JavaScript is disabled in your browser. Please enable JavaScript to view this website.
AB269277

Anti-Neuroserpin antibody [EPR23329-221]

  • BOND RX™ Validated
  • 20ul selling size
  • RabMAb
  • Recombinant
  • What is this?

5

(1 Review)

|

(1 Publication)

Rabbit Recombinant Monoclonal Neuroserpin antibody. Suitable for WB, IHC-P and reacts with Human, Mouse, Rat samples. Cited in 1 publication.

View Alternative Names

PI12, SERPINI1, Neuroserpin, Peptidase inhibitor 12, Serpin I1, PI-12

7 Images
Immunohistochemistry (Formalin/PFA-fixed paraffin-embedded sections) - Anti-Neuroserpin antibody [EPR23329-221] (AB269277)
  • IHC-P

Unknown

Immunohistochemistry (Formalin/PFA-fixed paraffin-embedded sections) - Anti-Neuroserpin antibody [EPR23329-221] (AB269277)

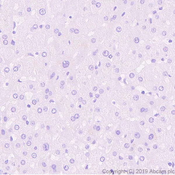
Immunohistochemical analysis of paraffin-embedded human liver tissue labeling Neuroserpin with ab269277 at 1/2000 followed by a ready to use Rabbit specific IHC polymer detection kit HRP/DAB (ab209101).

Negative control : No staining on human liver (PMID : 9070919).

The section was incubated with ab269277 for 30 mins at room temperature. The immunostaining was performed on a Leica Biosystems BOND® RX instrument. Counterstained with hematoxylin.

Secondary antibody only control : Secondary antibody is a ready to use Rabbit specific IHC polymer detection kit HRP/DAB (ab209101).

Heat mediated antigen retrieval with Citrate buffer (pH 6.0, epitope retrieval solution 1) for 20 mins.

Immunohistochemistry (Formalin/PFA-fixed paraffin-embedded sections) - Anti-Neuroserpin antibody [EPR23329-221] (AB269277)
  • IHC-P

Unknown

Immunohistochemistry (Formalin/PFA-fixed paraffin-embedded sections) - Anti-Neuroserpin antibody [EPR23329-221] (AB269277)

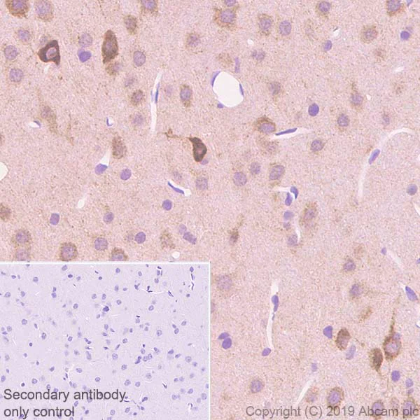
Immunohistochemical analysis of paraffin-embedded human cerebrum tissue labeling Neuroserpin with ab269277 at 1/2000 followed by a ready to use Rabbit specific IHC polymer detection kit HRP/DAB (ab209101). Cytoplasmic staining on human cerebrum (PMID : 17040209). The section was incubated with ab269277 for 30 mins at room temperature. The immunostaining was performed on a Leica Biosystems BOND® RX instrument. Counterstained with hematoxylin.

Secondary antibody only control : Secondary antibody is a ready to use Rabbit specific IHC polymer detection kit HRP/DAB (ab209101).

Heat mediated antigen retrieval with Citrate buffer (pH 6.0, epitope retrieval solution 1) for 20 mins.

Immunohistochemistry (Formalin/PFA-fixed paraffin-embedded sections) - Anti-Neuroserpin antibody [EPR23329-221] (AB269277)
  • IHC-P

Unknown

Immunohistochemistry (Formalin/PFA-fixed paraffin-embedded sections) - Anti-Neuroserpin antibody [EPR23329-221] (AB269277)

