JavaScript is disabled in your browser. Please enable JavaScript to view this website.
AB283719

Anti-NFAT4/NF-ATc3 antibody [EPR24994-68] - BSA and Azide free

Be the first to review this product! Submit a review

|

(0 Publication)

Rabbit Recombinant Monoclonal NFAT4/NF-ATc3 antibody. Carrier free. Suitable for WB and reacts with Human samples.

View Alternative Names

NFAT4, NFATC3, NF-ATc3, NFATc3, NFATx, T-cell transcription factor NFAT4, NF-AT4, NF-AT4c

2 Images
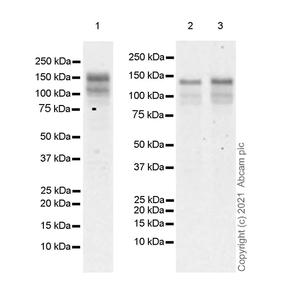
Western blot - Anti-NFAT4/NF-ATc3 antibody [EPR24994-68] - BSA and Azide free (AB283719)
  • WB

Lab

Western blot - Anti-NFAT4/NF-ATc3 antibody [EPR24994-68] - BSA and Azide free (AB283719)

This data was developed using ab283690, the same antibody clone in a different buffer formulation.

Blocking and diluting buffer and concentration : 3% NFDM/TBST

The molecular weight observed is consistent with what has been described in the literature (PMID : 31988379).

Lysates were made freshly and used in WB immediately to minimize protein degradation.

Exposure time : 3 minutes

All lanes:

Western blot - Anti-NFAT4/NF-ATc3 antibody [EPR24994-68] (<a href='/en-us/products/primary-antibodies/nfat4-nf-atc3-antibody-epr24994-68-ab283690'>ab283690</a>) at 1/1000 dilution

Lane 1:

Jurkat (human T cell leukemia T lymphocyte) whole cell lysate at 20 µg

Lane 2:

HeLa (human cervix adenocarcinoma epithelial cell) whole cell lysate at 20 µg

Lane 3:

HEK293T (human embryonic kidney epithelial cell) whole cell lysate at 20 µg

Secondary

All lanes:

Western blot - Goat Anti-Rabbit IgG H&L (HRP) (<a href='/en-us/products/secondary-antibodies/goat-rabbit-igg-h-l-hrp-ab97051'>ab97051</a>) at 1/50000 dilution

Predicted band size: 116 kDa

Observed band size: 140-160 kDa

false

Western blot - Anti-NFAT4/NF-ATc3 antibody [EPR24994-68] - BSA and Azide free (AB283719)
  • WB

Lab

Western blot - Anti-NFAT4/NF-ATc3 antibody [EPR24994-68] - BSA and Azide free (AB283719)

This data was developed using ab283690, the same antibody clone in a different buffer formulation.

Blocking and diluting buffer and concentration : 3% NFDM/TBST

Lanes 1- 2 : Merged signal (red and green). Green - ab283690 observed at 140 kDa. Red - Anti-GAPDH antibody [6C5] - Loading Control (ab8245) observed at 37 kDa.

ab283690 was shown to react with NFATC3 (NFAT4) in wild-type HEK293T cells in western blot. Loss of signal was observed when NFATC3 (NFAT4) knockout cell line ab267300 (knockout cell lysate ab258073) was used. Wild-type HEK293T and NFATC3 (NFAT4) knockout HEK293T cell lysates were subjected to SDS-PAGE. Membrane was blocked for 1 hour at room temperature in 0.1% TBST with 3% non-fat dried milk. ab283690 and Anti-GAPDH antibody [6C5] - Loading Control (ab8245) were incubated at 4°C overnight at 1/1000 dilution and 1/20,000 dilution respectively. Blots were developed with Goat anti-Rabbit IgG H&L (IRDye® 800CW) preadsorbed (ab216773) and Goat anti-Mouse IgG H&L (IRDye® 680RD) preadsorbed (ab216776) secondary antibodies at 1/10,000 dilution for 1 hour at room temperature before imaging.

Lysates were made freshly and used in WB immediately to minimize protein degradation.

