuroligin 3 antibody (AB244265)

Formalin-fixed, paraffin-embedded human cerebellum tissue stained for Neuroligin 3 using ab244265 at 1/50 dilution in immunohistochemical analysis.

Immunohistochemistry (Formalin/PFA-fixed paraffin-embedded sections) - Anti-Neuroligin 3 antibody (AB244265)
  • IHC-P

Unknown

Immunohistochemistry (Formalin/PFA-fixed paraffin-embedded sections) - Anti-Neuroligin 3 antibody (AB244265)

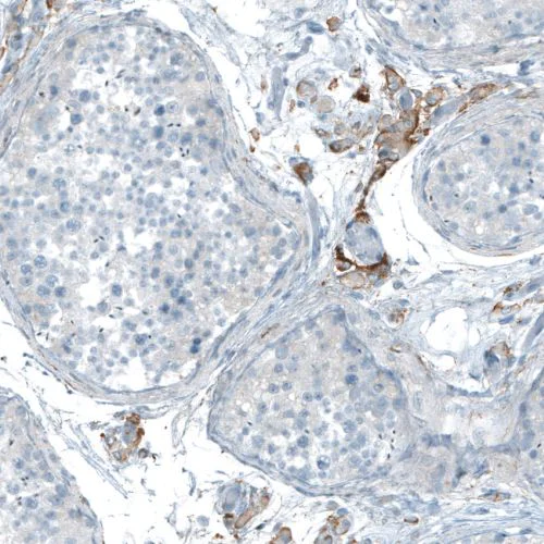
Formalin-fixed, paraffin-embedded human testis tissue stained for Neuroligin 3 using ab244265 at 1/50 dilution in immunohistochemical analysis.

Immunohistochemistry (Formalin/PFA-fixed paraffin-embedded sections) - Anti-Neuroligin 3 antibody (AB244265)
  • IHC-P

Unknown

Immunohistochemistry (Formalin/PFA-fixed paraffin-embedded sections) - Anti-Neuroligin 3 antibody (AB244265)

Formalin-fixed, paraffin-embedded human skeletal muscle tissue stained for Neuroligin 3 using ab244265 at 1/50 dilution in immunohistochemical analysis. Negative control.

Western blot - Anti-Neuroligin 3 antibody (AB244265)
  • WB

Unknown

Western blot - Anti-Neuroligin 3 antibody (AB244265)

All lanes:

Western blot - Anti-Neuroligin 3 antibody (ab244265) at 0.4 µg/mL

All lanes:

NTERA-2 cl.D1 [NT2/D1] (human malignant pluripotent embryonic carcinoma cell line) cell lysate

Predicted band size: 94 kDa

false

Western blot - Anti-Neuroligin 3 antibody (AB244265)
  • WB

Unknown

Western blot - Anti-Neuroligin 3 antibody (AB244265)

All lanes:

Western blot - Anti-Neuroligin 3 antibody (ab244265) at 0.4 µg/mL

Lane 1:

Vector only transfected HEK-293T cell lysate

Lane 2:

Neuroligin 3 overexpression HEK-293T cell lysate

Predicted band size: 94 kDa

false

Key facts

Host species

Rabbit

Clonality

Polyclonal

Isotype

IgG

Carrier free

No

Reacts with

Human

Applications

IHC-P, WB

applications

Immunogen

Recombinant Fragment Protein within Human NLGN3 aa 1-200. The exact immunogen used to generate this antibody is proprietary information.

Q9NZ94

Reactivity data

{ "title": "Reactivity Data", "filters": { "stats": ["", "Species", "Dilution Info", "Notes"], "tabs": { "all-applications": {"fullname" : "All Applications", "shortname": "All Applications"}, "IHCP" : {"fullname" : "Immunohistochemistry (Formalin/PFA-fixed paraffin-embedded sections)", "shortname":"IHC-P"}, "WB" : {"fullname" : "Western blot", "shortname":"WB"} }, "product-promise": { "all": "all", "testedAndGuaranteed": "tested", "guaranteed": "expected", "predicted": "predicted", "notRecommended": "not-recommended" } }, "values": { "Human": { "IHCP-species-checked": "testedAndGuaranteed", "IHCP-species-dilution-info": "1/50 - 1/200", "IHCP-species-notes": "<p></p> Perform heat-mediated antigen retrieval with citrate buffer pH 6 before commencing with IHC staining protocol.", "WB-species-checked": "testedAndGuaranteed", "WB-species-dilution-info": "0.04-0.4 µg/mL", "WB-species-notes": "<p></p>" }, "Mouse": { "IHCP-species-checked": "predicted", "IHCP-species-dilution-info": "", "IHCP-species-notes": "", "WB-species-checked": "predicted", "WB-species-dilution-info": "", "WB-species-notes": "" }, "Rat": { "IHCP-species-checked": "predicted", "IHCP-species-dilution-info": "", "IHCP-species-notes": "", "WB-species-checked": "predicted", "WB-species-dilution-info": "", "WB-species-notes": "" } } }

