JavaScript is disabled in your browser. Please enable JavaScript to view this website.
AB307841

Anti-NF-kB p65 antibody [E379] - Mouse IgG2a (Chimeric) - BSA and Azide free

Be the first to review this product! Submit a review

|

(0 Publication)

Knockout Tested Mouse Recombinant Monoclonal NF-kB p65 antibody. Carrier free. Suitable for WB, IHC-P and reacts with Human samples.

View Alternative Names

NFKB3, RELA, Transcription factor p65, Nuclear factor NF-kappa-B p65 subunit, Nuclear factor of kappa light polypeptide gene enhancer in B-cells 3

3 Images
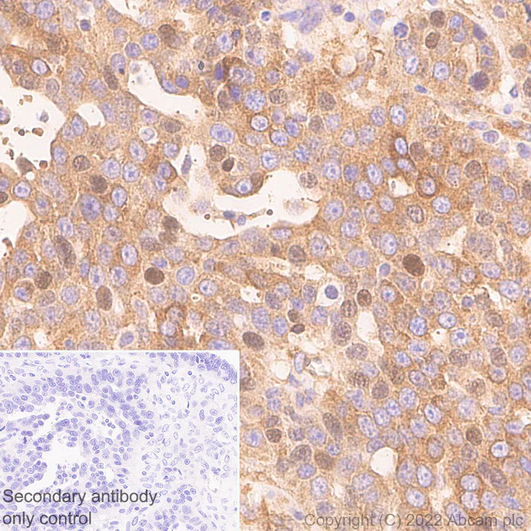
Immunohistochemistry (Formalin/PFA-fixed paraffin-embedded sections) - Anti-NF-kB p65 antibody [E379] - Mouse IgG2a (Chimeric) - BSA and Azide free (AB307841)
  • IHC-P

Supplier Data

Immunohistochemistry (Formalin/PFA-fixed paraffin-embedded sections) - Anti-NF-kB p65 antibody [E379] - Mouse IgG2a (Chimeric) - BSA and Azide free (AB307841)

This data was developed using ab307840, the same antibody clone in a different buffer formulation. Immunohistochemical analysis of paraffin-embedded Human tonsil tissue labeling NF-kB p65 with ab307840 at 1/1000 (0.881 µg/mL) followed by a ready to use LeicaDS9800 (Bond™ Polymer Refine Detection) was used. Positive staining on human tonsil. The section was incubated with ab307840 for 30 mins at room temperature, followed by anti-mouse IgG2a antibody for 8 mins during the LeicaDS9800 kit staining procedure.The immunostaining was performed on a Leica Biosystems BOND® RX instrument Counterstained with Hematoxylin. Secondary antibody only control : Secondary antibody is a ready to use LeicaDS9800 (Bond™ Polymer Refine Detection) was used. Heat mediated antigen retrieval with Citrate buffer (pH 6.0, epitope retrieval solution 1) for 20 mins

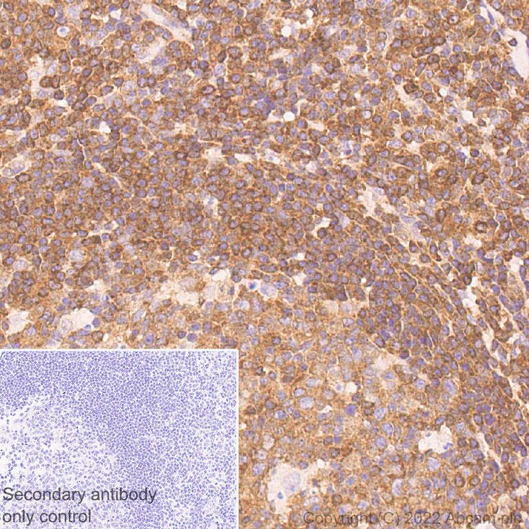
Immunohistochemistry (Formalin/PFA-fixed paraffin-embedded sections) - Anti-NF-kB p65 antibody [E379] - Mouse IgG2a (Chimeric) - BSA and Azide free (AB307841)
  • IHC-P

