JavaScript is disabled in your browser. Please enable JavaScript to view this website.
AB2557

Anti-Neutrophil antibody [NIMP-R14]

4

(25 Reviews)

|

(265 Publications)

Anti-Neutrophil antibody [NIMP-R14] (ab2557) is a rat monoclonal antibody detecting Neutrophil in IHC-Fr. Suitable for Mouse.

- Over 250 publications
- Trusted since 2003

View Alternative Names

Ly-6B, Lymphocyte antigen 6B, Lymphocyte antigen 6B Short name=Ly-6B

1 Images
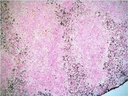
Immunohistochemistry (Frozen sections) - Anti-Neutrophil antibody [NIMP-R14] (AB2557)
  • IHC-Fr

Supplier Data

Immunohistochemistry (Frozen sections) - Anti-Neutrophil antibody [NIMP-R14] (AB2557)

Frozen sections of mouse spleen. ab2557 was used in a concentration of 5 µg/ml.

Key facts

Host species

Rat

Clonality

Monoclonal

Clone number

NIMP-R14

Isotype

IgG2b

Light chain type

unknown

Carrier free

No

Reacts with

Mouse

Applications

IHC-Fr

applications

Immunogen

The exact immunogen used to generate this antibody is proprietary information.

Epitope

The monoclonal antibody NIMP-R14 is highly specific for murine Ly-6G and Ly-6C.

Reactivity data

{ "title": "Reactivity Data", "filters": { "stats": ["", "Species", "Dilution Info", "Notes"], "tabs": { "all-applications": {"fullname" : "All Applications", "shortname": "All Applications"}, "IHCFr" : {"fullname" : "Immunohistochemistry (Frozen sections)", "shortname":"IHC-Fr"} }, "product-promise": { "all": "all", "testedAndGuaranteed": "tested", "guaranteed": "expected", "predicted": "predicted", "notRecommended": "not-recommended" } }, "values": { "Mouse": { "IHCFr-species-checked": "testedAndGuaranteed", "IHCFr-species-dilution-info": "", "IHCFr-species-notes": "<p>Tested with acetone-fixed tissue.</p>" } } }

Product details

The Ly-6G/-6C locus encodes a family of Ly-6 proteins including Ly-6G and Ly-6C. Ly-6 antigens have a molecular weight between 15,000 and 18,000. Ly-6G is together with Ly-6C a component of the myeloid differentiation antigen Gr-1. Ly-6G is a GPI-anchored protein and is a good marker of peripheral neutrophils. Although predominantly presents on neutrophils, it is also expressed on a subset of eosinophils, differentiating premonocytes and plasmacytoid dendritic cells. Ly-6C is a monocyte/macrophage and endothelial cell differentiation antigen regulated by interferon gamma, and may play a role in the development and maturation of lymphocytes. It is expressed on bone marrow cells, monocytes/macrophages, neutrophils, endothelial cells, and T cell subsets. Expression of Gr-1 in bone marrow correlates with granulocyte differentiation and maturation. However, the physiological role of Ly-6G alone remains still unclear. The monoclonal antibody NIMP-R14 has been successfully used to stain polymorphonuclear (PMN) cells and monocytes for fluorescent activated cell sorting and in frozen and paraffin sections. Treatment with antibodies in vivo leads to neutropenia and has inhibitory effect on local immune responses. Furthermore, it has been shown to be useful for depletion of neutrophils in mice. It depletes neutrophils as soon as 6 hours after injection and up to 6 days.

Product Specifications
Anti-Neutrophil antibody [NIMP-R14] (ab2557) is a rat monoclonal antibody and is validated for use in IHC-Fr in mouse samples.
Anti-Neutrophil antibody [NIMP-R14] (ab2557) specifically detects Neutrophil (UniProt ID: Q63317; Molecular weight: 9kDa) and is sold in 50 µg selling sizes.

Quality and Validation
Abcam's high quality validation processes ensure Anti-Neutrophil antibody [NIMP-R14] (ab2557) has high sensitivity and specificity.
Anti-Neutrophil antibody [NIMP-R14] (ab2557) has been cited over 250 times in peer reviewed journals and is trusted by the scientific community.
Anti-Neutrophil antibody [NIMP-R14] (ab2557) has 25 independent reviews from customers.

Related Products
Conjugation-ready, carrier free format available for antibody clone NIMP-R14 - ab223792.

Properties and storage information

Form
Liquid
Purification technique
Affinity purification Protein G
Storage buffer
Preservative: 0.02% Sodium azide Constituents: 0.1% BSA
Shipped at conditions
Blue Ice
Appropriate short-term storage conditions
+4°C
Appropriate long-term storage conditions
-20°C
Aliquoting information
Upon delivery aliquot
Storage information
Avoid freeze / thaw cycle

Product protocols

For this product, it's our understanding that no specific protocols are required. You can visit:

Publications (265)

Recent publications for all applications. Explore the full list and refine your search

Biomolecules & therapeutics 33:692-703 PubMed40490997

2025

BRL-50481 Ameliorates Lung Inflammation in a Murine Model of Ovalbumin-Induced Allergic Asthma with Co-Exposure to Lipopolysaccharide.

