JavaScript is disabled in your browser. Please enable JavaScript to view this website.
AB191594

Anti-NFkB p100/NFKB2 antibody [EPR18756]

Be the first to review this product! Submit a review

|

(2 Publications)

Rabbit Recombinant Monoclonal NFkB p100/NFKB2 antibody. Suitable for IP, WB, ICC/IF, Flow Cyt (Intra) and reacts with Human, Mouse, Rat samples. Cited in 2 publications.

View Alternative Names

LYT10, NFKB2, Nuclear factor NF-kappa-B p100 subunit, DNA-binding factor KBF2, H2TF1, Lymphocyte translocation chromosome 10 protein, Nuclear factor of kappa light polypeptide gene enhancer in B-cells 2, Oncogene Lyt-10, Lyt10

8 Images
Flow Cytometry (Intracellular) - Anti-NFkB p100/NFKB2 antibody [EPR18756] (AB191594)
  • Flow Cyt (Intra)

Supplier Data

Flow Cytometry (Intracellular) - Anti-NFkB p100/NFKB2 antibody [EPR18756] (AB191594)

Intracellular flow cytometric analysis of 4% paraformaldehyde-fixed HeLa (Human epithelial cell linefrom cervix adenocarcinoma) cell linelabeling NFkB p100/NFKB2 with ab191594 at 1/60 dilution (red) compared with a Rabbit IgG, monoclonal [EPR25A] - Isotype Control (ab172730) (black) and an unlabelled control (cells without incubation with primary antibody and secondary antibody) (blue). Goat anti Rabbit IgG (Alexa Fluor® 488) at 1/500 dilution was used as the secondary antibody.

Immunocytochemistry/ Immunofluorescence - Anti-NFkB p100/NFKB2 antibody [EPR18756] (AB191594)
  • ICC/IF

Supplier Data

Immunocytochemistry/ Immunofluorescence - Anti-NFkB p100/NFKB2 antibody [EPR18756] (AB191594)

Immunofluorescent analysis of 4% paraformaldehyde-fixed 0.1% Triton X-100 permeabilized HeLa (Human epithelial cell line from cervix adenocarcinoma) cell line labeling NFkB p100/NFKB2 with ab191594 at 1/250 dilution followed by Goat Anti-Rabbit IgG H&L (Alexa Fluor® 488) (ab150077) secondary antibody at 1/1000 dilution (green).

Confocal image showing cytoplasmic staining on HeLa cell line.

The nuclear counterstain is DAPI (blue).

Tubulin is detected with Anti-alpha Tubulin antibody [DM1A] - Loading Control (ab7291) at 1/1000 dilution and Goat Anti-Mouse IgG H&L (Alexa Fluor® 594) preadsorbed (ab150120) at 1/1000 dilution (red).

The negative controls are as follows : -

-ve control 1 : ab191594 at 1/250 dilution followed by ab150120 at 1/1000 dilution.

-ve control 2 : ab7291 at 1/1000 dilution followed by ab150077 at 1/1000 dilution.

Immunoprecipitation - Anti-NFkB p100/NFKB2 antibody [EPR18756] (AB191594)
  • IP

Supplier Data

Immunoprecipitation - Anti-NFkB p100/NFKB2 antibody [EPR18756] (AB191594)

NFkB p100/NFKB2 was immunoprecipitated from 1mg of HeLa (Human epithelial cell line from cervix adenocarcinoma) whole cell lysate with ab191594 at 1/20 dilution.

Western blot was performed from the immunoprecipitate using ab191594 at 1/1000 dilution.

VeriBlot for IP Detection Reagent (HRP) (ab131366) was used for detection at 1/10000 dilution.

Lane 1 : HeLa whole cell lysate, 10ug (Input).

Lane 2 : ab191594 IP in HeLa whole cell lysate.

Lane 3 : Rabbit IgG, monoclonal [EPR25A] - Isotype Control (ab172730) instead of ab191594 in HeLa whole cell lysate.

Blocking and dilution buffer and concentration : 5% NFDM/TBST.

Exposure time : 3 seconds.

All lanes:

Immunoprecipitation - Anti-NFkB p100/NFKB2 antibody [EPR18756] (ab191594)

Predicted band size: 97 kDa

Observed band size: 110 kDa

false

Immunocytochemistry/ Immunofluorescence - Anti-NFkB p100/NFKB2 antibody [EPR18756] (AB191594)
  • ICC/IF

Supplier Data

Immunocytochemistry/ Immunofluorescence - Anti-NFkB p100/NFKB2 antibody [EPR18756] (AB191594)

Immunofluorescent analysis of 4% paraformaldehyde-fixed 0.1% Triton X-100 permeabilized NIH/3T3 (Mouse embyro fibroblast cell line) cell line labeling NFkB p100/NFKB2 with ab191594 at 1/250 dilution followed by Goat Anti-Rabbit IgG H&L (Alexa Fluor® 488) (ab150077) secondary antibody at 1/1000 dilution (green).

