JavaScript is disabled in your browser. Please enable JavaScript to view this website.
AB307816

Anti-NFATC4 antibody [EPR24998-73] - BSA and Azide free

Be the first to review this product! Submit a review

|

(0 Publication)

Rabbit Recombinant Monoclonal NFATC4 antibody. Carrier free. Suitable for WB, Flow Cyt (Intra) and reacts with Recombinant fragment - Human, Human samples.

View Alternative Names

NFAT3, NFATC4, NF-ATc4, NFATc4, T-cell transcription factor NFAT3, NF-AT3

3 Images
Flow Cytometry (Intracellular) - Anti-NFATC4 antibody [EPR24998-73] - BSA and Azide free (AB307816)
  • Flow Cyt (Intra)

Supplier Data

Flow Cytometry (Intracellular) - Anti-NFATC4 antibody [EPR24998-73] - BSA and Azide free (AB307816)

This data was developed using ab307815, the same antibody clone in a different buffer formulation. Flow cytometric analysis of 4% paraformaldehyde fixed 90% methanol permeabilized HepG2(human hepatocellular carcinoma epithelial cell, Left ) / A-204(human muscle rhabdomyosarcoma cell, Right) cells labelling NFATC4 with ab307815 at 1/500 dilution (Red) compared with a Rabbit monoclonal IgG (ab172730) (Black) isotype control and an unlabelled control (cells without incubation with primary antibody and secondary antibody) (Blue). A Goat Anti-Rabbit IgG (Alexa Fluor® 488, ab150081) at 1/5000 dilution was used as the secondary antibody. Low expression : HepG2 (Human Protein Atlas Database)

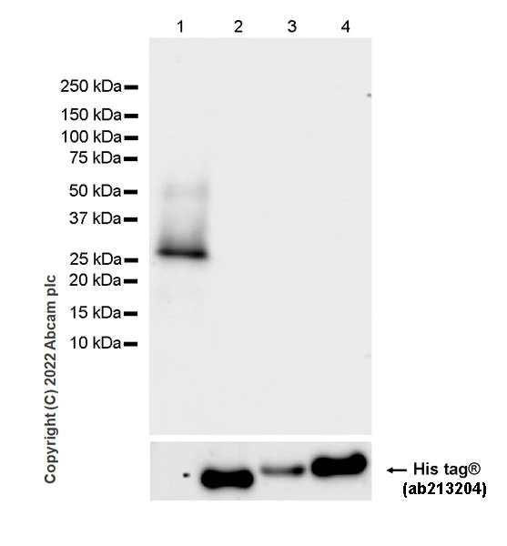
Western blot - Anti-NFATC4 antibody [EPR24998-73] - BSA and Azide free (AB307816)
  • WB

Supplier Data

Western blot - Anti-NFATC4 antibody [EPR24998-73] - BSA and Azide free (AB307816)

This data was developed using 307815, the same antibody clone in a different buffer formulation.  Blocking and diluting buffer and concentration : 5% NFDM/TBST This antibody does not cross-react with human NFATC1, NFATC2, and NFATC3.

All lanes:

Western blot - Anti-NFATC4 antibody [EPR24998-73] (<a href='/en-us/products/primary-antibodies/nfatc4-antibody-epr24998-73-ab307815'>ab307815</a>) at 1/1000 dilution

Lane 1:

Human NFATC4 fragment at 10 ng

Lane 2:

His-tagged human NFATC3 fragment at 10 ng

Lane 3:

His-tagged human NFATC1 fragment at 10 ng

Lane 4:

His-tagged human NFATC2 fragment at 10 ng

Secondary

All lanes:

Western blot - Goat Anti-Rabbit IgG H&L (HRP) (<a href='/en-us/products/secondary-antibodies/goat-rabbit-igg-h-l-hrp-ab97051'>ab97051</a>) at 1/100000 dilution

Observed band size: 30 kDa

false

Exposure time: 7.75s

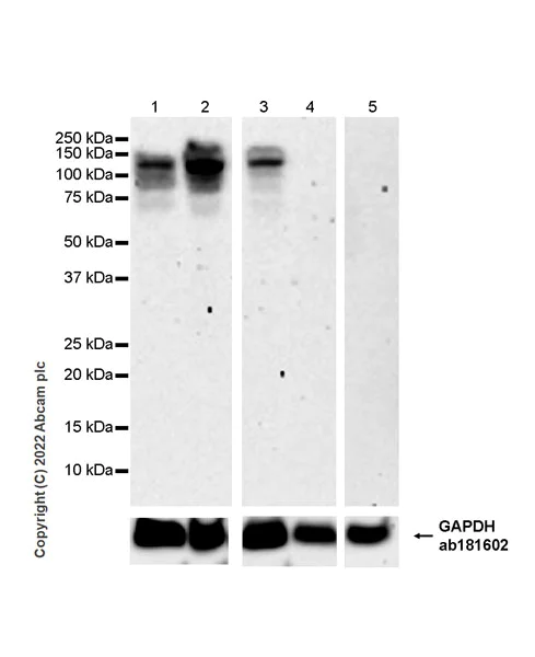
Western blot - Anti-NFATC4 antibody [EPR24998-73] - BSA and Azide free (AB307816)
  • WB

