JavaScript is disabled in your browser. Please enable JavaScript to view this website.
AB200829

Anti-NFIB / NF1B2 + NFIC/CTF antibody [EPR14504]

Be the first to review this product! Submit a review

|

(2 Publications)

Rabbit Recombinant Monoclonal NFIC/CTF antibody. Suitable for IP, WB, ICC/IF, Flow Cyt (Intra), IHC-P and reacts with Human, Mouse, Rat samples. Cited in 2 publications.

View Alternative Names

NFI, NFIC, Nuclear factor 1 C-type, NF1-C, Nuclear factor 1/C, CCAAT-box-binding transcription factor, Nuclear factor I/C, TGGCA-binding protein, CTF, NF-I/C, NFI-C

9 Images
Immunocytochemistry/ Immunofluorescence - Anti-NFIB / NF1B2 + NFIC/CTF antibody [EPR14504] (AB200829)
  • ICC/IF

Supplier Data

Immunocytochemistry/ Immunofluorescence - Anti-NFIB / NF1B2 + NFIC/CTF antibody [EPR14504] (AB200829)

Immunofluorescent analysis of 4% paraformaldehyde-fixed 0.1% Triton X-100 permeabilized HeLa (Human epithelial cells from cervix adenocarcinoma) cells labeling NFIB / NF1B2 + NFIC with ab200829 at 1/1000 dilution followed by Goat anti-rabbit IgG (Alexa Fluor® 488) (ab150077) secondary antibody at 1/500 dilution (green). Nuclear staining on HeLa cell line is observed. The nuclear counterstain is DAPI (blue). Tubulin is detected with ab7291 (anti-Tubulin mouse mAb) at 1/1000 dilution and ab150120 (AlexaFluor®594 Goat anti-Mouse secondary) at 1/500 dilution (red).
The negative controls are as follows : -
-ve control 1 : ab200829 at 1/1000 dilution followed by ab150120 (AlexaFluor®594 Goat anti-Mouse secondary) at 1/500 dilution.
-ve control 2 : ab7291 (anti-Tubulin mouse mAb) at 1/1000 dilution followed by ab150077 (Alexa Fluor®488 Goat Anti-Rabbit IgG H&L) at 1/500 dilution.

Immunohistochemistry (Formalin/PFA-fixed paraffin-embedded sections) - Anti-NFIB / NF1B2 + NFIC/CTF antibody [EPR14504] (AB200829)
  • IHC-P

Supplier Data

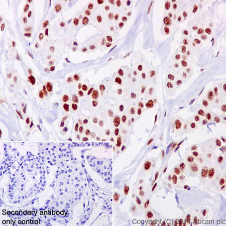
Immunohistochemistry (Formalin/PFA-fixed paraffin-embedded sections) - Anti-NFIB / NF1B2 + NFIC/CTF antibody [EPR14504] (AB200829)

Immunohistochemical analysis of paraffin-embedded human cervix carcinoma tissue labeling NFIB / NF1B2 + NFIC with ab200829 at 1/1000 dilution followed by Goat Anti-Rabbit IgG H&L (HRP) (ab97051) at 1/500 dilution. Nuclear staining on Human cervix carcinoma tissue is observed. Counter stained with Hematoxylin.

Secondary antibody only control : Used PBS instead of primary antibody secondary antibody is Goat Anti-Rabbit IgG H&L (HRP) (ab97051) at 1/500 dilution.

Perform heat mediated antigen retrieval with Tris/EDTA buffer pH 9.0 before commencing with IHC staining protocol.

Flow Cytometry (Intracellular) - Anti-NFIB / NF1B2 + NFIC/CTF antibody [EPR14504] (AB200829)
  • Flow Cyt (Intra)

Supplier Data

Flow Cytometry (Intracellular) - Anti-NFIB / NF1B2 + NFIC/CTF antibody [EPR14504] (AB200829)

Intracellular flow cytometric analysis of 2% paraformaldehyde-fixed HeLa (Human epithelial cells from cervix adenocarcinoma)cells labeling NFIB / NF1B2 + NFICwith ab200829 at 1/200 dilution (red) compared with a rabbit monoclonal IgG isotype control (ab172730; black) and an unlabelled control (cells without incubation with primary antibody and secondary antibody; blue). Goat anti rabbit IgG (FITC) at 1/150 dilution was used as the secondary antibody.