Supplier Data

Immunohistochemistry (Formalin/PFA-fixed paraffin-embedded sections) - Anti-NF-kB p65 antibody [E379] - Mouse IgG2a (Chimeric) - BSA and Azide free (AB307841)

This data was developed using ab307840, the same antibody clone in a different buffer formulation. Immunohistochemical analysis of paraffin-embedded Human ovarian cancer tissue labeling NF-kB p65 with ab307840 at 1/1000 (0.881 µg/mL) followed by a ready to use LeicaDS9800 (Bond™ Polymer Refine Detection) was used. Positive staining on human ovarian cancer. The section was incubated with ab307840 for 30 mins at room temperature, followed by anti-mouse IgG2a antibody for 8 mins during the LeicaDS9800 kit staining procedure.The immunostaining was performed on a Leica Biosystems BOND® RX instrument Counterstained with Hematoxylin. Secondary antibody only control : Secondary antibody is a ready to use LeicaDS9800 (Bond™ Polymer Refine Detection) was used. Heat mediated antigen retrieval with Citrate buffer (pH 6.0, epitope retrieval solution 1) for 20 mins

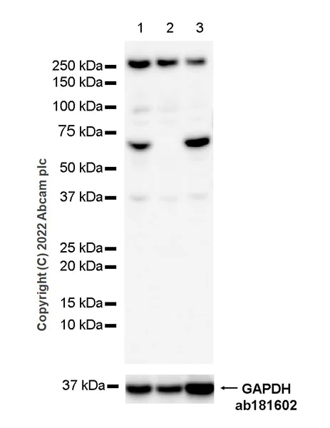
Western blot - Anti-NF-kB p65 antibody [E379] - Mouse IgG2a (Chimeric) - BSA and Azide free (AB307841)
  • WB

Supplier Data

Western blot - Anti-NF-kB p65 antibody [E379] - Mouse IgG2a (Chimeric) - BSA and Azide free (AB307841)

This data was developed using ab307840, the same antibody clone in a different buffer formulation. Blocking and diluting buffer and concentration : In Western blot, ab307840 was shown to bind specifically to NF-kB p65. A band was observed at 65 kDa in wild-type HAP1 cell lysates with whereas no signal observed at this size in NF-kB p65 knockout cell lysate. The samples were run on a Bis-Tris gel. In Western blot, anti-GAPDH antibody (ab181602) loading control staining at 1/200000 dilution. Exposure time :

All lanes:

Western blot - Anti-NF-kB p65 antibody [E379] - Mouse IgG2a (Chimeric) (<a href='/en-us/products/primary-antibodies/nf-kb-p65-antibody-e379-mouse-igg2a-chimeric-ab307840'>ab307840</a>) at 1/1000 dilution

Lane 1:

Wild-type HAP1 (human chronic myelogenous leukemia near-haploid cell line) cell lysate at 20 µg

Lane 2:

NF-kB p65 knockout HAP1 cell lysate at 20 µg

Lane 3:

HeLa (human epithelial cell line from cervical adenocarcinoma) whole cell lysate at 20 µg

Secondary

All lanes:

Peroxidase-Conjugated Goat anti-Mouse IgG (H+L) (ZB-2305) at 1/10000 dilution

Observed band size: 65 kDa

false

Exposure time: 10s

  • Unconjugated

    Anti-NF-kB p65 antibody [E379] - Mouse IgG2a (Chimeric)

Key facts

Host species

Mouse

Clonality

Monoclonal

Clone number

E379

Isotype

IgG2a

Carrier free

Yes

Reacts with

Human

Applications

IHC-P, WB

applications

Immunogen

The exact immunogen used to generate this antibody is proprietary information.

