JavaScript is disabled in your browser. Please enable JavaScript to view this website.
AB86299

Anti-NF-kB p65 (phospho S536) antibody

5

(10 Reviews)

|

(668 Publications)

Anti-NF-kB p65 (phospho S536) antibody (ab86299) is a rabbit polyclonal antibody detecting NF-kB p65 in Western Blot, IHC-P. Suitable for Human.

- Over 530 publications
- Trusted since 2009

View Alternative Names

NFKB3, RELA, Transcription factor p65, Nuclear factor NF-kappa-B p65 subunit, Nuclear factor of kappa light polypeptide gene enhancer in B-cells 3

5 Images
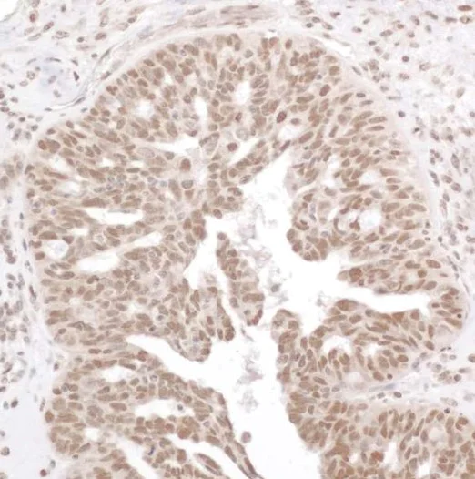
Immunohistochemistry (Formalin/PFA-fixed paraffin-embedded sections) - Anti-NF-kB p65 (phospho S536) antibody (AB86299)
  • IHC-P

Unknown

Immunohistochemistry (Formalin/PFA-fixed paraffin-embedded sections) - Anti-NF-kB p65 (phospho S536) antibody (AB86299)

IHC image of NF-kB p65 (phospho S536) staining in Human ovarian carcinoma formalin fixed paraffin embedded tissue section, performed on a Leica BondTM system using the standard protocol F. The section was pre-treated using heat mediated antigen retrieval with sodium citrate buffer (pH6, epitope retrieval solution 1) for 20 mins. The section was then incubated with ab86299, 1μg/ml, for 15 mins at room temperature and detected using an HRP conjugated compact polymer system. DAB was used as the chromogen. The section was then counterstained with haematoxylin and mounted with DPX.

Western blot - Anti-NF-kB p65 (phospho S536) antibody (AB86299)
  • WB

Unknown

Western blot - Anti-NF-kB p65 (phospho S536) antibody (AB86299)

Detection : Chemiluminescence with an exposure time of 30 seconds.

All lanes:

Western blot - Anti-NF-kB p65 (phospho S536) antibody (ab86299) at 0.1 µg/mL

Lane 1:

Jurkat whole cell lysate treated with TNF alpha and Calyculin A at 50 µg

Lane 2:

Jurkat whole cell lysate treated with TNF alpha and Calyculin A at 15 µg

Lane 3:

Jurkat whole cell lysate at 50 µg

Predicted band size: 60 kDa

false

Western blot - Anti-NF-kB p65 (phospho S536) antibody (AB86299)
  • WB

CiteAb

Western blot - Anti-NF-kB p65 (phospho S536) antibody (AB86299)

NF-kB p65 western blotting using Anti-NF-kB p65 (phospho S536) antibody ab86299. Publication image and figure legend from Chen, L., Xie, Z. Y., et al., 2019, Cell Prolif, Pubmed 30430692.

