JavaScript is disabled in your browser. Please enable JavaScript to view this website.
AB221145

Anti-Neuropeptide Y antibody [EPR21877]

  • BOND RX™ Validated
  • 20ul selling size
  • RabMAb
  • Advanced Validation
  • Recombinant
  • What is this?

4

(2 Reviews)

|

(6 Publications)

Rabbit Recombinant Monoclonal Neuropeptide Y antibody. Suitable for mIHC, IHC-P, IHC-Fr, Flow Cyt (Intra) and reacts with Human, Mouse, Rat samples. Cited in 6 publications.

View Alternative Names

Pro-neuropeptide Y, NPY

11 Images
Multiplex immunohistochemistry - Anti-Neuropeptide Y antibody [EPR21877] (AB221145)
  • mIHC

Supplier Data

Multiplex immunohistochemistry - Anti-Neuropeptide Y antibody [EPR21877] (AB221145)

Fluorescence multiplex immunohistochemical analysis of human adrenal gland (formalin-fixed paraffin-embedded section). Panel A shows merged staining of anti-PCSK2 stained on adrenal medulla (ab274418; gray; Opal™690) at 1 : 2000 (0.263 μg/ml) [Panel B], anti-CYP11A1 stained on adrenal cortex (ab272494; green; Opal™520) at 1 : 10000 (0.053 μg/ml) [Panel C], and anti-Neuropeptide Y stained on chromaffin cells (ab221145; red; Opal™570) at 1 : 2000 (0.279 μg/ml) [Panel D] on human adrenal gland. DAPI was used as a nuclear counter stain. Followed by Opal Polymer HRP Ms + Rb secondary antibody. The immunostaining was performed on a Leica Biosystems BOND® RX instrument with an Opal™ 4-color kit. Image acquisition was performed with Leica SP8 confocal microscope. The section was incubated in three rounds of staining : in the order of ab274418, ab272494, and ab221145 for 30 mins at room temperature. Each round was followed by a separate fluorescent tyramide signal amplification system. Heat mediated antigen retrieval with Tris-EDTA buffer (pH 9.0, epitope retrieval solution2) for 20 mins was used.

Immunohistochemistry (Formalin/PFA-fixed paraffin-embedded sections) - Anti-Neuropeptide Y antibody [EPR21877] (AB221145)
  • IHC-P

Supplier Data

Immunohistochemistry (Formalin/PFA-fixed paraffin-embedded sections) - Anti-Neuropeptide Y antibody [EPR21877] (AB221145)

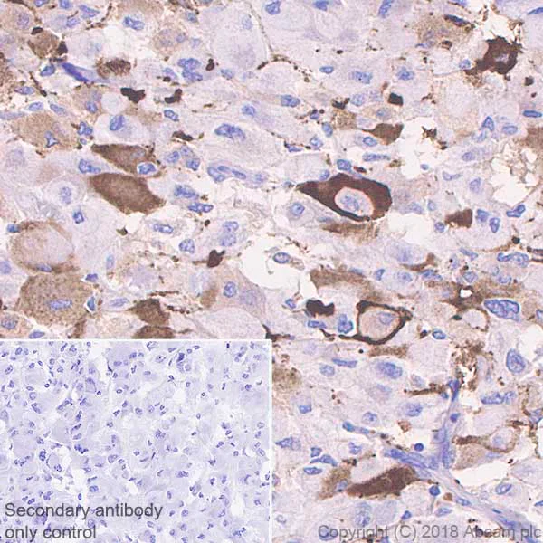
Immunohistochemical analysis of paraffin-embedded human pheochromocytoma tissue labeling Neuropeptide Y with ab221145 at 1/2000 dilution, followed by Rabbit specific IHC polymer detection kit HRP/DAB (ab209101) ready to use. Cytoplasmic staining in human pheochromocytoma (PMID : 15623622) is obserevd. Counterstained with hematoxylin. Universal HIER antigen retrieval reagent (10X) (ab208572) was used for the antigen retreival.
Secondary antibody only control : used PBS instead of primary antibody, secondary antibody is Rabbit specific IHC polymer detection kit HRP/DAB (ab209101).