Supplier Data

Western blot - Anti-NFATC4 antibody [EPR24998-73] - BSA and Azide free (AB307816)

This data was developed using 307815, the same antibody clone in a different buffer formulation.  Blocking and diluting buffer and concentration : 5% NFDM/TBST The expression profile/molecular weight observed is consistent with what has been described in the literature (PMID : 35847954; PMID : 17577925; PMID : 34445390).  Low expression : HepG2 (Human Protein Atlas Database), HaCaT (PMID : 27893713)

All lanes:

Western blot - Anti-NFATC4 antibody [EPR24998-73] (<a href='/en-us/products/primary-antibodies/nfatc4-antibody-epr24998-73-ab307815'>ab307815</a>) at 1/1000 dilution

Lane 1:

Untreated A-204 (human muscle rhabdomyosarcoma cell) whole cell lysate at 80 µg

Lane 2:

A-204 treated with 10uM MG-132 for 4h whole cell lysate at 80 µg

Lane 3:

HeLa (human cervical adenocarcinoma epithelial cell) whole cell lysate at 80 µg

Lane 4:

HepG2 (human hepatocellular carcinoma epithelial cell) whole cell lysate at 80 µg

Lane 5:

HaCaT (human skin keratinocyte) whole cell lysate at 80 µg

Secondary

All lanes:

Goat Anti-Rabbit IgG (HRP) with minimal cross-reactivity with human IgG at 1/2000 dilution

Observed band size: 80-150 kDa

false

Exposure time: 180s

Key facts

Host species

Rabbit

Clonality

Monoclonal

Clone number

EPR24998-73

Isotype

IgG

Carrier free

Yes

Reacts with

Human

Applications

Flow Cyt (Intra), WB

applications

Immunogen

The exact immunogen used to generate this antibody is proprietary information.

Reactivity data

{ "title": "Reactivity Data", "filters": { "stats": ["", "Species", "Dilution Info", "Notes"], "tabs": { "all-applications": {"fullname" : "All Applications", "shortname": "All Applications"}, "WB" : {"fullname" : "Western blot", "shortname":"WB"}, "FlowCytIntra" : {"fullname" : "Flow Cytometry (Intracellular)", "shortname":"Flow Cyt (Intra)"}, "IHCP" : {"fullname" : "Immunohistochemistry (Formalin/PFA-fixed paraffin-embedded sections)", "shortname":"IHC-P"}, "ICCIF" : {"fullname" : "Immunocytochemistry/ Immunofluorescence", "shortname":"ICC/IF"}, "IP" : {"fullname" : "Immunoprecipitation", "shortname":"IP"} }, "product-promise": { "all": "all", "testedAndGuaranteed": "tested", "guaranteed": "expected", "predicted": "predicted", "notRecommended": "not-recommended" } }, "values": { "Human": { "WB-species-checked": "testedAndGuaranteed", "WB-species-dilution-info": "", "WB-species-notes": "<p></p>", "FlowCytIntra-species-checked": "testedAndGuaranteed", "FlowCytIntra-species-dilution-info": "", "FlowCytIntra-species-notes": "<p></p>", "IHCP-species-checked": "notRecommended", "IHCP-species-dilution-info": "", "IHCP-species-notes": "<p></p>", "ICCIF-species-checked": "notRecommended", "ICCIF-species-dilution-info": "", "ICCIF-species-notes": "<p></p>", "IP-species-checked": "notRecommended", "IP-species-dilution-info": "", "IP-species-notes": "<p></p>" }, "Mouse": { "WB-species-checked": "notRecommended", "WB-species-dilution-info": "", "WB-species-notes": "<p></p>", "FlowCytIntra-species-checked": "notRecommended", "FlowCytIntra-species-dilution-info": "", "FlowCytIntra-species-notes": "", "IHCP-species-checked": "notRecommended", "IHCP-species-dilution-info": "", "IHCP-species-notes": "<p></p>", "ICCIF-species-checked": "notRecommended", "ICCIF-species-dilution-info": "", "ICCIF-species-notes": "", "IP-species-checked": "notRecommended", "IP-species-dilution-info": "", "IP-species-notes": "<p></p>" }, "Rat": { "WB-species-checked": "notRecommended", "WB-species-dilution-info": "", "WB-species-notes": "<p></p>", "FlowCytIntra-species-checked": "notRecommended", "FlowCytIntra-species-dilution-info": "", "FlowCytIntra-species-notes": "", "IHCP-species-checked": "notRecommended", "IHCP-species-dilution-info": "", "IHCP-species-notes": "<p></p>", "ICCIF-species-checked": "notRecommended", "ICCIF-species-dilution-info": "", "ICCIF-species-notes": "", "IP-species-checked": "notRecommended", "IP-species-dilution-info": "", "IP-species-notes": "" }, "Recombinant fragment - Human": { "WB-species-checked": "testedAndGuaranteed", "WB-species-dilution-info": "", "WB-species-notes": "<p></p>", "FlowCytIntra-species-checked": "notRecommended", "FlowCytIntra-species-dilution-info": "", "FlowCytIntra-species-notes": "", "IHCP-species-checked": "notRecommended", "IHCP-species-dilution-info": "", "IHCP-species-notes": "", "ICCIF-species-checked": "notRecommended", "ICCIF-species-dilution-info": "", "ICCIF-species-notes": "", "IP-species-checked": "notRecommended", "IP-species-dilution-info": "", "IP-species-notes": "" } } }

