JavaScript is disabled in your browser. Please enable JavaScript to view this website.
AB324108

Anti-NFATC4 antibody [EPR25678-90]

Be the first to review this product! Submit a review

|

(0 Publication)

Rabbit Recombinant Monoclonal NFATC4 antibody. Suitable for WB, IP, Flow Cyt (Intra) and reacts with Recombinant fragment - Human, Human, Mouse samples.

View Alternative Names

NFAT3, NFATC4, NF-ATc4, NFATc4, T-cell transcription factor NFAT3, NF-AT3

7 Images
Flow Cytometry (Intracellular) - Anti-NFATC4 antibody [EPR25678-90] (AB324108)
  • Flow Cyt (Intra)

Supplier Data

Flow Cytometry (Intracellular) - Anti-NFATC4 antibody [EPR25678-90] (AB324108)

Flow cytometric analysis of 4% paraformaldehyde fixed 90% methanol permeabilized HaCaT (human skin keratinocyte, Left) / HeLa (human cervical adenocarcinoma epithelial cell, Right) cells labelling NFATC4 with ab324108 at 1/500 dilution (0.1 ug) (Red) compared with a Rabbit monoclonal IgG (ab172730) (Black) isotype control and an unlabelled control (cells without incubation with primary antibody and secondary antibody).

Goat Anti-Rabbit IgG (Alexa Fluor® 488, ab150081) at 1/5000 dilution was used as the secondary antibody.

Low expression : HaCaT (PMID : 27893713).

Flow Cytometry (Intracellular) - Anti-NFATC4 antibody [EPR25678-90] (AB324108)
  • Flow Cyt (Intra)

Supplier Data

Flow Cytometry (Intracellular) - Anti-NFATC4 antibody [EPR25678-90] (AB324108)

Flow cytometric analysis of 4% paraformaldehyde fixed 90% methanol permeabilized HepG2 (human hepatocellular carcinoma epithelial cell, Left) / A-204 (human muscle rhabdomyosarcoma cell, Right) cells labelling NFATC4 with ab324108 at 1/50 dilution (1ug) (Red) compared with a Rabbit monoclonal IgG (ab172730) (Black) isotype control and an unlabelled control (cells without incubation with primary antibody and secondary antibody).

Goat Anti-Rabbit IgG (Alexa Fluor® 488, ab150081) at 1/5000 dilution was used as the secondary antibody.

Low expression : HepG2.

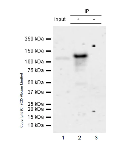
Immunoprecipitation - Anti-NFATC4 antibody [EPR25678-90] (AB324108)
  • IP

Supplier Data

Immunoprecipitation - Anti-NFATC4 antibody [EPR25678-90] (AB324108)

NFATC4 was immunoprecipitated from 0.35 mg HeLa (human cervical adenocarcinoma epithelial cell) whole cell lysate with ab324108 at 1/30 dilution (2ug in 0.35mg lysates). Western blot was performed on the immunoprecipitate using ab324108 at 1/1000 dilution.

Blocking and dilution buffer and concentration : 5% NFDM/TBST

To minimize protein degradation, cells were lysed immediately after harvest and then applied for Immunoprecipitation as soon as possible.

All lanes:

Immunoprecipitation - Anti-NFATC4 antibody [EPR25678-90] (ab324108) at 1/1000 dilution

Lane 1:

HeLa (human cervical adenocarcinoma epithelial cell) whole cell lysate at 10 µg

Lane 2:

ab324108 at 1/30 IP in HeLa (human cervical adenocarcinoma epithelial cell) whole cell lysate

Lane 3:

Rabbit monoclonal IgG (<a href='/en-us/products/primary-antibodies/rabbit-igg-monoclonal-epr25a-isotype-control-ab172730'>ab172730</a>) instead of ab324108 in HUVEC whole cell lysate

Secondary

All lanes:

Immunoprecipitation - VeriBlot for IP Detection Reagent (HRP) (<a href='/en-us/products/reagents/veriblot-for-ip-detection-reagent-hrp-ab131366'>ab131366</a>) at 1/1000 dilution

Observed band size: 80-150 kDa

false

Exposure time: 67s

Flow Cytometry (Intracellular) - Anti-NFATC4 antibody [EPR25678-90] (AB324108)
  • Flow Cyt (Intra)

Supplier Data

Flow Cytometry (Intracellular) - Anti-NFATC4 antibody [EPR25678-90] (AB324108)

Flow cytometric analysis of 4% paraformaldehyde fixed 90% methanol permeabilized NIH/3T3 (mouse embryonic fibroblast) cells labelling NFATC4 with ab324108 at 1/50 dilution (1ug) (Red) compared with a Rabbit monoclonal IgG (ab172730) (Black) isotype control and an unlabelled control (cells without incubation with primary antibody and secondary antibody).

