JavaScript is disabled in your browser. Please enable JavaScript to view this website.
AB314077

Anti-NF-H antibody [BLR189J] - BSA free

Be the first to review this product! Submit a review

|

(0 Publication)

Rabbit Recombinant Monoclonal Neurofilament heavy polypeptide antibody. Suitable for ICC, IHC-P, IP, WB and reacts with Human, Mouse samples. Immunogen corresponding to Synthetic Peptide within Human NEFH aa 250-350.

View Alternative Names

KIAA0845, NFH, NEFH, Neurofilament heavy polypeptide, NF-H, 200 kDa neurofilament protein, Neurofilament triplet H protein

6 Images
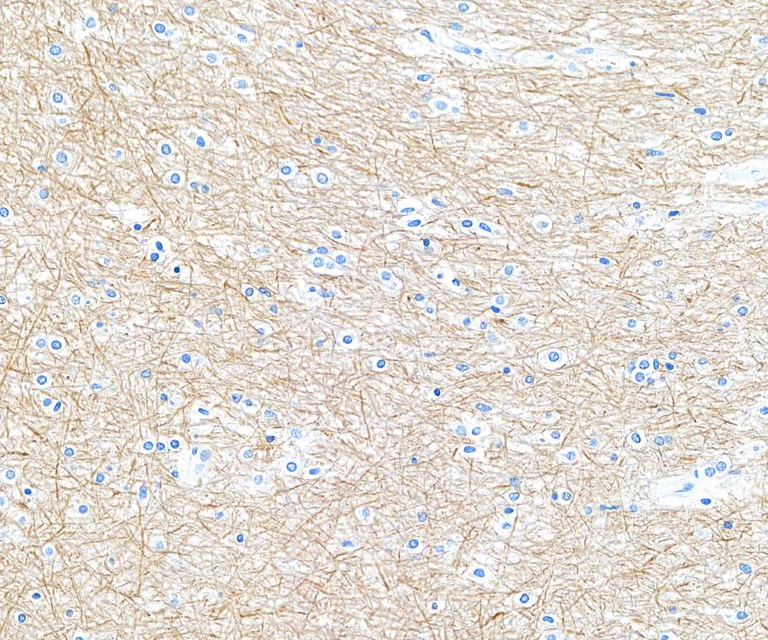
Immunohistochemistry (Formalin/PFA-fixed paraffin-embedded sections) - Anti-NF-H antibody [BLR189J] - BSA free (AB314077)
  • IHC-P

Supplier Data

Immunohistochemistry (Formalin/PFA-fixed paraffin-embedded sections) - Anti-NF-H antibody [BLR189J] - BSA free (AB314077)

Detection of human NF-H in brain by IHC. Antibody : Rabbit anti-NF-H recombinant monoclonal antibody [BLR189J] (A700-189). Secondary : HRP-conjugated goat anti-rabbit IgG. Substrate : DAB

Immunocytochemistry - Anti-NF-H antibody [BLR189J] - BSA free (AB314077)
  • ICC

Supplier Data

Immunocytochemistry - Anti-NF-H antibody [BLR189J] - BSA free (AB314077)

Detection of human NF-H in SK-N-BE(2) cells by ICC. Antibody : Rabbit anti-NF-H recombinant monoclonal antibody [BLR189J] (A700-189). Secondary : HRP-conjugated goat anti-rabbit IgG. Substrate : DAB

Immunoprecipitation - Anti-NF-H antibody [BLR189J] - BSA free (AB314077)
  • IP

Supplier Data

Immunoprecipitation - Anti-NF-H antibody [BLR189J] - BSA free (AB314077)

Detection of human NF-H by western blot of immunoprecipitates. Samples : Whole cell lysate (1.0 mg per IP reaction; 20% of IP loaded) from OVCAR-8 cells prepared using NETN lysis buffer. Antibodies : Rabbit anti-NF-H recombinant monoclonal antibody [BLR189J] (A700-189) used for IP at 20 µl/mg lysate. NF-H was also immunoprecipitated by a second antibody against a different epitope (BL-2008A-1E7). For blotting immunoprecipitated NF-H, A700-189 was used at 1 : 1000. Chemiluminescence with an exposure time of 75 seconds.

