JavaScript is disabled in your browser. Please enable JavaScript to view this website.
AB310335

Anti-Neutrophil Elastase antibody [EPR28386-66]

  • BOND RX™ Validated
  • 20ul selling size
  • RabMAb
  • Recombinant
  • Advanced Validation
  • What is this?

Be the first to review this product! Submit a review

|

(9 Publications)

Anti-Neutrophil Elastase antibody [EPR28386-66] (ab310335) is a rabbit monoclonal antibody detecting Neutrophil Elastase in Western Blot, Flow Cytometry (Intra), IHC-P, mIHC. Suitable for Human, Mouse, Rat.

- Multiplex IHC validated on the Leica BOND® MAX using Opal reagents
- Biophysical QC for unrivalled batch-batch consistency

View Alternative Names

Ela2, Elane, Neutrophil elastase, Elastase-2, Leukocyte elastase

25 Images
Immunohistochemistry (Formalin/PFA-fixed paraffin-embedded sections) - Anti-Neutrophil Elastase antibody [EPR28386-66] (AB310335)
  • IHC-P

Supplier Data

Immunohistochemistry (Formalin/PFA-fixed paraffin-embedded sections) - Anti-Neutrophil Elastase antibody [EPR28386-66] (AB310335)

Immunohistochemical analysis of paraffin-embedded Human cervical cance tissue labeling Neutrophil Elastase with ab310335 at 1/100 (5.38 ug/ml) followed by a ready to use LeicaDS9800 (Bond™ Polymer Refine Detection). Positive staining on neutrophils in human cervical cancer. The section was incubated with ab310335 for 30 mins at room temperature.The immunostaining was performed on a Leica Biosystems BOND® RX instrument Counterstained with Hematoxylin. Secondary antibody only control : Secondary antibody is a ready to use LeicaDS9800 (Bond™ Polymer Refine Detection). Heat mediated antigen retrieval was performed with Tris-EDTA buffer (pH 9.0, Epitope Retrieval Solution2) for 20 mins

Multiplex immunohistochemistry - Anti-Neutrophil Elastase antibody [EPR28386-66] (AB310335)
  • mIHC

Lab

Multiplex immunohistochemistry - Anti-Neutrophil Elastase antibody [EPR28386-66] (AB310335)

Multiplex immunohistochemistry analysis of formalin/PFA-fixed paraffin-embedded human liver tissue staining LOX 1 with ab325339 at a 1/100 (5.05 μg/ml) dilution, ab310335 anti-Neutrophil Elastase used at a 1/100 (5.20 μg/ml) dilution and ab213363 anti-CD68 used at a 1/500 (1.314 μg/ml) dilution.

Panel A : anti-LOX 1 (green; Opal™520), anti-Neutrophil Elastase (magenta; Opal™570), anti-CD68 (yellow; Opal™690) on human liver.

Panel B : anti-LOX 1 staining neutrophils in human liver.

Panel C : anti-Neutrophil Elastase staining neutrophils in human liver.

Panel D : anti-CD68 staining on macrophages in human liver.

Nuclear DNA was labeled with DAPI (shown in blue).

The section was incubated in three rounds of staining : in the order of ab325339, ab310335 and ab213363 for 30 mins at room temperature. Each round was followed by a separate fluorescent tyramide signal amplification system.

The immunostaining was performed on a Leica Biosystems BOND® RX instrument with an Opal™ 4-color kit. Image acquisition was performed with Leica SP8 confocal microscope.

Heat mediated antigen retrieval was performed with Tris-EDTA buffer (pH 9.0, Epitope Retrieval Solution2) for 20 mins.

Immunohistochemistry (Formalin/PFA-fixed paraffin-embedded sections) - Anti-Neutrophil Elastase antibody [EPR28386-66] (AB310335)
  • IHC-P

Supplier Data

Immunohistochemistry (Formalin/PFA-fixed paraffin-embedded sections) - Anti-Neutrophil Elastase antibody [EPR28386-66] (AB310335)

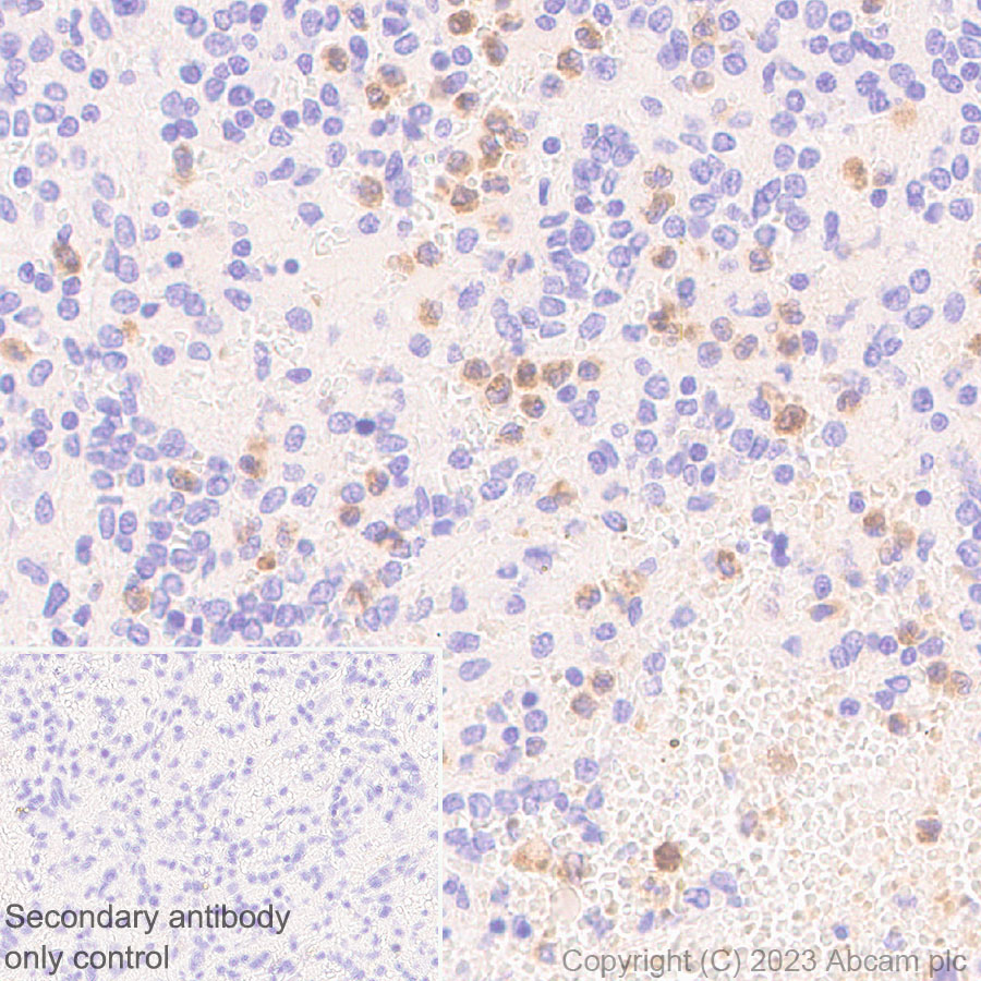
Immunohistochemical analysis of paraffin-embedded Human spleen tissue labeling Neutrophil Elastase with ab310335 at 1/100 (5.38 ug/ml) followed by a ready to use LeicaDS9800 (Bond™ Polymer Refine Detection). Positive staining on neutrophils in human spleen. The section was incubated with ab310335 for 30 mins at room temperature.The immunostaining was performed on a Leica Biosystems BOND® RX instrument Counterstained with Hematoxylin. Secondary antibody only control : Secondary antibody is a ready to use LeicaDS9800 (Bond™ Polymer Refine Detection). Heat mediated antigen retrieval was performed with Tris-EDTA buffer (pH 9.0, Epitope Retrieval Solution2) for 20 mins