Role of nuclear factor-kappa B (NF-κB) signalling in rat NPC proliferation induced by tumour necrosis factor alpha (TNF-α). The cells were exposed to 10 ng/mL TNF-α with or without p65 siRNA (siP65) pretreatment for 24 h. A,B, NF-κB-p65 interference was verified through Western blot analysis. Proteins were extracted to detect the expression of p-p65 and p65. The expression levels of p-p65 were normalized to that of p65. C, Cell proliferation was evaluated through CCK-8 analysis at different time points. D,E, Immunofluorescence staining of Ki67 (original magnification, x200) and quantification of Ki67-positive cells. F,G, The proportions of cells in each phase were examined through flow cytometry. H,I, Cyclin D1 and cyclin B1 expression levels in NPCs subjected to different treatments were measured through Western blot analysis and normalized to that of vinculin. The results were presented as mean ± SD (n = 3). *p < < 0.05; **p < < 0.01

false

Western blot - Anti-NF-kB p65 (phospho S536) antibody (AB86299)
  • WB

CiteAb

Western blot - Anti-NF-kB p65 (phospho S536) antibody (AB86299)

NF-kB p65 western blotting using Anti-NF-kB p65 (phospho S536) antibody ab86299. Publication image and figure legend from Wu, S. J., Lin, Z. H., et al., 2020, Front Physiol, Pubmed 32116751.

(A-E) western blotting demonstrated protein expression in the AMPK pathway, Cx43, fibrosis, pro-inflammatory cytokines, and TLR-4-NF-κB pathway. Dex increased the phosphorylation of AMPK and the expression of Cx43 in the ICM + Dex group. Dex also reduced the expression of collagens, TGF-β, and pro-inflammatory cytokines. There was less activation of the TLR-4-NF-κB pathway in the ICM + Dex group than in the ICM group. BML blunted the effect of Dex on the AMPK pathway, Cx43, fibrosis, pro-inflammatory cytokines, and the TLR-4-NF-κB pathway. Data are expressed as mean ± SD. *p < < 0.05 vs. Sham group, #p < < 0.05 vs. ICM group, δp < < 0.05 vs. ICM + Dex group (n = 6 for each group).

false

Western blot - Anti-NF-kB p65 (phospho S536) antibody (AB86299)
  • WB

CiteAb

Western blot - Anti-NF-kB p65 (phospho S536) antibody (AB86299)

NF-kB p65 western blotting using Anti-NF-kB p65 (phospho S536) antibody ab86299. Publication image and figure legend from Zhang, S., Hu, L., et al., 2020, J Neuroinflammation, Pubmed 31924219.

Ds-HMGB1 induced increased NF-κB activation resulted from disruption of microglial autophagy. a Representative immunoblot bands of LC3 and SQSTM1/p62 in different groups of microglia. b, c Optical density analysis of LC3 and SQSTM1/p62 immunoblot bands. d the mRNA expression of IL-1β and TNF-α was increased in ds-HMGB1-treated microglia in vitro. e NF-κB p65 was detected from nuclear and cytosolic fractions extracted from microglia using western immunoblot. f-h Optical density analysis of phosphorylation of NF-κB p65 bands both in nuclear and cytosolic fractions of microglia. β-actin and histone were used as the cytoplasmic or nuclear loading control, respectively. Data are presented as mean ± SEM. n = 6, *p < < 0.05, ANOVA LSD test

false

Key facts

Host species

Rabbit

Clonality

Polyclonal

Isotype

IgG

Carrier free

No

Reacts with

Human

Applications

WB, IHC-P

applications

Immunogen

Synthetic Peptide within Human RELA phospho S536. The exact immunogen used to generate this antibody is proprietary information.

