JavaScript is disabled in your browser. Please enable JavaScript to view this website.
AB274426

Anti-Neurturin antibody [EPR23301-10] - BSA and Azide free

Be the first to review this product! Submit a review

|

(0 Publication)

Rabbit Recombinant Monoclonal Neurturin antibody. Carrier free. Suitable for IHC-P, WB and reacts with Human, Mouse, Rat samples.

View Alternative Names

Neurturin, NRTN

6 Images
Immunohistochemistry (Formalin/PFA-fixed paraffin-embedded sections) - Anti-Neurturin antibody [EPR23301-10] - BSA and Azide free (AB274426)
  • IHC-P

Unknown

Immunohistochemistry (Formalin/PFA-fixed paraffin-embedded sections) - Anti-Neurturin antibody [EPR23301-10] - BSA and Azide free (AB274426)

This data was developed using ab274417, the same antibody clone in a different buffer formulation.

Immunohistochemical analysis of paraffin-embedded Human cerebrum tissue labeling Neurturin with ab274417 at 1/500 (1.094 ug/ml) dilution followed by a ready to use Rabbit specific IHC polymer detection kit HRP/DAB (ab209101). Positive staining on human cerebrum (PMID : 25841760). The section was incubated with ab274417 for 30 mins at room temperature. The immunostaining was performed on a Leica Biosystems BOND® RX instrument Counterstained with Hematoxylin.

Secondary antibody only control : Secondary antibody is a ready to use Rabbit specific IHC polymer detection kit HRP/DAB (ab209101).

Heat mediated antigen retrieval with Tris-EDTA buffer (pH 9.0, epitope retrieval solution2) for 20 mins.

Immunohistochemistry (Formalin/PFA-fixed paraffin-embedded sections) - Anti-Neurturin antibody [EPR23301-10] - BSA and Azide free (AB274426)
  • IHC-P

Unknown

Immunohistochemistry (Formalin/PFA-fixed paraffin-embedded sections) - Anti-Neurturin antibody [EPR23301-10] - BSA and Azide free (AB274426)

This data was developed using ab274417, the same antibody clone in a different buffer formulation.

Immunohistochemical analysis of paraffin-embedded Human testis tissue labeling Neurturin with ab274417 at 1/500 (1.094 ug/ml) dilution followed by a ready to use Rabbit specific IHC polymer detection kit HRP/DAB (ab209101). Positive staining on human testis. The section was incubated with ab274417 for 30 mins at room temperature.The immunostaining was performed on a Leica Biosystems BOND® RX instrument. Counterstained with Hematoxylin.

Secondary antibody only control : Secondary antibody is a ready to use Rabbit specific IHC polymer detection kit HRP/DAB (ab209101).

Heat mediated antigen retrieval with Tris-EDTA buffer (pH 9.0, epitope retrieval solution2) for 20 mins.

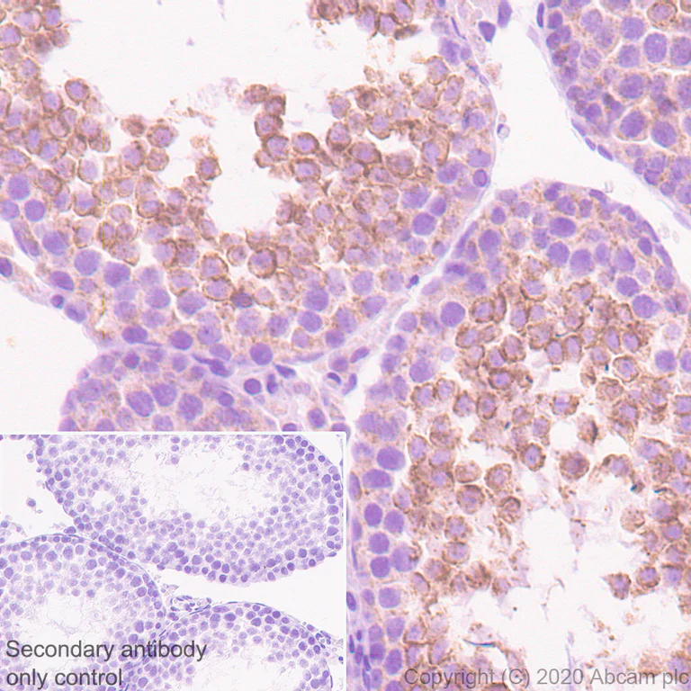
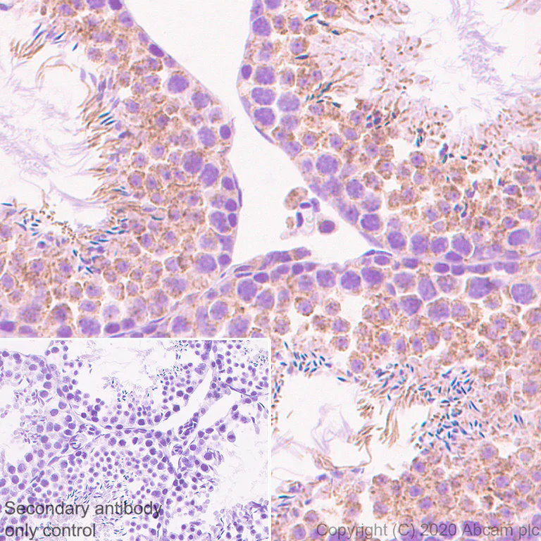
Immunohistochemistry (Formalin/PFA-fixed paraffin-embedded sections) - Anti-Neurturin antibody [EPR23301-10] - BSA and Azide free (AB274426)
  • IHC-P

