JavaScript is disabled in your browser. Please enable JavaScript to view this website.
AB84550

Anti-NF2 / Merlin antibody

Be the first to review this product! Submit a review

|

(0 Publication)

Rabbit Polyclonal NF2 / Merlin antibody. Suitable for IHC-P and reacts with Human samples. Immunogen corresponding to Synthetic Peptide within Human NF2 aa 550 to C-terminus.

View Alternative Names

SCH, NF2, Merlin, Moesin-ezrin-radixin-like protein, Neurofibromin-2, Schwannomerlin, Schwannomin

2 Images
Immunohistochemistry (Formalin/PFA-fixed paraffin-embedded sections) - Anti-NF2 / Merlin antibody (AB84550)
  • IHC-P

Unknown

Immunohistochemistry (Formalin/PFA-fixed paraffin-embedded sections) - Anti-NF2 / Merlin antibody (AB84550)

Detection of human NF2 / Merlin by Immunofluorescence.

Sample : formalin fixed, paraffin embedded section of human thyroid carcinoma.
Antibody : ab84550 used at a dilution of 1/100.
Detection : Red-fluorescent Alexa Fluor 555 goat anti-rabbit IgG used at a dilution of 1/500.

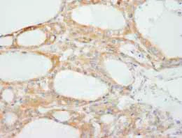
Immunohistochemistry (Formalin/PFA-fixed paraffin-embedded sections) - Anti-NF2 / Merlin antibody (AB84550)
  • IHC-P

Unknown

Immunohistochemistry (Formalin/PFA-fixed paraffin-embedded sections) - Anti-NF2 / Merlin antibody (AB84550)

Detection of human NF2 / Merlin by Immunohistochemistry.

Sample : formalin fixed, paraffin embedded section of human thyroid carcinoma.
Antibody : ab84550 used at a dilution of 1/500.
Detection : DAB staining.

Key facts

Host species

Rabbit

Clonality

Polyclonal

Isotype

IgG

Carrier free

No

Reacts with

Human

Applications

IHC-P

applications

Immunogen

Synthetic Peptide within Human NF2 aa 550 to C-terminus. The exact immunogen used to generate this antibody is proprietary information.

P35240

Reactivity data

{ "title": "Reactivity Data", "filters": { "stats": ["", "Species", "Dilution Info", "Notes"], "tabs": { "all-applications": {"fullname" : "All Applications", "shortname": "All Applications"}, "IHCP" : {"fullname" : "Immunohistochemistry (Formalin/PFA-fixed paraffin-embedded sections)", "shortname":"IHC-P"} }, "product-promise": { "all": "all", "testedAndGuaranteed": "tested", "guaranteed": "expected", "predicted": "predicted", "notRecommended": "not-recommended" } }, "values": { "Human": { "IHCP-species-checked": "testedAndGuaranteed", "IHCP-species-dilution-info": "1/100 - 1/500", "IHCP-species-notes": "<p></p>" }, "Mouse": { "IHCP-species-checked": "predicted", "IHCP-species-dilution-info": "", "IHCP-species-notes": "" }, "Rat": { "IHCP-species-checked": "predicted", "IHCP-species-dilution-info": "", "IHCP-species-notes": "" }, "Baboon": { "IHCP-species-checked": "predicted", "IHCP-species-dilution-info": "", "IHCP-species-notes": "" }, "Chinese hamster": { "IHCP-species-checked": "predicted", "IHCP-species-dilution-info": "", "IHCP-species-notes": "" }, "Cow": { "IHCP-species-checked": "predicted", "IHCP-species-dilution-info": "", "IHCP-species-notes": "" }, "Dog": { "IHCP-species-checked": "predicted", "IHCP-species-dilution-info": "", "IHCP-species-notes": "" }, "Elephant": { "IHCP-species-checked": "predicted", "IHCP-species-dilution-info": "", "IHCP-species-notes": "" }, "Ferret": { "IHCP-species-checked": "predicted", "IHCP-species-dilution-info": "", "IHCP-species-notes": "" }, "Gorilla": { "IHCP-species-checked": "predicted", "IHCP-species-dilution-info": "", "IHCP-species-notes": "" }, "Horse": { "IHCP-species-checked": "predicted", "IHCP-species-dilution-info": "", "IHCP-species-notes": "" }, "Orangutan": { "IHCP-species-checked": "predicted", "IHCP-species-dilution-info": "", "IHCP-species-notes": "" }, "Pig": { "IHCP-species-checked": "predicted", "IHCP-species-dilution-info": "", "IHCP-species-notes": "" }, "Rabbit": { "IHCP-species-checked": "predicted", "IHCP-species-dilution-info": "", "IHCP-species-notes": "" } } }

