JavaScript is disabled in your browser. Please enable JavaScript to view this website.
AB243923

Anti-Neutrophil Elastase antibody [SP203] - BSA and Azide free

Be the first to review this product! Submit a review

|

(0 Publication)

Rabbit Recombinant Monoclonal Neutrophil Elastase antibody. Carrier free. Suitable for IHC-P, Flow Cyt (Intra) and reacts with Human samples.

View Alternative Names

ELA2, ELANE, Neutrophil elastase, Bone marrow serine protease, Elastase-2, Human leukocyte elastase, Medullasin, PMN elastase, HLE

5 Images
Western blot - Anti-Neutrophil Elastase antibody [SP203] - BSA and Azide free (AB243923)
  • WB

Lab

Western blot - Anti-Neutrophil Elastase antibody [SP203] - BSA and Azide free (AB243923)

This data was developed using ab183342, the same antibody clone in a different buffer formulation.

Blocking and diluting buffer and concentration : 5% NFDM/TBST.

Neutrophil elastase undergoes proteolytic cleavage to generate fragments (PMID : 25857284).

All lanes:

Western blot - Anti-Neutrophil Elastase antibody [SP203] (<a href='/en-us/products/primary-antibodies/neutrophil-elastase-antibody-sp203-ab183342'>ab183342</a>) at 1/1000 dilution

Lane 1:

HL-60 (human Acute Promyelocytic Leukemia promyeloblast) whole cell lysate at 20 µg

Lane 2:

THP-1 (human monocytic leukemia monocyte) whole cell lysate at 20 µg

Lane 3:

U937 (human histiocytic lymphoma monocyte) whole cell lysate at 20 µg

Secondary

All lanes:

Western blot - Goat Anti-Rabbit IgG H&L (HRP) (<a href='/en-us/products/secondary-antibodies/goat-rabbit-igg-h-l-hrp-ab97051'>ab97051</a>) at 1/20000 dilution

Observed band size: 26 kDa,30 kDa

false

Exposure time: 40s

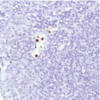
Immunohistochemistry (Formalin/PFA-fixed paraffin-embedded sections) - Anti-Neutrophil Elastase antibody [SP203] - BSA and Azide free (AB243923)
  • IHC-P

Unknown

Immunohistochemistry (Formalin/PFA-fixed paraffin-embedded sections) - Anti-Neutrophil Elastase antibody [SP203] - BSA and Azide free (AB243923)

Immunohistochemistry (Formalin/PFA-fixed paraffin-embedded sections) analysis of Human spleen tissue sections labeling Neutrophil Elastase with ab183342 at 1/100 dilution (2.46 µg/ml). Heat mediated antigen retrieval was performed Heat mediated antigen retrieval with Tris-EDTA buffer (pH 9.0, epitope retrieval solution 2) for 10 mins. Rabbit specific IHC polymer detection kit HRP/DAB (ab209101) was used as the secondary antibody. Negative control : PBS instead of the primary antibody. Hematoxylin was used as a counterstain.
This data was developed using the same antibody clone in a different buffer formulation containing PBS, BSA, glycerol, and sodium azide (ab183342)

Flow Cytometry (Intracellular) - Anti-Neutrophil Elastase antibody [SP203] - BSA and Azide free (AB243923)
  • Flow Cyt (Intra)

Unknown

Flow Cytometry (Intracellular) - Anti-Neutrophil Elastase antibody [SP203] - BSA and Azide free (AB243923)

Intracellular Flow Cytometry analysis of THP-1 (human monocytic leukemia monocyte) labeling Neutrophil Elastase with purified ab183342 at 1/20 dilution (12.3μg/ml) (red). Cells were fixed with 4% paraformaldehyde and permeabilised with 90% methanol. Goat anti rabbit IgG (Alexa Fluor® 488, ab150081) at 1/2000 dilution was used as a secondary antibody. Isotype control -Rabbit monoclonal IgG (ab172730) / Black. Unlableled control -Unlabelled cells / blue. This data was developed using the same antibody clone in a different buffer formulation containing PBS, BSA, glycerol, and sodium azide (ab183342).