Unknown

Immunohistochemistry (Formalin/PFA-fixed paraffin-embedded sections) - Anti-Neurturin antibody [EPR23301-10] - BSA and Azide free (AB274426)

This data was developed using ab274417, the same antibody clone in a different buffer formulation.

Immunohistochemical analysis of paraffin-embedded Mouse testis tissue labeling Neurturin with ab274417 at 1/500 (1.094 ug/ml) dilution followed by a ready to use Rabbit specific IHC polymer detection kit HRP/DAB (ab209101). Positive staining on mouse testis. The section was incubated with ab274417 for 30 mins at room temperature. The immunostaining was performed on a Leica Biosystems BOND® RX instrument Counterstained with Hematoxylin.

Secondary antibody only control : Secondary antibody is a ready to use Rabbit specific IHC polymer detection kit HRP/DAB (ab209101).

Heat mediated antigen retrieval with Tris-EDTA buffer (pH 9.0, epitope retrieval solution2) for 20 mins.

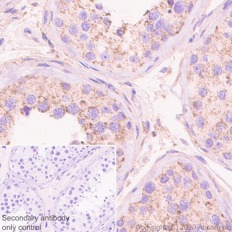
Immunohistochemistry (Formalin/PFA-fixed paraffin-embedded sections) - Anti-Neurturin antibody [EPR23301-10] - BSA and Azide free (AB274426)
  • IHC-P

Unknown

Immunohistochemistry (Formalin/PFA-fixed paraffin-embedded sections) - Anti-Neurturin antibody [EPR23301-10] - BSA and Azide free (AB274426)

This data was developed using ab274417, the same antibody clone in a different buffer formulation.

Immunohistochemical analysis of paraffin-embedded Rat testis tissue labeling Neurturin with ab274417 at 1/500 (1.094 ug/ml) dilution followed by a ready to use Rabbit specific IHC polymer detection kit HRP/DAB (ab209101). Positive staining on rat testis (PMID : 10415380). The section was incubated with ab274417 for 30 mins at room temperature. The immunostaining was performed on a Leica Biosystems BOND® RX instrument Counterstained with Hematoxylin.

Secondary antibody only control : Secondary antibody is a ready to use Rabbit specific IHC polymer detection kit HRP/DAB (ab209101).

Heat mediated antigen retrieval with Tris-EDTA buffer (pH 9.0, epitope retrieval solution2) for 20 mins.

