JavaScript is disabled in your browser. Please enable JavaScript to view this website.
AB314916

Anti-Neutrophil Elastase antibody [RM1077]

  • BOND RX™ Validated
  • 20ul selling size
  • RabMAb
  • Recombinant
  • What is this?

Be the first to review this product! Submit a review

|

(2 Publications)

Anti-Neutrophil Elastase antibody [RM1077] (ab314916) is a rabbit recombinant multiclonal antibody detecting Neutrophil Elastase in Western Blot, Flow Cytometry (Intra), Flow Cytometry, IP, IHC-P, ICC/IF, ELISA. Suitable for Human, Mouse, Rat.

- Biophysical QC for unrivalled batch-batch consistency

View Alternative Names

ELA2, ELANE, Neutrophil elastase, Bone marrow serine protease, Elastase-2, Human leukocyte elastase, Medullasin, PMN elastase, HLE

17 Images
Immunocytochemistry/ Immunofluorescence - Anti-Neutrophil Elastase antibody [RM1077] (AB314916)
  • ICC/IF

Supplier Data

Immunocytochemistry/ Immunofluorescence - Anti-Neutrophil Elastase antibody [RM1077] (AB314916)

Immunofluorescent analysis of 4% Paraformaldehyde-fixed, 0.1% TritonX-100 permeabilized THP-1 (human monocytic leukemia monocyte cell) cells labelling Neutrophil Elastase with ab314916 at 1/50 (10.32 ug/ml) dilution, followed by ab150081 Goat Anti-Rabbit IgG H&L (Alexa Fluor® 488) preadsorbed antibody at 1/1000 (2ug/ml) dilution (Green). Confocal image showing cytoplasmic staining in THP-1 cell line. Negative control : MCF7. Image was taken with a confocal microscope(Leica-Microsystems, TCS SP8). ab195889 Anti-alpha Tubulin mouse monoclonal antibody - Microtubule Marker (Alexa Fluor® 594) was used to counterstain tubulin at 1/200 (2.5ug/ml) dilution (Red). The Nuclear counterstain was DAPI (Blue). Secondary antibody only control : Secondary antibody is ab150081 Goat Anti-Rabbit IgG H&L (Alexa Fluor® 488) preadsorbed at 1/1000 (2ug/ml) dilution.

Immunohistochemistry (Formalin/PFA-fixed paraffin-embedded sections) - Anti-Neutrophil Elastase antibody [RM1077] (AB314916)
  • IHC-P

Supplier Data

Immunohistochemistry (Formalin/PFA-fixed paraffin-embedded sections) - Anti-Neutrophil Elastase antibody [RM1077] (AB314916)

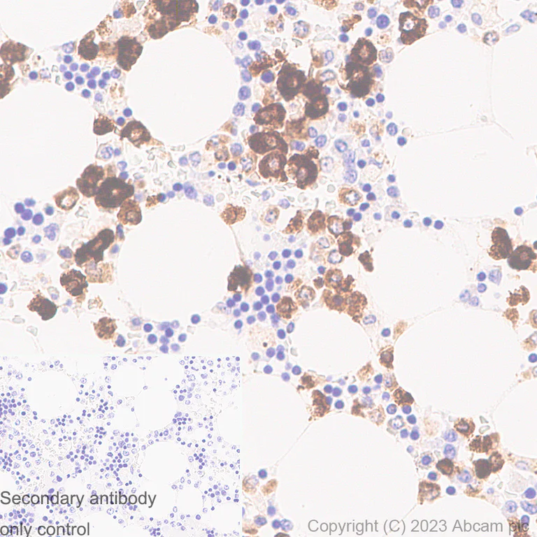
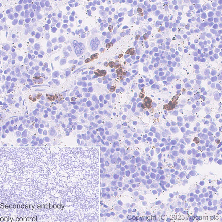
Immunohistochemical analysis of paraffin-embedded human bone marrow tissue labeling Neutrophil Elastase with ab314916 at 1/500 (1.032 ug/ml) followed by a ready to use LeicaDS9800 (Bond™ Polymer Refine Detection). Positive staining on human bone marrow. The section was incubated with ab314916 for 30 mins at room temperature. The immunostaining was performed on a Leica Biosystems BOND® RX instrument. Counterstained with Hematoxylin. Secondary antibody only control : Secondary antibody is a ready to use LeicaDS9800 (Bond™ Polymer Refine Detection). Heat mediated antigen retrieval was performed with Tris-EDTA buffer (pH 9.0, Epitope Retrieval Solution2) for 20 mins.

Immunocytochemistry/ Immunofluorescence - Anti-Neutrophil Elastase antibody [RM1077] (AB314916)
  • ICC/IF

Supplier Data

Immunocytochemistry/ Immunofluorescence - Anti-Neutrophil Elastase antibody [RM1077] (AB314916)

Immunofluorescent analysis of 4% Paraformaldehyde-fixed, 0.1% TritonX-100 permeabilized U-937 (human histiocytic lymphoma monocyte) cells labelling Neutrophil Elastase with ab314916 at 1/50 (10.32 ug/ml) dilution, followed by ab150081 Goat Anti-Rabbit IgG H&L (Alexa Fluor® 488) preadsorbed antibody at 1/1000 (2ug/ml) dilution (Green). Confocal image showing cytoplasmic staining in U-937 cell line. Image was taken with a confocal microscope(Leica-Microsystems, TCS SP8). ab195889 Anti-alpha Tubulin mouse monoclonal antibody - Microtubule Marker (Alexa Fluor® 594) was used to counterstain tubulin at 1/200 (2.5ug/ml) dilution (Red). The Nuclear counterstain was DAPI (Blue). Secondary antibody only control : Secondary antibody is ab150081 Goat Anti-Rabbit IgG H&L (Alexa Fluor® 488) preadsorbed at 1/1000 (2ug/ml) dilution.

