JavaScript is disabled in your browser. Please enable JavaScript to view this website.
AB228909

Anti-NFIC/CTF antibody

Be the first to review this product! Submit a review

|

(1 Publication)

Rabbit Polyclonal NFIC/CTF antibody. Suitable for WB, IHC-P and reacts with Human samples. Cited in 1 publication. Immunogen corresponding to Recombinant Fragment Protein within Human NFIC.

View Alternative Names

NFI, NFIC, Nuclear factor 1 C-type, NF1-C, Nuclear factor 1/C, CCAAT-box-binding transcription factor, Nuclear factor I/C, TGGCA-binding protein, CTF, NF-I/C, NFI-C

2 Images
Immunohistochemistry (Formalin/PFA-fixed paraffin-embedded sections) - Anti-NFIC/CTF antibody (AB228909)
  • IHC-P

Supplier Data

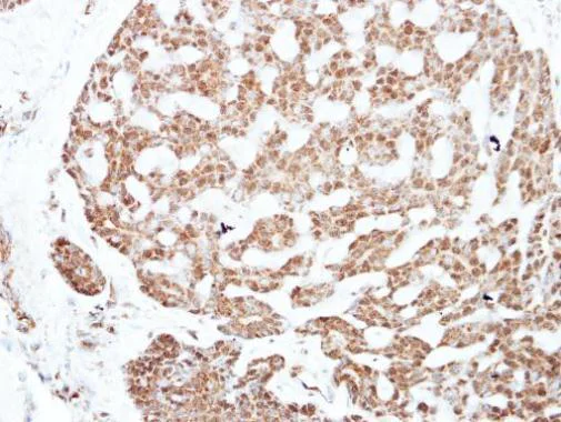
Immunohistochemistry (Formalin/PFA-fixed paraffin-embedded sections) - Anti-NFIC/CTF antibody (AB228909)

Paraffin-embedded human breast cancer tissue stained for NFIC/CTF using ab228909 at 1/250 dilution in immunohistochemical analysis.

Western blot - Anti-NFIC/CTF antibody (AB228909)
  • WB

Supplier Data

Western blot - Anti-NFIC/CTF antibody (AB228909)

7.5% SDS-PAGE gel.

All lanes:

Western blot - Anti-NFIC/CTF antibody (ab228909) at 1/2000 dilution

All lanes:

A549 (human lung carcinoma cell line) whole cell lysate at 30 µg

Predicted band size: 56 kDa

false

Key facts

Host species

Rabbit

Clonality

Polyclonal

Isotype

IgG

Carrier free

No

Reacts with

Human

Applications

IHC-P, WB

applications

Immunogen

Recombinant Fragment Protein within Human NFIC. The exact immunogen used to generate this antibody is proprietary information.

P08651

Reactivity data

{ "title": "Reactivity Data", "filters": { "stats": ["", "Species", "Dilution Info", "Notes"], "tabs": { "all-applications": {"fullname" : "All Applications", "shortname": "All Applications"}, "WB" : {"fullname" : "Western blot", "shortname":"WB"}, "IHCP" : {"fullname" : "Immunohistochemistry (Formalin/PFA-fixed paraffin-embedded sections)", "shortname":"IHC-P"} }, "product-promise": { "all": "all", "testedAndGuaranteed": "tested", "guaranteed": "expected", "predicted": "predicted", "notRecommended": "not-recommended" } }, "values": { "Human": { "WB-species-checked": "testedAndGuaranteed", "WB-species-dilution-info": "1/500 - 1/3000", "WB-species-notes": "<p></p>", "IHCP-species-checked": "testedAndGuaranteed", "IHCP-species-dilution-info": "1/100 - 1/1000", "IHCP-species-notes": "<p></p>" }, "Mouse": { "WB-species-checked": "predicted", "WB-species-dilution-info": "", "WB-species-notes": "", "IHCP-species-checked": "predicted", "IHCP-species-dilution-info": "", "IHCP-species-notes": "" }, "Rat": { "WB-species-checked": "predicted", "WB-species-dilution-info": "", "WB-species-notes": "", "IHCP-species-checked": "predicted", "IHCP-species-dilution-info": "", "IHCP-species-notes": "" }, "Cow": { "WB-species-checked": "predicted", "WB-species-dilution-info": "", "WB-species-notes": "", "IHCP-species-checked": "predicted", "IHCP-species-dilution-info": "", "IHCP-species-notes": "" } } }

Properties and storage information

Form
Liquid
Purification technique
Affinity purification Immunogen
Storage buffer
pH: 7 Preservative: 0.01% Thimerosal (merthiolate) Constituents: PBS, 20% Glycerol (glycerin, glycerine), 1% BSA
Shipped at conditions
Blue Ice
Appropriate short-term storage duration
1-2 weeks
Appropriate short-term storage conditions
+4°C
Appropriate long-term storage conditions
-20°C
Aliquoting information
Upon delivery aliquot
Storage information
Avoid freeze / thaw cycle

Product protocols

For this product, it's our understanding that no specific protocols are required. You can visit:

Target data

Recognizes and binds the palindromic sequence 5'-TTGGCNNNNNGCCAA-3' present in viral and cellular promoters and in the origin of replication of adenovirus type 2. These proteins are individually capable of activating transcription and replication.
See full target information NFIC

Publications (1)

Recent publications for all applications. Explore the full list and refine your search

Molecular and clinical oncology 23:72 PubMed40599718

2025

Nuclear factor IA-mediated transcriptional regulation of crystallin αB inhibits hepatocellular carcinoma progression.

Applications

Unspecified application

Species

Unspecified reactive species

Yun Jin,Pingping Hu,Yihe Dai,Wenchao Gu,Jiang Han,Haihan Song
View all publications

Product promise

We are committed to supporting your work with high-quality reagents, and we're here for you every step of the way. In the unlikely event that one of our products does not perform as expected, you're protected by our Product Promise.
For full details, please see our Terms & Conditions

Please note: All products are 'FOR RESEARCH USE ONLY. NOT FOR USE IN DIAGNOSTIC OR THERAPEUTIC PROCEDURES'.

For licensing inquiries, please contact partnerships@abcam.com