JavaScript is disabled in your browser. Please enable JavaScript to view this website.
AB183342

Anti-Neutrophil Elastase antibody [SP203]

Be the first to review this product! Submit a review

|

(4 Publications)

Rabbit Recombinant Monoclonal Neutrophil Elastase antibody. Suitable for Flow Cyt (Intra), IHC-P, WB and reacts with Human samples. Cited in 4 publications.

View Alternative Names

ELA2, ELANE, Neutrophil elastase, Bone marrow serine protease, Elastase-2, Human leukocyte elastase, Medullasin, PMN elastase, HLE

5 Images
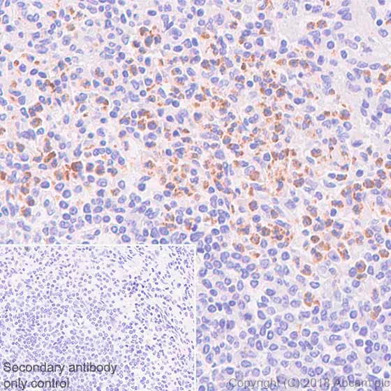
Immunohistochemistry (Formalin/PFA-fixed paraffin-embedded sections) - Anti-Neutrophil Elastase antibody [SP203] (AB183342)
  • IHC-P

Unknown

Immunohistochemistry (Formalin/PFA-fixed paraffin-embedded sections) - Anti-Neutrophil Elastase antibody [SP203] (AB183342)

Immunohistochemistry (Formalin/PFA-fixed paraffin-embedded sections) analysis of Human spleen tissue sections labeling Neutrophil Elastase with ab183342 at 1/100 dilution (2.46 µg/ml). Heat mediated antigen retrieval was performed Heat mediated antigen retrieval with Tris-EDTA buffer (pH 9.0, epitope retrieval solution 2) for 10 mins. Rabbit specific IHC polymer detection kit HRP/DAB (ab209101) was used as the secondary antibody. Negative control : PBS instead of the primary antibody. Hematoxylin was used as a counterstain.

Flow Cytometry (Intracellular) - Anti-Neutrophil Elastase antibody [SP203] (AB183342)
  • Flow Cyt (Intra)

Unknown

Flow Cytometry (Intracellular) - Anti-Neutrophil Elastase antibody [SP203] (AB183342)

Flow cytometry analysis of THP-1 (human monocytic leukemia monocyte) labeling Neutrophil Elastase with purified ab183342 at 1/20 dilution (12.3 µg/ml) (red). Cells were fixed with 4% paraformaldehyde and permeabilised with 90% methanol. Goat anti rabbit IgG (Alexa Fluor® 488, ab150081) at 1/2000 dilution was used as a secondary antibody. Isotype control -Rabbit monoclonal IgG (ab172730) / Black. Unlableled control -Unlabelled cells / blue.

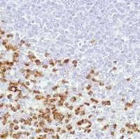
Immunohistochemistry (Formalin/PFA-fixed paraffin-embedded sections) - Anti-Neutrophil Elastase antibody [SP203] (AB183342)
  • IHC-P

Supplier Data

Immunohistochemistry (Formalin/PFA-fixed paraffin-embedded sections) - Anti-Neutrophil Elastase antibody [SP203] (AB183342)

Immunohistochemical analysis of paraffin-embedded Human spleen tissue labeling Neutrophil Elastase with ab183342 at 1/100 dilution.

Western blot - Anti-Neutrophil Elastase antibody [SP203] (AB183342)
  • WB

Lab

Western blot - Anti-Neutrophil Elastase antibody [SP203] (AB183342)

Blocking and diluting buffer and concentration : 5% NFDM/TBST.

Neutrophil elastase undergoes proteolytic cleavage to generate fragments (PMID : 25857284).

All lanes:

Western blot - Anti-Neutrophil Elastase antibody [SP203] (ab183342) at 1/1000 dilution

Lane 1:

HL-60 (human Acute Promyelocytic Leukemia promyeloblast) whole cell lysate at 20 µg

Lane 2:

THP-1 (human monocytic leukemia monocyte) whole cell lysate at 20 µg

Lane 3:

U937 (human histiocytic lymphoma monocyte) whole cell lysate at 20 µg

Secondary

All lanes:

Western blot - Goat Anti-Rabbit IgG H&L (HRP) (<a href='/en-us/products/secondary-antibodies/goat-rabbit-igg-h-l-hrp-ab97051'>ab97051</a>) at 1/20000 dilution