Multiplex immunohistochemistry - Anti-Neutrophil Elastase antibody [EPR28386-66] (AB310335)
  • mIHC

Lab

Multiplex immunohistochemistry - Anti-Neutrophil Elastase antibody [EPR28386-66] (AB310335)

Multiplex immunohistochemistry analysis of formalin/PFA-fixed paraffin-embedded human spleen tissue staining LOX 1 with ab325339 at a 1/100 (5.05 μg/ml) dilution, ab310335 anti-Neutrophil Elastase used at a 1/100 (5.20 μg/ml) dilution and ab213363 anti-CD68 used at a 1/500 (1.314 μg/ml) dilution.

Panel A : anti-LOX 1 (green; Opal™520), anti-Neutrophil Elastase (magenta; Opal™570), anti-CD68 (yellow; Opal™690) on human spleen.

Panel B : anti-LOX 1 staining neutrophils in human spleen.

Panel C : anti-Neutrophil Elastase staining neutrophils in human spleen.

Panel D : anti-CD68 staining on macrophages in human spleen.

Nuclear DNA was labeled with DAPI (shown in blue).

The section was incubated in three rounds of staining : in the order of ab325339, ab310335 and ab213363 for 30 mins at room temperature. Each round was followed by a separate fluorescent tyramide signal amplification system.

The immunostaining was performed on a Leica Biosystems BOND® RX instrument with an Opal™ 4-color kit. Image acquisition was performed with Leica SP8 confocal microscope.

Heat mediated antigen retrieval was performed with Tris-EDTA buffer (pH 9.0, Epitope Retrieval Solution2) for 20 mins.

Multiplex immunohistochemistry - Anti-Neutrophil Elastase antibody [EPR28386-66] (AB310335)
  • mIHC

Lab

Multiplex immunohistochemistry - Anti-Neutrophil Elastase antibody [EPR28386-66] (AB310335)

Multiplex immunohistochemistry analysis of formalin/PFA-fixed paraffin-embedded human heart atherosclerosis tissue staining LOX 1 with ab325339 at a 1/100 (5.05 μg/ml) dilution, ab310335 anti-Neutrophil Elastase used at a 1/100 (5.20 μg/ml) dilution and ab213363 anti-CD68 used at a 1/500 (1.314 μg/ml) dilution.

Panel A : anti-LOX 1 (green; Opal™520), anti-Neutrophil Elastase (magenta; Opal™570), anti-CD68 (yellow; Opal™690) on human heart atherosclerosis.

Panel B : anti-LOX 1 staining neutrophils in human heart atherosclerosis.

Panel C : anti-Neutrophil Elastase staining neutrophils in human heart atherosclerosis.

Panel D : anti-CD68 staining on macrophages in human heart atherosclerosis.

Nuclear DNA was labeled with DAPI (shown in blue).

The section was incubated in three rounds of staining : in the order of ab325339, ab310335 and ab213363 for 30 mins at room temperature. Each round was followed by a separate fluorescent tyramide signal amplification system.

The immunostaining was performed on a Leica Biosystems BOND® RX instrument with an Opal™ 4-color kit. Image acquisition was performed with Leica SP8 confocal microscope.

Heat mediated antigen retrieval was performed with Tris-EDTA buffer (pH 9.0, Epitope Retrieval Solution2) for 20 mins.

Immunohistochemistry (Formalin/PFA-fixed paraffin-embedded sections) - Anti-Neutrophil Elastase antibody [EPR28386-66] (AB310335)
  • IHC-P

Supplier Data

Immunohistochemistry (Formalin/PFA-fixed paraffin-embedded sections) - Anti-Neutrophil Elastase antibody [EPR28386-66] (AB310335)

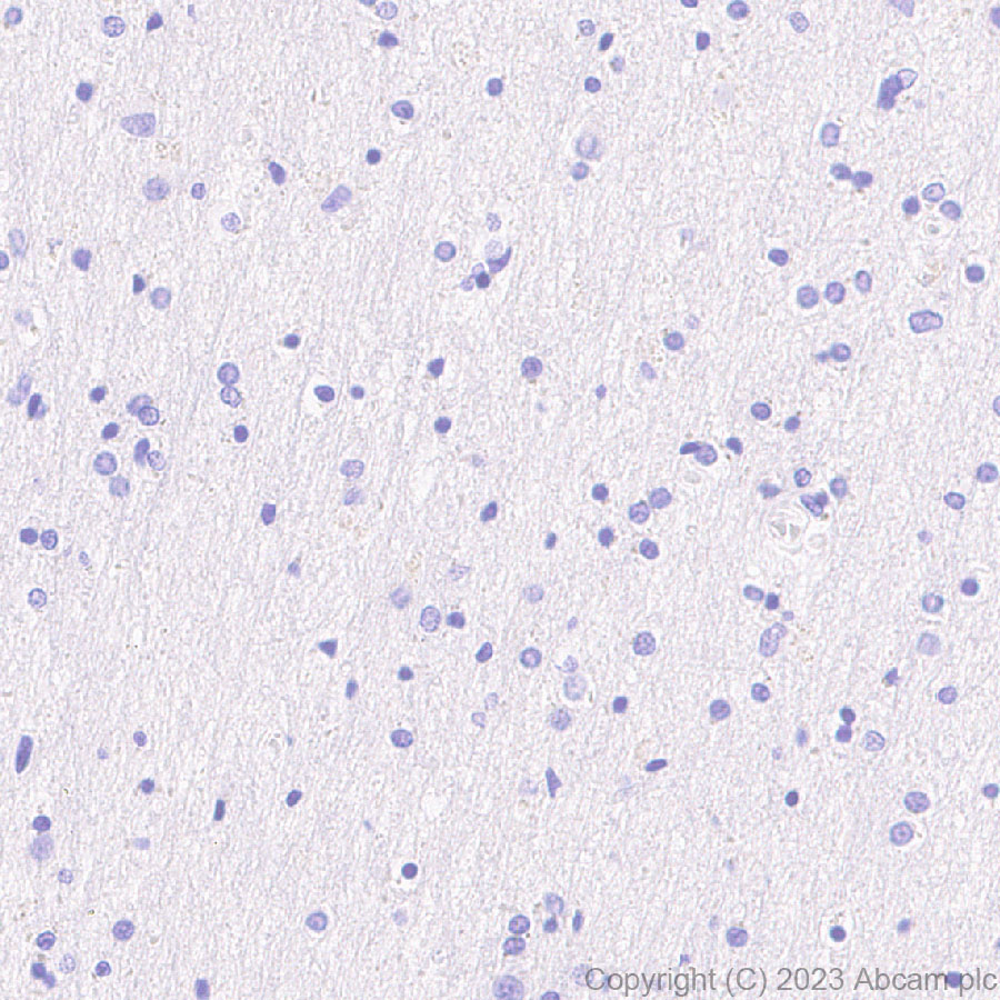
Immunohistochemical analysis of paraffin-embedded Human cerebrum tissue labeling Neutrophil Elastase with ab310335 at 1/100 (5.38 ug/ml) followed by a ready to use LeicaDS9800 (Bond™ Polymer Refine Detection). Negative control : No staining on human cerebrum. The section was incubated with ab310335 for 30 mins at room temperature.The immunostaining was performed on a Leica Biosystems BOND® RX instrument Counterstained with Hematoxylin. Secondary antibody only control : Secondary antibody is a ready to use LeicaDS9800 (Bond™ Polymer Refine Detection). Heat mediated antigen retrieval was performed with Tris-EDTA buffer (pH 9.0, Epitope Retrieval Solution2) for 20 mins

