JavaScript is disabled in your browser. Please enable JavaScript to view this website.
AB251321

Anti-NFIB / NF1B2 + NFIC/CTF antibody [EPR14504] - BSA and Azide free

Be the first to review this product! Submit a review

|

(1 Publication)

Rabbit Recombinant Monoclonal NFIB / NF1B2 antibody. Carrier free. Suitable for IP, WB, ICC/IF, Flow Cyt (Intra), IHC-P and reacts with Human, Mouse, Rat samples. Cited in 1 publication.

View Alternative Names

Nuclear factor 1 B-type, NF1-B, Nuclear factor 1/B, CCAAT-box-binding transcription factor, Nuclear factor I/B, TGGCA-binding protein, CTF, NF-I/B, NFI-B, NFIB

9 Images
Immunohistochemistry (Formalin/PFA-fixed paraffin-embedded sections) - Anti-NFIB / NF1B2 + NFIC/CTF antibody [EPR14504] - BSA and Azide free (AB251321)
  • IHC-P

Supplier Data

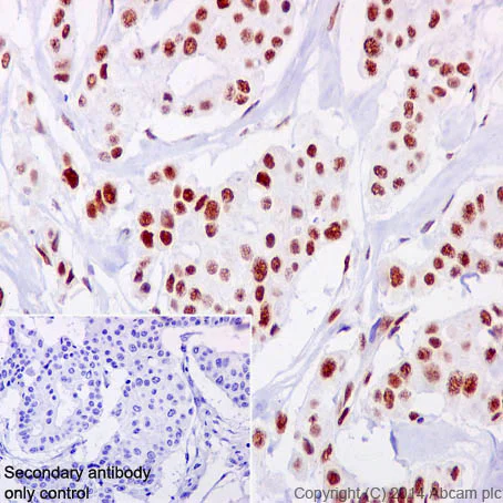
Immunohistochemistry (Formalin/PFA-fixed paraffin-embedded sections) - Anti-NFIB / NF1B2 + NFIC/CTF antibody [EPR14504] - BSA and Azide free (AB251321)

This data was developed using ab200829, the same antibody clone in a different buffer formulation.

Immunohistochemical analysis of paraffin-embedded Human breast carcinoma tissue labeling NFIB / NF1B2 + NFIC with ab200829 at 1/1000 dilution followed by Goat Anti-Rabbit IgG H&L (HRP) (ab97051) at 1/500 dilution. Nuclear staining on Human breast carcinoma tissue is observed. Counter stained with Hematoxylin.

Secondary antibody only control : Used PBS instead of primary antibody, secondary antibody is Goat Anti-Rabbit IgG H&L (HRP) (ab97051) at 1/500 dilution.

Perform heat mediated antigen retrieval with Tris/EDTA buffer pH 9.0 before commencing with IHC staining protocol.

Immunohistochemistry (Formalin/PFA-fixed paraffin-embedded sections) - Anti-NFIB / NF1B2 + NFIC/CTF antibody [EPR14504] - BSA and Azide free (AB251321)
  • IHC-P

Supplier Data

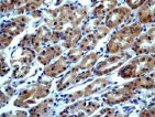
Immunohistochemistry (Formalin/PFA-fixed paraffin-embedded sections) - Anti-NFIB / NF1B2 + NFIC/CTF antibody [EPR14504] - BSA and Azide free (AB251321)

This data was developed using ab200829, the same antibody clone in a different buffer formulation.

Immunohistochemical analysis of paraffin-embedded Mouse cardiac muscle tissue labeling NFIB / NF1B2 + NFIC with ab200829 at 1/1000 dilution followed by Goat Anti-Rabbit IgG H&L (HRP) (ab97051) at 1/500 dilution. Nuclear staining on mouse cardiac muscle tissue is observed. Counter stained with Hematoxylin.

Secondary antibody only control : Used PBS instead of primary antibody, secondary antibody is Goat Anti-Rabbit IgG H&L (HRP) (ab97051) at 1/500 dilution.

Perform heat mediated antigen retrieval with Tris/EDTA buffer pH 9.0 before commencing with IHC staining protocol.