Goat Anti-Rabbit IgG (Alexa Fluor® 488, ab150081) at 1/5000 dilution was used as the secondary antibody.

Western blot - Anti-NFATC4 antibody [EPR25678-90] (AB324108)
  • WB

Supplier Data

Western blot - Anti-NFATC4 antibody [EPR25678-90] (AB324108)

Blocking and diluting buffer and concentration : 5% NFDM/TBST.

The expression profile/molecular weight observed is consistent with what has been described in the literature (PMID : 35847954; PMID : 17577925; PMID : 34445390).

Low expression : HepG2, HaCaT (PMID : 27893713).

To minimize protein degradation, cells/tissues were lysed immediately after harvest and then applied to a gel and transfer membrane for Western blotting as soon as possible.

In Western blot, Anti-GAPDH antibody [EPR16891] - Loading Control (ab181602) staining at 1/200000 dilution.

All lanes:

Western blot - Anti-NFATC4 antibody [EPR25678-90] (ab324108) at 1/1000 dilution

Lane 1:

HeLa (human cervical adenocarcinoma epithelial cell) whole cell lysate (Frozen lysate) at 20 µg

Lane 2:

HeLa (human cervical adenocarcinoma epithelial cell) whole cell lysate (Fresh lysate) at 20 µg

Lane 3:

HepG2 (human hepatocellular carcinoma epithelial cell) whole cell lysate (Frozen lysate) at 20 µg

Lane 4:

HaCaT (human skin keratinocyte) whole cell lysate (Frozen lysate) at 20 µg

Lane 5:

Untreated A-204 (human muscle rhabdomyosarcoma cell) whole cell lysate (Frozen lysate) at 20 µg

Lane 6:

A-204 treated with 10µM MG-132 for 4 hours whole cell lysate (Frozen lysate) at 20 µg

Secondary

All lanes:

Western blot - Goat Anti-Rabbit IgG H&L (HRP) (<a href='/en-us/products/secondary-antibodies/goat-rabbit-igg-h-l-hrp-ab97051'>ab97051</a>) at 1/20000 dilution

Observed band size: 80-150 kDa,36 kDa

false

Exposure time: 180s

Western blot - Anti-NFATC4 antibody [EPR25678-90] (AB324108)
  • WB

Supplier Data

Western blot - Anti-NFATC4 antibody [EPR25678-90] (AB324108)

Blocking and diluting buffer and concentration : 5% NFDM/TBST.

To minimize protein degradation, cells/tissues were lysed immediately after harvest and then applied to a gel and transfer membrane for Western blotting as soon as possible.

All lanes:

Western blot - Anti-NFATC4 antibody [EPR25678-90] (ab324108) at 1/1000 dilution

All lanes:

NIH/3T3 (mouse embryonic fibroblast) whole cell lysate at 20 µg

Secondary

All lanes:

Western blot - Goat Anti-Rabbit IgG H&L (HRP) (<a href='/en-us/products/secondary-antibodies/goat-rabbit-igg-h-l-hrp-ab97051'>ab97051</a>) at 1/20000 dilution