Confocal image showing cytoplasmic staining on NIH/3T3 cell line.

The nuclear counterstain is DAPI (blue).

Tubulin is detected with Anti-alpha Tubulin antibody [DM1A] - Loading Control (ab7291) at 1/1000 dilution and Goat Anti-Mouse IgG H&L (Alexa Fluor® 594) preadsorbed (ab150120) at 1/1000 dilution (red).

The negative controls are as follows : -

-ve control 1 : ab191594 at 1/250 dilution followed by ab150120 at 1/1000 dilution.

-ve control 2 : ab7291 at 1/1000 dilution followed by ab150077 at 1/1000 dilution.

Western blot - Anti-NFkB p100/NFKB2 antibody [EPR18756] (AB191594)
  • WB

Supplier Data

Western blot - Anti-NFkB p100/NFKB2 antibody [EPR18756] (AB191594)

Blocking/Dilution buffer : 5% NFDM/TBST.

Exposure time :

Lane 1, 2 & 3 : 30 seconds; Lane 4 : 5 seconds.

The molecular weight observed is consistent with what have been described in the literature (PMID : 18606850, 17015635).

All lanes:

Western blot - Anti-NFkB p100/NFKB2 antibody [EPR18756] (ab191594) at 1/5000 dilution

Lane 1:

HeLa (Human epithelial cell line from cervix adenocarcinoma) whole cell lysate at 20 µg

Lane 2:

Jurkat (Human T cell leukemia cell line from peripheral blood) whole cell lysate at 20 µg

Lane 3:

MCF7 (Human breast adenocarcinoma cell line) whole cell lysate at 20 µg

Lane 4:

Daudi (Human Burkitt's lymphoma cell line) whole cell lysate at 20 µg

Secondary

All lanes:

Western blot - Goat Anti-Rabbit IgG H&L (HRP) (<a href='/en-us/products/secondary-antibodies/goat-rabbit-igg-h-l-hrp-ab97051'>ab97051</a>) at 1/100000 dilution

Predicted band size: 97 kDa

Observed band size: 110 kDa

false

Western blot - Anti-NFkB p100/NFKB2 antibody [EPR18756] (AB191594)
  • WB

Supplier Data

Western blot - Anti-NFkB p100/NFKB2 antibody [EPR18756] (AB191594)

Blocking/Dilution buffer : 5% NFDM/TBST.

The molecular weight observed is consistent with what have been described in the literature (PMID : 8606850, 17015635).

All lanes:

Western blot - Anti-NFkB p100/NFKB2 antibody [EPR18756] (ab191594) at 1/1000 dilution

Lane 1:

Human liver lysate at 10 µg

Lane 2:

Human kidney lysate at 10 µg

Secondary

All lanes:

Anti-Rabbit IgG (HRP), specific to the non-reduced form of IgG at 1/10000 dilution

Predicted band size: 97 kDa

Observed band size: 110 kDa

false

Exposure time: 30s

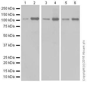
Western blot - Anti-NFkB p100/NFKB2 antibody [EPR18756] (AB191594)
  • WB

Supplier Data

Western blot - Anti-NFkB p100/NFKB2 antibody [EPR18756] (AB191594)

Blocking/Dilution buffer : 5% NFDM/TBST.

Exposure time :

Lane 1 & 2 : 3 minutes; Lane 3 & 4 : 30 seconds; Lane 5 & 6 : 5 seconds.

The molecular weight observed is consistent with what have been described in the literature (PMID : 18606850, 17015635).

All lanes:

Western blot - Anti-NFkB p100/NFKB2 antibody [EPR18756] (ab191594) at 1/1000 dilution

Lane 1:

Mouse heart lysate at 10 µg

Lane 2:

Mouse kidney lysate at 10 µg

Lane 3:

Rat brain lysate at 10 µg

Lane 4:

Rat heart lysate at 10 µg

Lane 5:

Rat kidney lysate at 10 µg

Lane 6:

Rat spleen lysate at 10 µg

Secondary

All lanes:

Western blot - Goat Anti-Rabbit IgG H&L (HRP) (<a href='/en-us/products/secondary-antibodies/goat-rabbit-igg-h-l-hrp-ab97051'>ab97051</a>) at 1/100000 dilution

Predicted band size: 97 kDa

Observed band size: 110 kDa

false

Western blot - Anti-NFkB p100/NFKB2 antibody [EPR18756] (AB191594)
  • WB

Supplier Data

Western blot - Anti-NFkB p100/NFKB2 antibody [EPR18756] (AB191594)

Blocking/Dilution buffer : 5% NFDM/TBST.