Immunohistochemistry (Formalin/PFA-fixed paraffin-embedded sections) - Anti-Neutrophil Elastase antibody [RM1077] (AB314916)
  • IHC-P

Supplier Data

Immunohistochemistry (Formalin/PFA-fixed paraffin-embedded sections) - Anti-Neutrophil Elastase antibody [RM1077] (AB314916)

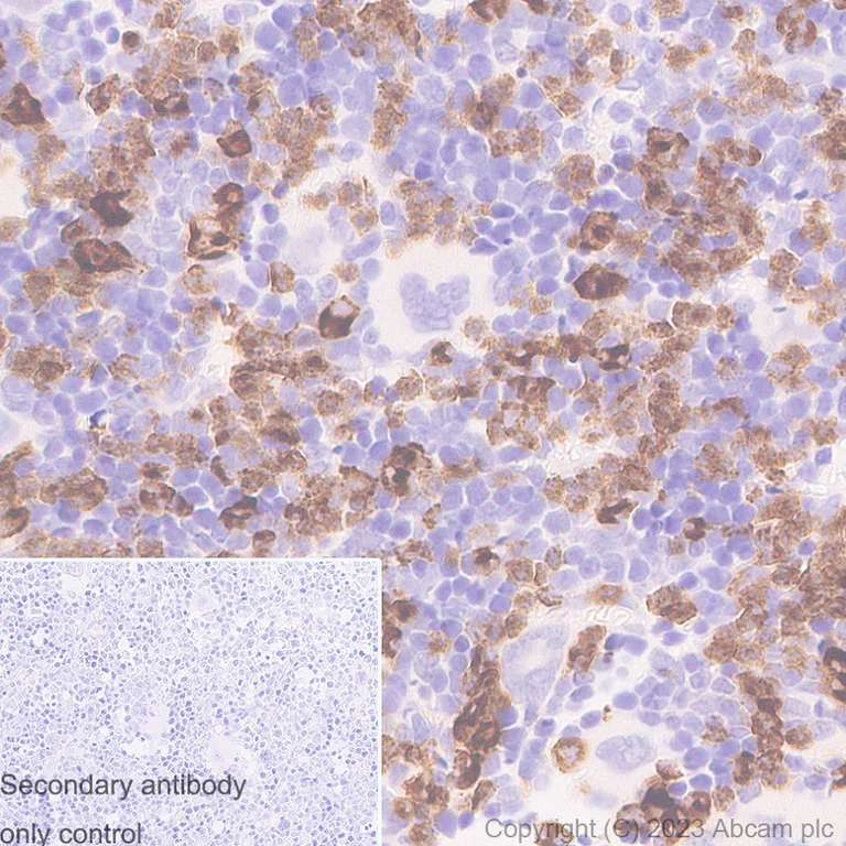
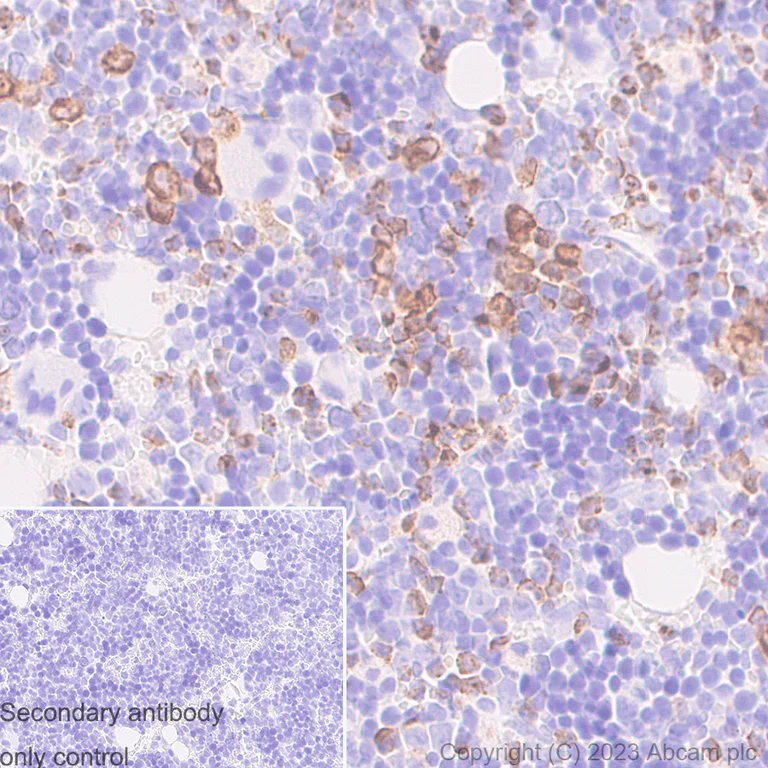
Immunohistochemical analysis of paraffin-embedded human spleen tissue labeling Neutrophil Elastase with ab314916 at 1/500 (1.032 ug/ml) followed by a ready to use LeicaDS9800 (Bond™ Polymer Refine Detection). Positive staining on neutrophils in human spleen. The section was incubated with ab314916 for 30 mins at room temperature. The immunostaining was performed on a Leica Biosystems BOND® RX instrument. Counterstained with Hematoxylin. Secondary antibody only control : Secondary antibody is a ready to use LeicaDS9800 (Bond™ Polymer Refine Detection). Heat mediated antigen retrieval was performed with Tris-EDTA buffer (pH 9.0, Epitope Retrieval Solution2) for 20 mins.