All lanes:

Western blot - Anti-NFAT4/NF-ATc3 antibody [EPR24994-68] (<a href='/en-us/products/primary-antibodies/nfat4-nf-atc3-antibody-epr24994-68-ab283690'>ab283690</a>) at 1/1000 dilution

Lane 1:

Wild-type HEK293T (human embryonic kidney epithelial cell) whole cell lysate at 40 µg

Lane 2:

NFATC3 (NFAT4) knockout HEK293T (human embryonic kidney epithelial cell) whole cell lysate at 40 µg

Lane 2:

Western blot - Human NFATC3 (NFAT4) knockout HEK-293T cell line (<a href='/en-us/products/cell-lines/human-nfatc3-nfat4-knockout-hek-293t-cell-line-ab267300'>ab267300</a>)

Secondary

All lanes:

Goat Anti-Rabbit IgG H&L (IRDye® 800CW) (<a href='/en-us/products/secondary-antibodies/goat-rabbit-igg-h-l-irdye-800cw-preadsorbed-ab216773'>ab216773</a>) and Goat Anti-Mouse IgG H&L (IRDye® 680RD) (<a href='/en-us/products/secondary-antibodies/goat-mouse-igg-h-l-irdye-680rd-preadsorbed-ab216776'>ab216776</a>) at 1/10000 dilution

Predicted band size: 116 kDa

Observed band size: 140 kDa

false

Key facts

Host species

Rabbit

Clonality

Monoclonal

Clone number

EPR24994-68

Isotype

IgG

Carrier free

Yes

Reacts with

Human

Applications

WB

applications

Immunogen

The exact immunogen used to generate this antibody is proprietary information.

Reactivity data

{ "title": "Reactivity Data", "filters": { "stats": ["", "Species", "Dilution Info", "Notes"], "tabs": { "all-applications": {"fullname" : "All Applications", "shortname": "All Applications"}, "IP" : {"fullname" : "Immunoprecipitation", "shortname":"IP"}, "WB" : {"fullname" : "Western blot", "shortname":"WB"}, "IHCP" : {"fullname" : "Immunohistochemistry (Formalin/PFA-fixed paraffin-embedded sections)", "shortname":"IHC-P"}, "ICCIF" : {"fullname" : "Immunocytochemistry/ Immunofluorescence", "shortname":"ICC/IF"}, "FlowCytIntra" : {"fullname" : "Flow Cytometry (Intracellular)", "shortname":"Flow Cyt (Intra)"} }, "product-promise": { "all": "all", "testedAndGuaranteed": "tested", "guaranteed": "expected", "predicted": "predicted", "notRecommended": "not-recommended" } }, "values": { "Human": { "IP-species-checked": "notRecommended", "IP-species-dilution-info": "", "IP-species-notes": "<p></p>", "WB-species-checked": "testedAndGuaranteed", "WB-species-dilution-info": "", "WB-species-notes": "<p></p>", "IHCP-species-checked": "notRecommended", "IHCP-species-dilution-info": "", "IHCP-species-notes": "<p></p>", "ICCIF-species-checked": "notRecommended", "ICCIF-species-dilution-info": "", "ICCIF-species-notes": "<p></p>", "FlowCytIntra-species-checked": "notRecommended", "FlowCytIntra-species-dilution-info": "", "FlowCytIntra-species-notes": "<p></p>" }, "Mouse": { "IP-species-checked": "notRecommended", "IP-species-dilution-info": "", "IP-species-notes": "<p></p>", "WB-species-checked": "notRecommended", "WB-species-dilution-info": "", "WB-species-notes": "<p></p>", "IHCP-species-checked": "notRecommended", "IHCP-species-dilution-info": "", "IHCP-species-notes": "<p></p>", "ICCIF-species-checked": "notRecommended", "ICCIF-species-dilution-info": "", "ICCIF-species-notes": "<p></p>", "FlowCytIntra-species-checked": "notRecommended", "FlowCytIntra-species-dilution-info": "", "FlowCytIntra-species-notes": "<p></p>" }, "Rat": { "IP-species-checked": "notRecommended", "IP-species-dilution-info": "", "IP-species-notes": "", "WB-species-checked": "notRecommended", "WB-species-dilution-info": "", "WB-species-notes": "<p></p>", "IHCP-species-checked": "notRecommended", "IHCP-species-dilution-info": "", "IHCP-species-notes": "<p></p>", "ICCIF-species-checked": "notRecommended", "ICCIF-species-dilution-info": "", "ICCIF-species-notes": "", "FlowCytIntra-species-checked": "notRecommended", "FlowCytIntra-species-dilution-info": "", "FlowCytIntra-species-notes": "" } } }

Product details

ab283719 is the carrier-free version of ab283690.

Patented technology
Our RabMAb® technology is a patented hybridoma-based technology for making rabbit monoclonal antibodies. For details on our patents, please refer to RabMAb® patents.

What are the advantages of a recombinant monoclonal antibody?
This product is a recombinant monoclonal antibody, which offers several advantages including:

  • - High batch-to-batch consistency and reproducibility
  • - Improved sensitivity and specificity
  • - Long-term security of supply
  • - Animal-free batch production

For more information, read more on recombinant antibodies.

Conjugation ready
Our carrier-free antibodies are typically supplied in a PBS-only formulation, purified and free of BSA, sodium azide and glycerol. This conjugation-ready format is designed for use with fluorochromes, metal isotopes, oligonucleotides, and enzymes, which makes them ideal for antibody labelling, functional and cell-based assays, flow-based assays (e.g. mass cytometry) and Multiplex Imaging applications.