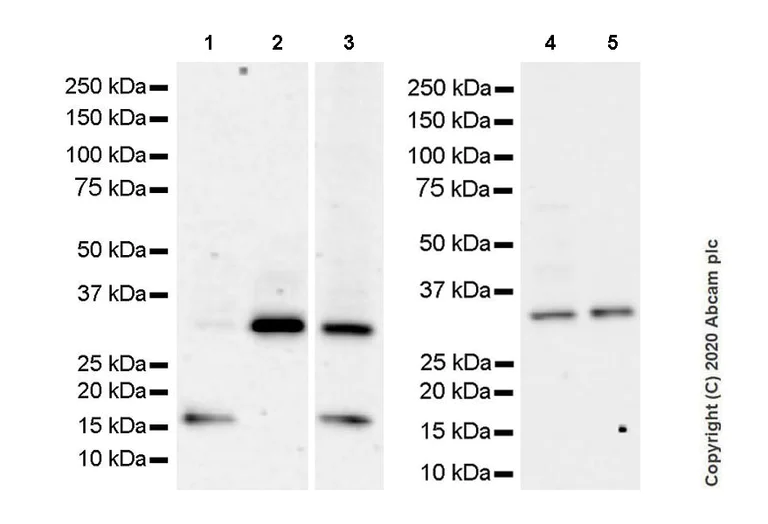
Western blot - Anti-Neurturin antibody [EPR23301-10] - BSA and Azide free (AB274426)
  • WB

Lab

Western blot - Anti-Neurturin antibody [EPR23301-10] - BSA and Azide free (AB274426)

This data was developed using ab274417, the same antibody clone in a different buffer formulation.

Blocking and diluting buffer and concentration : 5% NFDM/TBST.

This blot was developed using a higher sensitivity ECL substrate.

16-kDa Monomeric and 28-kDa dimeric form of Neurturin are observed. The molecular weight observed is consistent with what has been described in the literature (PMID : 15829225, PMID : 24067900).

Exposure time : 3 minutes.

All lanes:

Western blot - Anti-Neurturin antibody [EPR23301-10] (<a href='/en-us/products/primary-antibodies/neurturin-antibody-epr23301-10-ab274417'>ab274417</a>) at 1/1000 dilution

Lane 1:

Human heart tissue lysate at 20 µg

Lane 2:

Human testis tissue lysate at 20 µg

Lane 3:

Human brain tissue lysate at 20 µg

Lane 4:

SH-SY5Y (human neuroblastoma epithelial cell), whole cell lysate at 20 µg

Secondary

All lanes:

VeriBlot for IP secondary antibody(HRP)(<a href='/en-us/products/reagents/veriblot-for-ip-detection-reagent-hrp-ab131366'>ab131366</a>) at 1/1000 dilution

Predicted band size: 22 kDa

Observed band size: 16 kDa,28 kDa

false

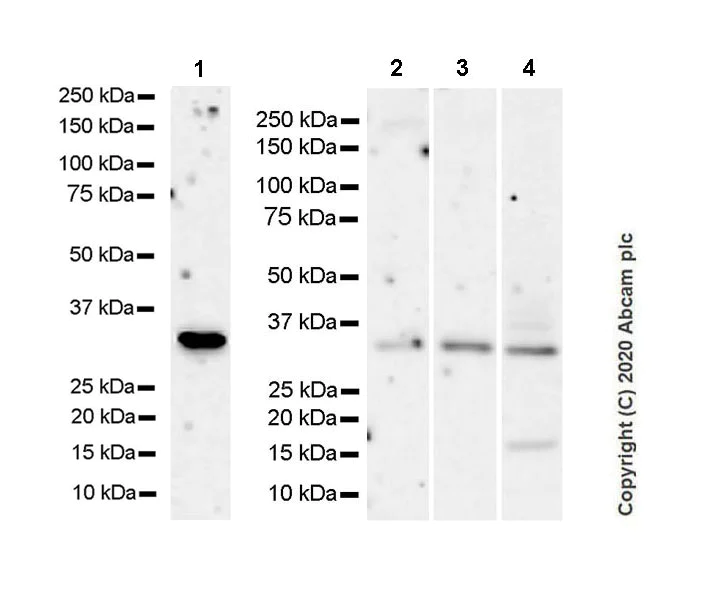
Western blot - Anti-Neurturin antibody [EPR23301-10] - BSA and Azide free (AB274426)
  • WB

Lab

Western blot - Anti-Neurturin antibody [EPR23301-10] - BSA and Azide free (AB274426)

This data was developed using ab274417, the same antibody clone in a different buffer formulation.

Blocking and diluting buffer and concentration : 5% NFDM/TBST.

Lanes 1-3 were developed using a higher sensitivity ECL substrate.

16-kDa Monomeric and 28-kDa dimeric form of Neurturin are observed. The molecular weight observed is consistent with what has been described in the literature (PMID : 15829225, PMID : 24067900).