Flow Cytometry (Intracellular) - Anti-Neutrophil Elastase antibody [EPR28386-66] (AB310335)
  • Flow Cyt (Intra)

Supplier Data

Flow Cytometry (Intracellular) - Anti-Neutrophil Elastase antibody [EPR28386-66] (AB310335)

Flow cytometric analysis of 4% paraformaldehyde fixed 90% methanol permeabilized Mouse bone marrow cells labelling Neutrophil Elastase with ab310335 at 1/500 dilution (0.1 ug)/Right (Red) compared with a Rabbit monoclonal IgG (ab172730) / Left isotype control and an unlabelled control (cells without incubation with primary antibody and secondary antibody) (Blue). A Goat Anti-Rabbit IgG (Alexa Fluor® 488, ab150081) at 1/5000 dilution was used as the secondary antibody.

Multiplex immunohistochemistry - Anti-Neutrophil Elastase antibody [EPR28386-66] (AB310335)
  • mIHC

Lab

Multiplex immunohistochemistry - Anti-Neutrophil Elastase antibody [EPR28386-66] (AB310335)

Multiplex immunohistochemistry analysis of formalin/PFA-fixed paraffin-embedded Mouse lymph node tissue staining Neutrophil Elastase with ab310335 at a 1/500 ( 1.076 µg/ml) dilution, CD19 with ab245235 at a 1/1000 ( 0.444 µg/ml) dilution and CD3 with ab237721 at a 1/2000 ( 0.264 µg/ml) dilution followed by a ready to use secondary antibody Opal Polymer HRP Ms + Rb.

Panel A : merged staining of anti-Neutrophil Elastase (magenta; Opal™690), anti-CD19 (green; Opal™520) and anti-CD3 (gray; Opal™690) on mouse spleen.Panel B : anti-Neutrophil Elastase staining neutrophils in mouse spleen.
Panel C : anti-CD19 staining B lymphocytes in mouse spleen.
Panel D : anti-CD3 staining T lymphocytes in mouse spleen.
Nuclear DNA was labeled with DAPI (shown in blue).

The section was incubated in three rounds of staining : in the order of ab310335, ab245235 and ab237721 for 30 mins at room temperature. Each round was followed by a separate fluorescent tyramide signal amplification system.

The immunostaining was performed on a Leica Biosystems BOND® RX instrument with an Opal™ 4-color kit. Image acquisition was performed with Leica SP8 confocal microscope.

Heat mediated antigen retrieval with Tris-EDTA buffer (pH 9.0, epitope retrieval solution2) for 20 mins

Immunohistochemistry (Formalin/PFA-fixed paraffin-embedded sections) - Anti-Neutrophil Elastase antibody [EPR28386-66] (AB310335)
  • IHC-P

Supplier Data

Immunohistochemistry (Formalin/PFA-fixed paraffin-embedded sections) - Anti-Neutrophil Elastase antibody [EPR28386-66] (AB310335)

Immunohistochemical analysis of paraffin-embedded Rat cerebrum tissue labeling Neutrophil Elastase with ab310335 at 1/100 (5.38 ug/ml) followed by a ready to use LeicaDS9800 (Bond™ Polymer Refine Detection). Negative control : No staining on rat cerebrum. The section was incubated with ab310335 for 30 mins at room temperature.The immunostaining was performed on a Leica Biosystems BOND® RX instrument Counterstained with Hematoxylin. Secondary antibody only control : Secondary antibody is a ready to use LeicaDS9800 (Bond™ Polymer Refine Detection). Heat mediated antigen retrieval was performed with Tris-EDTA buffer (pH 9.0, Epitope Retrieval Solution2) for 20 mins

Immunohistochemistry (Formalin/PFA-fixed paraffin-embedded sections) - Anti-Neutrophil Elastase antibody [EPR28386-66] (AB310335)
  • IHC-P

Supplier Data

Immunohistochemistry (Formalin/PFA-fixed paraffin-embedded sections) - Anti-Neutrophil Elastase antibody [EPR28386-66] (AB310335)

Immunohistochemical analysis of paraffin-embedded Mouse cerebrum tissue labeling Neutrophil Elastase with ab310335 at 1/500 (1.076 ug/ml) followed by a ready to use LeicaDS9800 (Bond™ Polymer Refine Detection). Negative control : No staining on mouse cerebrum. The section was incubated with ab310335 for 30 mins at room temperature.The immunostaining was performed on a Leica Biosystems BOND® RX instrument Counterstained with Hematoxylin. Secondary antibody only control : Secondary antibody is a ready to use LeicaDS9800 (Bond™ Polymer Refine Detection). Heat mediated antigen retrieval was performed with Tris-EDTA buffer (pH 9.0, Epitope Retrieval Solution2) for 20 mins

Immunohistochemistry (Formalin/PFA-fixed paraffin-embedded sections) - Anti-Neutrophil Elastase antibody [EPR28386-66] (AB310335)
  • IHC-P