Observed band size: 26 kDa,30 kDa

false

Exposure time: 40s

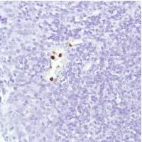
Immunohistochemistry (Formalin/PFA-fixed paraffin-embedded sections) - Anti-Neutrophil Elastase antibody [SP203] (AB183342)
  • IHC-P

Supplier Data

Immunohistochemistry (Formalin/PFA-fixed paraffin-embedded sections) - Anti-Neutrophil Elastase antibody [SP203] (AB183342)

Immunohistochemical analysis of paraffin-embedded Human tonsil tissue labeling Neutrophil Elastase with ab183342 at 1/100 dilution.

  • Carrier free

    Anti-Neutrophil Elastase antibody [SP203] - BSA and Azide free

Key facts

Host species

Rabbit

Clonality

Monoclonal

Clone number

SP203

Isotype

IgG

Carrier free

No

Reacts with

Human

Applications

WB, Flow Cyt (Intra), IHC-P

applications

Immunogen

The exact immunogen used to generate this antibody is proprietary information.

Reactivity data

{ "title": "Reactivity Data", "filters": { "stats": ["", "Species", "Dilution Info", "Notes"], "tabs": { "all-applications": {"fullname" : "All Applications", "shortname": "All Applications"}, "FlowCytIntra" : {"fullname" : "Flow Cytometry (Intracellular)", "shortname":"Flow Cyt (Intra)"}, "IHCP" : {"fullname" : "Immunohistochemistry (Formalin/PFA-fixed paraffin-embedded sections)", "shortname":"IHC-P"}, "WB" : {"fullname" : "Western blot", "shortname":"WB"} }, "product-promise": { "all": "all", "testedAndGuaranteed": "tested", "guaranteed": "expected", "predicted": "predicted", "notRecommended": "not-recommended" } }, "values": { "Human": { "FlowCytIntra-species-checked": "testedAndGuaranteed", "FlowCytIntra-species-dilution-info": "1/20", "FlowCytIntra-species-notes": "<p></p>", "IHCP-species-checked": "testedAndGuaranteed", "IHCP-species-dilution-info": "1/100", "IHCP-species-notes": "<p></p>", "WB-species-checked": "testedAndGuaranteed", "WB-species-dilution-info": "1/1000", "WB-species-notes": "<p></p>" } } }

Product details

What are the advantages of a recombinant monoclonal antibody?
This product is a recombinant monoclonal antibody, which offers several advantages including:

  • - High batch-to-batch consistency and reproducibility
  • - Improved sensitivity and specificity
  • - Long-term security of supply
  • - Animal-free batch production

For more information, read more on recombinant antibodies.

Properties and storage information

Form
Liquid
Purification technique
Affinity purification Protein A/G
Purification notes
Purified from TCS by protein A/G.
Storage buffer
pH: 7.6 Preservative: 0.1% Sodium azide Constituents: PBS, 1% BSA
Shipped at conditions
Blue Ice
Appropriate short-term storage duration
1-2 weeks
Appropriate short-term storage conditions
+4°C
Appropriate long-term storage conditions
-20°C
Aliquoting information
Upon delivery aliquot
Storage information
Avoid freeze / thaw cycle

Supplementary information

This supplementary information is collated from multiple sources and compiled automatically.

Neutrophil Elastase also known as neutrophil proteinase 3 has a molecular mass of approximately 30 kDa. It is a serine protease expressed mainly in azurophilic granules of neutrophils. This enzyme breaks down various proteins including elastin at sites of inflammation. Neutrophil Elastase releases during degranulation or through neutrophil extracellular traps (NETs) to combat pathogens.
Biological function summary

The target plays a significant role in neutrophil-mediated tissue remodeling and host defense. It leads to the breaking down of extracellular matrix components contributing to tissue remodeling and repair. Neutrophil Elastase is part of a complex interplay with other proteases like matrix metalloproteinases (MMPs). Its activity is regulated by endogenous inhibitors such as alpha-1 antitrypsin to prevent excessive tissue damage.

Pathways

This protease is important in inflammation and immune response pathways. It plays a role in the complement system by activating C5 a component of the complement cascade. It also acts in conjunction with other proteases such as cathepsin G to modulate immune and inflammatory responses. Neutrophil Elastase's role within these pathways is pivotal for the regulation of inflammation and destruction of pathogens.