Immunohistochemistry (Formalin/PFA-fixed paraffin-embedded sections) - Anti-NFIB / NF1B2 + NFIC/CTF antibody [EPR14504] (AB200829)
  • IHC-P

Supplier Data

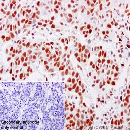
Immunohistochemistry (Formalin/PFA-fixed paraffin-embedded sections) - Anti-NFIB / NF1B2 + NFIC/CTF antibody [EPR14504] (AB200829)

Immunohistochemical analysis of paraffin-embedded Human breast carcinoma tissue labeling NFIB / NF1B2 + NFIC with ab200829 at 1/1000 dilution followed by Goat Anti-Rabbit IgG H&L (HRP) (ab97051) at 1/500 dilution. Nuclear staining on Human breast carcinoma tissue is observed. Counter stained with Hematoxylin.

Secondary antibody only control : Used PBS instead of primary antibody secondary antibody is Goat Anti-Rabbit IgG H&L (HRP) (ab97051) at 1/500 dilution.

Perform heat mediated antigen retrieval with Tris/EDTA buffer pH 9.0 before commencing with IHC staining protocol.

Immunoprecipitation - Anti-NFIB / NF1B2 + NFIC/CTF antibody [EPR14504] (AB200829)
  • IP

Supplier Data

Immunoprecipitation - Anti-NFIB / NF1B2 + NFIC/CTF antibody [EPR14504] (AB200829)

NFIB/NF1B2 + NFIC was immunoprecipitated from 1mg of HeLa (Human epithelial cells from cervix adenocarcinoma) whole cell lysate with ab200829 at 1/70 dilution. Western blot was performed from the immunoprecipitate using ab200829 at 1/5000 dilution. Anti-Rabbit IgG (HRP), specific to the non-reduced form of IgG, was used as secondary antibody at 1/1500 dilution.

Lane 1 : HeLa whole cell lysate, 10 μg (Input).

Lane 2 : ab200829 IP in HeLa whole cell lysate.

Lane 3 : Rabbit monoclonal IgG (ab172730) instead of ab200829 in HeLa whole cell lysate.
Blocking and dilution buffer and concentration : 5% NFDM/TBST.

Exposure time : 10 seconds.

All lanes:

Immunoprecipitation - Anti-NFIB / NF1B2 + NFIC/CTF antibody [EPR14504] (ab200829)

Observed band size: 45-65 kDa

false

Immunohistochemistry (Formalin/PFA-fixed paraffin-embedded sections) - Anti-NFIB / NF1B2 + NFIC/CTF antibody [EPR14504] (AB200829)
  • IHC-P

Supplier Data

Immunohistochemistry (Formalin/PFA-fixed paraffin-embedded sections) - Anti-NFIB / NF1B2 + NFIC/CTF antibody [EPR14504] (AB200829)

Immunohistochemical analysis of paraffin-embedded Mouse cardiac muscle tissue labeling NFIB / NF1B2 + NFIC with ab200829 at 1/1000 dilution followed by Goat Anti-Rabbit IgG H&L (HRP) (ab97051) at 1/500 dilution. Nuclear staining on mouse cardiac muscle tissue is observed. Counter stained with Hematoxylin.

Secondary antibody only control : Used PBS instead of primary antibody secondary antibody is Goat Anti-Rabbit IgG H&L (HRP) (ab97051) at 1/500 dilution.

Perform heat mediated antigen retrieval with Tris/EDTA buffer pH 9.0 before commencing with IHC staining protocol.

Western blot - Anti-NFIB / NF1B2 + NFIC/CTF antibody [EPR14504] (AB200829)
  • WB

Supplier Data

Western blot - Anti-NFIB / NF1B2 + NFIC/CTF antibody [EPR14504] (AB200829)

Blocking/Dilution buffer : 5% NFDM /TBST

Based on the sequence analysis, ab200829 recognizes six isoforms within human with predicted Mw's of 56KDa, 55KDa, 48KDa, 45KDa, 48KDa and 49KDa, respectively.

All lanes:

Western blot - Anti-NFIB / NF1B2 + NFIC/CTF antibody [EPR14504] (ab200829) at 1/10000 dilution

All lanes:

HepG2 (Human liver hepatocellular carcinoma cell line) cell lysate at 20 µg

Secondary

All lanes:

Goat Anti-Rabbit IgG, (H+L), Peroxidase conjugated at 1/1000 dilution

Predicted band size: 47 kDa,56 kDa

Observed band size: 45-65 kDa

false

Exposure time: 3min

Western blot - Anti-NFIB / NF1B2 + NFIC/CTF antibody [EPR14504] (AB200829)
  • WB

Supplier Data

Western blot - Anti-NFIB / NF1B2 + NFIC/CTF antibody [EPR14504] (AB200829)

Blocking/Dilution buffer : 5% NFDM/TBST.