Western blot - Anti-NFIB / NF1B2 + NFIC/CTF antibody [EPR14504] - BSA and Azide free (AB251321)
  • WB

Supplier Data

Western blot - Anti-NFIB / NF1B2 + NFIC/CTF antibody [EPR14504] - BSA and Azide free (AB251321)

This data was developed using ab200829, the same antibody clone in a different buffer formulation.

Blocking and dilution buffer : 5% NFDM/TBST.

Based on the sequence analysis, ab200829 recognizes six isoforms within human with predicted MW's of 56KDa, 55KDa, 48KDa, 45KDa, 48KDa and 49KDa, respectively.

All lanes:

Western blot - Anti-NFIB / NF1B2 + NFIC/CTF antibody [EPR14504] (<a href='/en-us/products/primary-antibodies/nfib-nf1b2-nfic-ctf-antibody-epr14504-ab200829'>ab200829</a>) at 1/10000 dilution

All lanes:

HepG2 (Human liver hepatocellular carcinoma cell line) cell lysate at 20 µg

Secondary

All lanes:

Goat Anti-Rabbit IgG, (H+L), Peroxidase conjugated at 1/1000 dilution

Predicted band size: 47 kDa,56 kDa

Observed band size: 45-65 kDa

false

Exposure time: 3min

Western blot - Anti-NFIB / NF1B2 + NFIC/CTF antibody [EPR14504] - BSA and Azide free (AB251321)
  • WB

Supplier Data

Western blot - Anti-NFIB / NF1B2 + NFIC/CTF antibody [EPR14504] - BSA and Azide free (AB251321)

This data was developed using ab200829, the same antibody clone in a different buffer formulation.

Blocking and dilution buffer : 5% NFDM/TBST.

Based on the sequence analysis, ab200829 recognizes six isoforms within human with predicted Mw’s of 56KDa, 55KDa, 48KDa, 45KDa, 48KDa and 49KDa, respectively.

All lanes:

Western blot - Anti-NFIB / NF1B2 + NFIC/CTF antibody [EPR14504] (<a href='/en-us/products/primary-antibodies/nfib-nf1b2-nfic-ctf-antibody-epr14504-ab200829'>ab200829</a>) at 1/10000 dilution

Lane 1:

HeLa (Human epithelial cells from cervix adenocarcinoma) whole cell lysate at 20 µg

Lane 2:

MCF7 (Human breast adenocarcinoma cell line) whole cell lysate at 20 µg

Secondary

All lanes:

Goat Anti-Rabbit IgG, (H+L), Peroxidase conjugated at 1/1000 dilution

Predicted band size: 47 kDa,56 kDa

Observed band size: 45-65 kDa

false

Exposure time: 30s

Immunocytochemistry/ Immunofluorescence - Anti-NFIB / NF1B2 + NFIC/CTF antibody [EPR14504] - BSA and Azide free (AB251321)
  • ICC/IF

Supplier Data

Immunocytochemistry/ Immunofluorescence - Anti-NFIB / NF1B2 + NFIC/CTF antibody [EPR14504] - BSA and Azide free (AB251321)

This data was developed using ab200829, the same antibody clone in a different buffer formulation.

Immunofluorescent analysis of 4% paraformaldehyde-fixed, 0.1% Triton X-100 permeabilized HeLa (Human epithelial cells from cervix adenocarcinoma) cells labeling NFIB / NF1B2 + NFIC with ab200829 at 1/1000 dilution, followed by Goat anti-rabbit IgG (Alexa Fluor® 488) (ab150077) secondary antibody at 1/500 dilution (green). Nuclear staining on HeLa cell line is observed. The nuclear counterstain is DAPI (blue). Tubulin is detected with ab7291 (anti-Tubulin mouse mAb) at 1/1000 dilution and ab150120 (AlexaFluor®594 Goat anti-Mouse secondary) at 1/500 dilution (red).
The negative controls are as follows : -
-ve control 1 : ab200829 at 1/1000 dilution followed by ab150120 (AlexaFluor®594 Goat anti-Mouse secondary) at 1/500 dilution.
-ve control 2 : ab7291 (anti-Tubulin mouse mAb) at 1/1000 dilution followed by ab150077 (Alexa Fluor®488 Goat Anti-Rabbit IgG H&L) at 1/500 dilution.

