JavaScript is disabled in your browser. Please enable JavaScript to view this website.
AB264271

Anti-NF-kB p65 (phospho S468) antibody

Be the first to review this product! Submit a review

|

(2 Publications)

Rabbit Polyclonal NF-kB p65 phospho S468 antibody. Suitable for WB, IHC-P and reacts with Human, Mouse samples. Cited in 2 publications. Immunogen corresponding to Synthetic Peptide within Human RELA phospho S468.

View Alternative Names

NFKB3, RELA, Transcription factor p65, Nuclear factor NF-kappa-B p65 subunit, Nuclear factor of kappa light polypeptide gene enhancer in B-cells 3

3 Images
Western blot - Anti-NF-kB p65 (phospho S468) antibody (AB264271)
  • WB

Supplier Data

Western blot - Anti-NF-kB p65 (phospho S468) antibody (AB264271)

Detected with chemilimuniscence with exposure time of 10 seconds.

All lanes:

Western blot - Anti-NF-kB p65 (phospho S468) antibody (ab264271) at 0.1 µg/mL

Lane 1:

Jurkat cells treated with TNF alpha and Calyculin A whole lysate at 50 µg

Lane 2:

Untreated Jurkat cells at 50 µg

Predicted band size: 60 kDa

false

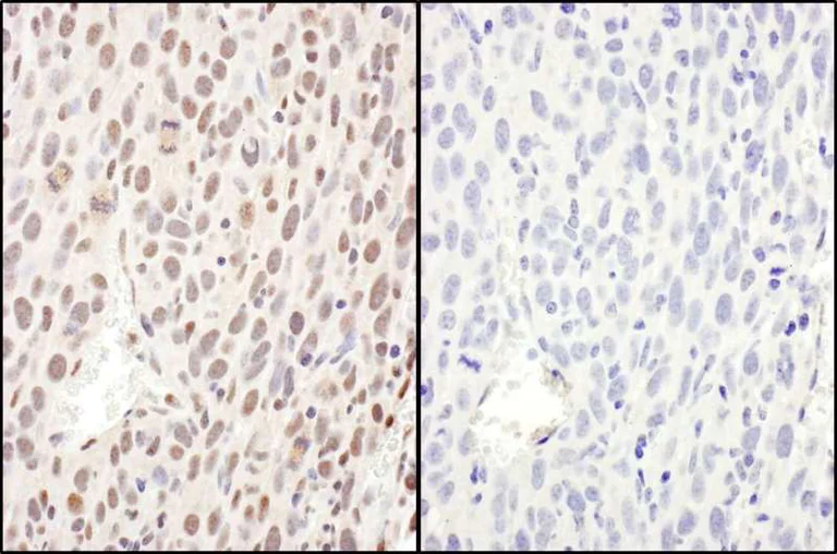
Immunohistochemistry (Formalin/PFA-fixed paraffin-embedded sections) - Anti-NF-kB p65 (phospho S468) antibody (AB264271)
  • IHC-P

Unknown

Immunohistochemistry (Formalin/PFA-fixed paraffin-embedded sections) - Anti-NF-kB p65 (phospho S468) antibody (AB264271)

Immunohistochemical analysis of FFPE mouse renal cell carcinoma tissue section untreated (left) and treated with calf intestinal phosphatase (right), labelling NF-kB p65 with ab264271 at 1/1000 dilution. DAB staining.

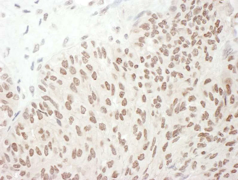
Immunohistochemistry (Formalin/PFA-fixed paraffin-embedded sections) - Anti-NF-kB p65 (phospho S468) antibody (AB264271)
  • IHC-P

Unknown

Immunohistochemistry (Formalin/PFA-fixed paraffin-embedded sections) - Anti-NF-kB p65 (phospho S468) antibody (AB264271)

Immunohistochemical analysis of FFPE human ovarian carcinoma tissue section labelling NF-kB p65 with ab264271 at 1/1000 dilution. Hematoxylin was used a counterstain. DAB staining.

Key facts

Host species

Rabbit

Clonality

Polyclonal

Isotype

IgG

Carrier free

No

Reacts with

Mouse, Human

Applications

IHC-P, WB

applications

Immunogen

Synthetic Peptide within Human RELA phospho S468. The exact immunogen used to generate this antibody is proprietary information.