Q04206

Reactivity data

{ "title": "Reactivity Data", "filters": { "stats": ["", "Species", "Dilution Info", "Notes"], "tabs": { "all-applications": {"fullname" : "All Applications", "shortname": "All Applications"}, "WB" : {"fullname" : "Western blot", "shortname":"WB"}, "IHCP" : {"fullname" : "Immunohistochemistry (Formalin/PFA-fixed paraffin-embedded sections)", "shortname":"IHC-P"} }, "product-promise": { "all": "all", "testedAndGuaranteed": "tested", "guaranteed": "expected", "predicted": "predicted", "notRecommended": "not-recommended" } }, "values": { "Human": { "WB-species-checked": "testedAndGuaranteed", "WB-species-dilution-info": "1/2000 - 1/10000", "WB-species-notes": "<p></p>", "IHCP-species-checked": "testedAndGuaranteed", "IHCP-species-dilution-info": "1/200 - 1/1000", "IHCP-species-notes": "<p>Epitope retrieval with Tris-EDTA pH 9.0 is recommended for FFPE tissue sections.</p>" }, "Chimpanzee": { "WB-species-checked": "predicted", "WB-species-dilution-info": "", "WB-species-notes": "", "IHCP-species-checked": "predicted", "IHCP-species-dilution-info": "", "IHCP-species-notes": "" }, "Dog": { "WB-species-checked": "predicted", "WB-species-dilution-info": "", "WB-species-notes": "", "IHCP-species-checked": "predicted", "IHCP-species-dilution-info": "", "IHCP-species-notes": "" }, "Gorilla": { "WB-species-checked": "predicted", "WB-species-dilution-info": "", "WB-species-notes": "", "IHCP-species-checked": "predicted", "IHCP-species-dilution-info": "", "IHCP-species-notes": "" }, "Guinea pig": { "WB-species-checked": "predicted", "WB-species-dilution-info": "", "WB-species-notes": "", "IHCP-species-checked": "predicted", "IHCP-species-dilution-info": "", "IHCP-species-notes": "" }, "Orangutan": { "WB-species-checked": "predicted", "WB-species-dilution-info": "", "WB-species-notes": "", "IHCP-species-checked": "predicted", "IHCP-species-dilution-info": "", "IHCP-species-notes": "" }, "Pig": { "WB-species-checked": "predicted", "WB-species-dilution-info": "", "WB-species-notes": "", "IHCP-species-checked": "predicted", "IHCP-species-dilution-info": "", "IHCP-species-notes": "" }, "Rhesus monkey": { "WB-species-checked": "predicted", "WB-species-dilution-info": "", "WB-species-notes": "", "IHCP-species-checked": "predicted", "IHCP-species-dilution-info": "", "IHCP-species-notes": "" } } }

Product details

Product Specifications
Anti-NF-kB p65 (phospho S536) antibody (ab86299) is a rabbit polyclonal antibody and is validated for use in IHC-P, WB in human samples.
Anti-NF-kB p65 (phospho S536) antibody (ab86299) specifically detects NF-kB p65 Phospho-S536 (UniProt ID: Q04206; Molecular weight: 60kDa) and is sold in 100 µL selling sizes.

Quality and Validation
Abcam's high quality validation processes ensure Anti-NF-kB p65 (phospho S536) antibody (ab86299) has high sensitivity and specificity.
Anti-NF-kB p65 (phospho S536) antibody (ab86299) has been cited over 539 times in peer reviewed journals and is trusted by the scientific community.
Anti-NF-kB p65 (phospho S536) antibody (ab86299) has 9 independent reviews from customers.

Properties and storage information

Form
Liquid
Purification technique
Affinity purification Protein A
Purification notes
ab86299 was affinity purified using an epitope specific to Phospho NFkB p65 (S536) immobilized on solid support.
Storage buffer
pH: 6.8 - 7.4 Preservative: 0.09% Sodium azide Constituents: Tris buffered saline, 0.1% BSA
Shipped at conditions
Blue Ice
Appropriate short-term storage duration
1-2 weeks
Appropriate short-term storage conditions
+4°C
Appropriate long-term storage conditions
+4°C
Aliquoting information
Upon delivery aliquot
Storage information
Avoid freeze / thaw cycle|Do Not Freeze

Product protocols

For this product, it's our understanding that no specific protocols are required. You can visit:

Target data

NF-kappa-B is a pleiotropic transcription factor present in almost all cell types and is the endpoint of a series of signal transduction events that are initiated by a vast array of stimuli related to many biological processes such as inflammation, immunity, differentiation, cell growth, tumorigenesis and apoptosis. NF-kappa-B is a homo- or heterodimeric complex formed by the Rel-like domain-containing proteins RELA/p65, RELB, NFKB1/p105, NFKB1/p50, REL and NFKB2/p52. The heterodimeric RELA-NFKB1 complex appears to be most abundant one. The dimers bind at kappa-B sites in the DNA of their target genes and the individual dimers have distinct preferences for different kappa-B sites that they can bind with distinguishable affinity and specificity. Different dimer combinations act as transcriptional activators or repressors, respectively. The NF-kappa-B heterodimeric RELA-NFKB1 and RELA-REL complexes, for instance, function as transcriptional activators. NF-kappa-B is controlled by various mechanisms of post-translational modification and subcellular compartmentalization as well as by interactions with other cofactors or corepressors. NF-kappa-B complexes are held in the cytoplasm in an inactive state complexed with members of the NF-kappa-B inhibitor (I-kappa-B) family. In a conventional activation pathway, I-kappa-B is phosphorylated by I-kappa-B kinases (IKKs) in response to different activators, subsequently degraded thus liberating the active NF-kappa-B complex which translocates to the nucleus. The inhibitory effect of I-kappa-B on NF-kappa-B through retention in the cytoplasm is exerted primarily through the interaction with RELA. RELA shows a weak DNA-binding site which could contribute directly to DNA binding in the NF-kappa-B complex. Beside its activity as a direct transcriptional activator, it is also able to modulate promoters accessibility to transcription factors and thereby indirectly regulate gene expression. Associates with chromatin at the NF-kappa-B promoter region via association with DDX1. Essential for cytokine gene expression in T-cells (PubMed : 15790681). The NF-kappa-B homodimeric RELA-RELA complex appears to be involved in invasin-mediated activation of IL-8 expression. Key transcription factor regulating the IFN response during SARS-CoV-2 infection (PubMed : 33440148).
See full target information RELA phospho S536

Publications (668)

Recent publications for all applications. Explore the full list and refine your search

Journal of cell communication and signaling 19:e70048 PubMed41040887

2025

Targeting the PI3K/Akt/NF-κB axis: Cluster of differentiation 5-like-mediated immunometabolic regulation of macrophage polarization in abdominal aortic aneurysm.

Applications

Unspecified application

Species

Unspecified reactive species

Hemoren Yi,Nan Liu,Zhengyang Wu,Lei Li,Tingting Li,Qixiang Liu,Man Duan,Taihu Wan

Frontiers in cellular neuroscience 19:1636399 PubMed40980564

2025

Growth hormone reduces retinal inflammation and preserves microglial morphology after optic nerve crush in male rats.

Applications

Unspecified application

Species

Unspecified reactive species

Jerusa E Balderas-Márquez,David Epardo,Lourdes Siqueiros-Márquez,Martha Carranza,Maricela Luna,José Luis Quintanar,Carlos Arámburo,Carlos G Martínez-Moreno

Wound repair and regeneration : official publication of the Wound Healing Society [and] the European Tissue Repair Society 33:e70082 PubMed40880422

2025

Re-Epithelialisation in a Yorkshire Pig Full-Thickness Excisional Wound Model Is Associated With Keratinocyte Activation, Oxidative Stress, and Biomacromolecule Oxidation.

Applications

Unspecified application

Species

Unspecified reactive species

Dylan Tinney,John T Walker,Emily Truscott,Douglas W Hamilton

Brain and behavior 15:e70728 PubMed40760806

2025

Curcumin Promotes the Recovery of Motor Function After Brachial Plexus Avulsion Injury in Rats.