Use our conjugation kits for antibody conjugates that are ready-to-use in as little as 20 minutes with 1 minute hands-on-time and 100% antibody recovery: available for fluorescent dyes, HRP, biotin and gold.

Compatibility
This product is compatible with the Maxpar® Antibody Labeling Kit from Fluidigm, without the need for antibody preparation. Maxpar® is a trademark of Fluidigm Canada Inc.

Properties and storage information

Form
Liquid
Purification technique
Affinity purification Protein A
Storage buffer
pH: 7.2 - 7.4 Constituents: PBS
Shipped at conditions
Blue Ice
Appropriate short-term storage conditions
+4°C
Appropriate long-term storage conditions
+4°C

Supplementary information

This supplementary information is collated from multiple sources and compiled automatically.

The protein NFAT4 also known as NF-ATc3 or NFATc3 is a transcription factor with a molecular mass of approximately 140 kDa. It is part of the nuclear factor of activated T-cells (NFAT) family. This protein primarily localizes in the cytoplasm and nucleus and is especially abundant in immune cells like T-cells and various other cell types including neuronal tissues and cardiac cells.
Biological function summary

NFAT4/NF-ATc3 acts as a regulator of gene expression by binding to DNA in the nucleus. It forms part of the NFAT complex working with other members of this family to regulate genes involved in cell differentiation and development. In immune cells this protein plays a role in mediating responses to external signals influencing cytokine production and aiding the regulation of immune responses. Other tissues including neurons and cardiac cells also rely on NFAT4 for specific signaling functions related to cell growth and survival.

Pathways

NFAT4/NF-ATc3 is involved in key signaling mechanisms notably the calcium signaling pathway. This pathway works closely with other proteins such as calcineurin which dephosphorylates NFAT proteins leading to their activation and nuclear translocation. Additionally interactions within the Ras/MAPK pathway highlight NFAT4's role in cell proliferation and differentiation processes interconnecting with various signaling proteins that drive these pathways.

Abnormal NFAT4 activity links to immune-related conditions and cardiac hypertrophy. Its dysregulation associates with autoimmune diseases wherein it affects T-cell activation and inflammation. In cardiac disorders excessive activation of NFAT4 in conjunction with calcineurin contributes to maladaptive cardiac growth presenting a potential therapeutic target for hypertrophic heart conditions. The understanding of NFAT4's involvement in these diseases emphasizes its significance in developing targeted treatments.

Product protocols

For this product, it's our understanding that no specific protocols are required. You can visit:

Target data

Acts as a regulator of transcriptional activation. Binds to the TNFSF11/RANKL promoter region and promotes TNFSF11 transcription (By similarity). Binding to the TNFSF11 promoter region is increased by high levels of Ca(2+) which induce NFATC3 expression and may lead to regulation of TNFSF11 expression in osteoblasts (By similarity). Plays a role in promoting mesenteric arterial wall remodeling in response to the intermittent hypoxia-induced increase in EDN1 and ROCK signaling (By similarity). As a result NFATC3 colocalizes with F-actin filaments, translocates to the nucleus and promotes transcription of the smooth muscle hypertrophy and differentiation marker ACTA2 (By similarity). Promotes lipopolysaccharide-induced apoptosis and hypertrophy in cardiomyocytes (By similarity). Following JAK/STAT signaling activation and as part of a complex with NFATC4 and STAT3, binds to the alpha-beta E4 promoter region of CRYAB and activates transcription in cardiomyocytes (By similarity). In conjunction with NFATC4, involved in embryonic heart development via maintenance of cardiomyocyte survival, proliferation and differentiation (By similarity). Plays a role in the inducible expression of cytokine genes in T-cells, especially in the induction of the IL-2 (PubMed : 18815128). Required for thymocyte maturation during DN3 to DN4 transition and during positive selection (By similarity). Positively regulates macrophage-derived polymicrobial clearance, via binding to the promoter region and promoting transcription of NOS2 resulting in subsequent generation of nitric oxide (By similarity). Involved in Ca(2+)-mediated transcriptional responses upon Ca(2+) influx via ORAI1 CRAC channels.
See full target information NFATC3

Product promise

We are committed to supporting your work with high-quality reagents, and we're here for you every step of the way. In the unlikely event that one of our products does not perform as expected, you're protected by our Product Promise.
For full details, please see our Terms & Conditions

Please note: All products are 'FOR RESEARCH USE ONLY. NOT FOR USE IN DIAGNOSTIC OR THERAPEUTIC PROCEDURES'.

For licensing inquiries, please contact partnerships@abcam.com