Immunohistochemistry (Formalin/PFA-fixed paraffin-embedded sections) - Anti-NFIB / NF1B2 + NFIC/CTF antibody [EPR14504] - BSA and Azide free (AB251321)
  • IHC-P

Supplier Data

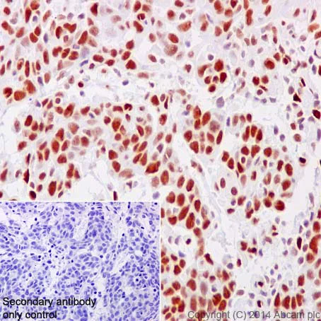
Immunohistochemistry (Formalin/PFA-fixed paraffin-embedded sections) - Anti-NFIB / NF1B2 + NFIC/CTF antibody [EPR14504] - BSA and Azide free (AB251321)

This data was developed using ab200829, the same antibody clone in a different buffer formulation.

Immunohistochemical analysis of paraffin-embedded human cervix carcinoma tissue labeling NFIB / NF1B2 + NFIC with ab200829 at 1/1000 dilution followed by Goat Anti-Rabbit IgG H&L (HRP) (ab97051) at 1/500 dilution. Nuclear staining on Human cervix carcinoma tissue is observed. Counter stained with Hematoxylin.

Secondary antibody only control : Used PBS instead of primary antibody, secondary antibody is Goat Anti-Rabbit IgG H&L (HRP) (ab97051) at 1/500 dilution.

Perform heat mediated antigen retrieval with Tris/EDTA buffer pH 9.0 before commencing with IHC staining protocol.

Flow Cytometry (Intracellular) - Anti-NFIB / NF1B2 + NFIC/CTF antibody [EPR14504] - BSA and Azide free (AB251321)
  • Flow Cyt (Intra)

Supplier Data

Flow Cytometry (Intracellular) - Anti-NFIB / NF1B2 + NFIC/CTF antibody [EPR14504] - BSA and Azide free (AB251321)

This data was developed using ab200829, the same antibody clone in a different buffer formulation.

Intracellular flow cytometric analysis of 2% paraformaldehyde-fixed HeLa (Human epithelial cells from cervix adenocarcinoma) cells labeling NFIB / NF1B2 + NFIC with ab200829 at 1/200 dilution (red) compared with a rabbit monoclonal IgG isotype control (ab172730; black) and an unlabelled control (cells without incubation with primary antibody and secondary antibody; blue). Goat anti rabbit IgG (FITC) at 1/150 dilution was used as the secondary antibody.

Immunoprecipitation - Anti-NFIB / NF1B2 + NFIC/CTF antibody [EPR14504] - BSA and Azide free (AB251321)
  • IP

Supplier Data

Immunoprecipitation - Anti-NFIB / NF1B2 + NFIC/CTF antibody [EPR14504] - BSA and Azide free (AB251321)

This data was developed using ab200829, the same antibody clone in a different buffer formulation.

NFIB/NF1B2 + NFIC was immunoprecipitated from 1mg of HeLa (Human epithelial cells from cervix adenocarcinoma) whole cell lysate with ab200829 at 1/70 dilution. Western blot was performed from the immunoprecipitate using ab200829 at 1/5000 dilution. Anti-Rabbit IgG (HRP), specific to the non-reduced form of IgG, was used as secondary antibody at 1/1500 dilution.

Lane 1 : HeLa whole cell lysate, 10 Âμg (Input).

Lane 2 : ab200829 IP in HeLa whole cell lysate.

Lane 3 : Rabbit monoclonal IgG (ab172730) instead of ab200829 in HeLa whole cell lysate.

Blocking and dilution buffer : 5% NFDM/TBST.

Exposure time : 10 seconds.