Supplier Data

Immunohistochemistry (Formalin/PFA-fixed paraffin-embedded sections) - Anti-Neutrophil Elastase antibody [EPR28386-66] (AB310335)

Immunohistochemical analysis of paraffin-embedded Mouse spleen tissue labeling Neutrophil Elastase with ab310335 at 1/500 (1.076 ug/ml) followed by a ready to use LeicaDS9800 (Bond™ Polymer Refine Detection). Positive staining on neutrophils in mouse spleen. The section was incubated with ab310335 for 30 mins at room temperature.The immunostaining was performed on a Leica Biosystems BOND® RX instrument Counterstained with Hematoxylin. Secondary antibody only control : Secondary antibody is a ready to use LeicaDS9800 (Bond™ Polymer Refine Detection). Heat mediated antigen retrieval was performed with Tris-EDTA buffer (pH 9.0, Epitope Retrieval Solution2) for 20 mins

Immunohistochemistry (Formalin/PFA-fixed paraffin-embedded sections) - Anti-Neutrophil Elastase antibody [EPR28386-66] (AB310335)
  • IHC-P

Supplier Data

Immunohistochemistry (Formalin/PFA-fixed paraffin-embedded sections) - Anti-Neutrophil Elastase antibody [EPR28386-66] (AB310335)

Immunohistochemical analysis of paraffin-embedded Mouse pancreatic can tissue labeling Neutrophil Elastase with ab310335 at 1/500 (1.076 ug/ml) followed by a ready to use LeicaDS9800 (Bond™ Polymer Refine Detection). Positive staining on neutrophils in mouse pancreatic cancer. The section was incubated with ab310335 for 30 mins at room temperature.The immunostaining was performed on a Leica Biosystems BOND® RX instrument Counterstained with Hematoxylin. Secondary antibody only control : Secondary antibody is a ready to use LeicaDS9800 (Bond™ Polymer Refine Detection). Heat mediated antigen retrieval was performed with Tris-EDTA buffer (pH 9.0, Epitope Retrieval Solution2) for 20 mins

Immunohistochemistry (Formalin/PFA-fixed paraffin-embedded sections) - Anti-Neutrophil Elastase antibody [EPR28386-66] (AB310335)
  • IHC-P

Supplier Data

Immunohistochemistry (Formalin/PFA-fixed paraffin-embedded sections) - Anti-Neutrophil Elastase antibody [EPR28386-66] (AB310335)

Immunohistochemical analysis of paraffin-embedded Rat spleen tissue labeling Neutrophil Elastase with ab310335 at 1/100 (5.38 ug/ml) followed by a ready to use LeicaDS9800 (Bond™ Polymer Refine Detection). Positive staining on neutrophils in rat spleen. The section was incubated with ab310335 for 30 mins at room temperature.The immunostaining was performed on a Leica Biosystems BOND® RX instrument Counterstained with Hematoxylin. Secondary antibody only control : Secondary antibody is a ready to use LeicaDS9800 (Bond™ Polymer Refine Detection). Heat mediated antigen retrieval was performed with Tris-EDTA buffer (pH 9.0, Epitope Retrieval Solution2) for 20 mins

Multiplex immunohistochemistry - Anti-Neutrophil Elastase antibody [EPR28386-66] (AB310335)
  • mIHC

Lab

Multiplex immunohistochemistry - Anti-Neutrophil Elastase antibody [EPR28386-66] (AB310335)

Multiplex immunohistochemistry analysis of formalin/PFA-fixed paraffin-embedded Mouse thymus tissue staining Neutrophil Elastase with ab310335 at a 1/500 ( 1.076 µg/ml) dilution, CD19 with ab245235 at a 1/1000 ( 0.444 µg/ml) dilution and CD3 with ab237721 at a 1/2000 ( 0.264 µg/ml) dilution followed by a ready to use secondary antibody Opal Polymer HRP Ms + Rb.

Panel A : merged staining of anti-Neutrophil Elastase (magenta; Opal™690), anti-CD19 (green; Opal™520) and anti-CD3 (gray; Opal™690) on mouse spleen.Panel B : anti-Neutrophil Elastase staining neutrophils in mouse spleen.
Panel C : anti-CD19 staining B lymphocytes in mouse spleen.
Panel D : anti-CD3 staining T lymphocytes in mouse spleen.
Nuclear DNA was labeled with DAPI (shown in blue).

The section was incubated in three rounds of staining : in the order of ab310335, ab245235 and ab237721 for 30 mins at room temperature. Each round was followed by a separate fluorescent tyramide signal amplification system.

The immunostaining was performed on a Leica Biosystems BOND® RX instrument with an Opal™ 4-color kit. Image acquisition was performed with Leica SP8 confocal microscope.

Heat mediated antigen retrieval with Tris-EDTA buffer (pH 9.0, epitope retrieval solution2) for 20 mins

Multiplex immunohistochemistry - Anti-Neutrophil Elastase antibody [EPR28386-66] (AB310335)
  • mIHC

Lab

Multiplex immunohistochemistry - Anti-Neutrophil Elastase antibody [EPR28386-66] (AB310335)

Multiplex immunohistochemistry analysis of formalin/PFA-fixed paraffin-embedded Mouse spleen tissue staining Neutrophil Elastase with ab310335 at a 1/500 ( 1.076 µg/ml) dilution, CD19 with ab245235 at a 1/1000 ( 0.444 µg/ml) dilution and CD3 with ab237721 at a 1/2000 ( 0.264 µg/ml) dilution followed by a ready to use secondary antibody Opal Polymer HRP Ms + Rb.

Panel A : merged staining of anti-Neutrophil Elastase (magenta; Opal™690), anti-CD19 (green; Opal™520) and anti-CD3 (gray; Opal™690) on mouse spleen.Panel B : anti-Neutrophil Elastase staining neutrophils in mouse spleen.
Panel C : anti-CD19 staining B lymphocytes in mouse spleen.
Panel D : anti-CD3 staining T lymphocytes in mouse spleen.
Nuclear DNA was labeled with DAPI (shown in blue).

The section was incubated in three rounds of staining : in the order of ab310335, ab245235 and ab237721 for 30 mins at room temperature. Each round was followed by a separate fluorescent tyramide signal amplification system.

The immunostaining was performed on a Leica Biosystems BOND® RX instrument with an Opal™ 4-color kit. Image acquisition was performed with Leica SP8 confocal microscope.

Heat mediated antigen retrieval with Tris-EDTA buffer (pH 9.0, epitope retrieval solution2) for 20 mins

Multiplex immunohistochemistry - Anti-Neutrophil Elastase antibody [EPR28386-66] (AB310335)
  • mIHC

Lab

Multiplex immunohistochemistry - Anti-Neutrophil Elastase antibody [EPR28386-66] (AB310335)

Multiplex immunohistochemistry analysis of formalin/PFA-fixed paraffin-embedded Mouse spleen tissue staining Neutrophil Elastase with ab310335 at a 1/500 ( 1.076 µg/ml) dilution, F4/80 with ab300421 at a 1/5000 ( 0.106 µg/ml) dilution and NCR1 with ab233558 at a 1/500 ( 1.114 µg/ml) dilution followed by a ready to use secondary antibody Opal Polymer HRP Ms + Rb.

