JavaScript is disabled in your browser. Please enable JavaScript to view this website.
AB230090

Anti-NFIL3 antibody

Be the first to review this product! Submit a review

|

(2 Publications)

Rabbit Polyclonal NFIL3 antibody. Suitable for WB, IHC-P and reacts with Human samples. Cited in 2 publications. Immunogen corresponding to Recombinant Fragment Protein within Human NFIL3 aa 100 to C-terminus.

View Alternative Names

E4BP4, IL3BP1, NFIL3, Nuclear factor interleukin-3-regulated protein, E4 promoter-binding protein 4, Interleukin-3 promoter transcriptional activator, Interleukin-3-binding protein 1, Transcriptional activator NF-IL3A

3 Images
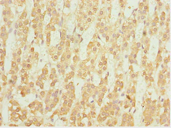
Immunohistochemistry (Formalin/PFA-fixed paraffin-embedded sections) - Anti-NFIL3 antibody (AB230090)
  • IHC-P

Supplier Data

Immunohistochemistry (Formalin/PFA-fixed paraffin-embedded sections) - Anti-NFIL3 antibody (AB230090)

Paraffin-embedded human thyroid tissue stained for NFIL3 using ab230090 at 1/100 dilution in immunohistochemical analysis.

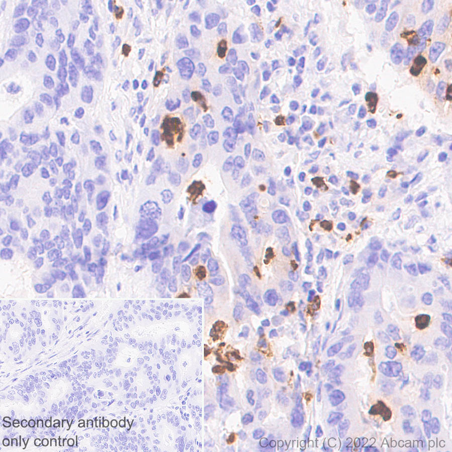
Immunohistochemistry (Formalin/PFA-fixed paraffin-embedded sections) - Anti-NFIL3 antibody (AB230090)
  • IHC-P

Supplier Data

Immunohistochemistry (Formalin/PFA-fixed paraffin-embedded sections) - Anti-NFIL3 antibody (AB230090)

Paraffin-embedded human adrenal gland tissue stained for NFIL3 using ab230090 at 1/100 dilution in immunohistochemical analysis.

Western blot - Anti-NFIL3 antibody (AB230090)
  • WB

Supplier Data

Western blot - Anti-NFIL3 antibody (AB230090)

All lanes:

Western blot - Anti-NFIL3 antibody (ab230090) at 1/1000 dilution

Lane 1:

HepG2 (human liver hepatocellular carcinoma cell line) whole cell lysate

Lane 2:

HEK-293T (human epithelial cell line from embryonic kidney transformed with large T antigen) whole cell lysate

Lane 3:

HeLa (human epithelial cell line from cervix adenocarcinoma) whole cell lysate

Secondary

All lanes:

Goat polyclonal to Rabbit IgG at 1/10000 dilution

Predicted band size: 51 kDa

Observed band size: 51 kDa

false

Key facts

Host species

Rabbit

Clonality

Polyclonal

Isotype

IgG

Carrier free

No

Reacts with

Human

Applications

WB, IHC-P

applications

Immunogen

Recombinant Fragment Protein within Human NFIL3 aa 100 to C-terminus. The exact immunogen used to generate this antibody is proprietary information.

Q16649

Reactivity data

{ "title": "Reactivity Data", "filters": { "stats": ["", "Species", "Dilution Info", "Notes"], "tabs": { "all-applications": {"fullname" : "All Applications", "shortname": "All Applications"}, "WB" : {"fullname" : "Western blot", "shortname":"WB"}, "IHCP" : {"fullname" : "Immunohistochemistry (Formalin/PFA-fixed paraffin-embedded sections)", "shortname":"IHC-P"} }, "product-promise": { "all": "all", "testedAndGuaranteed": "tested", "guaranteed": "expected", "predicted": "predicted", "notRecommended": "not-recommended" } }, "values": { "Human": { "WB-species-checked": "testedAndGuaranteed", "WB-species-dilution-info": "1/1000 - 1/5000", "WB-species-notes": "<p></p>", "IHCP-species-checked": "testedAndGuaranteed", "IHCP-species-dilution-info": "1/20 - 1/200", "IHCP-species-notes": "<p></p>" } } }

Properties and storage information

Form
Liquid
Purification technique
Affinity purification Immunogen
Storage buffer
pH: 7.3 Preservative: 0.02% Sodium azide Constituents: PBS, 50% Glycerol (glycerin, glycerine)
Shipped at conditions
Blue Ice
Appropriate short-term storage duration
1-2 weeks
Appropriate short-term storage conditions
+4°C
Appropriate long-term storage conditions
-20°C
Aliquoting information
Upon delivery aliquot
Storage information
Avoid freeze / thaw cycle

Product protocols

For this product, it's our understanding that no specific protocols are required. You can visit:

Target data

Acts as a transcriptional regulator that recognizes and binds to the sequence 5'-[GA]TTA[CT]GTAA[CT]-3', a sequence present in many cellular and viral promoters. Represses transcription from promoters with activating transcription factor (ATF) sites. Represses promoter activity in osteoblasts (By similarity). Represses transcriptional activity of PER1 (By similarity). Represses transcriptional activity of PER2 via the B-site on the promoter (By similarity). Activates transcription from the interleukin-3 promoter in T-cells. Competes for the same consensus-binding site with PAR DNA-binding factors (DBP, HLF and TEF) (By similarity). Component of the circadian clock that acts as a negative regulator for the circadian expression of PER2 oscillation in the cell-autonomous core clock (By similarity). Protects pro-B cells from programmed cell death (By similarity). Represses the transcription of CYP2A5 (By similarity). Positively regulates the expression and activity of CES2 by antagonizing the repressive action of NR1D1 on CES2 (By similarity). Required for the development of natural killer cell precursors (By similarity).
See full target information NFIL3

Publications (2)

Recent publications for all applications. Explore the full list and refine your search

Aging 16:11668-11682 PubMed39133152

2024

Solamargine acts as an antiviral by interacting to MZF1 and targeting the core promoter of the hepatitis B virus gene.

Applications

Unspecified application

Species

Unspecified reactive species

Wenwen Chen,Xinrui Zhao,Yingli Huang,Kai Lu,Yuan Li,Xiaofang Li,Hui Ding,Xiuling Li,Suofeng Sun

Frontiers in immunology 13:944591 PubMed36091013

2022

Multi-omics analysis reveals the metabolic regulators of duodenal low-grade inflammation in a functional dyspepsia model.

Applications

Unspecified application

Species

Unspecified reactive species

Shuai Ji,Yanting You,Baizhao Peng,Tianyu Zhong,Yuxiang Kuang,Shasha Li,Lijing Du,Liqian Chen,Xiaomin Sun,Jiaojiao Dai,Suiping Huang,Yuyao Wu,Yanyan Liu
View all publications

Product promise

We are committed to supporting your work with high-quality reagents, and we're here for you every step of the way. In the unlikely event that one of our products does not perform as expected, you're protected by our Product Promise.
For full details, please see our Terms & Conditions

Please note: All products are 'FOR RESEARCH USE ONLY. NOT FOR USE IN DIAGNOSTIC OR THERAPEUTIC PROCEDURES'.

For licensing inquiries, please contact partnerships@abcam.com