All lanes:

Immunoprecipitation - Anti-NFIB / NF1B2 + NFIC/CTF antibody [EPR14504] (<a href='/en-us/products/primary-antibodies/nfib-nf1b2-nfic-ctf-antibody-epr14504-ab200829'>ab200829</a>)

Observed band size: 45-65 kDa

false

Western blot - Anti-NFIB / NF1B2 + NFIC/CTF antibody [EPR14504] - BSA and Azide free (AB251321)
  • WB

Supplier Data

Western blot - Anti-NFIB / NF1B2 + NFIC/CTF antibody [EPR14504] - BSA and Azide free (AB251321)

This data was developed using ab200829, the same antibody clone in a different buffer formulation.

Blocking and dilution buffer : 5% NFDM/TBST.

Based on the sequence analysis, ab200829 recognizes six isoforms within human with predicted Mw’s of 56KDa, 55KDa, 48KDa, 45KDa, 48KDa and 49KDa, respectively.

All lanes:

Western blot - Anti-NFIB / NF1B2 + NFIC/CTF antibody [EPR14504] (<a href='/en-us/products/primary-antibodies/nfib-nf1b2-nfic-ctf-antibody-epr14504-ab200829'>ab200829</a>) at 1/2000 dilution

Lane 1:

Mouse heart lysate at 10 µg

Lane 2:

Mouse kidney lysate at 10 µg

Lane 3:

Mouse spleen lysate at 10 µg

Lane 4:

Rat brain lysate at 10 µg

Lane 5:

Rat heart lysate at 10 µg

Lane 6:

Rat spleen lysate at 10 µg

Lane 7:

C6 (Rat glial tumor cells) whole cell lysate at 10 µg

Lane 8:

RAW 264.7(Mouse macrophage cells transformed with Abelson murine leukemia virus) whole cell lysate at 10 µg

Lane 9:

PC-12 (Rat adrenal gland pheochromocytoma) whole cell lysate at 10 µg

Lane 10:

NIH/3T3 (Mouse embyro fibroblast cells) whole cell lysate at 10 µg

Secondary

All lanes:

Goat Anti-Rabbit IgG, (H+L), Peroxidase conjugated at 1/1000 dilution

Predicted band size: 47 kDa,56 kDa

Observed band size: 45-65 kDa

false

Exposure time: 1min

Key facts

Host species

Rabbit

Clonality

Monoclonal

Clone number

EPR14504

Isotype

IgG

Carrier free

Yes

Reacts with

Mouse, Rat, Human

Applications

ICC/IF, WB, IHC-P, IP, Flow Cyt (Intra)

applications

Immunogen

The exact immunogen used to generate this antibody is proprietary information.

Reactivity data

{ "title": "Reactivity Data", "filters": { "stats": ["", "Species", "Dilution Info", "Notes"], "tabs": { "all-applications": {"fullname" : "All Applications", "shortname": "All Applications"}, "IP" : {"fullname" : "Immunoprecipitation", "shortname":"IP"}, "WB" : {"fullname" : "Western blot", "shortname":"WB"}, "ICCIF" : {"fullname" : "Immunocytochemistry/ Immunofluorescence", "shortname":"ICC/IF"}, "FlowCytIntra" : {"fullname" : "Flow Cytometry (Intracellular)", "shortname":"Flow Cyt (Intra)"}, "IHCP" : {"fullname" : "Immunohistochemistry (Formalin/PFA-fixed paraffin-embedded sections)", "shortname":"IHC-P"} }, "product-promise": { "all": "all", "testedAndGuaranteed": "tested", "guaranteed": "expected", "predicted": "predicted", "notRecommended": "not-recommended" } }, "values": { "Human": { "IP-species-checked": "testedAndGuaranteed", "IP-species-dilution-info": "", "IP-species-notes": "<p></p>", "WB-species-checked": "testedAndGuaranteed", "WB-species-dilution-info": "", "WB-species-notes": "<p></p>", "ICCIF-species-checked": "testedAndGuaranteed", "ICCIF-species-dilution-info": "", "ICCIF-species-notes": "<p></p>", "FlowCytIntra-species-checked": "testedAndGuaranteed", "FlowCytIntra-species-dilution-info": "", "FlowCytIntra-species-notes": "<p></p>", "IHCP-species-checked": "testedAndGuaranteed", "IHCP-species-dilution-info": "", "IHCP-species-notes": "<p></p>" }, "Mouse": { "IP-species-checked": "guaranteed", "IP-species-dilution-info": "", "IP-species-notes": "", "WB-species-checked": "testedAndGuaranteed", "WB-species-dilution-info": "", "WB-species-notes": "<p></p>", "ICCIF-species-checked": "guaranteed", "ICCIF-species-dilution-info": "", "ICCIF-species-notes": "", "FlowCytIntra-species-checked": "guaranteed", "FlowCytIntra-species-dilution-info": "", "FlowCytIntra-species-notes": "", "IHCP-species-checked": "testedAndGuaranteed", "IHCP-species-dilution-info": "", "IHCP-species-notes": "<p></p>" }, "Rat": { "IP-species-checked": "guaranteed", "IP-species-dilution-info": "", "IP-species-notes": "", "WB-species-checked": "testedAndGuaranteed", "WB-species-dilution-info": "", "WB-species-notes": "<p></p>", "ICCIF-species-checked": "guaranteed", "ICCIF-species-dilution-info": "", "ICCIF-species-notes": "", "FlowCytIntra-species-checked": "guaranteed", "FlowCytIntra-species-dilution-info": "", "FlowCytIntra-species-notes": "", "IHCP-species-checked": "guaranteed", "IHCP-species-dilution-info": "", "IHCP-species-notes": "" } } }

