JavaScript is disabled in your browser. Please enable JavaScript to view this website.
AB238154

Anti-NFE2L1 antibody

Be the first to review this product! Submit a review

|

(3 Publications)

Rabbit Polyclonal NFE2L1 antibody. Suitable for ICC, IHC-P and reacts with Human samples. Cited in 3 publications. Immunogen corresponding to Recombinant Fragment Protein within Human NFE2L1 aa 250-550.

View Alternative Names

HBZ17, NRF1, TCF11, NFE2L1, Endoplasmic reticulum membrane sensor NFE2L1, Locus control region-factor 1, Nuclear factor erythroid 2-related factor 1, Transcription factor 11, LCR-F1, NF-E2-related factor 1, NFE2-related factor 1, TCF-11

3 Images
Immunohistochemistry (Formalin/PFA-fixed paraffin-embedded sections) - Anti-NFE2L1 antibody (AB238154)
  • IHC-P

Supplier Data

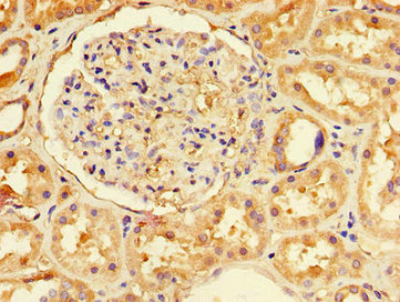
Immunohistochemistry (Formalin/PFA-fixed paraffin-embedded sections) - Anti-NFE2L1 antibody (AB238154)

Paraffin-embedded human renal tissue stained for NFE2L1 with ab238154 at a 1/100 dilution in immunohistochemical analysis.

Immunocytochemistry - Anti-NFE2L1 antibody (AB238154)
  • ICC

Supplier Data

Immunocytochemistry - Anti-NFE2L1 antibody (AB238154)

HepG2 (Human liver hepatocellular carcinoma cell line) cells stained for NFE2L1 using ab238154 at a dilution of 1/100 in ICC/IF. Secondary used is an Alexa-Fluor®488-conjugated Goat Anti-Rabbit IgG (H+L).

Immunohistochemistry (Formalin/PFA-fixed paraffin-embedded sections) - Anti-NFE2L1 antibody (AB238154)
  • IHC-P

Supplier Data

Immunohistochemistry (Formalin/PFA-fixed paraffin-embedded sections) - Anti-NFE2L1 antibody (AB238154)

Paraffin-embedded human tonsil tissue stained for NFE2L1 with ab238154 at a 1/100 dilution in immunohistochemical analysis.

Key facts

Host species

Rabbit

Clonality

Polyclonal

Isotype

IgG

Carrier free

No

Reacts with

Human

Applications

IHC-P, ICC

applications

Immunogen

Recombinant Fragment Protein within Human NFE2L1 aa 250-550. The exact immunogen used to generate this antibody is proprietary information.

Q14494

Reactivity data

{ "title": "Reactivity Data", "filters": { "stats": ["", "Species", "Dilution Info", "Notes"], "tabs": { "all-applications": {"fullname" : "All Applications", "shortname": "All Applications"}, "ICC" : {"fullname" : "Immunocytochemistry", "shortname":"ICC"}, "IHCP" : {"fullname" : "Immunohistochemistry (Formalin/PFA-fixed paraffin-embedded sections)", "shortname":"IHC-P"} }, "product-promise": { "all": "all", "testedAndGuaranteed": "tested", "guaranteed": "expected", "predicted": "predicted", "notRecommended": "not-recommended" } }, "values": { "Human": { "ICC-species-checked": "testedAndGuaranteed", "ICC-species-dilution-info": "", "ICC-species-notes": "<p></p>", "IHCP-species-checked": "testedAndGuaranteed", "IHCP-species-dilution-info": "1/20 - 1/200", "IHCP-species-notes": "<p></p>" } } }

Properties and storage information

Form
Liquid
Purification technique
Affinity purification Protein G
Purification notes
Purity >95%
Storage buffer
pH: 7.4 Preservative: 0.03% Proclin 300 Constituents: PBS, 50% Glycerol (glycerin, glycerine)
Shipped at conditions
Blue Ice
Appropriate short-term storage duration
1-2 weeks
Appropriate short-term storage conditions
+4°C
Appropriate long-term storage conditions
-20°C
Aliquoting information
Upon delivery aliquot
Storage information
Avoid freeze / thaw cycle

Product protocols

For this product, it's our understanding that no specific protocols are required. You can visit:

Target data

Endoplasmic reticulum membrane sensor NFE2L1. Endoplasmic reticulum membrane sensor that translocates into the nucleus in response to various stresses to act as a transcription factor (PubMed : 20932482, PubMed : 24448410). Constitutes a precursor of the transcription factor NRF1 (By similarity). Able to detect various cellular stresses, such as cholesterol excess, oxidative stress or proteasome inhibition (PubMed : 20932482). In response to stress, it is released from the endoplasmic reticulum membrane following cleavage by the protease DDI2 and translocates into the nucleus to form the transcription factor NRF1 (By similarity). Acts as a key sensor of cholesterol excess : in excess cholesterol conditions, the endoplasmic reticulum membrane form of the protein directly binds cholesterol via its CRAC motif, preventing cleavage and release of the transcription factor NRF1, thereby allowing expression of genes promoting cholesterol removal, such as CD36 (By similarity). Involved in proteasome homeostasis : in response to proteasome inhibition, it is released from the endoplasmic reticulum membrane, translocates to the nucleus and activates expression of genes encoding proteasome subunits (PubMed : 20932482).. Transcription factor NRF1. CNC-type bZIP family transcription factor that translocates to the nucleus and regulates expression of target genes in response to various stresses (PubMed : 8932385, PubMed : 9421508). Heterodimerizes with small-Maf proteins (MAFF, MAFG or MAFK) and binds DNA motifs including the antioxidant response elements (AREs), which regulate expression of genes involved in oxidative stress response (PubMed : 8932385, PubMed : 9421508). Activates or represses expression of target genes, depending on the context (PubMed : 8932385, PubMed : 9421508). Plays a key role in cholesterol homeostasis by acting as a sensor of cholesterol excess : in low cholesterol conditions, translocates into the nucleus and represses expression of genes involved in defense against cholesterol excess, such as CD36 (By similarity). In excess cholesterol conditions, the endoplasmic reticulum membrane form of the protein directly binds cholesterol via its CRAC motif, preventing cleavage and release of the transcription factor NRF1, thereby allowing expression of genes promoting cholesterol removal (By similarity). Critical for redox balance in response to oxidative stress : acts by binding the AREs motifs on promoters and mediating activation of oxidative stress response genes, such as GCLC, GCLM, GSS, MT1 and MT2 (By similarity). Plays an essential role during fetal liver hematopoiesis : probably has a protective function against oxidative stress and is involved in lipid homeostasis in the liver (By similarity). Involved in proteasome homeostasis : in response to proteasome inhibition, mediates the 'bounce-back' of proteasome subunits by translocating into the nucleus and activating expression of genes encoding proteasome subunits (PubMed : 20932482). Also involved in regulating glucose flux (By similarity). Together with CEBPB; represses expression of DSPP during odontoblast differentiation (PubMed : 15308669). In response to ascorbic acid induction, activates expression of SP7/Osterix in osteoblasts.
See full target information NFE2L1

Publications (3)

Recent publications for all applications. Explore the full list and refine your search

Cancer medicine 13:e7021 PubMed38562019

2024

Metformin suppresses NFE2L1 pathway activation to inhibit gap junction beta protein expression in NSCLC.

Applications

Unspecified application

Species

Unspecified reactive species

Shuo Yu,Hui Ren,Tingting Liu,Xiaoyan Han,Hui Guo,Qian Ning,Yang Li,Hong Zhou,Mingwei Chen,Tinghua Hu

Brain sciences 13: PubMed37891828

2023

Transcriptomic Characterization of Copper-Binding Proteins for Predicting Prognosis in Glioma.

Applications

Unspecified application

Species

Unspecified reactive species

Hao-Long Zeng,Huijun Li,Qing Yang,Chao-Xi Li

Nature communications 12:5270 PubMed34489413

2021

Nrf1 promotes heart regeneration and repair by regulating proteostasis and redox balance.

Applications

Unspecified application

Species

Unspecified reactive species

Miao Cui,Ayhan Atmanli,Maria Gabriela Morales,Wei Tan,Kenian Chen,Xue Xiao,Lin Xu,Ning Liu,Rhonda Bassel-Duby,Eric N Olson
View all publications

Product promise

We are committed to supporting your work with high-quality reagents, and we're here for you every step of the way. In the unlikely event that one of our products does not perform as expected, you're protected by our Product Promise.
For full details, please see our Terms & Conditions

Please note: All products are 'FOR RESEARCH USE ONLY. NOT FOR USE IN DIAGNOSTIC OR THERAPEUTIC PROCEDURES'.

For licensing inquiries, please contact partnerships@abcam.com