Product details

Patented technology
Our RabMAb® technology is a patented hybridoma-based technology for making rabbit monoclonal antibodies. For details on our patents, please refer to RabMAb® patents.

What are the advantages of a recombinant monoclonal antibody?
This product is a recombinant monoclonal antibody, which offers several advantages including:

  • - High batch-to-batch consistency and reproducibility
  • - Improved sensitivity and specificity
  • - Long-term security of supply
  • - Animal-free batch production

For more information, read more on recombinant antibodies.

Conjugation ready
Our carrier-free antibodies are typically supplied in a PBS-only formulation, purified and free of BSA, sodium azide and glycerol. This conjugation-ready format is designed for use with fluorochromes, metal isotopes, oligonucleotides, and enzymes, which makes them ideal for antibody labelling, functional and cell-based assays, flow-based assays (e.g. mass cytometry) and Multiplex Imaging applications.

Use our conjugation kits for antibody conjugates that are ready-to-use in as little as 20 minutes with 1 minute hands-on-time and 100% antibody recovery: available for fluorescent dyes, HRP, biotin and gold.

Compatibility
This product is compatible with the Maxpar® Antibody Labeling Kit from Fluidigm, without the need for antibody preparation. Maxpar® is a trademark of Fluidigm Canada Inc.

Properties and storage information

Form
Liquid
Purification technique
Affinity purification Protein A
Storage buffer
pH: 7.2 - 7.4 Constituents: PBS
Shipped at conditions
Blue Ice
Appropriate short-term storage conditions
+4°C
Appropriate long-term storage conditions
+4°C

Product protocols

For this product, it's our understanding that no specific protocols are required. You can visit:

Target data

Ca(2+)-regulated transcription factor that is involved in several processes, including the development and function of the immune, cardiovascular, musculoskeletal, and nervous systems (PubMed : 11514544, PubMed : 11997522, PubMed : 17213202, PubMed : 17875713, PubMed : 18668201, PubMed : 25663301, PubMed : 7749981). Involved in T-cell activation, stimulating the transcription of cytokine genes, including that of IL2 and IL4 (PubMed : 18347059, PubMed : 18668201, PubMed : 7749981). Along with NFATC3, involved in embryonic heart development. Following JAK/STAT signaling activation and as part of a complex with NFATC3 and STAT3, binds to the alpha-beta E4 promoter region of CRYAB and activates transcription in cardiomyocytes (By similarity). Involved in mitochondrial energy metabolism required for cardiac morphogenesis and function (By similarity). Transactivates many genes involved in the cardiovascular system, including AGTR2, NPPB/BNP (in synergy with GATA4), NPPA/ANP/ANF and MYH7/beta-MHC (By similarity). Involved in the regulation of adult hippocampal neurogenesis. Involved in BDNF-driven pro-survival signaling in hippocampal adult-born neurons. Involved in the formation of long-term spatial memory and long-term potentiation (By similarity). In cochlear nucleus neurons, may play a role in deafferentation-induced apoptosis during the developmental critical period, when auditory neurons depend on afferent input for survival (By similarity). Binds to and activates the BACE1/Beta-secretase 1 promoter, hence may regulate the proteolytic processing of the amyloid precursor protein (APP) (PubMed : 25663301). Plays a role in adipocyte differentiation (PubMed : 11997522). May be involved in myoblast differentiation into myotubes (PubMed : 17213202). Binds the consensus DNA sequence 5'-GGAAAAT-3' (Probable). In the presence of CREBBP, activates TNF transcription (PubMed : 11514544). Binds to PPARG gene promoter and regulates its activity (PubMed : 11997522). Binds to PPARG and REG3G gene promoters (By similarity).
See full target information NFATC4

Product promise

We are committed to supporting your work with high-quality reagents, and we're here for you every step of the way. In the unlikely event that one of our products does not perform as expected, you're protected by our Product Promise.
For full details, please see our Terms & Conditions

Please note: All products are 'FOR RESEARCH USE ONLY. NOT FOR USE IN DIAGNOSTIC OR THERAPEUTIC PROCEDURES'.

For licensing inquiries, please contact partnerships@abcam.com