Panel A : merged staining of anti-Neutrophil Elastase (magenta; Opal™690), anti-CD19 (green; Opal™520) and anti-CD3 (gray; Opal™690) on mouse spleen.Panel B : anti-Neutrophil Elastase staining neutrophils in mouse spleen.
Panel C : anti-CD19 staining B lymphocytes in mouse spleen.
Panel D : anti-CD3 staining T lymphocytes in mouse spleen.
Nuclear DNA was labeled with DAPI (shown in blue).

The section was incubated in three rounds of staining : in the order of ab310335, ab245235 and ab237721 for 30 mins at room temperature. Each round was followed by a separate fluorescent tyramide signal amplification system.

The immunostaining was performed on a Leica Biosystems BOND® RX instrument with an Opal™ 4-color kit. Image acquisition was performed with Leica SP8 confocal microscope.

Heat mediated antigen retrieval with Tris-EDTA buffer (pH 9.0, epitope retrieval solution2) for 20 mins

Multiplex immunohistochemistry - Anti-Neutrophil Elastase antibody [EPR28386-66] (AB310335)
  • mIHC

Lab

Multiplex immunohistochemistry - Anti-Neutrophil Elastase antibody [EPR28386-66] (AB310335)

Multiplex immunohistochemistry analysis of formalin/PFA-fixed paraffin-embedded Mouse thymus tissue staining Neutrophil Elastase with ab310335 at a 1/500 ( 1.076 µg/ml) dilution, F4/80 with ab300421 at a 1/5000 ( 0.106 µg/ml) dilution and NCR1 with ab233558 at a 1/500 ( 1.114 µg/ml) dilution followed by a ready to use secondary antibody Opal Polymer HRP Ms + Rb.

Panel A : merged staining of anti-Neutrophil Elastase (magenta; Opal™690), anti-CD19 (green; Opal™520) and anti-CD3 (gray; Opal™690) on mouse thymus.
Panel B : anti-Neutrophil Elastase staining neutrophils in mouse thymus.
Panel C : anti-CD19 staining B lymphocytes in mouse thymus.
Panel D : anti-CD3 staining T lymphocytes in mouse thymus.
Nuclear DNA was labeled with DAPI (shown in blue).

The section was incubated in three rounds of staining : in the order of ab310335, ab245235 and ab237721 for 30 mins at room temperature. Each round was followed by a separate fluorescent tyramide signal amplification system.

The immunostaining was performed on a Leica Biosystems BOND® RX instrument with an Opal™ 4-color kit. Image acquisition was performed with Leica SP8 confocal microscope.

Heat mediated antigen retrieval with Tris-EDTA buffer (pH 9.0, epitope retrieval solution2) for 20 mins

Flow Cytometry (Intracellular) - Anti-Neutrophil Elastase antibody [EPR28386-66] (AB310335)
  • Flow Cyt (Intra)

Supplier Data

Flow Cytometry (Intracellular) - Anti-Neutrophil Elastase antibody [EPR28386-66] (AB310335)

Flow cytometric analysis of 4% paraformaldehyde fixed 90% methanol permeabilized NIH/3T3 (mouse embryonic fibroblast) cells labelling Neutrophil Elastase with ab310335 at 1/500 dilution (0.1 ug)/Right (Red) compared with a Rabbit monoclonal IgG (ab172730) / Left isotype control and an unlabelled control (cells without incubation with primary antibody and secondary antibody) (Blue). A Goat Anti-Rabbit IgG (Alexa Fluor® 488, ab150081) at 1/5000 dilution was used as the secondary antibody.

Flow Cytometry (Intracellular) - Anti-Neutrophil Elastase antibody [EPR28386-66] (AB310335)
  • Flow Cyt (Intra)

Supplier Data

Flow Cytometry (Intracellular) - Anti-Neutrophil Elastase antibody [EPR28386-66] (AB310335)

Flow cytometric analysis of 4% paraformaldehyde fixed 90% methanol permeabilized mouse primary neuron cells labelling Neutrophil Elastase with ab310335 at 1/500 dilution (0.1 ug)/Right (Red) compared with a Rabbit monoclonal IgG (ab172730) / Left isotype control and an unlabelled control (cells without incubation with primary antibody and secondary antibody) (Blue). A Goat Anti-Rabbit IgG (Alexa Fluor® 488, ab150081) at 1/5000 dilution was used as the secondary antibody.

Multiplex immunohistochemistry - Anti-Neutrophil Elastase antibody [EPR28386-66] (AB310335)
  • mIHC

Lab

Multiplex immunohistochemistry - Anti-Neutrophil Elastase antibody [EPR28386-66] (AB310335)

Multiplex immunohistochemistry analysis of formalin/PFA-fixed paraffin-embedded Mouse bone marrow tissue staining Neutrophil Elastase with ab310335 at a 1/500 ( 1.076 µg/ml) dilution, CD19 with ab245235 at a 1/1000 ( 0.444 µg/ml) dilution and CD3 with ab237721 at a 1/2000 ( 0.264 µg/ml) dilution followed by a ready to use secondary antibody Opal Polymer HRP Ms + Rb.

Panel A : merged staining of anti-Neutrophil Elastase (magenta; Opal™690), anti-CD19 (green; Opal™520) and anti-CD3 (gray; Opal™690) on mouse spleen.Panel B : anti-Neutrophil Elastase staining neutrophils in mouse spleen.
Panel C : anti-CD19 staining B lymphocytes in mouse spleen.
Panel D : anti-CD3 staining T lymphocytes in mouse spleen.
Nuclear DNA was labeled with DAPI (shown in blue).

The section was incubated in three rounds of staining : in the order of ab310335, ab245235 and ab237721 for 30 mins at room temperature. Each round was followed by a separate fluorescent tyramide signal amplification system.

The immunostaining was performed on a Leica Biosystems BOND® RX instrument with an Opal™ 4-color kit. Image acquisition was performed with Leica SP8 confocal microscope.

Heat mediated antigen retrieval with Tris-EDTA buffer (pH 9.0, epitope retrieval solution2) for 20 mins

Multiplex immunohistochemistry - Anti-Neutrophil Elastase antibody [EPR28386-66] (AB310335)
  • mIHC

Lab

Multiplex immunohistochemistry - Anti-Neutrophil Elastase antibody [EPR28386-66] (AB310335)

Multiplex immunohistochemistry analysis of formalin/PFA-fixed paraffin-embedded Mouse lymph node tissue staining Neutrophil Elastase with ab310335 at a 1/500 ( 1.076 µg/ml) dilution, F4/80 with ab300421 at a 1/5000 ( 0.106 µg/ml) dilution and NCR1 with ab233558 at a 1/500 ( 1.114 µg/ml) dilution followed by a ready to use secondary antibody Opal Polymer HRP Ms + Rb.