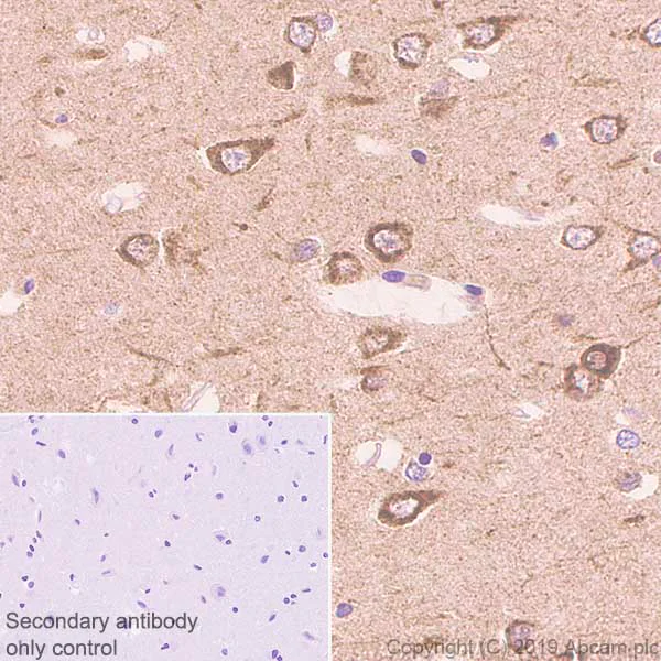
Immunohistochemical analysis of paraffin-embedded rat cerebrum tissue labeling Neuroserpin with ab269277 at 1/500 followed by a ready to use Rabbit specific IHC polymer detection kit HRP/DAB (ab209101). Cytoplasmic staining on rat cerebrum (PMID : 17040209). The section was incubated with ab269277 for 30 mins at room temperature. The immunostaining was performed on a Leica Biosystems BOND® RX instrument. Counterstained with hematoxylin.

Secondary antibody only control : Secondary antibody is a ready to use Rabbit specific IHC polymer detection kit HRP/DAB (ab209101).

Heat mediated antigen retrieval with Citrate buffer (pH 6.0, epitope retrieval solution 1) for 20 mins.

Immunohistochemistry (Formalin/PFA-fixed paraffin-embedded sections) - Anti-Neuroserpin antibody [EPR23329-221] (AB269277)
  • IHC-P

Unknown

Immunohistochemistry (Formalin/PFA-fixed paraffin-embedded sections) - Anti-Neuroserpin antibody [EPR23329-221] (AB269277)

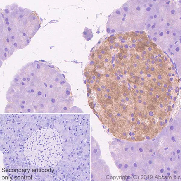
Immunohistochemical analysis of paraffin-embedded mouse pancreas tissue labeling Neuroserpin with ab269277 at 1/500 followed by a ready to use Rabbit specific IHC polymer detection kit HRP/DAB (ab209101). Cytoplasmic staining on mouse pancreatic islet (PMID : 9407089). The section was incubated with ab269277 for 30 mins at room temperature. The immunostaining was performed on a Leica Biosystems BOND® RX instrument. Counterstained with hematoxylin.

Secondary antibody only control : Secondary antibody is a ready to use Rabbit specific IHC polymer detection kit HRP/DAB (ab209101).

Heat mediated antigen retrieval with Citrate buffer (pH 6.0, epitope retrieval solution 1) for 20 mins.

Western blot - Anti-Neuroserpin antibody [EPR23329-221] (AB269277)
  • WB

Unknown

Western blot - Anti-Neuroserpin antibody [EPR23329-221] (AB269277)

Blocking and diluting buffer and concentration : 5% NFDM/TBST.

Negative control : Human skeletal muscle (PMID : 9070919).

Exposure time : 3 mins.

All lanes:

Western blot - Anti-Neuroserpin antibody [EPR23329-221] (ab269277) at 1/1000 dilution

Lane 1:

Human brain tissue lysate at 20 µg

Lane 2:

Human skeletal muscle tissue lysate at 40 µg

Secondary

All lanes:

Western blot - Goat Anti-Rabbit IgG H&L (HRP) (<a href='/en-us/products/secondary-antibodies/goat-rabbit-igg-h-l-hrp-ab97051'>ab97051</a>) at 1/100000 dilution

Predicted band size: 46 kDa

false

Western blot - Anti-Neuroserpin antibody [EPR23329-221] (AB269277)
  • WB

Unknown

Western blot - Anti-Neuroserpin antibody [EPR23329-221] (AB269277)

Blocking and diluting buffer and concentration : 5% NFDM/TBST.

Exposure time : 114 secs.