false

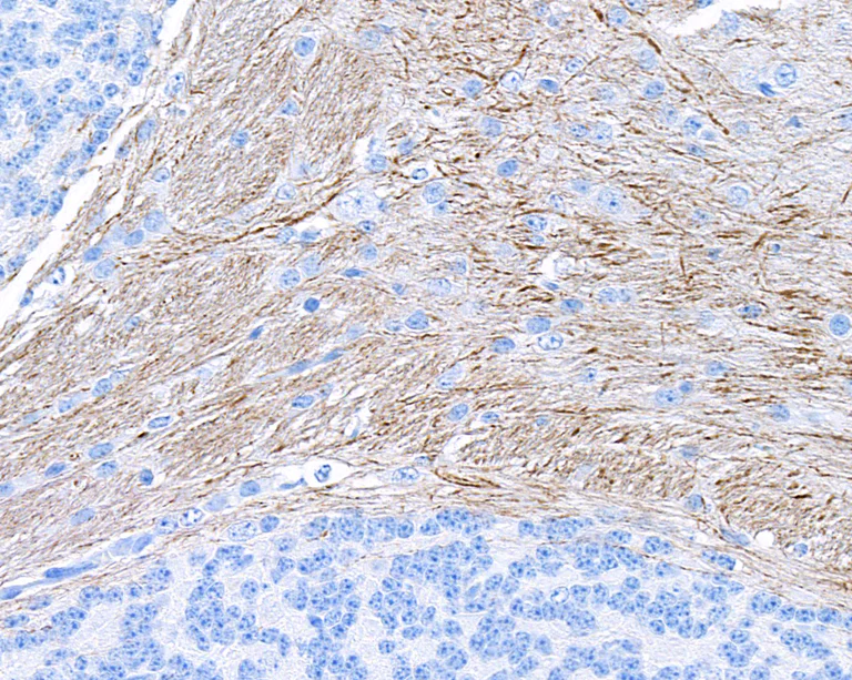
Immunohistochemistry (Formalin/PFA-fixed paraffin-embedded sections) - Anti-NF-H antibody [BLR189J] - BSA free (AB314077)
  • IHC-P

Supplier Data

Immunohistochemistry (Formalin/PFA-fixed paraffin-embedded sections) - Anti-NF-H antibody [BLR189J] - BSA free (AB314077)

Detection of mouse NF-H in mouse cerebellum by IHC. Antibody : Rabbit anti-NF-H recombinant monoclonal antibody [BLR189J] (A700-189). Secondary : HRP-conjugated goat anti-rabbit IgG. Substrate : DAB

Western blot - Anti-NF-H antibody [BLR189J] - BSA free (AB314077)
  • WB

Supplier Data

Western blot - Anti-NF-H antibody [BLR189J] - BSA free (AB314077)

Samples : Whole cell lysate (50 µg) from Jurkat, OVCAR-8, HEK293T, SK-N-BE(2), and HeLa cells prepared using NETN lysis buffer. Antibody : Rabbit anti-NF-H recombinant monoclonal antibody [BLR189J] (A700-189) used at 1 : 1000. Secondary : HRP-conjugated goat anti-rabbit IgG. Chemiluminescence with an exposure time of 3 minutes. Lower Panel : Rabbit anti-COPB2 antibody.

All lanes:

Western blot - Anti-NF-H antibody [BLR189J] - BSA free (ab314077) at 1/1000 dilution

Lane 1:

Jurkat Whole cell lysate at 50 µg

Lane 2:

OVCAR-8 Whole cell lysate at 50 µg

Lane 3:

HEK293T Whole cell lysate at 50 µg

Lane 4:

SK-N-BE(2) Whole cell lysate at 50 µg

Lane 5:

HeLa Whole cell lysate at 50 µg

Secondary

All lanes:

HRP-conjugated goat anti-rabbit IgG

false

Western blot - Anti-NF-H antibody [BLR189J] - BSA free (AB314077)
  • WB

Supplier Data

Western blot - Anti-NF-H antibody [BLR189J] - BSA free (AB314077)

Samples : Whole cell lysate (50 µg) from CT26, NIH 3T3, ND7/23, TCMK-1 (10 µg), and CH27 cells prepared using NETN lysis buffer. Antibody : Rabbit anti-NF-H recombinant monoclonal antibody [BLR189J] (A700-189) used at 1 : 1000. Secondary : HRP-conjugated goat anti-rabbit IgG. Chemiluminescence with an exposure time of 3 minutes. Lower Panel : Rabbit anti-COPB2 antibody (A304-523A).

All lanes:

Western blot - Anti-NF-H antibody [BLR189J] - BSA free (ab314077) at 1/1000 dilution

Lane 1:

CT26 Whole cell lysate at 50 µg

Lane 2:

NIH 3T3 Whole cell lysate at 50 µg

Lane 3:

ND7/23 Whole cell lysate at 50 µg

Lane 4:

TCMK-1 Whole cell lysate at 10 µg

Lane 5:

CH27 Whole cell lysate at 50 µg

Secondary

All lanes:

HRP-conjugated goat anti-rabbit IgG

false

Key facts

Host species

Rabbit

Clonality

Monoclonal

Clone number

BLR189J

Isotype

IgG

Carrier free

No

Reacts with

Human, Mouse

Applications

WB, IHC-P, ICC, IP

applications

Immunogen

Synthetic Peptide within Human NEFH aa 250-350. The exact immunogen used to generate this antibody is proprietary information.