Immunohistochemistry (Formalin/PFA-fixed paraffin-embedded sections) - Anti-Neuropeptide Y antibody [EPR21877] (AB221145)
  • IHC-P

Supplier Data

Immunohistochemistry (Formalin/PFA-fixed paraffin-embedded sections) - Anti-Neuropeptide Y antibody [EPR21877] (AB221145)

Immunohistochemical analysis of paraffin-embedded mouse cerebrum tissue labeling Neuropeptide Y with ab221145 at 1/2000 dilution, followed by Rabbit specific IHC polymer detection kit HRP/DAB (ab209101) ready to use. Positive staining on mouse cerebrum (PMID : 26444585) is observed. Counterstained with hematoxylin. Universal HIER antigen retrieval reagent (10X) (ab208572) was used for the antigen retrieval.
Secondary antibody only control : used PBS instead of primary antibody, secondary antibody is Rabbit specific IHC polymer detection kit HRP/DAB (ab209101).

Immunohistochemistry (Frozen sections) - Anti-Neuropeptide Y antibody [EPR21877] (AB221145)
  • IHC-Fr

Unknown

Immunohistochemistry (Frozen sections) - Anti-Neuropeptide Y antibody [EPR21877] (AB221145)

Immunohistochemical analysis of 4% PFA-fixed, 0.2% Triton X-100 permeabilized frozen Mouse cerebrum tissue labeling Neuropeptide Y with ab221145 at 1/500 dilution followed by ab150077 Goat Anti-Rabbit IgG H&L (Alexa Fluor® 488) at 1/1000 (2 ug/ml) dilution (Green). Positive staining on mouse cerebrum. is observed. The nuclear counterstain was DAPI (Blue).

Secondary antibody control : Secondary antibody is ab150077 Goat Anti-Rabbit IgG H&L (Alexa Fluor® 488) at 1000 (2 ug/ml) dilution.

Heat mediated antigen retrieval using sodium citrate buffer (10mM citrate pH 6.0 + 0.05% Tween-20).

Multiplex immunohistochemistry - Anti-Neuropeptide Y antibody [EPR21877] (AB221145)
  • mIHC

Lab

Multiplex immunohistochemistry - Anti-Neuropeptide Y antibody [EPR21877] (AB221145)

Multiplex immunohistochemistry analysis of formalin/PFA-fixed paraffin-embedded Mouse adrenal gland staining of ADX with ab321899 at a 1/2000 (0.244 µg/ml) dilution, VGF with ab308287 at 1/500 (0.95 µg/ml) dilution and Neuropeptide Y with ab221145 at 1/4000 ( 0.140 µg/ml) dilution.

Panel A : merged staining of anti-ADX (gray; Opal™690), anti-VGF (green; Opal™520) and anti-Neuropeptide Y (magenta; Opal™570) on mouse adrenal gland.
Panel B : anti-ADX staining adrenal cortex in mouse adrenal gland.
Panel C : anti-VGF staining endocrine cells in mouse adrenal gland medulla.
Panel D : nti-Neuropeptide Y staining chromaffin cells in mouse adrenal gland medulla.
Nuclear DNA was labelled with DAPI (shown in blue). ).

The section was incubated in three rounds of staining : in the order of ab321899, ab308287 and ab221145 for 30 mins at room temperature.. Each round was followed by a separate fluorescent tyramide signal amplification system.

Heat mediated antigen retrieval with Tris-EDTA buffer (pH 9.0 epitope retrieval solution2) for 20 mins.