Flow Cytometry (Intracellular) - Anti-Neutrophil Elastase antibody [RM1077] (AB314916)
  • Flow Cyt (Intra)

Supplier Data

Flow Cytometry (Intracellular) - Anti-Neutrophil Elastase antibody [RM1077] (AB314916)

Flow cytometric analysis of 4% paraformaldehyde fixed 90% methanol permeabilized MCF7 (human breast adenocarcinoma epithelial cell, Left) / THP-1 (human monocytic leukemia monocyte, Right) cells labelling Neutrophil Elastase with ab314916 at 1/500 dilution (0.1 ug)/Red compared with a Rabbit monoclonal IgG (ab172730) (Black) isotype control and an unlabelled control (cells without incubation with primary antibody and secondary antibody) (Blue). A Goat Anti-Rabbit IgG (Alexa Fluor® 488, ab150081) at 1/5000 dilution was used as the secondary antibody.

Immunohistochemistry (Formalin/PFA-fixed paraffin-embedded sections) - Anti-Neutrophil Elastase antibody [RM1077] (AB314916)
  • IHC-P

Supplier Data

Immunohistochemistry (Formalin/PFA-fixed paraffin-embedded sections) - Anti-Neutrophil Elastase antibody [RM1077] (AB314916)

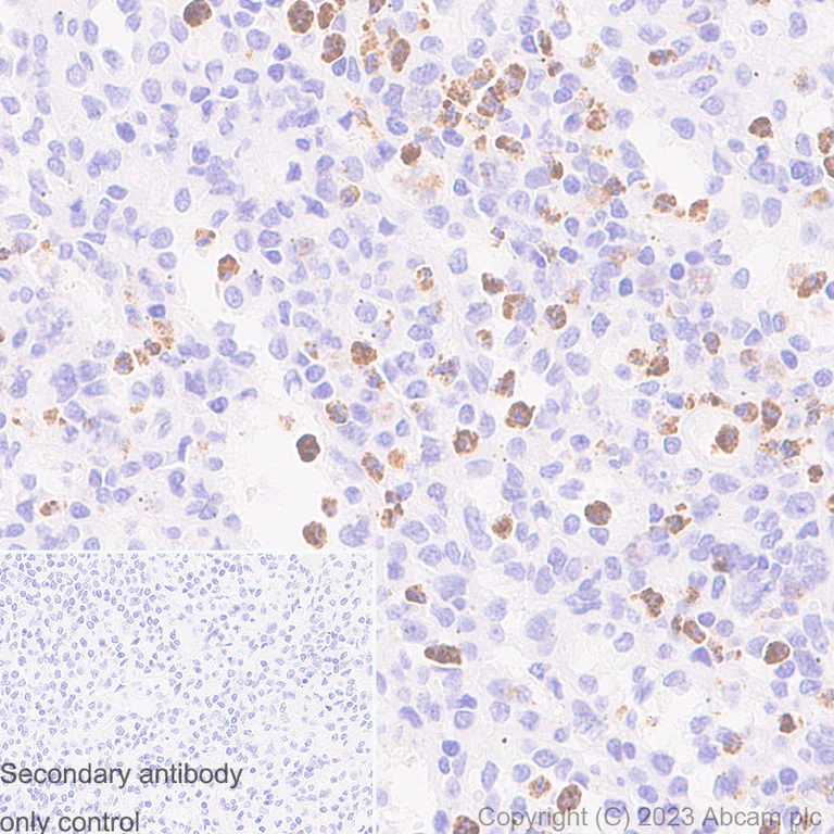
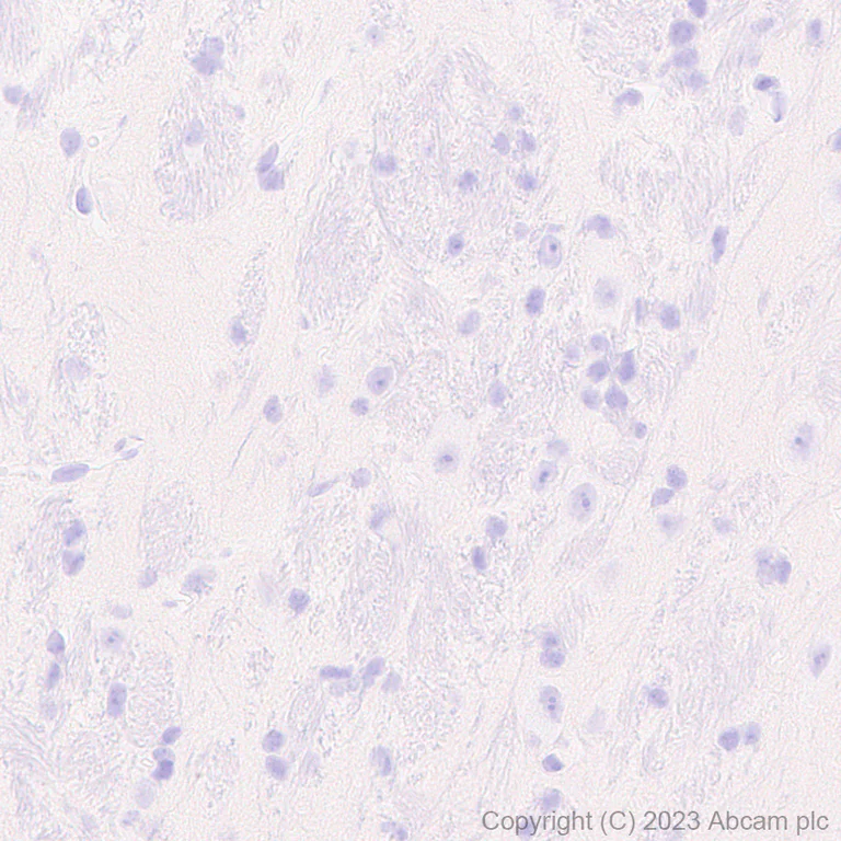
Immunohistochemical analysis of paraffin-embedded human cerebrum tissue labeling Neutrophil Elastase with ab314916 at 1/500 (1.032 ug/ml) followed by a ready to use LeicaDS9800 (Bond™ Polymer Refine Detection). Negative control : no staining on human cerebrum. The section was incubated with ab314916 for 30 mins at room temperature. The immunostaining was performed on a Leica Biosystems BOND® RX instrument. Counterstained with Hematoxylin. Secondary antibody only control : Secondary antibody is a ready to use LeicaDS9800 (Bond™ Polymer Refine Detection). Heat mediated antigen retrieval was performed with Tris-EDTA buffer (pH 9.0, Epitope Retrieval Solution2) for 20 mins.