Properties and storage information

Form
Liquid
Purification technique
Affinity purification Immunogen
Purification notes
ab84550 was affinity purified using an epitope specific to NF2 / Merlin immobilized on solid support.
Storage buffer
pH: 6.8 - 7.4 Preservative: 0.09% Sodium azide Constituents: Tris buffered saline, 0.1% BSA
Shipped at conditions
Blue Ice
Appropriate short-term storage conditions
+4°C
Appropriate long-term storage conditions
-20°C
Aliquoting information
Upon delivery aliquot
Storage information
Avoid freeze / thaw cycle

Supplementary information

This supplementary information is collated from multiple sources and compiled automatically.

The NF2 gene produces a protein known as Neurofibromin 2 often called Merlin. The NF2 protein or Merlin protein plays a mechanical role in the cell as a tumor suppressor by stabilizing cellular structure and regulating cell growth. Its molar mass is approximately 70 kDa. NF2 protein is found mainly in the nervous system particularly in Schwann cells which are important for nerve function.
Biological function summary

The NF2 protein functions to control cell proliferation differentiation and motility. It associates with the cytoskeleton acting as a bridge between cell surface proteins and the actin cytoskeleton. Merlin as part of the ERM (ezrin radixin moesin) family contributes to the assembly of protein complexes at the cell membrane. Through its interactions it plays a significant role in maintaining proper cell signaling and structural integrity.

Pathways

NF2 protein integrates into the Hippo signaling pathway which regulates organ size by controlling cell growth and apoptosis. Within this pathway Merlin interacts with members such as YAP1 and LATS1/2 moderating their activity to prevent over-proliferation of cells. NF2 also connects with the mTOR pathway which is critical for cell metabolism and growth further emphasizing its regulatory functions in cellular homeostasis.

Mutations or deletions in the NF2 gene are associated with neurofibromatosis type 2 a condition that causes benign tumors on nerve tissues known as schwannomas. NF2 protein is linked to other proteins such as angiogenesis factors contributing to the development of these tumors. Schwannomatosis another disorder related to NF2 involves nerve sheath tumor formation with Merlin mutation playing a role indicating its importance in nervous system health.

Product protocols

For this product, it's our understanding that no specific protocols are required. You can visit:

Target data

Probable regulator of the Hippo/SWH (Sav/Wts/Hpo) signaling pathway, a signaling pathway that plays a pivotal role in tumor suppression by restricting proliferation and promoting apoptosis. Along with WWC1 can synergistically induce the phosphorylation of LATS1 and LATS2 and can probably function in the regulation of the Hippo/SWH (Sav/Wts/Hpo) signaling pathway. May act as a membrane stabilizing protein. May inhibit PI3 kinase by binding to AGAP2 and impairing its stimulating activity. Suppresses cell proliferation and tumorigenesis by inhibiting the CUL4A-RBX1-DDB1-VprBP/DCAF1 E3 ubiquitin-protein ligase complex.
See full target information NF2

Product promise

We are committed to supporting your work with high-quality reagents, and we're here for you every step of the way. In the unlikely event that one of our products does not perform as expected, you're protected by our Product Promise.
For full details, please see our Terms & Conditions

Please note: All products are 'FOR RESEARCH USE ONLY. NOT FOR USE IN DIAGNOSTIC OR THERAPEUTIC PROCEDURES'.

For licensing inquiries, please contact partnerships@abcam.com