P12036

Reactivity data

{ "title": "Reactivity Data", "filters": { "stats": ["", "Species", "Dilution Info", "Notes"], "tabs": { "all-applications": {"fullname" : "All Applications", "shortname": "All Applications"}, "ICC" : {"fullname" : "Immunocytochemistry", "shortname":"ICC"}, "IHCP" : {"fullname" : "Immunohistochemistry (Formalin/PFA-fixed paraffin-embedded sections)", "shortname":"IHC-P"}, "IP" : {"fullname" : "Immunoprecipitation", "shortname":"IP"}, "WB" : {"fullname" : "Western blot", "shortname":"WB"} }, "product-promise": { "all": "all", "testedAndGuaranteed": "tested", "guaranteed": "expected", "predicted": "predicted", "notRecommended": "not-recommended" } }, "values": { "Human": { "ICC-species-checked": "testedAndGuaranteed", "ICC-species-dilution-info": "", "ICC-species-notes": "<p></p>", "IHCP-species-checked": "testedAndGuaranteed", "IHCP-species-dilution-info": "", "IHCP-species-notes": "<p></p>", "IP-species-checked": "testedAndGuaranteed", "IP-species-dilution-info": "", "IP-species-notes": "<p></p>", "WB-species-checked": "testedAndGuaranteed", "WB-species-dilution-info": "", "WB-species-notes": "<p></p>" }, "Mouse": { "ICC-species-checked": "guaranteed", "ICC-species-dilution-info": "", "ICC-species-notes": "", "IHCP-species-checked": "testedAndGuaranteed", "IHCP-species-dilution-info": "", "IHCP-species-notes": "<p></p>", "IP-species-checked": "guaranteed", "IP-species-dilution-info": "", "IP-species-notes": "", "WB-species-checked": "testedAndGuaranteed", "WB-species-dilution-info": "", "WB-species-notes": "<p></p>" } } }

Product details

REACH authorisation
Abcam has not and does not intend to apply for the REACH Authorisation of customers' uses of products that contain European Authorisation list (Annex XIV) substances.
It is the responsibility of our customers to check the necessity of application of REACH Authorisation, and any other relevant authorisations, for their intended uses.

Properties and storage information

Form
Liquid
Storage buffer
pH: 7.8 - 8.6 Preservative: 0.09% Sodium azide Constituents: 98% Borate buffered saline
Shipped at conditions
Blue Ice
Appropriate short-term storage duration
Up to 12 months
Appropriate short-term storage conditions
+4°C
Appropriate long-term storage conditions
+4°C

Supplementary information

This supplementary information is collated from multiple sources and compiled automatically.

Neurofilament heavy polypeptide often referred to as NF-H or neurofilament heavy chain plays an important role in the structural integrity of neurons. This protein is a critical component of the cytoskeleton in neurons consisting of an approximate molecular mass of 200 kDa. It is predominantly expressed in the neuronal axons where it contributes to the assembly and stability of neurofilament structures. NF-H is essential for maintaining axonal diameter and for proper conduction of electrical impulses along nerve fibers.
Biological function summary

This polypeptide participates in the formation of neurofilament a complex structure that includes other neurofilament proteins like the neurofilament light (NF-L) and neurofilament medium (NF-M). These proteins form a stable scaffold within the axon aiding in neuronal growth and repair. The phosphorylation of NF-H modulates its interactions within the neurofilament network influencing axonal transport processes and dynamics which are vital for neuron function and survival.

Pathways

Neurofilament heavy polypeptide is integral to the axonal transport pathway important in conveying molecules between the neuronal cell body and the synaptic terminals. Through its interactions with microtubules and motor proteins NF-H facilitates the movement of organelles and neurotransmitters. It has significant associations with proteins involved in the ubiquitin-proteasome system reflecting its role in maintaining neuronal homeostasis and proteostasis essential in neuronal development and function.

Neurofilament heavy polypeptide serves as an important biomarker for neurodegenerative disorders such as Amyotrophic Lateral Sclerosis (ALS) and Alzheimer's disease. NF-H especially in phosphorylated form accumulates in conditions of axonal injury or degeneration. It often interacts with tau protein in Alzheimer's pathology forming neurofibrillary tangles. Elevated levels of NF-H in cerebrospinal fluid or blood can indicate neuronal damage offering insights into disease progression and potential targets for therapeutic intervention.

Product protocols

For this product, it's our understanding that no specific protocols are required. You can visit:

Target data

Neurofilaments usually contain three intermediate filament proteins : NEFL, NEFM, and NEFH which are involved in the maintenance of neuronal caliber. NEFH has an important function in mature axons that is not subserved by the two smaller NF proteins. May additionally cooperate with the neuronal intermediate filament proteins PRPH and INA to form neuronal filamentous networks (By similarity).
See full target information NEFH

Product promise

We are committed to supporting your work with high-quality reagents, and we're here for you every step of the way. In the unlikely event that one of our products does not perform as expected, you're protected by our Product Promise.
For full details, please see our Terms & Conditions

Please note: All products are 'FOR RESEARCH USE ONLY. NOT FOR USE IN DIAGNOSTIC OR THERAPEUTIC PROCEDURES'.

For licensing inquiries, please contact partnerships@abcam.com