Immunoprecipitation - Anti-Neutrophil Elastase antibody [RM1077] (AB314916)
  • IP

Supplier Data

Immunoprecipitation - Anti-Neutrophil Elastase antibody [RM1077] (AB314916)

Neutrophil Elastase was immunoprecipitated from 0.35 mg THP-1 (human monocytic leukemia monocyte) whole cell lysate with ab314916 at 1/30 dilution (2ug in 0.35mg lysates). Western blot was performed on the immunoprecipitate using ab314916 at 1/1000 dilution. VeriBlot for IP secondary antibody(HRP)(ab131366) was used at 1/5000 dilution. Lane 1 : THP-1 (human monocytic leukemia monocyte) whole cell lysate Lane 2 : ab314916 IP in THP-1 (human monocytic leukemia monocyte) whole cell lysate Lane 3 : Rabbit monoclonal IgG (ab172730) instead of ab314916 in THP-1 whole cell lysate Blocking and dilution buffer and concentration : 5% NFDM/TBST.

All lanes:

Immunoprecipitation - Anti-Neutrophil Elastase antibody [RM1077] (ab314916) at 1/30 dilution

All lanes:

THP-1 (human monocytic leukemia monocyte) whole cell lysate

Secondary

All lanes:

Immunoprecipitation - VeriBlot for IP Detection Reagent (HRP) (<a href='/en-us/products/reagents/veriblot-for-ip-detection-reagent-hrp-ab131366'>ab131366</a>) at 1/5000 dilution

false

Exposure time: 180s

Immunohistochemistry (Formalin/PFA-fixed paraffin-embedded sections) - Anti-Neutrophil Elastase antibody [RM1077] (AB314916)
  • IHC-P

Supplier Data

Immunohistochemistry (Formalin/PFA-fixed paraffin-embedded sections) - Anti-Neutrophil Elastase antibody [RM1077] (AB314916)

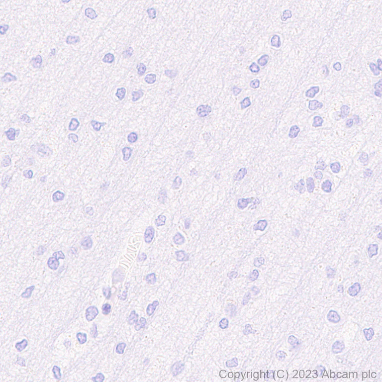
Immunohistochemical analysis of paraffin-embedded rat cerebrum tissue labeling Neutrophil Elastase with ab314916 at 1/500 (1.032 ug/ml) followed by a ready to use LeicaDS9800 (Bond™ Polymer Refine Detection). Negative control : no staining on rat cerebrum. The section was incubated with ab314916 for 30 mins at room temperature. The immunostaining was performed on a Leica Biosystems BOND® RX instrument. Counterstained with Hematoxylin. Secondary antibody only control : Secondary antibody is a ready to use LeicaDS9800 (Bond™ Polymer Refine Detection). Heat mediated antigen retrieval was performed with Tris-EDTA buffer (pH 9.0, Epitope Retrieval Solution2) for 20 mins.