All lanes:

Western blot - Anti-Neuroserpin antibody [EPR23329-221] (ab269277) at 1/1000 dilution

All lanes:

Mouse brain tissue lysate at 20 µg

Secondary

All lanes:

Western blot - Goat Anti-Rabbit IgG H&L (HRP) (<a href='/en-us/products/secondary-antibodies/goat-rabbit-igg-h-l-hrp-ab97051'>ab97051</a>) at 1/100000 dilution

Predicted band size: 46 kDa

false

Western blot - Anti-Neuroserpin antibody [EPR23329-221] (AB269277)
  • WB

Unknown

Western blot - Anti-Neuroserpin antibody [EPR23329-221] (AB269277)

Blocking and diluting buffer and concentration : 5% NFDM/TBST.

Exposure time : 3 mins.

All lanes:

Western blot - Anti-Neuroserpin antibody [EPR23329-221] (ab269277) at 1/1000 dilution

All lanes:

Rat pancreas tissue lysate at 20 µg

Secondary

All lanes:

Western blot - Goat Anti-Rabbit IgG H&L (HRP) (<a href='/en-us/products/secondary-antibodies/goat-rabbit-igg-h-l-hrp-ab97051'>ab97051</a>) at 1/10000 dilution

Predicted band size: 46 kDa

false

  • Carrier free

    Anti-Neuroserpin antibody [EPR23329-221] - BSA and Azide free

Key facts

Host species

Rabbit

Clonality

Monoclonal

Clone number

EPR23329-221

Isotype

IgG

Carrier free

No

Reacts with

Mouse, Rat, Human

Applications

IHC-P, WB

applications

Immunogen

The exact immunogen used to generate this antibody is proprietary information.

Reactivity data

{ "title": "Reactivity Data", "filters": { "stats": ["", "Species", "Dilution Info", "Notes"], "tabs": { "all-applications": {"fullname" : "All Applications", "shortname": "All Applications"}, "WB" : {"fullname" : "Western blot", "shortname":"WB"}, "IHC" : {"fullname" : "Immunohistochemistry", "shortname":"IHC"}, "IHCP" : {"fullname" : "Immunohistochemistry (Formalin/PFA-fixed paraffin-embedded sections)", "shortname":"IHC-P"}, "IP" : {"fullname" : "Immunoprecipitation", "shortname":"IP"}, "IHCFr" : {"fullname" : "Immunohistochemistry (Frozen sections)", "shortname":"IHC-Fr"} }, "product-promise": { "all": "all", "testedAndGuaranteed": "tested", "guaranteed": "expected", "predicted": "predicted", "notRecommended": "not-recommended" } }, "values": { "Human": { "WB-species-checked": "testedAndGuaranteed", "WB-species-dilution-info": "1/1000", "WB-species-notes": "<p></p>", "IHC-species-checked": "notRecommended", "IHC-species-dilution-info": "", "IHC-species-notes": "<p></p>", "IHCP-species-checked": "guaranteed", "IHCP-species-dilution-info": "", "IHCP-species-notes": "", "IP-species-checked": "notRecommended", "IP-species-dilution-info": "", "IP-species-notes": "<p></p>", "IHCFr-species-checked": "notRecommended", "IHCFr-species-dilution-info": "", "IHCFr-species-notes": "" }, "Mouse": { "WB-species-checked": "testedAndGuaranteed", "WB-species-dilution-info": "1/1000", "WB-species-notes": "<p></p>", "IHC-species-checked": "notRecommended", "IHC-species-dilution-info": "", "IHC-species-notes": "", "IHCP-species-checked": "testedAndGuaranteed", "IHCP-species-dilution-info": "1/200", "IHCP-species-notes": "<p></p>", "IP-species-checked": "notRecommended", "IP-species-dilution-info": "", "IP-species-notes": "", "IHCFr-species-checked": "notRecommended", "IHCFr-species-dilution-info": "", "IHCFr-species-notes": "<p></p>" }, "Rat": { "WB-species-checked": "testedAndGuaranteed", "WB-species-dilution-info": "1/1000", "WB-species-notes": "<p></p>", "IHC-species-checked": "notRecommended", "IHC-species-dilution-info": "", "IHC-species-notes": "", "IHCP-species-checked": "guaranteed", "IHCP-species-dilution-info": "", "IHCP-species-notes": "", "IP-species-checked": "notRecommended", "IP-species-dilution-info": "", "IP-species-notes": "", "IHCFr-species-checked": "notRecommended", "IHCFr-species-dilution-info": "", "IHCFr-species-notes": "<p></p>" } } }

Product details

Patented technology
Our RabMAb® technology is a patented hybridoma-based technology for making rabbit monoclonal antibodies. For details on our patents, please refer to RabMAb® patents.