Based on the sequence analysis, ab200829 recognizes six isoforms within human with predicted Mw's of 56KDa, 55KDa, 48KDa, 45KDa, 48KDa and 49KDa, respectively.

All lanes:

Western blot - Anti-NFIB / NF1B2 + NFIC/CTF antibody [EPR14504] (ab200829) at 1/10000 dilution

Lane 1:

HeLa (Human epithelial cells from cervix adenocarcinoma) whole cell lysate at 20 µg

Lane 2:

MCF7 (Human breast adenocarcinoma cell line) whole cell lysate at 20 µg

Secondary

All lanes:

Goat Anti-Rabbit IgG, (H+L), Peroxidase conjugated at 1/1000 dilution

Predicted band size: 47 kDa,56 kDa

Observed band size: 45-65 kDa

false

Exposure time: 30s

Western blot - Anti-NFIB / NF1B2 + NFIC/CTF antibody [EPR14504] (AB200829)
  • WB

Supplier Data

Western blot - Anti-NFIB / NF1B2 + NFIC/CTF antibody [EPR14504] (AB200829)

Blocking/Dilution buffer : 5% NFDM/TBST.

Based on the sequence analysis, ab200829 recognizes six isoforms within human with predicted Mw's of 56KDa, 55KDa, 48KDa, 45KDa, 48KDa and 49KDa, respectively.

All lanes:

Western blot - Anti-NFIB / NF1B2 + NFIC/CTF antibody [EPR14504] (ab200829) at 1/2000 dilution

Lane 1:

Mouse heart lysate at 10 µg

Lane 2:

Mouse kidney lysate at 10 µg

Lane 3:

Mouse spleen lysate at 10 µg

Lane 4:

Rat brain lysate at 10 µg

Lane 5:

Rat heart lysate at 10 µg

Lane 6:

Rat spleen lysate at 10 µg

Lane 7:

C6 (Rat glial tumor cells) whole cell lysate at 10 µg

Lane 8:

RAW 264.7(Mouse macrophage cells transformed with Abelson murine leukemia virus) whole cell lysate at 10 µg

Lane 9:

PC-12 (Rat adrenal gland pheochromocytoma) whole cell lysate at 10 µg

Lane 10:

NIH/3T3 (Mouse embyro fibroblast cells) whole cell lysate at 10 µg

Secondary

All lanes:

Goat Anti-Rabbit IgG, (H+L), Peroxidase conjugated at 1/1000 dilution

Predicted band size: 47 kDa,56 kDa

Observed band size: 45-65 kDa

false

Exposure time: 1min

  • Carrier free

    Anti-NFIB / NF1B2 + NFIC/CTF antibody [EPR14504] - BSA and Azide free

Key facts

Host species

Rabbit

Clonality

Monoclonal

Clone number

EPR14504

Isotype

IgG

Carrier free

No

Reacts with

Mouse, Rat, Human

Applications

WB, IP, ICC/IF, IHC-P, Flow Cyt (Intra)

applications

Immunogen

The exact immunogen used to generate this antibody is proprietary information.