Immunohistochemistry (Formalin/PFA-fixed paraffin-embedded sections) - Anti-Neutrophil Elastase antibody [RM1077] (AB314916)
  • IHC-P

Supplier Data

Immunohistochemistry (Formalin/PFA-fixed paraffin-embedded sections) - Anti-Neutrophil Elastase antibody [RM1077] (AB314916)

Immunohistochemical analysis of paraffin-embedded mouse cerebrum tissue labeling Neutrophil Elastase with ab314916 at 1/500 (1.032 ug/ml) followed by a ready to use LeicaDS9800 (Bond™ Polymer Refine Detection). Negative control : no staining on mouse cerebrum. The section was incubated with ab314916 for 30 mins at room temperature. The immunostaining was performed on a Leica Biosystems BOND® RX instrument. Counterstained with Hematoxylin. Secondary antibody only control : Secondary antibody is a ready to use LeicaDS9800 (Bond™ Polymer Refine Detection). Heat mediated antigen retrieval was performed with Tris-EDTA buffer (pH 9.0, Epitope Retrieval Solution2) for 20 mins.

Immunohistochemistry (Formalin/PFA-fixed paraffin-embedded sections) - Anti-Neutrophil Elastase antibody [RM1077] (AB314916)
  • IHC-P

Supplier Data

Immunohistochemistry (Formalin/PFA-fixed paraffin-embedded sections) - Anti-Neutrophil Elastase antibody [RM1077] (AB314916)

Immunohistochemical analysis of paraffin-embedded rat bone marrow tissue labeling Neutrophil Elastase with ab314916 at 1/500 (1.032 ug/ml) followed by a ready to use LeicaDS9800 (Bond™ Polymer Refine Detection). Positive staining on rat bone marrow. The section was incubated with ab314916 for 30 mins at room temperature. The immunostaining was performed on a Leica Biosystems BOND® RX instrument. Counterstained with Hematoxylin. Secondary antibody only control : Secondary antibody is a ready to use LeicaDS9800 (Bond™ Polymer Refine Detection). Heat mediated antigen retrieval was performed with Tris-EDTA buffer (pH 9.0, Epitope Retrieval Solution2) for 20 mins.

Immunohistochemistry (Formalin/PFA-fixed paraffin-embedded sections) - Anti-Neutrophil Elastase antibody [RM1077] (AB314916)
  • IHC-P

Supplier Data

Immunohistochemistry (Formalin/PFA-fixed paraffin-embedded sections) - Anti-Neutrophil Elastase antibody [RM1077] (AB314916)

Immunohistochemical analysis of paraffin-embedded mouse spleen tissue labeling Neutrophil Elastase with ab314916 at 1/500 (1.032 ug/ml) followed by a ready to use LeicaDS9800 (Bond™ Polymer Refine Detection). Positive staining on neutrophils in mouse spleen. The section was incubated with ab314916 for 30 mins at room temperature. The immunostaining was performed on a Leica Biosystems BOND® RX instrument. Counterstained with Hematoxylin. Secondary antibody only control : Secondary antibody is a ready to use LeicaDS9800 (Bond™ Polymer Refine Detection). Heat mediated antigen retrieval was performed with Tris-EDTA buffer (pH 9.0, Epitope Retrieval Solution2) for 20 mins.

Immunohistochemistry (Formalin/PFA-fixed paraffin-embedded sections) - Anti-Neutrophil Elastase antibody [RM1077] (AB314916)
  • IHC-P

Supplier Data

Immunohistochemistry (Formalin/PFA-fixed paraffin-embedded sections) - Anti-Neutrophil Elastase antibody [RM1077] (AB314916)

Immunohistochemical analysis of paraffin-embedded mouse bone marrow tissue labeling Neutrophil Elastase with ab314916 at 1/500 (1.032 ug/ml) followed by a ready to use LeicaDS9800 (Bond™ Polymer Refine Detection). Positive staining on mouse bone marrow. The section was incubated with ab314916 for 30 mins at room temperature. The immunostaining was performed on a Leica Biosystems BOND® RX instrument. Counterstained with Hematoxylin. Secondary antibody only control : Secondary antibody is a ready to use LeicaDS9800 (Bond™ Polymer Refine Detection). Heat mediated antigen retrieval was performed with Tris-EDTA buffer (pH 9.0, Epitope Retrieval Solution2) for 20 mins.

Western blot - Anti-Neutrophil Elastase antibody [RM1077] (AB314916)
  • WB

Supplier Data

Western blot - Anti-Neutrophil Elastase antibody [RM1077] (AB314916)

Blocking and diluting buffer and concentration : 5% NFDM/TBST The expression profile observed is consistent with what has been described in the literature (PMID : 25857284). In Western blot, Anti-GAPDH antibody [EPR16891] - Loading Control (ab181602) staining at 1/200000 dilution.

All lanes:

Western blot - Anti-Neutrophil Elastase antibody [RM1077] (ab314916) at 1/1000 dilution

All lanes:

Human bone marrow at 20 µg

Secondary

All lanes:

Goat Anti-Rabbit IgG (HRP) with minimal cross-reactivity with human IgG at 1/2000 dilution

Observed band size: 30 kDa,20 kDa,36 kDa

false

Exposure time: 125s

Western blot - Anti-Neutrophil Elastase antibody [RM1077] (AB314916)
  • WB

Supplier Data

Western blot - Anti-Neutrophil Elastase antibody [RM1077] (AB314916)

Blocking and diluting buffer and concentration : 5% NFDM/TBST Negative control : MCF7 (PMID : 22564522), In Western blot, Anti-GAPDH antibody [EPR16891] - Loading Control (ab181602) staining at 1/200000 dilution. Exposure time : Lane 1 : 59 seconds; Lanes 2-3 : 8 seconds

All lanes:

Western blot - Anti-Neutrophil Elastase antibody [RM1077] (ab314916) at 1/1000 dilution

Lane 1:

THP-1 (human monocytic leukemia monocyte) whole cell lysate at 20 µg

Lane 2:

U-937 (human histiocytic lymphoma monocyte) whole cell lysate at 20 µg

Lane 3:

MCF7 (human breast adenocarcinoma epithelial cell) whole cell lysate at 20 µg

Secondary

All lanes:

Western blot - Goat Anti-Rabbit IgG H&L (HRP) (<a href='/en-us/products/secondary-antibodies/goat-rabbit-igg-h-l-hrp-ab97051'>ab97051</a>) at 1/20000 dilution

Observed band size: 30 kDa,36 kDa

false

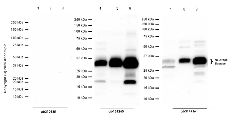
Western blot - Anti-Neutrophil Elastase antibody [RM1077] (AB314916)
  • WB

Lab

Western blot - Anti-Neutrophil Elastase antibody [RM1077] (AB314916)

Blocking and diluting buffer and concentration : 5% NFDM/TBST.

ab310335 is not suitable for detecting human cell lines in western blot assay. ab131260 and ab314916 are alternatives for detecting human cell lines.

Neutrophil elastase undergoes proteolytic cleavage to generate fragments (PMID : 25857284).

Lanes 1 - 3:

Western blot - Anti-Neutrophil Elastase antibody [EPR28386-66] (<a href='/en-us/products/primary-antibodies/neutrophil-elastase-antibody-epr28386-66-ab310335'>ab310335</a>) at 1/1000 dilution

Lanes 4 - 6:

Western blot - Anti-Neutrophil Elastase antibody [EPR7479] (<a href='/en-us/products/primary-antibodies/neutrophil-elastase-antibody-epr7479-ab131260'>ab131260</a>) at 1/1000 dilution

Lanes 7 - 9:

Western blot - Anti-Neutrophil Elastase antibody [RM1077] (ab314916) at 1/1000 dilution

Lanes 1, 4 and 7:

HL-60 (human Acute Promyelocytic Leukemia promyeloblast) whole cell lysate at 20 µg

Lanes 2, 5 and 8:

THP-1 (human monocytic leukemia monocyte) whole cell lysate at 20 µg

Lanes 3, 6 and 9:

U937 (human histiocytic lymphoma monocyte) whole cell lysate at 20 µg

Secondary

All lanes:

Western blot - Goat Anti-Rabbit IgG H&L (HRP) (<a href='/en-us/products/secondary-antibodies/goat-rabbit-igg-h-l-hrp-ab97051'>ab97051</a>) at 1/20000 dilution

Observed band size: 30 kDa,26 kDa

false

Exposure time: 40s

Western blot - Anti-Neutrophil Elastase antibody [RM1077] (AB314916)
  • WB

Supplier Data

Western blot - Anti-Neutrophil Elastase antibody [RM1077] (AB314916)

Blocking and diluting buffer and concentration : 5% NFDM/TBST Negative control : brain, heart, kidney, spleen(PMID : 24309898). In Western blot, Anti-Vinculin antibody [EPR8185] (ab129002) staining at 1/10000 dilution.

All lanes:

Western blot - Anti-Neutrophil Elastase antibody [RM1077] (ab314916) at 1/1000 dilution

Lane 1:

Mouse bone marrow tissue lysate at 20 µg

Lane 2:

Mouse brain tissue lysate at 20 µg

Lane 3:

Mouse heart tissue lysate at 20 µg

Lane 4:

Mouse kidney tissue lysate at 20 µg

Lane 5:

Mouse spleen tissue lysate at 20 µg

Secondary

All lanes:

Western blot - Goat Anti-Rabbit IgG H&L (HRP) (<a href='/en-us/products/secondary-antibodies/goat-rabbit-igg-h-l-hrp-ab97051'>ab97051</a>) at 1/20000 dilution

Observed band size: 30 kDa,124 kDa

false

Exposure time: 6s

Indirect ELISA - Anti-Neutrophil Elastase antibody [RM1077] (AB314916)
  • I-ELISA

Supplier Data

Indirect ELISA - Anti-Neutrophil Elastase antibody [RM1077] (AB314916)

Indirect ELISA analysis of ab314916 at 1000-0 ng/ml. The Secondary antibody used was Alkaline Phosphatase-conjugated AffiniPure Goat Anti-Rabbit IgG (H+L) at 1 : 2500 dilution. Antigen : Mouse Neutrophil Elastase. Antigen concentration : 1000 ng/ml

Key facts

Host species

Rabbit

Clonality

Multiclonal

Clone number

RM1077

Isotype

IgG

Carrier free

No

Reacts with

Human, Mouse, Rat

Applications

ICC/IF, IP, WB, Flow Cyt (Intra), I-ELISA, IHC-P

applications

Immunogen

The exact immunogen used to generate this antibody is proprietary information.

Specificity

Unsuitable for mouse IP, FC-intra and ICC. Unsuitable for rat WB.