Immunohistochemistry (Formalin/PFA-fixed paraffin-embedded sections) - Anti-Neuropeptide Y antibody [EPR21877] (AB221145)
  • IHC-P

Supplier Data

Immunohistochemistry (Formalin/PFA-fixed paraffin-embedded sections) - Anti-Neuropeptide Y antibody [EPR21877] (AB221145)

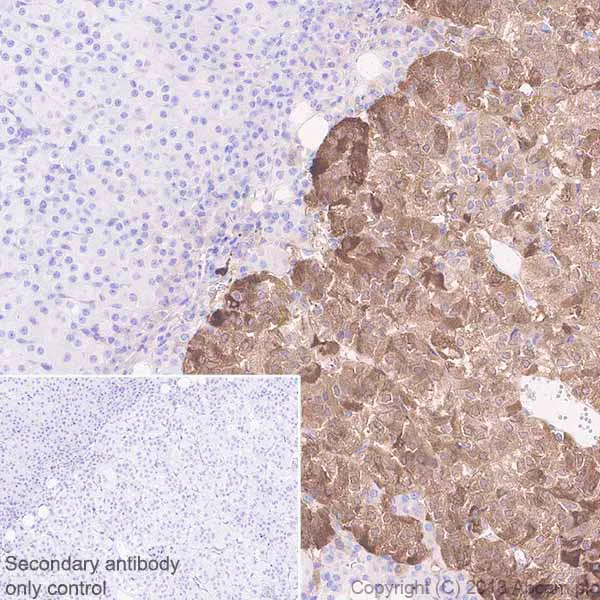
Immunohistochemical analysis of paraffin-embedded mouse adrenal gland tissue labeling Neuropeptide Y with ab221145 at 1/1000 dilution, followed by Rabbit specific IHC polymer detection kit HRP/DAB (ab209101) ready to use. Positive staining on chromaffin cells of mouse adrenal gland medulla (PMID : 26444585) is observed. Counterstained with hematoxylin. Universal HIER antigen retrieval reagent (10X) (ab208572) was used for the antigen retrieval.
Secondary antibody only control : used PBS instead of primary antibody, secondary antibody is Rabbit specific IHC polymer detection kit HRP/DAB (ab209101).

Multiplex immunohistochemistry - Anti-Neuropeptide Y antibody [EPR21877] (AB221145)
  • mIHC

Lab

Multiplex immunohistochemistry - Anti-Neuropeptide Y antibody [EPR21877] (AB221145)

Multiplex immunohistochemistry analysis of formalin/PFA-fixed paraffin-embedded Mouse adrenal gland staining of VGF with ab313783 at a 1/500 (0.96 µg/ml) dilution, CYP11A1 with ab272494 at a 1/10000 (0.053 µg/ml) dilution and Neuropeptide Y with ab221145 at a 1/4000 (0.140 µg/ml) dilution followed by a ready to use secondary antibody Opal Polymer HRP Ms + Rb.

Panel A : merged staining of anti-VGF (green; Opal™690), anti-CYP11A1 (magenta; Opal™520) and anti-Neuropeptide Y (gray; Opal™570) on mouse adrenal gland.
Panel B : anti-VGF staining endocrine cells in mouse adrenal gland medulla.
Panel C : anti-CYP11A1 staining adrenal cortex in mouse adrenal gland.
Panel D : anti-Neuropeptide Y staining endocrine cells in mouse adrenal gland medulla.
Nuclear DNA was labeled with DAPI (shown in blue).

The section was incubated in three rounds of staining : in the order of ab313783, ab272494 and ab221145 for 30 mins at room temperature. Each round was followed by a separate fluorescent tyramide signal amplification system.

Heat mediated antigen retrieval with Tris-EDTA buffer (pH 9.0, epitope retrieval solution2) for 20 mins.