Immunohistochemistry (Formalin/PFA-fixed paraffin-embedded sections) - Anti-Neutrophil Elastase antibody [SP203] - BSA and Azide free (AB243923)
  • IHC-P

Supplier Data

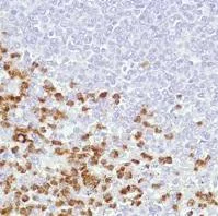
Immunohistochemistry (Formalin/PFA-fixed paraffin-embedded sections) - Anti-Neutrophil Elastase antibody [SP203] - BSA and Azide free (AB243923)

Immunohistochemical analysis of paraffin-embedded Human spleen tissue labeling Neutrophil Elastase with ab183342 at 1/100 dilution.

This data was developed using the same antibody clone in a different buffer formulation containing PBS, BSA, and sodium azide (ab183342).

Immunohistochemistry (Formalin/PFA-fixed paraffin-embedded sections) - Anti-Neutrophil Elastase antibody [SP203] - BSA and Azide free (AB243923)
  • IHC-P

Supplier Data

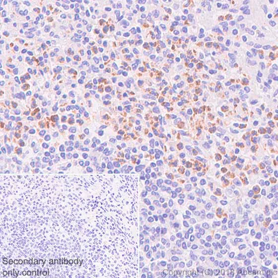
Immunohistochemistry (Formalin/PFA-fixed paraffin-embedded sections) - Anti-Neutrophil Elastase antibody [SP203] - BSA and Azide free (AB243923)

Immunohistochemical analysis of paraffin-embedded Human tonsil tissue labeling Neutrophil Elastase with ab183342 at 1/100 dilution.

This data was developed using the same antibody clone in a different buffer formulation containing PBS, BSA, and sodium azide (ab183342).

Key facts

Host species

Rabbit

Clonality

Monoclonal

Clone number

SP203

Isotype

IgG

Carrier free

Yes

Reacts with

Human

Applications

Flow Cyt (Intra), IHC-P

applications

Immunogen

The exact immunogen used to generate this antibody is proprietary information.

Reactivity data

{ "title": "Reactivity Data", "filters": { "stats": ["", "Species", "Dilution Info", "Notes"], "tabs": { "all-applications": {"fullname" : "All Applications", "shortname": "All Applications"}, "IHCP" : {"fullname" : "Immunohistochemistry (Formalin/PFA-fixed paraffin-embedded sections)", "shortname":"IHC-P"}, "FlowCytIntra" : {"fullname" : "Flow Cytometry (Intracellular)", "shortname":"Flow Cyt (Intra)"} }, "product-promise": { "all": "all", "testedAndGuaranteed": "tested", "guaranteed": "expected", "predicted": "predicted", "notRecommended": "not-recommended" } }, "values": { "Human": { "IHCP-species-checked": "testedAndGuaranteed", "IHCP-species-dilution-info": "", "IHCP-species-notes": "<p></p>", "FlowCytIntra-species-checked": "testedAndGuaranteed", "FlowCytIntra-species-dilution-info": "", "FlowCytIntra-species-notes": "<p></p>" } } }

You may be interested in:

AB118971

Neutrophil Elastase Inhibitor Assay Kit

0

0 Reviews

View product

We recommend this product because it’s often used in the same experiment or related research.

We advise that you always check the datasheet to ensure it fits your experiments, or contact ourtechnical teamfor help.

Product details

ab243923 is the carrier-free version of ab183342.

What are the advantages of a recombinant monoclonal antibody?
This product is a recombinant monoclonal antibody, which offers several advantages including:

  • - High batch-to-batch consistency and reproducibility
  • - Improved sensitivity and specificity
  • - Long-term security of supply
  • - Animal-free batch production

For more information, read more on recombinant antibodies.

Conjugation ready
Our carrier-free antibodies are typically supplied in a PBS-only formulation, purified and free of BSA, sodium azide and glycerol. This conjugation-ready format is designed for use with fluorochromes, metal isotopes, oligonucleotides, and enzymes, which makes them ideal for antibody labelling, functional and cell-based assays, flow-based assays (e.g. mass cytometry) and Multiplex Imaging applications.

Use our conjugation kits for antibody conjugates that are ready-to-use in as little as 20 minutes with 1 minute hands-on-time and 100% antibody recovery: available for fluorescent dyes, HRP, biotin and gold.

Compatibility
This product is compatible with the Maxpar® Antibody Labeling Kit from Fluidigm, without the need for antibody preparation. Maxpar® is a trademark of Fluidigm Canada Inc.

Properties and storage information

Form
Liquid
Purification technique
Affinity purification Protein A/G
Purification notes
Purified from TCS by protein A/G.
Storage buffer
pH: 7.2 - 7.4 Constituents: PBS
Shipped at conditions
Blue Ice
Appropriate short-term storage conditions
+4°C
Appropriate long-term storage conditions
+4°C
Storage information
Do Not Freeze

Supplementary information

This supplementary information is collated from multiple sources and compiled automatically.