Panel A : merged staining of anti-Neutrophil Elastase (magenta; Opal™690), anti-CD19 (green; Opal™520) and anti-CD3 (gray; Opal™690) on mouse spleen.Panel B : anti-Neutrophil Elastase staining neutrophils in mouse spleen.
Panel C : anti-CD19 staining B lymphocytes in mouse spleen.
Panel D : anti-CD3 staining T lymphocytes in mouse spleen.
Nuclear DNA was labeled with DAPI (shown in blue).

The section was incubated in three rounds of staining : in the order of ab310335, ab245235 and ab237721 for 30 mins at room temperature. Each round was followed by a separate fluorescent tyramide signal amplification system.

The immunostaining was performed on a Leica Biosystems BOND® RX instrument with an Opal™ 4-color kit. Image acquisition was performed with Leica SP8 confocal microscope.

Heat mediated antigen retrieval with Tris-EDTA buffer (pH 9.0, epitope retrieval solution2) for 20 mins

Western blot - Anti-Neutrophil Elastase antibody [EPR28386-66] (AB310335)
  • WB

Supplier Data

Western blot - Anti-Neutrophil Elastase antibody [EPR28386-66] (AB310335)

Blocking and diluting buffer and concentration : 5% NFDM/TBST Negative control : brain (PMID : 24309898), cerebellum (PMID : 24309898). In Western blot, anti-GAPDH antibody (ab181602) loading control staining at 1/200000 dilution. Exposure time : 48 seconds

All lanes:

Western blot - Anti-Neutrophil Elastase antibody [EPR28386-66] (ab310335) at 1/1000 dilution

Lane 1:

Human bone Marrow tissue lysate at 50 µg

Lane 2:

Human brain tissue lysate at 20 µg

Lane 3:

Human cerebellum tissue lysate at 20 µg

Secondary

All lanes:

Goat Anti-Rabbit IgG (HRP) with minimal cross-reactivity with human IgG at 1/2000 dilution

Observed band size: 29 kDa

false

Exposure time: 48s

Western blot - Anti-Neutrophil Elastase antibody [EPR28386-66] (AB310335)
  • WB

Lab

Western blot - Anti-Neutrophil Elastase antibody [EPR28386-66] (AB310335)

Blocking and diluting buffer and concentration : 5% NFDM/TBST.

ab310335 is not suitable for detecting human cell lines in western blot assay. ab131260 and ab314916 are alternatives for detecting human cell lines.

Neutrophil elastase undergoes proteolytic cleavage to generate fragments (PMID : 25857284).

Lanes 1 - 3:

Western blot - Anti-Neutrophil Elastase antibody [EPR28386-66] (ab310335) at 1/1000 dilution

Lanes 4 - 6:

Western blot - Anti-Neutrophil Elastase antibody [EPR7479] (<a href='/en-us/products/primary-antibodies/neutrophil-elastase-antibody-epr7479-ab131260'>ab131260</a>) at 1/1000 dilution

Lanes 7 - 9:

Western blot - Anti-Neutrophil Elastase antibody [RM1077] (<a href='/en-us/products/primary-antibodies/neutrophil-elastase-antibody-rm1077-ab314916'>ab314916</a>) at 1/1000 dilution

Lanes 1, 4 and 7:

HL-60 (human Acute Promyelocytic Leukemia promyeloblast) whole cell lysate at 20 µg

Lanes 2, 5 and 8:

THP-1 (human monocytic leukemia monocyte) whole cell lysate at 20 µg

Lanes 3, 6 and 9:

U937 (human histiocytic lymphoma monocyte) whole cell lysate at 20 µg

Secondary

All lanes:

Western blot - Goat Anti-Rabbit IgG H&L (HRP) (<a href='/en-us/products/secondary-antibodies/goat-rabbit-igg-h-l-hrp-ab97051'>ab97051</a>) at 1/20000 dilution

Observed band size: 30 kDa,26 kDa

false

Exposure time: 40s

Western blot - Anti-Neutrophil Elastase antibody [EPR28386-66] (AB310335)
  • WB

Supplier Data

Western blot - Anti-Neutrophil Elastase antibody [EPR28386-66] (AB310335)

Blocking and diluting buffer and concentration : 5% NFDM/TBST Negative controls : kidney (PMID : 24309898), cerebellum (PMID : 24309898). In Western blot, anti- Integrin alpha V antibody (ab179475) loading control staining at 1/5000 dilution. Exposure time : 180 seconds

All lanes:

Western blot - Anti-Neutrophil Elastase antibody [EPR28386-66] (ab310335) at 1/1000 dilution

Lane 1:

Rat bone marrow tissue lysate at 20 µg

Lane 2:

Rat cerebellum tissue lysate at 20 µg

Lane 3:

Rat kidney tissue lysate at 20 µg

Secondary

All lanes:

Goat Anti-Rabbit IgG (HRP) with minimal cross-reactivity with human IgG at 1/2000 dilution

false

Exposure time: 180s

Western blot - Anti-Neutrophil Elastase antibody [EPR28386-66] (AB310335)
  • WB

Supplier Data

Western blot - Anti-Neutrophil Elastase antibody [EPR28386-66] (AB310335)

Blocking and diluting buffer and concentration : 5% NFDM/TBST Negative controls : brain (PMID : 24309898), kidney (PMID : 24309898), cerebellum (PMID : 24309898). In Western blot, anti- Vinculin antibody (ab129002) loading control staining at 1/10000 dilution. Exposure time : 48 seconds

All lanes:

Western blot - Anti-Neutrophil Elastase antibody [EPR28386-66] (ab310335) at 1/1000 dilution

Lane 1:

Mouse bone marrow tissue lysate at 20 µg

Lane 2:

Mouse cerebellum tissue lysate at 20 µg

Lane 3:

Mouse kidney tissue lysate at 20 µg

Lane 4:

Mouse brain tissue lysate at 20 µg

Secondary

All lanes:

Goat Anti-Rabbit IgG (HRP) with minimal cross-reactivity with human IgG at 1/2000 dilution

Observed band size: 29 kDa

false

Exposure time: 48s

  • Carrier free

    Anti-Neutrophil Elastase antibody [EPR28386-66] - BSA and Azide free

Key facts

Host species

Rabbit

Clonality

Monoclonal

Clone number

EPR28386-66

Isotype

IgG

Carrier free

No

Reacts with

Rat, Mouse, Human

Applications

mIHC, Flow Cyt (Intra), IHC-P, WB

applications

Immunogen

The exact immunogen used to generate this antibody is proprietary information.