Properties and storage information

Form
Liquid
Purification technique
Affinity purification Immunogen
Storage buffer
pH: 7.2 Preservative: 0.02% Sodium azide Constituents: PBS, 40% Glycerol (glycerin, glycerine)
Shipped at conditions
Blue Ice
Appropriate short-term storage duration
1-2 weeks
Appropriate short-term storage conditions
+4°C
Appropriate long-term storage conditions
-20°C
Aliquoting information
Upon delivery aliquot
Storage information
Avoid freeze / thaw cycle

Supplementary information

This supplementary information is collated from multiple sources and compiled automatically.

Neuroligin-3 also known as NLGN3 is a synaptic cell adhesion molecule weighing approximately 83 kilodaltons. It is expressed in the central nervous system particularly in the brain where it plays a role in synapse formation and function. The protein facilitates the connection between neurons by interacting with neurexin another synaptic protein to form a complex that links pre- and postsynaptic neurons. This interaction is essential for establishing functional synapses.
Biological function summary

A role in the central nervous system highlights the importance of NLGN3 in the development and maintenance of synaptic networks. It is part of the neuroligin family which forms complexes with neurexins across the synaptic cleft to ensure proper communication between neurons. These complexes are important for synaptic health and function playing a role in neurotransmitter receptor clustering and signal transduction which affects synaptic plasticity and strength.

Pathways

NLGN3 contributes to the regulation of synaptic plasticity and the postsynaptic density assembly pathway. It interacts with proteins such as N110 and other neuroligins which are critical for the maintenance of excitatory and inhibitory balance in neuronal circuits. This balance is significant for learning and memory processes. Neuroligin-3 through its interaction with neurexin also influences synaptic transmission by modulating the recruitment of signaling molecules at the synapse.

Abnormalities in NLGN3 are linked to neurological conditions such as autism spectrum disorders (ASD) and X-linked mental retardation. Mutations or dysregulation of NLGN3 affect synaptic function and are closely studied for their impact on neural communication in these conditions. The interaction of NLGN3 with neurexin and other neuroligins places it at the center of research focused on unraveling the pathophysiology of these disorders aiming to understand how disruption in synaptic adhesion molecules leads to cognitive and developmental challenges.

Product protocols

For this product, it's our understanding that no specific protocols are required. You can visit:

Target data

Cell surface protein involved in cell-cell-interactions via its interactions with neurexin family members. Plays a role in synapse function and synaptic signal transmission, and may mediate its effects by clustering other synaptic proteins. May promote the initial formation of synapses, but is not essential for this. May also play a role in glia-glia or glia-neuron interactions in the developing peripheral nervous system (By similarity).
See full target information NLGN3

Publications (2)

Recent publications for all applications. Explore the full list and refine your search

Cell communication and signaling : CCS 22:560 PubMed39574183

2024

Exploiting potential molecular compounds for treating testicular seminoma by targeting immune related genes.

Applications

Unspecified application

Species

Unspecified reactive species

Yankang Cui,Xiaodie Zhou,Jing Zhang,Bo Fang,Jingping Ge,Hao Tang,Bianjiang Liu,Haowei He,Feng Xu,Xuejun Shang

Frontiers in cell and developmental biology 9:662763 PubMed34485271

2021

NLGN3 Upregulates Expression of ADAM10 to Promote the Cleavage of NLGN3 Activating the LYN Pathway in Human Gliomas.

Applications

Unspecified application

Species

Unspecified reactive species

Ning-Ning Dang,Xiao-Bing Li,Mei Zhang,Chen Han,Xiao-Yong Fan,Shu-Hong Huang
View all publications

Product promise

We are committed to supporting your work with high-quality reagents, and we're here for you every step of the way. In the unlikely event that one of our products does not perform as expected, you're protected by our Product Promise.
For full details, please see our Terms & Conditions

Please note: All products are 'FOR RESEARCH USE ONLY. NOT FOR USE IN DIAGNOSTIC OR THERAPEUTIC PROCEDURES'.

For licensing inquiries, please contact partnerships@abcam.com