Reactivity data

{ "title": "Reactivity Data", "filters": { "stats": ["", "Species", "Dilution Info", "Notes"], "tabs": { "all-applications": {"fullname" : "All Applications", "shortname": "All Applications"}, "WB" : {"fullname" : "Western blot", "shortname":"WB"}, "IHCP" : {"fullname" : "Immunohistochemistry (Formalin/PFA-fixed paraffin-embedded sections)", "shortname":"IHC-P"}, "ICCIF" : {"fullname" : "Immunocytochemistry/ Immunofluorescence", "shortname":"ICC/IF"}, "IP" : {"fullname" : "Immunoprecipitation", "shortname":"IP"} }, "product-promise": { "all": "all", "testedAndGuaranteed": "tested", "guaranteed": "expected", "predicted": "predicted", "notRecommended": "not-recommended" } }, "values": { "Human": { "WB-species-checked": "testedAndGuaranteed", "WB-species-dilution-info": "", "WB-species-notes": "<p></p>", "IHCP-species-checked": "testedAndGuaranteed", "IHCP-species-dilution-info": "", "IHCP-species-notes": "<p></p>", "ICCIF-species-checked": "notRecommended", "ICCIF-species-dilution-info": "", "ICCIF-species-notes": "<p></p>", "IP-species-checked": "notRecommended", "IP-species-dilution-info": "", "IP-species-notes": "<p></p>" }, "Mouse": { "WB-species-checked": "notRecommended", "WB-species-dilution-info": "", "WB-species-notes": "<p></p>", "IHCP-species-checked": "notRecommended", "IHCP-species-dilution-info": "", "IHCP-species-notes": "<p></p>", "ICCIF-species-checked": "notRecommended", "ICCIF-species-dilution-info": "", "ICCIF-species-notes": "<p></p>", "IP-species-checked": "notRecommended", "IP-species-dilution-info": "", "IP-species-notes": "" }, "Rat": { "WB-species-checked": "notRecommended", "WB-species-dilution-info": "", "WB-species-notes": "<p></p>", "IHCP-species-checked": "notRecommended", "IHCP-species-dilution-info": "", "IHCP-species-notes": "<p></p>", "ICCIF-species-checked": "notRecommended", "ICCIF-species-dilution-info": "", "ICCIF-species-notes": "", "IP-species-checked": "notRecommended", "IP-species-dilution-info": "", "IP-species-notes": "" } } }

Product details

This mouse monoclonal chimeric antibody (ab307841) is the carrier-free version of ab307840.

Want a custom formulation?
This antibody clone is manufactured by Abcam. If you require a custom buffer formulation or conjugation for your experiments, please contact orders@abcam.com

What are the advantages of a recombinant monoclonal antibody?
This product is a recombinant monoclonal antibody, which offers several advantages including:

  • - High batch-to-batch consistency and reproducibility
  • - Improved sensitivity and specificity
  • - Long-term security of supply
  • - Animal-free batch production

For more information, read more on recombinant antibodies.

Conjugation ready
Our carrier-free antibodies are typically supplied in a PBS-only formulation, purified and free of BSA, sodium azide and glycerol. This conjugation-ready format is designed for use with fluorochromes, metal isotopes, oligonucleotides, and enzymes, which makes them ideal for antibody labelling, functional and cell-based assays, flow-based assays (e.g. mass cytometry) and Multiplex Imaging applications.

Use our conjugation kits for antibody conjugates that are ready-to-use in as little as 20 minutes with 1 minute hands-on-time and 100% antibody recovery: available for fluorescent dyes, HRP, biotin and gold.

Compatibility
This product is compatible with the Maxpar® Antibody Labeling Kit from Fluidigm, without the need for antibody preparation. Maxpar® is a trademark of Fluidigm Canada Inc.

Properties and storage information

Form
Liquid
Purification technique
Affinity purification Protein A
Storage buffer
pH: 7.2 - 7.4 Constituents: PBS
Shipped at conditions
Blue Ice
Appropriate short-term storage conditions
+4°C
Appropriate long-term storage conditions
+4°C

Supplementary information

This supplementary information is collated from multiple sources and compiled automatically.