Exposure times : Lane 1-3 : 3 minutes Lane 4-5 : 37 seconds.

All lanes:

Western blot - Anti-Neurturin antibody [EPR23301-10] (<a href='/en-us/products/primary-antibodies/neurturin-antibody-epr23301-10-ab274417'>ab274417</a>) at 1/1000 dilution

Lane 1:

Mouse embryo tissue lysate at 20 µg

Lane 2:

Mouse heart tissue lysate at 20 µg

Lane 3:

Neuro-2a (mouse neuroblastoma neuroblast), whole cell lysate at 20 µg

Lane 4:

Rat heart tissue lysate at 20 µg

Lane 5:

Rat brain tissue lysate at 20 µg

Secondary

All lanes:

Goat Anti-Rabbit IgG, (H+L), Peroxidase conjugated (<a href='/en-us/products/secondary-antibodies/goat-rabbit-igg-h-l-hrp-ab97051'>ab97051</a>) at 1/100000 dilution

Predicted band size: 22 kDa

Observed band size: 16 kDa,28 kDa

false

Key facts

Host species

Rabbit

Clonality

Monoclonal

Clone number

EPR23301-10

Isotype

IgG

Carrier free

Yes

Reacts with

Mouse, Rat, Human

Applications

IHC-P, WB

applications

Immunogen

The exact immunogen used to generate this antibody is proprietary information.

Reactivity data

{ "title": "Reactivity Data", "filters": { "stats": ["", "Species", "Dilution Info", "Notes"], "tabs": { "all-applications": {"fullname" : "All Applications", "shortname": "All Applications"}, "IHCP" : {"fullname" : "Immunohistochemistry (Formalin/PFA-fixed paraffin-embedded sections)", "shortname":"IHC-P"}, "ICCIF" : {"fullname" : "Immunocytochemistry/ Immunofluorescence", "shortname":"ICC/IF"}, "IP" : {"fullname" : "Immunoprecipitation", "shortname":"IP"}, "FlowCyt" : {"fullname" : "Flow Cytometry", "shortname":"Flow Cyt"}, "WB" : {"fullname" : "Western blot", "shortname":"WB"} }, "product-promise": { "all": "all", "testedAndGuaranteed": "tested", "guaranteed": "expected", "predicted": "predicted", "notRecommended": "not-recommended" } }, "values": { "Human": { "IHCP-species-checked": "testedAndGuaranteed", "IHCP-species-dilution-info": "", "IHCP-species-notes": "<p></p>", "ICCIF-species-checked": "notRecommended", "ICCIF-species-dilution-info": "", "ICCIF-species-notes": "<p></p>", "IP-species-checked": "notRecommended", "IP-species-dilution-info": "", "IP-species-notes": "<p></p>", "FlowCyt-species-checked": "notRecommended", "FlowCyt-species-dilution-info": "", "FlowCyt-species-notes": "<p></p>", "WB-species-checked": "testedAndGuaranteed", "WB-species-dilution-info": "", "WB-species-notes": "<p></p>" }, "Mouse": { "IHCP-species-checked": "testedAndGuaranteed", "IHCP-species-dilution-info": "", "IHCP-species-notes": "<p></p>", "ICCIF-species-checked": "notRecommended", "ICCIF-species-dilution-info": "", "ICCIF-species-notes": "<p></p>", "IP-species-checked": "notRecommended", "IP-species-dilution-info": "", "IP-species-notes": "<p></p>", "FlowCyt-species-checked": "notRecommended", "FlowCyt-species-dilution-info": "", "FlowCyt-species-notes": "<p></p>", "WB-species-checked": "testedAndGuaranteed", "WB-species-dilution-info": "", "WB-species-notes": "<p></p>" }, "Rat": { "IHCP-species-checked": "testedAndGuaranteed", "IHCP-species-dilution-info": "", "IHCP-species-notes": "<p></p>", "ICCIF-species-checked": "notRecommended", "ICCIF-species-dilution-info": "", "ICCIF-species-notes": "<p></p>", "IP-species-checked": "notRecommended", "IP-species-dilution-info": "", "IP-species-notes": "<p></p>", "FlowCyt-species-checked": "notRecommended", "FlowCyt-species-dilution-info": "", "FlowCyt-species-notes": "<p></p>", "WB-species-checked": "testedAndGuaranteed", "WB-species-dilution-info": "", "WB-species-notes": "<p></p>" } } }

Product details

ab274426 is the carrier-free version of ab274417.