Neutrophil Elastase also known as neutrophil proteinase 3 has a molecular mass of approximately 30 kDa. It is a serine protease expressed mainly in azurophilic granules of neutrophils. This enzyme breaks down various proteins including elastin at sites of inflammation. Neutrophil Elastase releases during degranulation or through neutrophil extracellular traps (NETs) to combat pathogens.
Biological function summary

The target plays a significant role in neutrophil-mediated tissue remodeling and host defense. It leads to the breaking down of extracellular matrix components contributing to tissue remodeling and repair. Neutrophil Elastase is part of a complex interplay with other proteases like matrix metalloproteinases (MMPs). Its activity is regulated by endogenous inhibitors such as alpha-1 antitrypsin to prevent excessive tissue damage.

Pathways

This protease is important in inflammation and immune response pathways. It plays a role in the complement system by activating C5 a component of the complement cascade. It also acts in conjunction with other proteases such as cathepsin G to modulate immune and inflammatory responses. Neutrophil Elastase's role within these pathways is pivotal for the regulation of inflammation and destruction of pathogens.

Individuals with conditions such as chronic obstructive pulmonary disease (COPD) and cystic fibrosis often exhibit dysregulation or excessive activity of Neutrophil Elastase. This excessive activity leads to tissue damage and exacerbates disease progression. The enzyme also interacts with proteins like elastin and collagen in these diseases further contributing to pathological tissue remodeling and damage.

Product protocols

For this product, it's our understanding that no specific protocols are required. You can visit:

Target data

Serine protease that modifies the functions of natural killer cells, monocytes and granulocytes. Inhibits C5a-dependent neutrophil enzyme release and chemotaxis (PubMed : 15140022). Promotes cleavage of GSDMB, thereby inhibiting pyroptosis (PubMed : 36899106). Promotes blood coagulation (PubMed : 20676107). Through the activation of the platelet fibrinogen receptor integrin alpha-IIb/beta-3, potentiates platelet aggregation induced by a threshold concentration of cathepsin G (CTSG) (PubMed : 25211214, PubMed : 9111081). Cleaves and thus inactivates tissue factor pathway inhibitor (TFPI) (PubMed : 20676107, PubMed : 25211214). Capable of killing E.coli but not S.aureus in vitro; digests outer membrane protein A (ompA) in E.coli and K.pneumoniae (PubMed : 10947984).
See full target information ELANE

Product promise

We are committed to supporting your work with high-quality reagents, and we're here for you every step of the way. In the unlikely event that one of our products does not perform as expected, you're protected by our Product Promise.
For full details, please see our Terms & Conditions

Associated Products

Select an associated product type
Alternative Product
Primary Antibodies

AB79962

Biotin Anti-Neutrophil Elastase antibody

primary-antibodies

biotin-neutrophil-elastase-antibody-ab79962

0

(0 reviews)

Alternative Product
Primary Antibodies

AB68672

Anti-Neutrophil Elastase antibody

primary-antibodies

neutrophil-elastase-antibody-ab68672

4

(20 reviews)

Alternative Product
Primary Antibodies

AB254178

Anti-Neutrophil Elastase antibody [NP57]

primary-antibodies

neutrophil-elastase-antibody-np57-ab254178

0

(0 reviews)

Alternative Product
Primary Antibodies

AB131260

Anti-Neutrophil Elastase antibody [EPR7479]

primary-antibodies

neutrophil-elastase-antibody-epr7479-ab131260

5

(4 reviews)

Alternative Product
Primary Antibodies

AB255935

Anti-Neutrophil Elastase antibody [NP57] - BSA and Azide free

primary-antibodies

neutrophil-elastase-antibody-np57-bsa-and-azide-free-ab255935

0

(0 reviews)

Alternative Product
Primary Antibodies

AB219585

Anti-Neutrophil Elastase antibody [EPR7479] - BSA and Azide free

primary-antibodies

neutrophil-elastase-antibody-epr7479-bsa-and-azide-free-ab219585

5

(1 reviews)

Please note: All products are 'FOR RESEARCH USE ONLY. NOT FOR USE IN DIAGNOSTIC OR THERAPEUTIC PROCEDURES'.

For licensing inquiries, please contact partnerships@abcam.com