Reactivity data

{ "title": "Reactivity Data", "filters": { "stats": ["", "Species", "Dilution Info", "Notes"], "tabs": { "all-applications": {"fullname" : "All Applications", "shortname": "All Applications"}, "WB" : {"fullname" : "Western blot", "shortname":"WB"}, "IHCP" : {"fullname" : "Immunohistochemistry (Formalin/PFA-fixed paraffin-embedded sections)", "shortname":"IHC-P"}, "ICCIF" : {"fullname" : "Immunocytochemistry/ Immunofluorescence", "shortname":"ICC/IF"}, "FlowCytIntra" : {"fullname" : "Flow Cytometry (Intracellular)", "shortname":"Flow Cyt (Intra)"}, "IP" : {"fullname" : "Immunoprecipitation", "shortname":"IP"}, "IELISA" : {"fullname" : "Indirect ELISA", "shortname":"I-ELISA"}, "IHCFr" : {"fullname" : "Immunohistochemistry (Frozen sections)", "shortname":"IHC-Fr"} }, "product-promise": { "all": "all", "testedAndGuaranteed": "tested", "guaranteed": "expected", "predicted": "predicted", "notRecommended": "not-recommended" } }, "values": { "Human": { "WB-species-checked": "testedAndGuaranteed", "WB-species-dilution-info": "1/1000", "WB-species-notes": "<p></p>", "IHCP-species-checked": "testedAndGuaranteed", "IHCP-species-dilution-info": "1/500", "IHCP-species-notes": "<p></p>", "ICCIF-species-checked": "testedAndGuaranteed", "ICCIF-species-dilution-info": "1/50", "ICCIF-species-notes": "<p></p>", "FlowCytIntra-species-checked": "testedAndGuaranteed", "FlowCytIntra-species-dilution-info": "1/500", "FlowCytIntra-species-notes": "<p></p>", "IP-species-checked": "testedAndGuaranteed", "IP-species-dilution-info": "1/30", "IP-species-notes": "<p></p>", "IELISA-species-checked": "guaranteed", "IELISA-species-dilution-info": "", "IELISA-species-notes": "", "IHCFr-species-checked": "notRecommended", "IHCFr-species-dilution-info": "", "IHCFr-species-notes": "" }, "Mouse": { "WB-species-checked": "testedAndGuaranteed", "WB-species-dilution-info": "1/1000", "WB-species-notes": "<p></p>", "IHCP-species-checked": "testedAndGuaranteed", "IHCP-species-dilution-info": "1/500", "IHCP-species-notes": "<p></p>", "ICCIF-species-checked": "notRecommended", "ICCIF-species-dilution-info": "", "ICCIF-species-notes": "<p></p>", "FlowCytIntra-species-checked": "notRecommended", "FlowCytIntra-species-dilution-info": "", "FlowCytIntra-species-notes": "<p></p>", "IP-species-checked": "notRecommended", "IP-species-dilution-info": "", "IP-species-notes": "<p></p>", "IELISA-species-checked": "guaranteed", "IELISA-species-dilution-info": "", "IELISA-species-notes": "", "IHCFr-species-checked": "notRecommended", "IHCFr-species-dilution-info": "", "IHCFr-species-notes": "<p></p>" }, "Rat": { "WB-species-checked": "notRecommended", "WB-species-dilution-info": "", "WB-species-notes": "<p></p>", "IHCP-species-checked": "testedAndGuaranteed", "IHCP-species-dilution-info": "1/500", "IHCP-species-notes": "<p></p>", "ICCIF-species-checked": "guaranteed", "ICCIF-species-dilution-info": "", "ICCIF-species-notes": "", "FlowCytIntra-species-checked": "guaranteed", "FlowCytIntra-species-dilution-info": "", "FlowCytIntra-species-notes": "", "IP-species-checked": "guaranteed", "IP-species-dilution-info": "", "IP-species-notes": "", "IELISA-species-checked": "guaranteed", "IELISA-species-dilution-info": "", "IELISA-species-notes": "", "IHCFr-species-checked": "notRecommended", "IHCFr-species-dilution-info": "", "IHCFr-species-notes": "<p></p>" }, "Recombinant full length protein - Mouse": { "WB-species-checked": "notRecommended", "WB-species-dilution-info": "", "WB-species-notes": "", "IHCP-species-checked": "notRecommended", "IHCP-species-dilution-info": "", "IHCP-species-notes": "", "ICCIF-species-checked": "notRecommended", "ICCIF-species-dilution-info": "", "ICCIF-species-notes": "", "FlowCytIntra-species-checked": "notRecommended", "FlowCytIntra-species-dilution-info": "", "FlowCytIntra-species-notes": "", "IP-species-checked": "notRecommended", "IP-species-dilution-info": "", "IP-species-notes": "", "IELISA-species-checked": "testedAndGuaranteed", "IELISA-species-dilution-info": "1000 ng/mL", "IELISA-species-notes": "<p></p>", "IHCFr-species-checked": "notRecommended", "IHCFr-species-dilution-info": "", "IHCFr-species-notes": "" } } }

Product details

What is this antibody validated in?
Anti-Neutrophil Elastase antibody [RM1077] (ab314916) is a rabbit recombinant recombinant multiclonal antibody and is validated for use in Western Blot (WB), Flow Cytometry (Intra), Flow Cytometry (Flow Cyt), Immunoprecipitation (IP), Immunohistochemistry (IHC-P), Immunocytochemistry/immunofluorescence (ICC/IF), ELISA in Human, Mouse, Rat samples.

What is the molecular weight of Neutrophil Elastase?
Anti-Neutrophil Elastase [RM1077] (ab314916) specifically detects a band for Neutrophil Elastase (UniProt: P08246) at a molecular weight of 29kDa.