The molecular weight observed is consistent with what have been described in the literature (PMID : 18606850, 17015635).

All lanes:

Western blot - Anti-NFkB p100/NFKB2 antibody [EPR18756] (ab191594) at 1/1000 dilution

Lane 1:

C6 (Rat glial tumor cell line) whole cell lysate at 10 µg

Lane 2:

NIH/3T3 (Mouse embyro fibroblast cell line) whole cell lysate at 10 µg

Secondary

All lanes:

Western blot - Goat Anti-Rabbit IgG H&L (HRP) (<a href='/en-us/products/secondary-antibodies/goat-rabbit-igg-h-l-hrp-ab97051'>ab97051</a>) at 1/100000 dilution

Predicted band size: 97 kDa

Observed band size: 110 kDa

false

Exposure time: 1s

  • Carrier free

    Anti-NFkB p100/NFKB2 antibody [EPR18756] - BSA and Azide free

Key facts

Host species

Rabbit

Clonality

Monoclonal

Clone number

EPR18756

Isotype

IgG

Carrier free

No

Reacts with

Mouse, Rat, Human

Applications

WB, ICC/IF, IP, Flow Cyt (Intra)

applications

Immunogen

The exact immunogen used to generate this antibody is proprietary information.

Reactivity data

{ "title": "Reactivity Data", "filters": { "stats": ["", "Species", "Dilution Info", "Notes"], "tabs": { "all-applications": {"fullname" : "All Applications", "shortname": "All Applications"}, "IP" : {"fullname" : "Immunoprecipitation", "shortname":"IP"}, "WB" : {"fullname" : "Western blot", "shortname":"WB"}, "ICCIF" : {"fullname" : "Immunocytochemistry/ Immunofluorescence", "shortname":"ICC/IF"}, "FlowCytIntra" : {"fullname" : "Flow Cytometry (Intracellular)", "shortname":"Flow Cyt (Intra)"} }, "product-promise": { "all": "all", "testedAndGuaranteed": "tested", "guaranteed": "expected", "predicted": "predicted", "notRecommended": "not-recommended" } }, "values": { "Human": { "IP-species-checked": "testedAndGuaranteed", "IP-species-dilution-info": "1/20", "IP-species-notes": "<p></p>", "WB-species-checked": "testedAndGuaranteed", "WB-species-dilution-info": "1/1000", "WB-species-notes": "<p></p>", "ICCIF-species-checked": "testedAndGuaranteed", "ICCIF-species-dilution-info": "1/250", "ICCIF-species-notes": "<p></p>", "FlowCytIntra-species-checked": "testedAndGuaranteed", "FlowCytIntra-species-dilution-info": "1/60", "FlowCytIntra-species-notes": "<p></p>" }, "Mouse": { "IP-species-checked": "guaranteed", "IP-species-dilution-info": "", "IP-species-notes": "", "WB-species-checked": "testedAndGuaranteed", "WB-species-dilution-info": "1/1000", "WB-species-notes": "<p></p>", "ICCIF-species-checked": "testedAndGuaranteed", "ICCIF-species-dilution-info": "1/250", "ICCIF-species-notes": "<p></p>", "FlowCytIntra-species-checked": "guaranteed", "FlowCytIntra-species-dilution-info": "", "FlowCytIntra-species-notes": "" }, "Rat": { "IP-species-checked": "guaranteed", "IP-species-dilution-info": "", "IP-species-notes": "", "WB-species-checked": "testedAndGuaranteed", "WB-species-dilution-info": "1/1000", "WB-species-notes": "<p></p>", "ICCIF-species-checked": "guaranteed", "ICCIF-species-dilution-info": "", "ICCIF-species-notes": "", "FlowCytIntra-species-checked": "guaranteed", "FlowCytIntra-species-dilution-info": "", "FlowCytIntra-species-notes": "" } } }

Product details

Patented technology
Our RabMAb® technology is a patented hybridoma-based technology for making rabbit monoclonal antibodies. For details on our patents, please refer to RabMAb® patents.

What are the advantages of a recombinant monoclonal antibody?
This product is a recombinant monoclonal antibody, which offers several advantages including:

  • - High batch-to-batch consistency and reproducibility
  • - Improved sensitivity and specificity
  • - Long-term security of supply
  • - Animal-free batch production

For more information, read more on recombinant antibodies.