Applications

Unspecified application

Species

Unspecified reactive species

Sijing Li,Bing He,Guijuan Zhou,Lin Wu,Xuanwei Wen,Limin Deng,Shudong Lin,Guozhi Liu,Shuangxi Chen,Zijian Xiao

Probiotics and antimicrobial proteins : PubMed40705232

2025

Chitooligosaccharides Improves Severe Acute Pancreatitis by Reducing Intestinal Mucosal Injury and Regulating Intestinal Microbiota.

Applications

Unspecified application

Species

Unspecified reactive species

Fanjun Meng,Guangchen Sun,Yan Zhao,Yayuan Luo,Yanou Bai,Weiyan Lyu,Hao Han,Xu Liu

BMC infectious diseases 25:931 PubMed40691769

2025

Determination of the effect of pyocyanin and Saccharomyces boulardii on gut microbiota and TLR4/MyD88/NF-κB and NLRP3 signaling pathways in sepsis induced by cecal ligation and puncture in rats.

Applications

Unspecified application

Species

Unspecified reactive species

Mahmut Ucar,Ozgur Celebi,Demet Celebi,Sumeyye Baser,Mustafa Can Guler,Ayhan Tanyeli,Metin Kılıclıoglu,Ahmet Yılmaz,Serkan Yıldırım

Cellular and molecular life sciences : CMLS 82:269 PubMed40610735

2025

Cell division cycle protein 42-driven activation of the MKK3/6-p38 signaling pathway participates in cardiac remodeling in mice.

Applications

Unspecified application

Species

Unspecified reactive species

Ke Wen,Lin Xie,Quan-Wen Liu,Guan-Hui Yu,Xu-Hui Qiao,Yu-Chun Huang,Lu Wang,Xin Li,Li-Dan Wen,Xiao-Lei Wang,Jing He,Xin-Yu Xiao,Xiao-Xiao Zhao,Ling-Fang Wang,Hong-Bo Xin,Ke-Yu Deng

CNS neuroscience & therapeutics 31:e70497 PubMed40589337

2025

Electroacupuncture Attenuates High-Fat Diet-Exacerbated Alzheimer's Pathology by Enhancing TFEB/TFE3-Mediated Autophagic Clearance of Tau and NLRP3 Inflammasome in 3xTg Mice.

Applications

Unspecified application

Species

Unspecified reactive species

Xiaoyan Zheng,Zhihao Luo,Jialin Zheng,Chuyu Deng,Dongmin Liu,Yiming Chen,Runjin Zhou,Jihua Zou,Guozhi Huang,Qing Zeng,Chunzhi Tang,Ju-Xian Song

Food science & nutrition 13:e70482 PubMed40552333

2025

Seahorse Attenuated DSS-Induced Depression in Mice by Inhibiting Neuroinflammation and Ferroptosis.

Applications

Unspecified application

Species

Unspecified reactive species

Pei-Lu Chen,Ming Li,Xin-Yu Wang,Xian-Zhu Qiu,Feng-Yan Qiu,Le-Yun Zheng,Li-Tao Yi,Jia-Yuan Zhang,Guang-Hui Xu

Frontiers in endocrinology 16:1519153 PubMed40438398

2025

Bioinformatics analysis combined with experimental validation reveals the novel mechanisms of multi-targets of dapagliflozin attenuating diabetic liver injury.

Applications

Unspecified application

Species

Unspecified reactive species

Pengyu Wang,Zhen Sun,Qing Lan,Shuo Zhang,Yan Song,Leiming Yang,Mi Chen,Jianfen Shen,Qi Huang,Youzhi Zhang
View all publications

Product promise

We are committed to supporting your work with high-quality reagents, and we're here for you every step of the way. In the unlikely event that one of our products does not perform as expected, you're protected by our Product Promise.
For full details, please see our Terms & Conditions

Please note: All products are 'FOR RESEARCH USE ONLY. NOT FOR USE IN DIAGNOSTIC OR THERAPEUTIC PROCEDURES'.

For licensing inquiries, please contact partnerships@abcam.com