Reactivity data

{ "title": "Reactivity Data", "filters": { "stats": ["", "Species", "Dilution Info", "Notes"], "tabs": { "all-applications": {"fullname" : "All Applications", "shortname": "All Applications"}, "IP" : {"fullname" : "Immunoprecipitation", "shortname":"IP"}, "WB" : {"fullname" : "Western blot", "shortname":"WB"}, "ICCIF" : {"fullname" : "Immunocytochemistry/ Immunofluorescence", "shortname":"ICC/IF"}, "FlowCytIntra" : {"fullname" : "Flow Cytometry (Intracellular)", "shortname":"Flow Cyt (Intra)"}, "IHCP" : {"fullname" : "Immunohistochemistry (Formalin/PFA-fixed paraffin-embedded sections)", "shortname":"IHC-P"} }, "product-promise": { "all": "all", "testedAndGuaranteed": "tested", "guaranteed": "expected", "predicted": "predicted", "notRecommended": "not-recommended" } }, "values": { "Human": { "IP-species-checked": "testedAndGuaranteed", "IP-species-dilution-info": "1/70", "IP-species-notes": "<p></p>", "WB-species-checked": "testedAndGuaranteed", "WB-species-dilution-info": "1/2000", "WB-species-notes": "<p></p>", "ICCIF-species-checked": "testedAndGuaranteed", "ICCIF-species-dilution-info": "1/1000", "ICCIF-species-notes": "<p></p>", "FlowCytIntra-species-checked": "testedAndGuaranteed", "FlowCytIntra-species-dilution-info": "1/200", "FlowCytIntra-species-notes": "<p></p>", "IHCP-species-checked": "testedAndGuaranteed", "IHCP-species-dilution-info": "1/500", "IHCP-species-notes": "<p></p>" }, "Mouse": { "IP-species-checked": "guaranteed", "IP-species-dilution-info": "", "IP-species-notes": "", "WB-species-checked": "testedAndGuaranteed", "WB-species-dilution-info": "1/2000", "WB-species-notes": "<p></p>", "ICCIF-species-checked": "guaranteed", "ICCIF-species-dilution-info": "", "ICCIF-species-notes": "", "FlowCytIntra-species-checked": "guaranteed", "FlowCytIntra-species-dilution-info": "", "FlowCytIntra-species-notes": "", "IHCP-species-checked": "testedAndGuaranteed", "IHCP-species-dilution-info": "1/500", "IHCP-species-notes": "<p></p>" }, "Rat": { "IP-species-checked": "guaranteed", "IP-species-dilution-info": "", "IP-species-notes": "", "WB-species-checked": "testedAndGuaranteed", "WB-species-dilution-info": "1/2000", "WB-species-notes": "<p></p>", "ICCIF-species-checked": "guaranteed", "ICCIF-species-dilution-info": "", "ICCIF-species-notes": "", "FlowCytIntra-species-checked": "guaranteed", "FlowCytIntra-species-dilution-info": "", "FlowCytIntra-species-notes": "", "IHCP-species-checked": "guaranteed", "IHCP-species-dilution-info": "", "IHCP-species-notes": "" } } }

Product details

Patented technology
Our RabMAb® technology is a patented hybridoma-based technology for making rabbit monoclonal antibodies. For details on our patents, please refer to RabMAb® patents.

What are the advantages of a recombinant monoclonal antibody?
This product is a recombinant monoclonal antibody, which offers several advantages including:

  • - High batch-to-batch consistency and reproducibility
  • - Improved sensitivity and specificity
  • - Long-term security of supply
  • - Animal-free batch production

For more information, read more on recombinant antibodies.

Properties and storage information

Form
Liquid
Purification technique
Affinity purification Protein A
Storage buffer
pH: 7.2 - 7.4 Preservative: 0.01% Sodium azide Constituents: PBS, 40% Glycerol (glycerin, glycerine), 0.05% BSA
Shipped at conditions
Blue Ice
Appropriate short-term storage duration
1-2 weeks
Appropriate short-term storage conditions
+4°C
Appropriate long-term storage conditions
-20°C
Aliquoting information
Upon delivery aliquot
Storage information
Avoid freeze / thaw cycle

Product protocols

For this product, it's our understanding that no specific protocols are required. You can visit:

Target data

Recognizes and binds the palindromic sequence 5'-TTGGCNNNNNGCCAA-3' present in viral and cellular promoters and in the origin of replication of adenovirus type 2. These proteins are individually capable of activating transcription and replication.
See full target information NFIC

Additional targets

NFIB

Publications (2)

Recent publications for all applications. Explore the full list and refine your search

Communications biology 8:93 PubMed39833358

2025

Human epididymis protein 4-annexin II binding promotes aberrant epithelial-fibroblast crosstalk in pulmonary fibrosis.

Applications

Unspecified application

Species

Unspecified reactive species

Weishuai Zheng,Menglin Zou,Xingxing Hu,Han Gao,Weiwei Song,Qinhui Hou,Yuan Liu,Zhenshun Cheng

Cell cycle (Georgetown, Tex.) 21:63-73 PubMed34985387

2022

Transcription factor NFIC functions as a tumor suppressor in lung squamous cell carcinoma progression by modulating lncRNA CASC2.

Applications

Unspecified application

Species

Unspecified reactive species

Hong Zhang,Zhilin Luo,JianMing Tang,Jie Tian,Yajie Xiao,Chao Sun,Tianhu Wang
View all publications

Product promise

We are committed to supporting your work with high-quality reagents, and we're here for you every step of the way. In the unlikely event that one of our products does not perform as expected, you're protected by our Product Promise.
For full details, please see our Terms & Conditions

Please note: All products are 'FOR RESEARCH USE ONLY. NOT FOR USE IN DIAGNOSTIC OR THERAPEUTIC PROCEDURES'.

For licensing inquiries, please contact partnerships@abcam.com