Q04206

Reactivity data

{ "title": "Reactivity Data", "filters": { "stats": ["", "Species", "Dilution Info", "Notes"], "tabs": { "all-applications": {"fullname" : "All Applications", "shortname": "All Applications"}, "WB" : {"fullname" : "Western blot", "shortname":"WB"}, "IHCP" : {"fullname" : "Immunohistochemistry (Formalin/PFA-fixed paraffin-embedded sections)", "shortname":"IHC-P"} }, "product-promise": { "all": "all", "testedAndGuaranteed": "tested", "guaranteed": "expected", "predicted": "predicted", "notRecommended": "not-recommended" } }, "values": { "Human": { "WB-species-checked": "testedAndGuaranteed", "WB-species-dilution-info": "1/2000.00000 - 1/10000.00000", "WB-species-notes": "<p></p>", "IHCP-species-checked": "testedAndGuaranteed", "IHCP-species-dilution-info": "1/500.00000 - 1/2000.00000", "IHCP-species-notes": "<p>Epitope retrieval with Tris-EDTA pH 9.0 is recommended for FFPE tissue sections.</p>" }, "Mouse": { "WB-species-checked": "guaranteed", "WB-species-dilution-info": "", "WB-species-notes": "", "IHCP-species-checked": "testedAndGuaranteed", "IHCP-species-dilution-info": "1/500.00000 - 1/2000.00000", "IHCP-species-notes": "<p>Epitope retrieval with Tris-EDTA pH 9.0 is recommended for FFPE tissue sections.</p>" } } }

Properties and storage information

Form
Liquid
Purification technique
Affinity purification
Storage buffer
pH: 7 - 8 Preservative: 0.09% Sodium azide Constituents: Tris citrate/phosphate
Shipped at conditions
Blue Ice
Appropriate short-term storage duration
1-2 weeks
Appropriate short-term storage conditions
+4°C
Appropriate long-term storage conditions
-20°C
Aliquoting information
Upon delivery aliquot
Storage information
Avoid freeze / thaw cycle

Supplementary information

This supplementary information is collated from multiple sources and compiled automatically.

NF-kB p65 also known as RelA is a significant component of the NF-kB protein complex. This complex usually involves a molecular weight for p65 of approximately 65 kDa. NF-kB p65 is mechanistically a transcription factor that regulates genes involved in inflammation cell survival and immune response. Expression of p65 is widely seen in various cell types including immune cells and epithelial cells suggesting its role in numerous physiological processes.
Biological function summary

NF-kB p65 acts as part of the larger NF-kB complex usually forming a heterodimer with other family members like p50. This complex translocates to the nucleus upon activation where it binds specific DNA sequences to regulate gene expression. The p65 subunit is essential for transactivating target genes involved in immune and inflammatory responses. Its regulation is important for proper cellular functioning especially in the maintenance of immune homeostasis and inflammatory response.

Pathways

NF-kB p65 participates in critical pathways like the NF-kB signaling and Toll-like receptor pathways. These pathways are fundamental for initiating immune responses and contribute to the regulation of apoptosis and cellular stress responses. In the context of these pathways the IKK complex plays a pivotal role in NF-kB activation leading to the phosphorylation and subsequent degradation of inhibitors that retain NF-kB p65 in the cytoplasm therefore allowing its movement to the nucleus.

NF-kB p65 is implicated in conditions such as cancer and autoimmune diseases. Its dysregulation can lead to persistent activation of inflammatory pathways contributing to tumorigenesis and chronic inflammation. In the context of these diseases proteins such as the p50 subunit and the IKK complex are often involved reflecting the importance of tight regulation of NF-kB signaling in preventing pathological conditions.

