JavaScript is disabled in your browser. Please enable JavaScript to view this website.
AB308025

Anti-NF2 / Merlin antibody [RP23040199]

Be the first to review this product! Submit a review

|

(0 Publication)

Rabbit Recombinant Multiclonal NF2 / Merlin antibody. Suitable for WB and reacts with Human, Mouse, Rat samples. Immunogen corresponding to Recombinant Fragment Protein within Human NF2.

View Alternative Names

SCH, NF2, Merlin, Moesin-ezrin-radixin-like protein, Neurofibromin-2, Schwannomerlin, Schwannomin

2 Images
Western blot - Anti-NF2 / Merlin antibody [RP23040199] (AB308025)
  • WB

Supplier Data

Western blot - Anti-NF2 / Merlin antibody [RP23040199] (AB308025)

Knockdown of NF2 was achieved by transfecting PC3 cells with NF2 specific siRNA. Western blot analysis was performed using whole cell lysates from the NF2 knock down cells (lane 3), non-specific scrambled siRNA transfected cells (lane 2) and untransfected cells (lane 1). The blots were probed with ab308025, 1-2 µg/mL and Goat anti-Rabbit IgG (H+L) Secondary Antibody, HRP conjugate (0.4 µg/mL, 1 : 2500 dilution). Reduction of signal upon siRNA mediated knock down confirms that antibody is specific to NF2.

All lanes:

Western blot - Anti-NF2 / Merlin antibody [RP23040199] (ab308025) at 1 µg/mL

Lane 1:

Untransfected PC3 cells

Lane 2:

PC3 cells transfected with non-specific scrambled siRNA

Lane 3:

PC3 NF2 knockdown cells

Secondary

All lanes:

HRP-conjugated Goat anti-Rabbit IgG (H+L) Secondary Antibody at 1/2500 dilution

Predicted band size: 70 kDa

Observed band size: 70 kDa

false

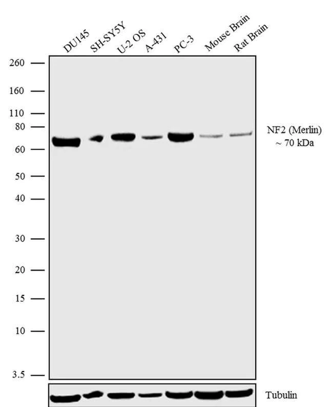
Western blot - Anti-NF2 / Merlin antibody [RP23040199] (AB308025)
  • WB

Supplier Data

Western blot - Anti-NF2 / Merlin antibody [RP23040199] (AB308025)

Western blot analysis was performed on whole cell extracts (30 µg lysate) of DU 145 (Lane 1), SH-SY5Y (Lane 2), U-2 OS (Lane 3), A-431 (Lane 4), PC-3 (Lane 5) and tissue extracts of Mouse Brain (Lane 6) and Rat Brain (Lane 7). The blots were probed with ab308025, 1 µg/mL. A 70 kDa band corresponding to NF2 (Merlin) was observed across the cell lines and tissues tested. The blots were detected by chemiluminescence using Goat anti-Rabbit IgG (H+L) Secondary Antibody, HRP conjugate (0.4 µg/mL, 1 : 2500 dilution). Known quantity of protein samples were electrophoresed using 4-12% Bis-Tris gel, electrophoresis system and pre-stained protein standard. Resolved proteins were then transferred onto a nitrocellulose membrane. The membrane was probed with the relevant primary and secondary Antibody following blocking with 5% skimmed milk. Chemiluminescent detection was performed (ECL).

All lanes:

Western blot - Anti-NF2 / Merlin antibody [RP23040199] (ab308025) at 1 µg/mL

Lane 1:

DU145 whole cell extract at 30 µg

Lane 2:

SH-SY5Y whole cell extract at 30 µg

Lane 3:

U-2 OS whole cell extract at 30 µg

Lane 4:

A-431 whole cell extract at 30 µg

Lane 5:

PC-3 whole cell extract at 30 µg

Lane 6:

Mouse brain tissue extract at 30 µg

Lane 7:

Rat brain tissue extract at 30 µg

Secondary

All lanes:

Goat anti-Rabbit IgG (H+L) Secondary Antibody, HRP conjugate at 1/2500 dilution

Predicted band size: 70 kDa

Observed band size: 70 kDa

true

Key facts

Host species

Rabbit

Clonality

Multiclonal

Clone number

RP23040199

Isotype

IgG

Carrier free

No

Reacts with

Human, Mouse, Rat

Applications

WB

applications

Immunogen

Recombinant Fragment Protein within Human NF2.