Observed band size: 80-150 kDa

false

Exposure time: 180s

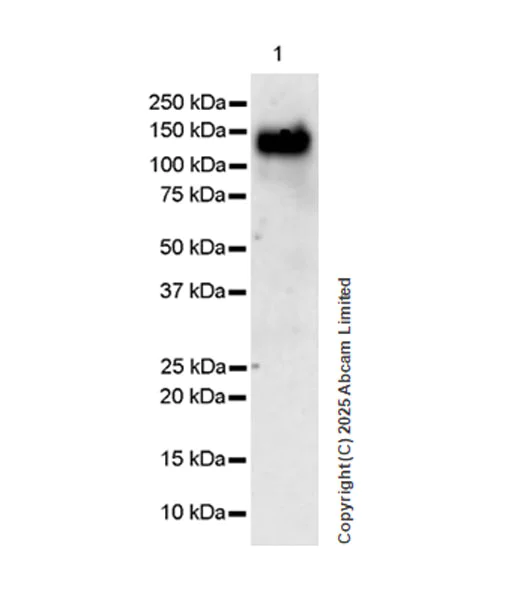
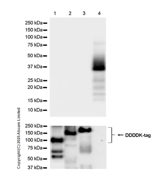
Western blot - Anti-NFATC4 antibody [EPR25678-90] (AB324108)
  • WB

Supplier Data

Western blot - Anti-NFATC4 antibody [EPR25678-90] (AB324108)

Blocking and diluting buffer and concentration : 5% NFDM/TBST.

This antibody does not cross-react with recombinant human NFATC1, NFATC2 or NFATC3 by western blot.

In Western blot, Anti-DDDDK-tag antibody - staining at 1/5000 dilution.

All lanes:

Western blot - Anti-NFATC4 antibody [EPR25678-90] (ab324108) at 1/1000 dilution

Lane 1:

DDDDK-tagged human NFATC1 recombinant protein at 10 ng

Lane 2:

DDDDK-tagged human NFATC2 recombinant protein  at 10 ng

Lane 3:

DDDDK-tagged human NFATC3 recombinant protein  at 10 ng

Lane 4:

Human NFATC4 fragment at 10 ng

Secondary

All lanes:

Western blot - Goat Anti-Rabbit IgG H&L (HRP) (<a href='/en-us/products/secondary-antibodies/goat-rabbit-igg-h-l-hrp-ab97051'>ab97051</a>) at 1/20000 dilution

Observed band size: 80-150 kDa,78 kDa,100 kDa,115 kDa

false

Exposure time: 180s

Key facts

Host species

Rabbit

Clonality

Monoclonal

Clone number

EPR25678-90

Isotype

IgG

Carrier free

No

Reacts with

Human, Mouse

Applications

IP, Flow Cyt (Intra), WB

applications

Immunogen

The exact immunogen used to generate this antibody is proprietary information.

Specificity

Unsuitable for mouse IP.

Reactivity data

{ "title": "Reactivity Data", "filters": { "stats": ["", "Species", "Dilution Info", "Notes"], "tabs": { "all-applications": {"fullname" : "All Applications", "shortname": "All Applications"}, "WB" : {"fullname" : "Western blot", "shortname":"WB"}, "IP" : {"fullname" : "Immunoprecipitation", "shortname":"IP"}, "FlowCytIntra" : {"fullname" : "Flow Cytometry (Intracellular)", "shortname":"Flow Cyt (Intra)"}, "ICCIF" : {"fullname" : "Immunocytochemistry/ Immunofluorescence", "shortname":"ICC/IF"} }, "product-promise": { "all": "all", "testedAndGuaranteed": "tested", "guaranteed": "expected", "predicted": "predicted", "notRecommended": "not-recommended" } }, "values": { "Human": { "WB-species-checked": "testedAndGuaranteed", "WB-species-dilution-info": "1/1000", "WB-species-notes": "<p></p>", "IP-species-checked": "testedAndGuaranteed", "IP-species-dilution-info": "1/30", "IP-species-notes": "<p></p>", "FlowCytIntra-species-checked": "testedAndGuaranteed", "FlowCytIntra-species-dilution-info": "1/50 - 1/500", "FlowCytIntra-species-notes": "<p></p>", "ICCIF-species-checked": "notRecommended", "ICCIF-species-dilution-info": "", "ICCIF-species-notes": "<p></p>" }, "Mouse": { "WB-species-checked": "testedAndGuaranteed", "WB-species-dilution-info": "1/1000", "WB-species-notes": "<p></p>", "IP-species-checked": "notRecommended", "IP-species-dilution-info": "", "IP-species-notes": "<p></p>", "FlowCytIntra-species-checked": "testedAndGuaranteed", "FlowCytIntra-species-dilution-info": "1/50", "FlowCytIntra-species-notes": "<p></p>", "ICCIF-species-checked": "notRecommended", "ICCIF-species-dilution-info": "", "ICCIF-species-notes": "<p></p>" }, "Recombinant fragment - Human": { "WB-species-checked": "testedAndGuaranteed", "WB-species-dilution-info": "1/1000", "WB-species-notes": "<p></p>", "IP-species-checked": "notRecommended", "IP-species-dilution-info": "", "IP-species-notes": "", "FlowCytIntra-species-checked": "notRecommended", "FlowCytIntra-species-dilution-info": "", "FlowCytIntra-species-notes": "", "ICCIF-species-checked": "notRecommended", "ICCIF-species-dilution-info": "", "ICCIF-species-notes": "" } } }