NF-kB p65 also known as RelA is a significant component of the NF-kB protein complex. This complex usually involves a molecular weight for p65 of approximately 65 kDa. NF-kB p65 is mechanistically a transcription factor that regulates genes involved in inflammation cell survival and immune response. Expression of p65 is widely seen in various cell types including immune cells and epithelial cells suggesting its role in numerous physiological processes.
Biological function summary

NF-kB p65 acts as part of the larger NF-kB complex usually forming a heterodimer with other family members like p50. This complex translocates to the nucleus upon activation where it binds specific DNA sequences to regulate gene expression. The p65 subunit is essential for transactivating target genes involved in immune and inflammatory responses. Its regulation is important for proper cellular functioning especially in the maintenance of immune homeostasis and inflammatory response.

Pathways

NF-kB p65 participates in critical pathways like the NF-kB signaling and Toll-like receptor pathways. These pathways are fundamental for initiating immune responses and contribute to the regulation of apoptosis and cellular stress responses. In the context of these pathways the IKK complex plays a pivotal role in NF-kB activation leading to the phosphorylation and subsequent degradation of inhibitors that retain NF-kB p65 in the cytoplasm therefore allowing its movement to the nucleus.

NF-kB p65 is implicated in conditions such as cancer and autoimmune diseases. Its dysregulation can lead to persistent activation of inflammatory pathways contributing to tumorigenesis and chronic inflammation. In the context of these diseases proteins such as the p50 subunit and the IKK complex are often involved reflecting the importance of tight regulation of NF-kB signaling in preventing pathological conditions.

Product protocols

For this product, it's our understanding that no specific protocols are required. You can visit:

Target data

NF-kappa-B is a pleiotropic transcription factor present in almost all cell types and is the endpoint of a series of signal transduction events that are initiated by a vast array of stimuli related to many biological processes such as inflammation, immunity, differentiation, cell growth, tumorigenesis and apoptosis. NF-kappa-B is a homo- or heterodimeric complex formed by the Rel-like domain-containing proteins RELA/p65, RELB, NFKB1/p105, NFKB1/p50, REL and NFKB2/p52. The heterodimeric RELA-NFKB1 complex appears to be most abundant one. The dimers bind at kappa-B sites in the DNA of their target genes and the individual dimers have distinct preferences for different kappa-B sites that they can bind with distinguishable affinity and specificity. Different dimer combinations act as transcriptional activators or repressors, respectively. The NF-kappa-B heterodimeric RELA-NFKB1 and RELA-REL complexes, for instance, function as transcriptional activators. NF-kappa-B is controlled by various mechanisms of post-translational modification and subcellular compartmentalization as well as by interactions with other cofactors or corepressors. NF-kappa-B complexes are held in the cytoplasm in an inactive state complexed with members of the NF-kappa-B inhibitor (I-kappa-B) family. In a conventional activation pathway, I-kappa-B is phosphorylated by I-kappa-B kinases (IKKs) in response to different activators, subsequently degraded thus liberating the active NF-kappa-B complex which translocates to the nucleus. The inhibitory effect of I-kappa-B on NF-kappa-B through retention in the cytoplasm is exerted primarily through the interaction with RELA. RELA shows a weak DNA-binding site which could contribute directly to DNA binding in the NF-kappa-B complex. Beside its activity as a direct transcriptional activator, it is also able to modulate promoters accessibility to transcription factors and thereby indirectly regulate gene expression. Associates with chromatin at the NF-kappa-B promoter region via association with DDX1. Essential for cytokine gene expression in T-cells (PubMed : 15790681). The NF-kappa-B homodimeric RELA-RELA complex appears to be involved in invasin-mediated activation of IL-8 expression. Key transcription factor regulating the IFN response during SARS-CoV-2 infection (PubMed : 33440148).
See full target information RELA

Product promise

We are committed to supporting your work with high-quality reagents, and we're here for you every step of the way. In the unlikely event that one of our products does not perform as expected, you're protected by our Product Promise.
For full details, please see our Terms & Conditions

Please note: All products are 'FOR RESEARCH USE ONLY. NOT FOR USE IN DIAGNOSTIC OR THERAPEUTIC PROCEDURES'.

For licensing inquiries, please contact partnerships@abcam.com