Multiplex immunohistochemistry - Anti-Neuropeptide Y antibody [EPR21877] (AB221145)
  • mIHC

Lab

Multiplex immunohistochemistry - Anti-Neuropeptide Y antibody [EPR21877] (AB221145)

Multiplex immunohistochemistry analysis of formalin/PFA-fixed paraffin-embedded Rat adrenal gland staining of VGF with ab313783 at a 1/500 (0.96 µg/ml) dilution, CYP11A1 with ab272494 at a 1/10000 (0.053 µg/ml) dilution and Neuropeptide Y with ab221145 at a 1/4000 (0.140 µg/ml) dilution followed by a ready to use secondary antibody Opal Polymer HRP Ms + Rb.

Panel A : merged staining of anti-VGF (green; Opal™690), anti-CYP11A1 (magenta; Opal™520) and anti-Neuropeptide Y (gray; Opal™570) on rat adrenal gland.
Panel B : anti-VGF staining endocrine cells in rat adrenal gland medulla.
Panel C : anti-CYP11A1 staining adrenal cortex in rat adrenal gland.
Panel D : anti-Neuropeptide Y staining chromaffin cellsa in rat adrenal gland medulla.
Nuclear DNA was labeled with DAPI (shown in blue).

The section was incubated in three rounds of staining : in the order of ab313783, ab272494 and ab221145 for 30 mins at room temperature. Each round was followed by a separate fluorescent tyramide signal amplification system.

Heat mediated antigen retrieval with Tris-EDTA buffer (pH 9.0, epitope retrieval solution2) for 20 mins.

Immunohistochemistry (Formalin/PFA-fixed paraffin-embedded sections) - Anti-Neuropeptide Y antibody [EPR21877] (AB221145)
  • IHC-P

Supplier Data

Immunohistochemistry (Formalin/PFA-fixed paraffin-embedded sections) - Anti-Neuropeptide Y antibody [EPR21877] (AB221145)

Immunohistochemical analysis of paraffin-embedded rat adrenal gland tissue labeling Neuropeptide Y with ab221145 at 1/2000 dilution, followed by Rabbit specific IHC polymer detection kit HRP/DAB (ab209101) ready to use. Cytoplasmic staining in chromaffin cells of rat adrenal gland medulla (PMID : 15623622) is observed. Counterstained with hematoxylin. Universal HIER antigen retrieval reagent (10X) (ab208572) was used for the antigen retrieval.
Secondary antibody only control : used PBS instead of primary antibody, secondary antibody is Rabbit specific IHC polymer detection kit HRP/DAB (ab209101).

Flow Cytometry - Anti-Neuropeptide Y antibody [EPR21877] (AB221145)
  • Flow Cyt

Lab

Flow Cytometry - Anti-Neuropeptide Y antibody [EPR21877] (AB221145)

Flow Cytometry analysis of Rat primary neural/glia cell labeling Neuropeptide Y with ab221145 at 1/500 dilution followed by ab150081 at 1/5000 dilution. Cells were fixed with 4% paraformaldehyde and permeabilised with 90% methanol. Isotype control- Rabbit monoclonal IgG (ab172730) / Left.

Immunohistochemistry (Frozen sections) - Anti-Neuropeptide Y antibody [EPR21877] (AB221145)
  • IHC-Fr

Supplier Data

Immunohistochemistry (Frozen sections) - Anti-Neuropeptide Y antibody [EPR21877] (AB221145)

Immunohistochemical analysis of 4% paraformaldehyde-fixed, 0.2% Triton X-100 permeabilized rat cerebrum tisssue labeling Neuropeptide Y with ab221145 at 1/100 dilution, followed by AlexaFluor®488 Goat anti-Rabbit secondary (ab150077) at 1/1000 dilution. Positive staining in hypothalamic paraventricular nucleus of rat cerebrum (PMID : 19357287) is observed. Counterstained with DAPI (Nuclear).

Perform heat mediated antigen retrieval with sodium citrate buffer (10 mM citrate pH 6.0 + 0.05% Tween-20).
Secondary antibody only control : Used PBS instead of primary antibody, secondary antibody is AlexaFluor®488 Goat anti-Rabbit secondary (ab150077) at 1/1000 dilution.