Product details

Patented technology
Our RabMAb® technology is a patented hybridoma-based technology for making rabbit monoclonal antibodies. For details on our patents, please refer to RabMAb® patents.

What are the advantages of a recombinant monoclonal antibody?
This product is a recombinant monoclonal antibody, which offers several advantages including:

  • - High batch-to-batch consistency and reproducibility
  • - Improved sensitivity and specificity
  • - Long-term security of supply
  • - Animal-free batch production

For more information, read more on recombinant antibodies.

Properties and storage information

Form
Liquid
Purification technique
Affinity purification Protein A
Storage buffer
pH: 7.2 - 7.4 Preservative: 0.01% Sodium azide Constituents: PBS, 40% Glycerol (glycerin, glycerine), 0.05% BSA
Shipped at conditions
Blue Ice
Appropriate short-term storage duration
1-2 weeks
Appropriate short-term storage conditions
+4°C
Appropriate long-term storage conditions
-20°C
Aliquoting information
Upon delivery aliquot
Storage information
Avoid freeze / thaw cycle

Product protocols

For this product, it's our understanding that no specific protocols are required. You can visit:

Target data

Ca(2+)-regulated transcription factor that is involved in several processes, including the development and function of the immune, cardiovascular, musculoskeletal, and nervous systems (PubMed : 11514544, PubMed : 11997522, PubMed : 17213202, PubMed : 17875713, PubMed : 18668201, PubMed : 25663301, PubMed : 7749981). Involved in T-cell activation, stimulating the transcription of cytokine genes, including that of IL2 and IL4 (PubMed : 18347059, PubMed : 18668201, PubMed : 7749981). Along with NFATC3, involved in embryonic heart development. Following JAK/STAT signaling activation and as part of a complex with NFATC3 and STAT3, binds to the alpha-beta E4 promoter region of CRYAB and activates transcription in cardiomyocytes (By similarity). Involved in mitochondrial energy metabolism required for cardiac morphogenesis and function (By similarity). Transactivates many genes involved in the cardiovascular system, including AGTR2, NPPB/BNP (in synergy with GATA4), NPPA/ANP/ANF and MYH7/beta-MHC (By similarity). Involved in the regulation of adult hippocampal neurogenesis. Involved in BDNF-driven pro-survival signaling in hippocampal adult-born neurons. Involved in the formation of long-term spatial memory and long-term potentiation (By similarity). In cochlear nucleus neurons, may play a role in deafferentation-induced apoptosis during the developmental critical period, when auditory neurons depend on afferent input for survival (By similarity). Binds to and activates the BACE1/Beta-secretase 1 promoter, hence may regulate the proteolytic processing of the amyloid precursor protein (APP) (PubMed : 25663301). Plays a role in adipocyte differentiation (PubMed : 11997522). May be involved in myoblast differentiation into myotubes (PubMed : 17213202). Binds the consensus DNA sequence 5'-GGAAAAT-3' (Probable). In the presence of CREBBP, activates TNF transcription (PubMed : 11514544). Binds to PPARG gene promoter and regulates its activity (PubMed : 11997522). Binds to PPARG and REG3G gene promoters (By similarity).
See full target information NFATC4

Product promise

We are committed to supporting your work with high-quality reagents, and we're here for you every step of the way. In the unlikely event that one of our products does not perform as expected, you're protected by our Product Promise.
For full details, please see our Terms & Conditions

Please note: All products are 'FOR RESEARCH USE ONLY. NOT FOR USE IN DIAGNOSTIC OR THERAPEUTIC PROCEDURES'.

For licensing inquiries, please contact partnerships@abcam.com