Trial sizes available!
Test your antibody or perform pre-screening before committing to a larger quantity. Sold in 10µl. Discover our selection of trial-size antibodies.

Other related products
We have a range of other formats of antibody clone [RM1077] also available for your convenience: ab314916, Carrier free - ab314917

What are recombinant multiclonals?
Recombinant multiclonals are a mixture of recombinant antibodies co-expressed from a library of heavy and light chains. They offer several advantages including:

  • - The sensitivity of polyclonal antibodies by recognising multiple epitopes
  • - High batch-to-batch consistency and reproducibility
  • - Improved sensitivity and specificity
  • - Long-term security of supply
  • - Animal-free batch production

View our range of recombinant multiclonal antibodies.

Patented technology
Our RabMAb® technology is a patented hybridoma-based technology for making rabbit monoclonal antibodies. For details on our patents, please refer to RabMAb® patents.

Properties and storage information

Form
Liquid
Purification technique
Affinity purification Protein A
Storage buffer
pH: 7.2 - 7.4 Preservative: 0.01% Sodium azide Constituents: PBS, 40% Glycerol (glycerin, glycerine), 0.05% BSA
Shipped at conditions
Blue Ice
Appropriate short-term storage duration
1-2 weeks
Appropriate short-term storage conditions
+4°C
Appropriate long-term storage conditions
-20°C
Aliquoting information
Upon delivery aliquot
Storage information
Avoid freeze / thaw cycle

Supplementary information

This supplementary information is collated from multiple sources and compiled automatically.

Neutrophil Elastase also known as neutrophil proteinase 3 has a molecular mass of approximately 30 kDa. It is a serine protease expressed mainly in azurophilic granules of neutrophils. This enzyme breaks down various proteins including elastin at sites of inflammation. Neutrophil Elastase releases during degranulation or through neutrophil extracellular traps (NETs) to combat pathogens.
Biological function summary

The target plays a significant role in neutrophil-mediated tissue remodeling and host defense. It leads to the breaking down of extracellular matrix components contributing to tissue remodeling and repair. Neutrophil Elastase is part of a complex interplay with other proteases like matrix metalloproteinases (MMPs). Its activity is regulated by endogenous inhibitors such as alpha-1 antitrypsin to prevent excessive tissue damage.

Pathways

This protease is important in inflammation and immune response pathways. It plays a role in the complement system by activating C5 a component of the complement cascade. It also acts in conjunction with other proteases such as cathepsin G to modulate immune and inflammatory responses. Neutrophil Elastase's role within these pathways is pivotal for the regulation of inflammation and destruction of pathogens.

Individuals with conditions such as chronic obstructive pulmonary disease (COPD) and cystic fibrosis often exhibit dysregulation or excessive activity of Neutrophil Elastase. This excessive activity leads to tissue damage and exacerbates disease progression. The enzyme also interacts with proteins like elastin and collagen in these diseases further contributing to pathological tissue remodeling and damage.

Product protocols

For this product, it's our understanding that no specific protocols are required. You can visit:

Target data

Serine protease that modifies the functions of natural killer cells, monocytes and granulocytes. Inhibits C5a-dependent neutrophil enzyme release and chemotaxis (PubMed : 15140022). Promotes cleavage of GSDMB, thereby inhibiting pyroptosis (PubMed : 36899106). Promotes blood coagulation (PubMed : 20676107). Through the activation of the platelet fibrinogen receptor integrin alpha-IIb/beta-3, potentiates platelet aggregation induced by a threshold concentration of cathepsin G (CTSG) (PubMed : 25211214, PubMed : 9111081). Cleaves and thus inactivates tissue factor pathway inhibitor (TFPI) (PubMed : 20676107, PubMed : 25211214). Capable of killing E.coli but not S.aureus in vitro; digests outer membrane protein A (ompA) in E.coli and K.pneumoniae (PubMed : 10947984).
See full target information ELANE

Additional targets

Elane

Publications (2)

Recent publications for all applications. Explore the full list and refine your search

Frontiers in neurology 16:1596158 PubMed40689325

2025

Targeting revascularization via tryptophan-indole-NETs axis: the synergistic power of acupuncture and rt-PA thrombolysis in ischemic stroke.

Applications

Unspecified application

Species

Unspecified reactive species

Siqi Chang,Yi Zhao,Chengfeng Li,Xinyu Liu,Zixuan Fang,Zihao Peng,Mingliang Gao,Yawen Xia,Guangxia Ni

Mediators of inflammation 2024:1995952 PubMed39669913

2024

Peptide BG From Bitter Gourd () Improves Adjuvant-Induced Arthritis by Modulating the Necroptosis/Neutrophil Extracellular Traps/Inflammation Axis and the Gut Microbiota.

Applications

Unspecified application

Species

Unspecified reactive species

Wenyan Han,Yanan Xu,Suyila Qimuge,Changshan Wang,Xiulan Su
View all publications

Product promise

We are committed to supporting your work with high-quality reagents, and we're here for you every step of the way. In the unlikely event that one of our products does not perform as expected, you're protected by our Product Promise.
For full details, please see our Terms & Conditions

Please note: All products are 'FOR RESEARCH USE ONLY. NOT FOR USE IN DIAGNOSTIC OR THERAPEUTIC PROCEDURES'.

For licensing inquiries, please contact partnerships@abcam.com