  • Carrier free

    Anti-Neuropeptide Y antibody [EPR21877] - BSA and Azide free

  • 578 PE

    PE Anti-Neuropeptide Y antibody [EPR21877]

  • 565 Alexa Fluor® 555

    Alexa Fluor® 555 Anti-Neuropeptide Y antibody [EPR21877]

  • 660 APC

    APC Anti-Neuropeptide Y antibody [EPR21877]

  • 665 Alexa Fluor® 647

    Alexa Fluor® 647 Anti-Neuropeptide Y antibody [EPR21877]

  • 519 Alexa Fluor® 488

    Alexa Fluor® 488 Anti-Neuropeptide Y antibody [EPR21877]

  • 617 Alexa Fluor® 594

    Alexa Fluor® 594 Anti-Neuropeptide Y antibody [EPR21877]

  • 775 Alexa Fluor® 750

    Alexa Fluor® 750 Anti-Neuropeptide Y antibody [EPR21877]

Key facts

Host species

Rabbit

Clonality

Monoclonal

Clone number

EPR21877

Isotype

IgG

Carrier free

No

Reacts with

Mouse, Rat, Human

Applications

IHC-Fr, Flow Cyt (Intra), mIHC, IHC-P

applications

Immunogen

The exact immunogen used to generate this antibody is proprietary information.

Reactivity data

{ "title": "Reactivity Data", "filters": { "stats": ["", "Species", "Dilution Info", "Notes"], "tabs": { "all-applications": {"fullname" : "All Applications", "shortname": "All Applications"}, "mIHC" : {"fullname" : "Multiplex immunohistochemistry", "shortname":"mIHC"}, "IHCP" : {"fullname" : "Immunohistochemistry (Formalin/PFA-fixed paraffin-embedded sections)", "shortname":"IHC-P"}, "IHCFr" : {"fullname" : "Immunohistochemistry (Frozen sections)", "shortname":"IHC-Fr"}, "FlowCytIntra" : {"fullname" : "Flow Cytometry (Intracellular)", "shortname":"Flow Cyt (Intra)"} }, "product-promise": { "all": "all", "testedAndGuaranteed": "tested", "guaranteed": "expected", "predicted": "predicted", "notRecommended": "not-recommended" } }, "values": { "Human": { "mIHC-species-checked": "testedAndGuaranteed", "mIHC-species-dilution-info": "1/2000", "mIHC-species-notes": "<p></p> Perform heat-mediated antigen retrieval with Tris/EDTA buffer pH 9.0 before commencing with IHC staining protocol.", "IHCP-species-checked": "testedAndGuaranteed", "IHCP-species-dilution-info": "1/2000", "IHCP-species-notes": "<p>1:2000 dilution recommended for human, mouse and rat species.<br>1:10000 dilution recommended for mouse adrenal gland tissue.</p><p>Perform antigen retrieval with universal HIER antigen retrieval reagent (10X) (<a href='/en-us/products/ihc-kits/universal-hier-antigen-retrieval-reagent-10x-ab208572'>ab208572</a>).</p>", "IHCFr-species-checked": "guaranteed", "IHCFr-species-dilution-info": "", "IHCFr-species-notes": "", "FlowCytIntra-species-checked": "notRecommended", "FlowCytIntra-species-dilution-info": "", "FlowCytIntra-species-notes": "<p></p>" }, "Mouse": { "mIHC-species-checked": "testedAndGuaranteed", "mIHC-species-dilution-info": "1/2000", "mIHC-species-notes": "<p></p>", "IHCP-species-checked": "testedAndGuaranteed", "IHCP-species-dilution-info": "1/2000", "IHCP-species-notes": "<p>1:2000 dilution recommended for human, mouse and rat species.<br>1:10000 dilution recommended for mouse adrenal gland tissue.</p><p>Perform antigen retrieval with universal HIER antigen retrieval reagent (10X) (<a href='/en-us/products/ihc-kits/universal-hier-antigen-retrieval-reagent-10x-ab208572'>ab208572</a>).</p>", "IHCFr-species-checked": "testedAndGuaranteed", "IHCFr-species-dilution-info": "1/100 - 1/500", "IHCFr-species-notes": "<p></p>", "FlowCytIntra-species-checked": "notRecommended", "FlowCytIntra-species-dilution-info": "", "FlowCytIntra-species-notes": "<p></p>" }, "Rat": { "mIHC-species-checked": "testedAndGuaranteed", "mIHC-species-dilution-info": "1/2000", "mIHC-species-notes": "<p></p>", "IHCP-species-checked": "testedAndGuaranteed", "IHCP-species-dilution-info": "1/2000", "IHCP-species-notes": "<p>1:2000 dilution recommended for human, mouse and rat species.<br>1:10000 dilution recommended for mouse adrenal gland tissue.</p><p>Perform antigen retrieval with universal HIER antigen retrieval reagent (10X) (<a href='/en-us/products/ihc-kits/universal-hier-antigen-retrieval-reagent-10x-ab208572'>ab208572</a>).</p>", "IHCFr-species-checked": "testedAndGuaranteed", "IHCFr-species-dilution-info": "1/100 - 1/500", "IHCFr-species-notes": "<p></p>", "FlowCytIntra-species-checked": "testedAndGuaranteed", "FlowCytIntra-species-dilution-info": "1/500", "FlowCytIntra-species-notes": "<p></p>" } } }