P35240

Reactivity data

{ "title": "Reactivity Data", "filters": { "stats": ["", "Species", "Dilution Info", "Notes"], "tabs": { "all-applications": {"fullname" : "All Applications", "shortname": "All Applications"}, "WB" : {"fullname" : "Western blot", "shortname":"WB"} }, "product-promise": { "all": "all", "testedAndGuaranteed": "tested", "guaranteed": "expected", "predicted": "predicted", "notRecommended": "not-recommended" } }, "values": { "Human": { "WB-species-checked": "testedAndGuaranteed", "WB-species-dilution-info": "1-2 µg/mL", "WB-species-notes": "<p></p>" }, "Mouse": { "WB-species-checked": "testedAndGuaranteed", "WB-species-dilution-info": "1 µg/mL", "WB-species-notes": "<p></p>" }, "Rat": { "WB-species-checked": "testedAndGuaranteed", "WB-species-dilution-info": "1 µg/mL", "WB-species-notes": "<p></p>" } } }

Product details

What are recombinant multiclonals?
Recombinant multiclonals are a mixture of recombinant antibodies co-expressed from a library of heavy and light chains. They offer several advantages including:

  • - The sensitivity of polyclonal antibodies by recognising multiple epitopes
  • - High batch-to-batch consistency and reproducibility
  • - Improved sensitivity and specificity
  • - Long-term security of supply
  • - Animal-free batch production

View our range of recombinant multiclonal antibodies.

Properties and storage information

Form
Liquid
Storage buffer
pH: 7.4 Preservative: 0.09% Sodium azide Constituents: 99.91% PBS
Shipped at conditions
Blue Ice
Appropriate short-term storage duration
1-2 weeks
Appropriate short-term storage conditions
+4°C
Appropriate long-term storage conditions
-20°C
Aliquoting information
Upon delivery aliquot
Storage information
Avoid freeze / thaw cycle

Supplementary information

This supplementary information is collated from multiple sources and compiled automatically.

The NF2 gene produces a protein known as Neurofibromin 2 often called Merlin. The NF2 protein or Merlin protein plays a mechanical role in the cell as a tumor suppressor by stabilizing cellular structure and regulating cell growth. Its molar mass is approximately 70 kDa. NF2 protein is found mainly in the nervous system particularly in Schwann cells which are important for nerve function.
Biological function summary

The NF2 protein functions to control cell proliferation differentiation and motility. It associates with the cytoskeleton acting as a bridge between cell surface proteins and the actin cytoskeleton. Merlin as part of the ERM (ezrin radixin moesin) family contributes to the assembly of protein complexes at the cell membrane. Through its interactions it plays a significant role in maintaining proper cell signaling and structural integrity.

Pathways

NF2 protein integrates into the Hippo signaling pathway which regulates organ size by controlling cell growth and apoptosis. Within this pathway Merlin interacts with members such as YAP1 and LATS1/2 moderating their activity to prevent over-proliferation of cells. NF2 also connects with the mTOR pathway which is critical for cell metabolism and growth further emphasizing its regulatory functions in cellular homeostasis.

Mutations or deletions in the NF2 gene are associated with neurofibromatosis type 2 a condition that causes benign tumors on nerve tissues known as schwannomas. NF2 protein is linked to other proteins such as angiogenesis factors contributing to the development of these tumors. Schwannomatosis another disorder related to NF2 involves nerve sheath tumor formation with Merlin mutation playing a role indicating its importance in nervous system health.

Product protocols

For this product, it's our understanding that no specific protocols are required. You can visit:

Target data

Probable regulator of the Hippo/SWH (Sav/Wts/Hpo) signaling pathway, a signaling pathway that plays a pivotal role in tumor suppression by restricting proliferation and promoting apoptosis. Along with WWC1 can synergistically induce the phosphorylation of LATS1 and LATS2 and can probably function in the regulation of the Hippo/SWH (Sav/Wts/Hpo) signaling pathway. May act as a membrane stabilizing protein. May inhibit PI3 kinase by binding to AGAP2 and impairing its stimulating activity. Suppresses cell proliferation and tumorigenesis by inhibiting the CUL4A-RBX1-DDB1-VprBP/DCAF1 E3 ubiquitin-protein ligase complex.
See full target information NF2

Product promise

We are committed to supporting your work with high-quality reagents, and we're here for you every step of the way. In the unlikely event that one of our products does not perform as expected, you're protected by our Product Promise.
For full details, please see our Terms & Conditions

Please note: All products are 'FOR RESEARCH USE ONLY. NOT FOR USE IN DIAGNOSTIC OR THERAPEUTIC PROCEDURES'.

For licensing inquiries, please contact partnerships@abcam.com