Product protocols

For this product, it's our understanding that no specific protocols are required. You can visit:

Target data

NF-kappa-B is a pleiotropic transcription factor present in almost all cell types and is the endpoint of a series of signal transduction events that are initiated by a vast array of stimuli related to many biological processes such as inflammation, immunity, differentiation, cell growth, tumorigenesis and apoptosis. NF-kappa-B is a homo- or heterodimeric complex formed by the Rel-like domain-containing proteins RELA/p65, RELB, NFKB1/p105, NFKB1/p50, REL and NFKB2/p52. The heterodimeric RELA-NFKB1 complex appears to be most abundant one. The dimers bind at kappa-B sites in the DNA of their target genes and the individual dimers have distinct preferences for different kappa-B sites that they can bind with distinguishable affinity and specificity. Different dimer combinations act as transcriptional activators or repressors, respectively. The NF-kappa-B heterodimeric RELA-NFKB1 and RELA-REL complexes, for instance, function as transcriptional activators. NF-kappa-B is controlled by various mechanisms of post-translational modification and subcellular compartmentalization as well as by interactions with other cofactors or corepressors. NF-kappa-B complexes are held in the cytoplasm in an inactive state complexed with members of the NF-kappa-B inhibitor (I-kappa-B) family. In a conventional activation pathway, I-kappa-B is phosphorylated by I-kappa-B kinases (IKKs) in response to different activators, subsequently degraded thus liberating the active NF-kappa-B complex which translocates to the nucleus. The inhibitory effect of I-kappa-B on NF-kappa-B through retention in the cytoplasm is exerted primarily through the interaction with RELA. RELA shows a weak DNA-binding site which could contribute directly to DNA binding in the NF-kappa-B complex. Beside its activity as a direct transcriptional activator, it is also able to modulate promoters accessibility to transcription factors and thereby indirectly regulate gene expression. Associates with chromatin at the NF-kappa-B promoter region via association with DDX1. Essential for cytokine gene expression in T-cells (PubMed : 15790681). The NF-kappa-B homodimeric RELA-RELA complex appears to be involved in invasin-mediated activation of IL-8 expression. Key transcription factor regulating the IFN response during SARS-CoV-2 infection (PubMed : 33440148).
See full target information RELA phospho S468

Publications (2)

Recent publications for all applications. Explore the full list and refine your search

Journal of translational medicine 21:573 PubMed37626378

2023

CX3CL1 promotes M1 macrophage polarization and osteoclast differentiation through NF-κB signaling pathway in ankylosing spondylitis in vitro.

Applications

Unspecified application

Species

Unspecified reactive species

Xinzhe Feng,Shanbang Zhu,Junjie Qiao,Zhou Ji,Bole Zhou,Weidong Xu

Diabetology & metabolic syndrome 14:26 PubMed35120573

2022

TLR9 regulates NLRP3 inflammasome activation via the NF-kB signaling pathway in diabetic nephropathy.

Applications

Unspecified application

Species

Unspecified reactive species

Jinfeng Shen,Zaiyou Dai,Yunsheng Li,Huiping Zhu,Lijin Zhao
View all publications

Product promise

We are committed to supporting your work with high-quality reagents, and we're here for you every step of the way. In the unlikely event that one of our products does not perform as expected, you're protected by our Product Promise.
For full details, please see our Terms & Conditions

Associated Products

Select an associated product type
Alternative Product
Primary Antibodies

AB190589

Alexa Fluor® 647 Anti-NF-kB p65 antibody [E379]

primary-antibodies

alexa-fluor-647-nf-kb-p65-antibody-e379-ab190589

4

(3 reviews)

Alternative Product
Primary Antibodies

AB76311

Anti-NF-kB p65 antibody [EP2161Y]

primary-antibodies

nf-kb-p65-antibody-ep2161y-ab76311

4

(1 reviews)

Alternative Product
Primary Antibodies

AB207297

Anti-NF-kB p65 antibody [E379] - BSA and Azide free

primary-antibodies

nf-kb-p65-antibody-e379-bsa-and-azide-free-ab207297

3

(1 reviews)

Alternative Product
Primary Antibodies

AB32536

Anti-NF-kB p65 antibody [E379]

primary-antibodies

nf-kb-p65-antibody-e379-ab32536

4

(15 reviews)

Alternative Product
Primary Antibodies

AB109458

Anti-NF-kB p65 (phospho S529) antibody [EPR2379]

primary-antibodies

nf-kb-p65-phospho-s529-antibody-epr2379-ab109458

0

(0 reviews)

Please note: All products are 'FOR RESEARCH USE ONLY. NOT FOR USE IN DIAGNOSTIC OR THERAPEUTIC PROCEDURES'.

For licensing inquiries, please contact partnerships@abcam.com