Product details

Patented technology
Our RabMAb® technology is a patented hybridoma-based technology for making rabbit monoclonal antibodies. For details on our patents, please refer to RabMAb® patents.

What are the advantages of a recombinant monoclonal antibody?
This product is a recombinant monoclonal antibody, which offers several advantages including:

  • - High batch-to-batch consistency and reproducibility
  • - Improved sensitivity and specificity
  • - Long-term security of supply
  • - Animal-free batch production

For more information, read more on recombinant antibodies.

Properties and storage information

Form
Liquid
Purification technique
Affinity purification Protein A
Storage buffer
pH: 7.2 - 7.4 Preservative: 0.01% Sodium azide Constituents: PBS, 40% Glycerol (glycerin, glycerine), 0.05% BSA
Shipped at conditions
Blue Ice
Appropriate short-term storage duration
1-2 weeks
Appropriate short-term storage conditions
+4°C
Appropriate long-term storage conditions
-20°C
Aliquoting information
Upon delivery aliquot
Storage information
Avoid freeze / thaw cycle

Supplementary information

This supplementary information is collated from multiple sources and compiled automatically.

Neuropeptide Y (NPY) a 36 amino acid peptide functions mechanically as a neurotransmitter in the central and peripheral nervous systems. Alternate names include porcine peptide YY. The molecular weight of Neuropeptide Y is approximately 4 kDa. It expresses primarily in regions of the brain such as the hypothalamus and sympathetic nervous system as well as in other tissues including the heart adrenal glands and white adipose tissue.
Biological function summary

Neuropeptide Y plays an important role in regulating various physiological processes. It is not typically part of a complex but acts directly on specific receptors mainly Y1 Y2 Y4 and Y5. Neuropeptide Y affects food intake behavior stress response circadian rhythm and cardiovascular regulation. It does so by modulating the release of other neurotransmitters or hormones having a significant impact on energy balance and homeostasis.

Pathways

Neuropeptide Y plays a pivotal role in neurobiological signaling pathways especially those involving stress and energy homeostasis. In the hypothalamus NPY influences energy balance by interacting with the melanocortin pathway an important modulator of appetite and energy expenditure. It also interacts with proteins such as pro-opiomelanocortin (POMC) in these signaling pathways highlighting its integration into complex physiological processes that maintain homeostasis.