Applications

Unspecified application

Species

Unspecified reactive species

Oh Seong Kwon,Kyu-Taek Hwang,Won Seok Choi,Ji-Yun Lee

Cancer management and research 17:541-555 PubMed40098803

2025

Inhibitory Effects of Paclitaxel-Loaded Iron Oxide Nanoparticles on Non-Small Cell Lung Cancer by Enhancing Autophagy-Dependent Ferroptosis and Apoptosis Pathways.

Applications

Unspecified application

Species

Unspecified reactive species

Rongchu Deng,Guanghong Liang,Wenqing Chen,Qi Nie,Jian Wen

Life science alliance 8: PubMed40036168

2025

Molecular analysis of acute pyelonephritis-excessive innate and attenuated adaptive immunity.

Applications

Unspecified application

Species

Unspecified reactive species

Ines Ambite,Sing Ming Chao,Therese Rosenblad,Richard Hopkins,Petter Storm,Yong Hong Ng,Indra Ganesan,Magnus Lindén,Farhan Haq,Thi Hien Tran,Shahram Ahmadi,Bernett Lee,Swaine L Chen,Gabriela Godaly,Per Brandström,John E Connolly,Catharina Svanborg

Brain, behavior, & immunity - health 44:100955 PubMed40028233

2025

Investigation in blood-brain barrier integrity and susceptibility to immune cell penetration in a mouse model of Dravet syndrome.

Applications

Unspecified application

Species

Unspecified reactive species

Cristina Alonso,Alicia García-Culebras,Valentina Satta,Inés Hernández-Fisac,Álvaro Sierra,José A Guimaré,Ignacio Lizasoain,Javier Fernández-Ruiz,Onintza Sagredo

Cellular and molecular gastroenterology and hepatology 19:101480 PubMed39970988

2025

An Nrf2-NF-κB Crosstalk Controls Hepatocyte Proliferation in the Normal and Injured Liver.

Applications

Unspecified application

Species

Unspecified reactive species

Andrii Kuklin,Coenraad Frederik Slabber,Luigi Tortola,Chan Lap Kwan,Gerhard Liebisch,Vangelis Kondylis,Florian Mair,Manfred Kopf,Achim Weber,Sabine Werner

Nature communications 15:10493 PubMed39622833

2024

Lack of TYK2 signaling enhances host resistance to Candida albicans skin infection.

Applications

Unspecified application

Species

Unspecified reactive species

Sara Miranda,Caroline Lassnig,Kristina Schmidhofer,Hrönn Kjartansdottir,Claus Vogl,Simone Tangermann,Irina Tsymala,Verena Babl,Mathias Müller,Karl Kuchler,Birgit Strobl

Journal of nanobiotechnology 22:575 PubMed39294599

2024

New insights into allergic rhinitis treatment: MSC nanovesicles targeting dendritic cells.

Applications

Unspecified application

Species

Unspecified reactive species

Jianyu Liu,Meiqun Wang,Xiaoyan Tian,Shuhong Wu,Haisen Peng,Yaqiong Zhu,Yuehui Liu

eLife 12: PubMed39163103

2024

Circulating platelets modulate oligodendrocyte progenitor cell differentiation during remyelination.

Applications

Unspecified application

Species

Unspecified reactive species

Amber R Philp,Carolina R Reyes,Josselyne Mansilla,Amar Sharma,Chao Zhao,Carlos Valenzuela-Krugmann,Khalil S Rawji,Ginez A Gonzalez Martinez,Penelope Dimas,Bryan Hinrichsen,César Ulloa-Leal,Amie K Waller,Diana M Bessa de Sousa,Maite A Castro,Ludwig Aigner,Pamela Ehrenfeld,Maria Elena Silva,Ilias Kazanis,Cedric Ghevaert,Robin J M Franklin,Francisco J Rivera

International journal of molecular sciences 25: PubMed38892358

2024

Obesity Enhances Non-Th2 Airway Inflammation in a Murine Model of Allergic Asthma.

Applications

Unspecified application

Species

Unspecified reactive species

Marwa M E Mohamed,Yassine Amrani

Communications biology 7:152 PubMed38316920

2024

Comparative analyses of Netherton syndrome patients and Spink5 conditional knock-out mice uncover disease-relevant pathways.

Applications

Unspecified application

Species

Unspecified reactive species

Evgeniya Petrova,Jesús María López-Gay,Matthias Fahrner,Florent Leturcq,Jean-Pierre de Villartay,Claire Barbieux,Patrick Gonschorek,Lam C Tsoi,Johann E Gudjonsson,Oliver Schilling,Alain Hovnanian
View all publications

Product promise

We are committed to supporting your work with high-quality reagents, and we're here for you every step of the way. In the unlikely event that one of our products does not perform as expected, you're protected by our Product Promise.
For full details, please see our Terms & Conditions

Please note: All products are 'FOR RESEARCH USE ONLY. NOT FOR USE IN DIAGNOSTIC OR THERAPEUTIC PROCEDURES'.

For licensing inquiries, please contact partnerships@abcam.com