Properties and storage information

Form
Liquid
Purification technique
Affinity purification Protein A
Storage buffer
pH: 7.2 - 7.4 Preservative: 0.01% Sodium azide Constituents: PBS, 40% Glycerol (glycerin, glycerine), 0.05% BSA
Shipped at conditions
Blue Ice
Appropriate short-term storage duration
1-2 weeks
Appropriate short-term storage conditions
+4°C
Appropriate long-term storage conditions
-20°C
Aliquoting information
Upon delivery aliquot
Storage information
Avoid freeze / thaw cycle

Product protocols

For this product, it's our understanding that no specific protocols are required. You can visit:

Target data

NF-kappa-B is a pleiotropic transcription factor present in almost all cell types and is the endpoint of a series of signal transduction events that are initiated by a vast array of stimuli related to many biological processes such as inflammation, immunity, differentiation, cell growth, tumorigenesis and apoptosis. NF-kappa-B is a homo- or heterodimeric complex formed by the Rel-like domain-containing proteins RELA/p65, RELB, NFKB1/p105, NFKB1/p50, REL and NFKB2/p52. The dimers bind at kappa-B sites in the DNA of their target genes and the individual dimers have distinct preferences for different kappa-B sites that they can bind with distinguishable affinity and specificity. Different dimer combinations act as transcriptional activators or repressors, respectively. NF-kappa-B is controlled by various mechanisms of post-translational modification and subcellular compartmentalization as well as by interactions with other cofactors or corepressors. NF-kappa-B complexes are held in the cytoplasm in an inactive state complexed with members of the NF-kappa-B inhibitor (I-kappa-B) family. In a conventional activation pathway, I-kappa-B is phosphorylated by I-kappa-B kinases (IKKs) in response to different activators, subsequently degraded thus liberating the active NF-kappa-B complex which translocates to the nucleus. In a non-canonical activation pathway, the MAP3K14-activated CHUK/IKKA homodimer phosphorylates NFKB2/p100 associated with RelB, inducing its proteolytic processing to NFKB2/p52 and the formation of NF-kappa-B RelB-p52 complexes. The NF-kappa-B heterodimeric RelB-p52 complex is a transcriptional activator. The NF-kappa-B p52-p52 homodimer is a transcriptional repressor. NFKB2 appears to have dual functions such as cytoplasmic retention of attached NF-kappa-B proteins by p100 and generation of p52 by a cotranslational processing. The proteasome-mediated process ensures the production of both p52 and p100 and preserves their independent function. p52 binds to the kappa-B consensus sequence 5'-GGRNNYYCC-3', located in the enhancer region of genes involved in immune response and acute phase reactions. p52 and p100 are respectively the minor and major form; the processing of p100 being relatively poor. Isoform p49 is a subunit of the NF-kappa-B protein complex, which stimulates the HIV enhancer in synergy with p65. In concert with RELB, regulates the circadian clock by repressing the transcriptional activator activity of the CLOCK-BMAL1 heterodimer.
See full target information NFKB2

Publications (2)

Recent publications for all applications. Explore the full list and refine your search

Neural regeneration research 17:1991-1997 PubMed35142688

2022

Stellate ganglion block reduces inflammation and improves neurological function in diabetic rats during ischemic stroke.

Applications

Unspecified application

Species

Unspecified reactive species

Ting-Ting Li,Qiang Wan,Xin Zhang,Yuan Xiao,Li-Ying Sun,Yu-Rong Zhang,Xiang-Nan Liu,Wan-Chao Yang

Cellular immunology 328:9-17 PubMed29499909

2018

Increased mTOR cancels out the effect of reduced Xbp-1 on antibody secretion in IL-1α-deficient B cells.

Applications

WB

Species

Unspecified reactive species

Gaizhi Zhu,Xiaoling Liu,Ying Fang,Bing Zhai,Ruonan Xu,Gencheng Han,Guojiang Chen,He Xiao,Chunmei Hou,Beifen Shen,Yan Li,Yoichiro Iwakura,Liang Wang,Zhenyu Jiang,Ning Ma,Guangchao Liu,Renxi Wang
View all publications

Product promise

We are committed to supporting your work with high-quality reagents, and we're here for you every step of the way. In the unlikely event that one of our products does not perform as expected, you're protected by our Product Promise.
For full details, please see our Terms & Conditions

Please note: All products are 'FOR RESEARCH USE ONLY. NOT FOR USE IN DIAGNOSTIC OR THERAPEUTIC PROCEDURES'.

For licensing inquiries, please contact partnerships@abcam.com