Neuropeptide Y shows a significant connection to metabolic disorders and stress-related conditions. Dysregulation of NPY signaling has been implicated in obesity given its role in promoting food intake and energy storage. Additionally altered Neuropeptide Y activity links to anxiety and depression diseases involving stress-response dysregulation. Proteins like leptin which interacts with NPY in pathways governing hunger and energy allocation provide another layer of regulation affecting these conditions.

Product protocols

For this product, it's our understanding that no specific protocols are required. You can visit:

Target data

NPY is implicated in the control of feeding and in secretion of gonadotrophin-release hormone.
See full target information NPY

Publications (6)

Recent publications for all applications. Explore the full list and refine your search

Antioxidants (Basel, Switzerland) 14: PubMed40722910

2025

The Antioxidant and Skin-Brightening Effects of a Novel Caffeic Acid Derivative, Caffeic Acid-3,4-Dihydroxyphenylpropanolester.

Applications

Unspecified application

Species

Unspecified reactive species

Kyu-Lim Kim,Ju-Hee Jeon,Yeonjoon Kim,Kyung-Min Lim

The Journal of comparative neurology 532:e70003 PubMed39656141

2024

Developmental and Adult Striatal Patterning of Nociceptin Ligand Marks Striosomal Population With Direct Dopamine Projections.

Applications

Unspecified application

Species

Unspecified reactive species

Emily Hueske,Carrie Stine,Tomoko Yoshida,Jill R Crittenden,Akshay Gupta,Joseph C Johnson,Ananya S Achanta,Smitha Bhagavatula,Johnny Loftus,Ara Mahar,Dan Hu,Jesus Azocar,Ryan J Gray,Michael R Bruchas,Ann M Graybiel

iScience 26:108306 PubMed38026209

2023

Preclinical long-term safety of intraspinal transplantation of human dorsal spinal GABA neural progenitor cells.

Applications

Unspecified application

Species

Unspecified reactive species

Xiaolong Zheng,Zhixian Liu,Ziyu He,Jia Xu,YaNan Wang,ChenZi Gong,Ruoying Zhang,Su-Chun Zhang,Hong Chen,Wei Wang

Nature communications 14:4796 PubMed37558705

2023

Single-cell analysis reveals region-heterogeneous responses in rhesus monkey spinal cord with complete injury.

Applications

Unspecified application

Species

Unspecified reactive species

Yongheng Fan,Xianming Wu,Sufang Han,Qi Zhang,Zheng Sun,Bing Chen,Xiaoyu Xue,Haipeng Zhang,Zhenni Chen,Man Yin,Zhifeng Xiao,Yannan Zhao,Jianwu Dai

Bioscience reports 42: PubMed35730583

2022

Rbfox1 expression in amacrine cells is restricted to GABAergic and VGlut3 glycinergic cells.

Applications

Unspecified application

Species

Unspecified reactive species

Lei Gu,Joseph Caprioli,Natik Piri

The Journal of clinical investigation 131: PubMed34673574

2021

Melanocortin 4 receptor stimulation prevents antidepressant-associated weight gain in mice caused by long-term fluoxetine exposure.

Applications

Unspecified application

Species

Unspecified reactive species

María José Ortuño,Marc Schneeberger,Anoj Ilanges,François Marchildon,Kyle Pellegrino,Jeffrey M Friedman,Patricia Ducy
View all publications

Product promise

We are committed to supporting your work with high-quality reagents, and we're here for you every step of the way. In the unlikely event that one of our products does not perform as expected, you're protected by our Product Promise.
For full details, please see our Terms & Conditions

Please note: All products are 'FOR RESEARCH USE ONLY. NOT FOR USE IN DIAGNOSTIC OR THERAPEUTIC PROCEDURES'.

For licensing inquiries, please contact partnerships@abcam.com