Individuals with conditions such as chronic obstructive pulmonary disease (COPD) and cystic fibrosis often exhibit dysregulation or excessive activity of Neutrophil Elastase. This excessive activity leads to tissue damage and exacerbates disease progression. The enzyme also interacts with proteins like elastin and collagen in these diseases further contributing to pathological tissue remodeling and damage.

Product protocols

For this product, it's our understanding that no specific protocols are required. You can visit:

Target data

Serine protease that modifies the functions of natural killer cells, monocytes and granulocytes. Inhibits C5a-dependent neutrophil enzyme release and chemotaxis (PubMed : 15140022). Promotes cleavage of GSDMB, thereby inhibiting pyroptosis (PubMed : 36899106). Promotes blood coagulation (PubMed : 20676107). Through the activation of the platelet fibrinogen receptor integrin alpha-IIb/beta-3, potentiates platelet aggregation induced by a threshold concentration of cathepsin G (CTSG) (PubMed : 25211214, PubMed : 9111081). Cleaves and thus inactivates tissue factor pathway inhibitor (TFPI) (PubMed : 20676107, PubMed : 25211214). Capable of killing E.coli but not S.aureus in vitro; digests outer membrane protein A (ompA) in E.coli and K.pneumoniae (PubMed : 10947984).
See full target information ELANE

Publications (4)

Recent publications for all applications. Explore the full list and refine your search

Oncology letters 30:456 PubMed40762017

2025

Acute myeloid leukemia with plasmacytoid dendritic cell proliferation: A case report and literature review.

Applications

Unspecified application

Species

Unspecified reactive species

Zhixin Pei,Yi Zhang,Han Xu,Pei Pei,Zhengyang Zhang,Hongxia Wang,Bei Zhang,Junjun Bai,Yingxin Zhao,Jingjing Gu,Zhiyu Fang,Miaomiao Liu,Qinglin Song

Clinical cancer research : an official journal of the American Association for Cancer Research 30:4601-4608 PubMed39167623

2024

Pembrolizumab and Cabozantinib in Recurrent and/or Metastatic Head and Neck Squamous Cell Carcinoma: Long-term Survival Update with a Biomarker Analysis.

Applications

Unspecified application

Species

Unspecified reactive species

Nabil F Saba,Ritu Chaudhary,Kedar Kirtane,Angelo Marra,Asari Ekpenyong,Ashley McCook-Veal,Nicole C Schmitt,Jennifer H Gross,Mihir R Patel,Jill Remick,James E Bates,Mark W McDonald,Soumon F Rudra,William A Stokes,Maria Biernacki,Xiaofei Song,Robbert J C Slebos,Yuan Liu,Conor E Steuer,Dong M Shin,Yong Teng,Christine H Chung

Experimental and therapeutic medicine 26:447 PubMed37614416

2023

Relief of gouty arthritis in rats by total saponins from Makino through suppression of neutrophil extracellular trap formation via the PI3K/AKT/mTOR axis.

Applications

Unspecified application

Species

Unspecified reactive species

Qi Zhou,Lin Liu,Huijuan Sun,Shumin Liu

Nature nanotechnology 17:1004-1014 PubMed35851383

2022

Nanomedicine platform for targeting activated neutrophils and neutrophil-platelet complexes using an α-antitrypsin-derived peptide motif.

Applications

Unspecified application

Species

Unspecified reactive species

Michelle A Cruz,Dillon Bohinc,Elizabeth A Andraska,Jurgis Alvikas,Shruti Raghunathan,Nicole A Masters,Nadine D van Kleef,Kara L Bane,Kathryn Hart,Kathryn Medrow,Michael Sun,Haitao Liu,Shannon Haldeman,Ankush Banerjee,Emma M Lessieur,Kara Hageman,Agharnan Gandhi,Maria de la Fuente,Marvin T Nieman,Timothy S Kern,Coen Maas,Steven de Maat,Keith B Neeves,Matthew D Neal,Anirban Sen Gupta,Evi X Stavrou
View all publications

Product promise

We are committed to supporting your work with high-quality reagents, and we're here for you every step of the way. In the unlikely event that one of our products does not perform as expected, you're protected by our Product Promise.
For full details, please see our Terms & Conditions

Please note: All products are 'FOR RESEARCH USE ONLY. NOT FOR USE IN DIAGNOSTIC OR THERAPEUTIC PROCEDURES'.

For licensing inquiries, please contact partnerships@abcam.com