Reactivity data

{ "title": "Reactivity Data", "filters": { "stats": ["", "Species", "Dilution Info", "Notes"], "tabs": { "all-applications": {"fullname" : "All Applications", "shortname": "All Applications"}, "WB" : {"fullname" : "Western blot", "shortname":"WB"}, "FlowCytIntra" : {"fullname" : "Flow Cytometry (Intracellular)", "shortname":"Flow Cyt (Intra)"}, "IHCP" : {"fullname" : "Immunohistochemistry (Formalin/PFA-fixed paraffin-embedded sections)", "shortname":"IHC-P"}, "ICCIF" : {"fullname" : "Immunocytochemistry/ Immunofluorescence", "shortname":"ICC/IF"}, "IP" : {"fullname" : "Immunoprecipitation", "shortname":"IP"}, "mIHC" : {"fullname" : "Multiplex immunohistochemistry", "shortname":"mIHC"} }, "product-promise": { "all": "all", "testedAndGuaranteed": "tested", "guaranteed": "expected", "predicted": "predicted", "notRecommended": "not-recommended" } }, "values": { "Human": { "WB-species-checked": "testedAndGuaranteed", "WB-species-dilution-info": "1/1000", "WB-species-notes": "<p>ab310335 is not suitable for detecting human cell lines in western blot assay due to low sensitivity issue. <a href='/en-us/products/primary-antibodies/neutrophil-elastase-antibody-epr7479-ab131260'>ab131260</a> and <a href='/en-us/products/primary-antibodies/neutrophil-elastase-antibody-rm1077-ab314916'>ab314916</a> are alternatives for detecting human cell lines.</p>", "FlowCytIntra-species-checked": "guaranteed", "FlowCytIntra-species-dilution-info": "", "FlowCytIntra-species-notes": "", "IHCP-species-checked": "testedAndGuaranteed", "IHCP-species-dilution-info": "1/100", "IHCP-species-notes": "<p></p> Perform heat-mediated antigen retrieval with Tris/EDTA buffer pH 9.0 before commencing with IHC staining protocol.", "ICCIF-species-checked": "notRecommended", "ICCIF-species-dilution-info": "", "ICCIF-species-notes": "<p></p>", "IP-species-checked": "notRecommended", "IP-species-dilution-info": "", "IP-species-notes": "", "mIHC-species-checked": "testedAndGuaranteed", "mIHC-species-dilution-info": "1/100", "mIHC-species-notes": "<p></p> Perform heat-mediated antigen retrieval with Tris/EDTA buffer pH 9.0 before commencing with IHC staining protocol." }, "Mouse": { "WB-species-checked": "testedAndGuaranteed", "WB-species-dilution-info": "1/1000", "WB-species-notes": "<p>0.538 ug/ml</p>", "FlowCytIntra-species-checked": "testedAndGuaranteed", "FlowCytIntra-species-dilution-info": "1/500", "FlowCytIntra-species-notes": "<p></p>", "IHCP-species-checked": "testedAndGuaranteed", "IHCP-species-dilution-info": "1/100", "IHCP-species-notes": "<p></p> Perform heat-mediated antigen retrieval with Tris/EDTA buffer pH 9.0 before commencing with IHC staining protocol.", "ICCIF-species-checked": "notRecommended", "ICCIF-species-dilution-info": "", "ICCIF-species-notes": "<p></p>", "IP-species-checked": "notRecommended", "IP-species-dilution-info": "", "IP-species-notes": "<p></p>", "mIHC-species-checked": "testedAndGuaranteed", "mIHC-species-dilution-info": "1/500", "mIHC-species-notes": "<p></p>" }, "Rat": { "WB-species-checked": "testedAndGuaranteed", "WB-species-dilution-info": "1/1000", "WB-species-notes": "<p>0.538 ug/ml</p>", "FlowCytIntra-species-checked": "guaranteed", "FlowCytIntra-species-dilution-info": "", "FlowCytIntra-species-notes": "", "IHCP-species-checked": "testedAndGuaranteed", "IHCP-species-dilution-info": "1/100", "IHCP-species-notes": "<p></p> Perform heat-mediated antigen retrieval with Tris/EDTA buffer pH 9.0 before commencing with IHC staining protocol.", "ICCIF-species-checked": "notRecommended", "ICCIF-species-dilution-info": "", "ICCIF-species-notes": "", "IP-species-checked": "notRecommended", "IP-species-dilution-info": "", "IP-species-notes": "", "mIHC-species-checked": "guaranteed", "mIHC-species-dilution-info": "", "mIHC-species-notes": "" } } }

Product details

What is this antibody validated in?
Anti-Neutrophil Elastase antibody [EPR28386-66] (ab310335) is a rabbit recombinant monoclonal antibody and is validated for use in Western Blot (WB), Flow Cytometry (Intra), Flow Cytometry (Flow Cyt), Immunohistochemistry (IHC-P), Multiplex IHC (mIHC) in Human, Mouse, Rat samples.

What is the molecular weight of Neutrophil Elastase?
Anti-Neutrophil Elastase [EPR28386-66] (ab310335) specifically detects a band for Neutrophil Elastase (UniProt: Q3UP87) at a molecular weight of 29kDa.

Trial sizes available!
Test your antibody or perform pre-screening before committing to a larger quantity. Sold in 10µl. Discover our selection of trial-size antibodies.

Other related products
We have a range of other formats of antibody clone [EPR28386-66] also available for your convenience: ab310335, Carrier free - ab310336

Patented technology
Our RabMAb® technology is a patented hybridoma-based technology for making rabbit monoclonal antibodies. For details on our patents, please refer to RabMAb® patents.

What are the advantages of a recombinant monoclonal antibody?
This product is a recombinant monoclonal antibody, which offers several advantages including:

  • - High batch-to-batch consistency and reproducibility
  • - Improved sensitivity and specificity
  • - Long-term security of supply
  • - Animal-free batch production

For more information, read more on recombinant antibodies.

Properties and storage information

Form
Liquid
Purification technique
Affinity purification Protein A
Storage buffer
pH: 7.2 - 7.4 Preservative: 0.01% Sodium azide Constituents: PBS, 40% Glycerol (glycerin, glycerine), 0.05% BSA
Shipped at conditions
Blue Ice
Appropriate short-term storage duration
1-2 weeks
Appropriate short-term storage conditions
+4°C
Appropriate long-term storage conditions
-20°C
Aliquoting information
Upon delivery aliquot
Storage information
Avoid freeze / thaw cycle

Supplementary information

This supplementary information is collated from multiple sources and compiled automatically.