What are the advantages of a recombinant monoclonal antibody?
This product is a recombinant monoclonal antibody, which offers several advantages including:

  • - High batch-to-batch consistency and reproducibility
  • - Improved sensitivity and specificity
  • - Long-term security of supply
  • - Animal-free batch production

For more information, read more on recombinant antibodies.

Properties and storage information

Form
Liquid
Purification technique
Affinity purification Protein A
Storage buffer
pH: 7.2 - 7.4 Preservative: 0.01% Sodium azide Constituents: PBS, 40% Glycerol (glycerin, glycerine), 0.05% BSA
Shipped at conditions
Blue Ice
Appropriate short-term storage duration
1-2 weeks
Appropriate short-term storage conditions
+4°C
Appropriate long-term storage conditions
-20°C
Aliquoting information
Upon delivery aliquot
Storage information
Avoid freeze / thaw cycle

Supplementary information

This supplementary information is collated from multiple sources and compiled automatically.

Neuroserpin also known by its alternate name Serpin I1 is a member of the serine protease inhibitor family. It weighs about 44 kDa. Neuroserpin expresses mainly in the nervous system particularly in the brain and spinal cord where it regulates proteolytic activity. It localizes to the endoplasmic reticulum and is secreted to the extracellular space influencing neural processes.
Biological function summary

Neuroserpin plays an important role in nervous system development and maintenance. It inhibits tissue plasminogen activator (tPA) a protease involved in breaking down blood clots and controls extracellular matrix modifications. Neuroserpin does not form part of a complex but interacts with other key proteins for its function. Its regulation of tPA influences synaptic plasticity and protection of neurons from excessive proteolysis which is essential in maintaining proper brain function.

Pathways

Neuroserpin's activity is significant in the plasminogen activation system and neurotrophic pathways. It influences the balance of proteolytic activities that affect cell migration and synaptic remodeling. Related proteins in these pathways include proteases like tPA and neurotrophins like brain-derived neurotrophic factor (BDNF) which support neuronal survival.

Mutations in neuroserpin are linked to familial encephalopathy with neuroserpin inclusion bodies (FENIB) and Alzheimer's disease. FENIB is caused by neuroserpin polymerization and accumulation leading to neurodegeneration. In Alzheimer's disease neuroserpin interaction with amyloid precursor protein pathways contributes to plaque formation and neuronal dysfunction. Neuroserpin's connection with defective tPA regulation underlies its association with these neurodegenerative conditions.

Product protocols

For this product, it's our understanding that no specific protocols are required. You can visit:

Target data

Serine protease inhibitor that inhibits plasminogen activators and plasmin but not thrombin (PubMed : 11880376, PubMed : 19265707, PubMed : 19285087, PubMed : 26329378, PubMed : 9442076). May be involved in the formation or reorganization of synaptic connections as well as for synaptic plasticity in the adult nervous system. May protect neurons from cell damage by tissue-type plasminogen activator (Probable).
See full target information SERPINI1

Publications (1)

Recent publications for all applications. Explore the full list and refine your search

Pediatric research 97:1199-1208 PubMed39085403

2024

Neuroserpin normalization by mesenchymal stem cell therapy after encephalopathy of prematurity in neonatal rats.

Applications

Unspecified application

Species

Unspecified reactive species

Lan-Wan Wang,Chien-Wei Hsiung,Ching-Ping Chang,Mao-Tsun Lin,Shyi-Jou Chen
View all publications

Product promise

We are committed to supporting your work with high-quality reagents, and we're here for you every step of the way. In the unlikely event that one of our products does not perform as expected, you're protected by our Product Promise.
For full details, please see our Terms & Conditions

Please note: All products are 'FOR RESEARCH USE ONLY. NOT FOR USE IN DIAGNOSTIC OR THERAPEUTIC PROCEDURES'.

For licensing inquiries, please contact partnerships@abcam.com