Product details

ab251321 is the carrier-free version of ab200829.

Conjugation ready
Our carrier-free antibodies are typically supplied in a PBS-only formulation, purified and free of BSA, sodium azide and glycerol. This conjugation-ready format is designed for use with fluorochromes, metal isotopes, oligonucleotides, and enzymes, which makes them ideal for antibody labelling, functional and cell-based assays, flow-based assays (e.g. mass cytometry) and Multiplex Imaging applications.

Use our conjugation kits for antibody conjugates that are ready-to-use in as little as 20 minutes with 1 minute hands-on-time and 100% antibody recovery: available for fluorescent dyes, HRP, biotin and gold.

Compatibility
This product is compatible with the Maxpar® Antibody Labeling Kit from Fluidigm, without the need for antibody preparation. Maxpar® is a trademark of Fluidigm Canada Inc.

Properties and storage information

Form
Liquid
Purification technique
Affinity purification Protein A
Storage buffer
pH: 7.2 - 7.4 Constituents: PBS
Shipped at conditions
Blue Ice
Appropriate short-term storage conditions
+4°C
Appropriate long-term storage conditions
+4°C
Storage information
Do Not Freeze

Product protocols

For this product, it's our understanding that no specific protocols are required. You can visit:

Target data

Transcriptional activator of GFAP, essential for proper brain development (PubMed : 30388402). Recognizes and binds the palindromic sequence 5'-TTGGCNNNNNGCCAA-3' present in viral and cellular promoters and in the origin of replication of adenovirus type 2. These proteins are individually capable of activating transcription and replication.
See full target information NFIB

Additional targets

NFIC

Publications (1)

Recent publications for all applications. Explore the full list and refine your search

Molecular cancer research : MCR 21:1107-1119 PubMed37409971

2023

TRIM50 Inhibits Gastric Cancer Progression by Regulating the Ubiquitination and Nuclear Translocation of JUP.

Applications

Unspecified application

Species

Unspecified reactive species

Jiajia Hu,Runjie Huang,Chengcai Liang,Yingnan Wang,Min Wang,Yanxing Chen,Chenyi Wu,Jinling Zhang,Zekun Liu,Qi Zhao,Zexian Liu,Feng Wang,Shuqiang Yuan
View all publications

Product promise

We are committed to supporting your work with high-quality reagents, and we're here for you every step of the way. In the unlikely event that one of our products does not perform as expected, you're protected by our Product Promise.
For full details, please see our Terms & Conditions

Please note: All products are 'FOR RESEARCH USE ONLY. NOT FOR USE IN DIAGNOSTIC OR THERAPEUTIC PROCEDURES'.

For licensing inquiries, please contact partnerships@abcam.com