Neutrophil Elastase also known as neutrophil proteinase 3 has a molecular mass of approximately 30 kDa. It is a serine protease expressed mainly in azurophilic granules of neutrophils. This enzyme breaks down various proteins including elastin at sites of inflammation. Neutrophil Elastase releases during degranulation or through neutrophil extracellular traps (NETs) to combat pathogens.
Biological function summary

The target plays a significant role in neutrophil-mediated tissue remodeling and host defense. It leads to the breaking down of extracellular matrix components contributing to tissue remodeling and repair. Neutrophil Elastase is part of a complex interplay with other proteases like matrix metalloproteinases (MMPs). Its activity is regulated by endogenous inhibitors such as alpha-1 antitrypsin to prevent excessive tissue damage.

Pathways

This protease is important in inflammation and immune response pathways. It plays a role in the complement system by activating C5 a component of the complement cascade. It also acts in conjunction with other proteases such as cathepsin G to modulate immune and inflammatory responses. Neutrophil Elastase's role within these pathways is pivotal for the regulation of inflammation and destruction of pathogens.

Individuals with conditions such as chronic obstructive pulmonary disease (COPD) and cystic fibrosis often exhibit dysregulation or excessive activity of Neutrophil Elastase. This excessive activity leads to tissue damage and exacerbates disease progression. The enzyme also interacts with proteins like elastin and collagen in these diseases further contributing to pathological tissue remodeling and damage.

Product protocols

For this product, it's our understanding that no specific protocols are required. You can visit:

Target data

Serine protease that modifies the functions of natural killer cells, monocytes and granulocytes. Inhibits C5a-dependent neutrophil enzyme release and chemotaxis (By similarity). Promotes blood coagulation (PubMed : 20676107). Through the activation of the platelet fibrinogen receptor integrin alpha-IIb/beta-3, potentiates platelet aggregation induced by a threshold concentration of cathepsin G (CTSG) (By similarity). Cleaves and thus inactivates tissue factor pathway inhibitor (TFPI) (By similarity). Capable of killing E.coli; probably digests outer membrane protein A (ompA) in E.coli (PubMed : 10947984).
See full target information Elane

Publications (9)

Recent publications for all applications. Explore the full list and refine your search

Scientific reports 15:24653 PubMed40634416

2025

Adenosine improves postmenopausal obesity by regulating neutrophil extracellular traps.

Applications

Unspecified application

Species

Unspecified reactive species

Anzhu Wang,Wei Zhang,Mengjiao Kang,Shan Wang,Jingjing Shi,Pengfei Xie,Linhua Zhao,Xiaolin Tong

Journal of cellular and molecular medicine 29:e70549 PubMed40600791

2025

Kupffer Cells Regulate iNKT Cells Through Il-12 to Mitigate the Extent of APAP-Induced Damage in the Liver.

Applications

Unspecified application

Species

Unspecified reactive species

Yinling Li,Shuang Wen,Jie Liu,Shuwei Li,Junping Shi,Haitao Wang

Iranian journal of pharmaceutical research : IJPR 23:e148139 PubMed40066121

2025

The Glucagon-Like Peptide-1 (GLP-1) Receptor Agonist Liraglutide Regulates Sirtuin-1-Mediated Neutrophil Extracellular Traps to Improve Diabetes-Induced Bone Metabolism Imbalance.

Applications

Unspecified application

Species

Unspecified reactive species

Shuai Zhong,Liangzhi Huang,Tingting Lin,Yanyan Li,Bin Deng,Dezhi Kong,Zhanlin Liao,Zugui Huang

Frontiers in immunology 15:1521634 PubMed39845946

2025

Deciphering hub genes and immune landscapes related to neutrophil extracellular traps in rheumatoid arthritis: insights from integrated bioinformatics analyses and experiments.

Applications

Unspecified application

Species

Unspecified reactive species

Yang Li,Jian Liu,Yue Sun,Yuedi Hu,Qiao Zhou,Chengzhi Cong,Yiming Chen

Frontiers in microbiology 15:1441015 PubMed39629210

2024

Protective effect of Shenqi Wenfei Formula against lipopolysaccharide/cigarette smoke-induced COPD in Rat based on gut microbiota and network pharmacology analysis.

Applications

Unspecified application

Species

Unspecified reactive species

Mengyao Shi,Qian Xue,Jinghui Xie,Qinjun Yang,Jiabing Tong,Jie Zhu,Yating Gao,Xiao Ma,Di Wu,Zegeng Li

Pulmonary circulation 14:e12454 PubMed39386377

2024

Didang decoction attenuates cancer-associated thrombosis by inhibiting PAD4-dependent NET formation in lung cancer.

Applications

Unspecified application

Species

Unspecified reactive species

Xiaoyan Zeng,Jiuxi Li,Liyuan Pei,Yaping Yang,Ya Chen,Xuejing Wang,Ting Zhang,Ting Zhou

European journal of cardio-thoracic surgery : official journal of the European Association for Cardio-thoracic Surgery 66: PubMed39374547

2024

Colchicine prevents perioperative myocardial injury in cardiac surgery by inhibiting the formation of neutrophil extracellular traps: evidence from rat models.

Applications

Unspecified application

Species

Unspecified reactive species

Hao-Dong Pan,You-Ru Kong,Li Xu,Ming-Yue Liu,Zhi-Kang Lv,Yusanjan Matniyaz,Hai-Tao Zhang,Yu-Xian Tang,Wen-Xin Su,Chen-Yu Jiang,Yi-Fan Zhu,Dong-Jin Wang,Xiao-Lu Jiao,Tuo Pan

Chinese medicine 19:43 PubMed38448912

2024

Electroacupuncture pretreatment mediates sympathetic nerves to alleviate myocardial ischemia-reperfusion injury via CRH neurons in the paraventricular nucleus of the hypothalamus.

Applications

Unspecified application

Species

Unspecified reactive species

Jie Zhou,Bin Zhang,Xiang Zhou,Fan Zhang,Qi Shu,Yan Wu,Hui-Min Chang,Ling Hu,Rong-Lin Cai,Qing Yu

Respiratory research 25:14 PubMed38178075

2024

Fine particulate matter contributes to COPD-like pathophysiology: experimental evidence from rats exposed to diesel exhaust particles.

Applications

Unspecified application

Species

Unspecified reactive species

Zhang-Fu Fang,Zhao-Ni Wang,Zhe Chen,Yang Peng,Yu Fu,Yang Yang,Hai-Long Han,Yan-Bo Teng,Wei Zhou,Damo Xu,Xiao-Yu Liu,Jia-Xing Xie,Junfeng Jim Zhang,Nan-Shan Zhong
View all publications

Product promise

We are committed to supporting your work with high-quality reagents, and we're here for you every step of the way. In the unlikely event that one of our products does not perform as expected, you're protected by our Product Promise.
For full details, please see our Terms & Conditions

Please note: All products are 'FOR RESEARCH USE ONLY. NOT FOR USE IN DIAGNOSTIC OR THERAPEUTIC PROCEDURES'.

For licensing inquiries, please contact partnerships@abcam.com