Patented technology
Our RabMAb® technology is a patented hybridoma-based technology for making rabbit monoclonal antibodies. For details on our patents, please refer to RabMAb® patents.

What are the advantages of a recombinant monoclonal antibody?
This product is a recombinant monoclonal antibody, which offers several advantages including:

  • - High batch-to-batch consistency and reproducibility
  • - Improved sensitivity and specificity
  • - Long-term security of supply
  • - Animal-free batch production

For more information, read more on recombinant antibodies.

Conjugation ready
Our carrier-free antibodies are typically supplied in a PBS-only formulation, purified and free of BSA, sodium azide and glycerol. This conjugation-ready format is designed for use with fluorochromes, metal isotopes, oligonucleotides, and enzymes, which makes them ideal for antibody labelling, functional and cell-based assays, flow-based assays (e.g. mass cytometry) and Multiplex Imaging applications.

Use our conjugation kits for antibody conjugates that are ready-to-use in as little as 20 minutes with 1 minute hands-on-time and 100% antibody recovery: available for fluorescent dyes, HRP, biotin and gold.

Compatibility
This product is compatible with the Maxpar® Antibody Labeling Kit from Fluidigm, without the need for antibody preparation. Maxpar® is a trademark of Fluidigm Canada Inc.

Properties and storage information

Form
Liquid
Purification technique
Affinity purification Protein A
Storage buffer
pH: 7.2 - 7.4 Constituents: PBS
Shipped at conditions
Blue Ice
Appropriate short-term storage conditions
+4°C
Appropriate long-term storage conditions
+4°C
Storage information
Do Not Freeze

Supplementary information

This supplementary information is collated from multiple sources and compiled automatically.

Neurturin also called NRTN is a neurotrophic factor belonging to the glial cell line-derived neurotrophic factor (GDNF) family. It is a protein weighing approximately 23 kDa. Neurturin promotes the survival of neurons and is mainly active in the central nervous system and peripheral nervous system. It is expressed in various tissues including the brain spinal cord and organs such as the liver and pancreas.
Biological function summary

Neurturin supports the maintenance and function of many neuronal populations. It partners with the RET receptor tyrosine kinase and the GFRα2 co-receptor to form a receptor complex that mediates its signaling. This interaction is important for neuronal differentiation and survival especially in dopamine-producing neurons and parasympathetic neurons. Neurturin's activity ensures proper nerve development and the maintenance of effective neuronal networks.

Pathways

Several important elements are involved with neurturin function. It plays a role in the MAPK/ERK and the PI3K/Akt signaling pathways both of which are essential for cell survival and growth. In these pathways neurturin acts alongside proteins like GDNF and RET helping to transmit cellular signals that either promote cell survival or modulate neuronal function depending upon the cellular context.

Research links neurturin to conditions like Parkinson’s disease and Hirschsprung's disease. In Parkinson’s disease the decrease in dopaminergic neurons correlates with malfunction or decreased activity of neurturin and its associated receptors like RET. Similarly insufficient signaling involving neurturin and its receptor complex might contribute to the development of Hirschsprung's disease a disorder related to the absence of nerve cells in the colon.

Product protocols

For this product, it's our understanding that no specific protocols are required. You can visit:

Target data

Growth factor that supports the survival of sympathetic neurons in culture (PubMed : 8945474). May regulate the development and maintenance of the CNS (PubMed : 8945474). Involved in the development of the neural crest (PubMed : 15242795). Might control the size of non-neuronal cell population such as haemopoietic cells (PubMed : 8945474). Acts by binding to its coreceptor, GFRA2, leading to autophosphorylation and activation of the RET receptor (PubMed : 10829012, PubMed : 29414779, PubMed : 31535977). Heparan sulfate-binding is required for signaling (PubMed : 29414779).
See full target information NRTN

Product promise

We are committed to supporting your work with high-quality reagents, and we're here for you every step of the way. In the unlikely event that one of our products does not perform as expected, you're protected by our Product Promise.
For full details, please see our Terms & Conditions

Please note: All products are 'FOR RESEARCH USE ONLY. NOT FOR USE IN DIAGNOSTIC OR THERAPEUTIC PROCEDURES'.

For licensing inquiries, please contact partnerships@abcam.com