JavaScript is disabled in your browser. Please enable JavaScript to view this website.
AB194919

Anti-NFkB p100/NFKB2 (phospho S866) antibody

Be the first to review this product! Submit a review

|

(2 Publications)

Rabbit Polyclonal NFkB p100/NFKB2 phospho S866 antibody. Suitable for WB, IHC-P, ICC/IF and reacts with Human samples. Cited in 2 publications. Immunogen corresponding to Synthetic Peptide within Human NFKB2 phospho S866.

View Alternative Names

LYT10, NFKB2, Nuclear factor NF-kappa-B p100 subunit, DNA-binding factor KBF2, H2TF1, Lymphocyte translocation chromosome 10 protein, Nuclear factor of kappa light polypeptide gene enhancer in B-cells 2, Oncogene Lyt-10, Lyt10

3 Images
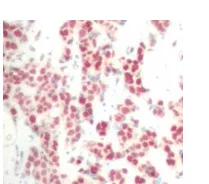
Immunohistochemistry (Formalin/PFA-fixed paraffin-embedded sections) - Anti-NFkB p100/NFKB2 (phospho S866) antibody (AB194919)
  • IHC-P

Supplier Data

Immunohistochemistry (Formalin/PFA-fixed paraffin-embedded sections) - Anti-NFkB p100/NFKB2 (phospho S866) antibody (AB194919)

Immunohistochemical analysis of paraffin-embedded Human breast carcinoma tissue labeling NFkB p100/NFKB2 (phospho S866) with ab194919 at 1/50 dilution.

Immunocytochemistry/ Immunofluorescence - Anti-NFkB p100/NFKB2 (phospho S866) antibody (AB194919)
  • ICC/IF

Supplier Data

Immunocytochemistry/ Immunofluorescence - Anti-NFkB p100/NFKB2 (phospho S866) antibody (AB194919)

Immunofluorescent analysis of HeLa cells labeling NFkB p100/NFKB2 (phospho S866) with ab194919 at 1/50 dilution.

Western blot - Anti-NFkB p100/NFKB2 (phospho S866) antibody (AB194919)
  • WB

Supplier Data

Western blot - Anti-NFkB p100/NFKB2 (phospho S866) antibody (AB194919)

All lanes:

Western blot - Anti-NFkB p100/NFKB2 (phospho S866) antibody (ab194919) at 1/500 dilution

Lane 1:

Human ovary cancer cell extract with Blocking peptide

Lane 2:

Human ovary cancer cell extract

Predicted band size: 97 kDa

false

Key facts

Host species

Rabbit

Clonality

Polyclonal

Isotype

IgG

Carrier free

No

Reacts with

Human

Applications

ICC/IF, WB, IHC-P

applications

Immunogen

Synthetic Peptide within Human NFKB2 phospho S866. The exact immunogen used to generate this antibody is proprietary information.

Q00653

Reactivity data

{ "title": "Reactivity Data", "filters": { "stats": ["", "Species", "Dilution Info", "Notes"], "tabs": { "all-applications": {"fullname" : "All Applications", "shortname": "All Applications"}, "WB" : {"fullname" : "Western blot", "shortname":"WB"}, "IHCP" : {"fullname" : "Immunohistochemistry (Formalin/PFA-fixed paraffin-embedded sections)", "shortname":"IHC-P"}, "ICCIF" : {"fullname" : "Immunocytochemistry/ Immunofluorescence", "shortname":"ICC/IF"} }, "product-promise": { "all": "all", "testedAndGuaranteed": "tested", "guaranteed": "expected", "predicted": "predicted", "notRecommended": "not-recommended" } }, "values": { "Human": { "WB-species-checked": "testedAndGuaranteed", "WB-species-dilution-info": "1/500 - 1/2000", "WB-species-notes": "<p></p>", "IHCP-species-checked": "testedAndGuaranteed", "IHCP-species-dilution-info": "1/50 - 1/100", "IHCP-species-notes": "<p></p>", "ICCIF-species-checked": "testedAndGuaranteed", "ICCIF-species-dilution-info": "1/50 - 1/100", "ICCIF-species-notes": "<p></p>" } } }

Properties and storage information

Form
Liquid
Purification technique
Affinity purification Immunogen
Storage buffer
pH: 7.3 Preservative: 0.02% Sodium azide Constituents: PBS, 50% Glycerol (glycerin, glycerine)
Shipped at conditions
Blue Ice
Appropriate short-term storage duration
1-2 weeks
Appropriate short-term storage conditions
+4°C
Appropriate long-term storage conditions
-20°C
Aliquoting information
Upon delivery aliquot
Storage information
Avoid freeze / thaw cycle

Product protocols

For this product, it's our understanding that no specific protocols are required. You can visit:

Target data

NF-kappa-B is a pleiotropic transcription factor present in almost all cell types and is the endpoint of a series of signal transduction events that are initiated by a vast array of stimuli related to many biological processes such as inflammation, immunity, differentiation, cell growth, tumorigenesis and apoptosis. NF-kappa-B is a homo- or heterodimeric complex formed by the Rel-like domain-containing proteins RELA/p65, RELB, NFKB1/p105, NFKB1/p50, REL and NFKB2/p52. The dimers bind at kappa-B sites in the DNA of their target genes and the individual dimers have distinct preferences for different kappa-B sites that they can bind with distinguishable affinity and specificity. Different dimer combinations act as transcriptional activators or repressors, respectively. NF-kappa-B is controlled by various mechanisms of post-translational modification and subcellular compartmentalization as well as by interactions with other cofactors or corepressors. NF-kappa-B complexes are held in the cytoplasm in an inactive state complexed with members of the NF-kappa-B inhibitor (I-kappa-B) family. In a conventional activation pathway, I-kappa-B is phosphorylated by I-kappa-B kinases (IKKs) in response to different activators, subsequently degraded thus liberating the active NF-kappa-B complex which translocates to the nucleus. In a non-canonical activation pathway, the MAP3K14-activated CHUK/IKKA homodimer phosphorylates NFKB2/p100 associated with RelB, inducing its proteolytic processing to NFKB2/p52 and the formation of NF-kappa-B RelB-p52 complexes. The NF-kappa-B heterodimeric RelB-p52 complex is a transcriptional activator. The NF-kappa-B p52-p52 homodimer is a transcriptional repressor. NFKB2 appears to have dual functions such as cytoplasmic retention of attached NF-kappa-B proteins by p100 and generation of p52 by a cotranslational processing. The proteasome-mediated process ensures the production of both p52 and p100 and preserves their independent function. p52 binds to the kappa-B consensus sequence 5'-GGRNNYYCC-3', located in the enhancer region of genes involved in immune response and acute phase reactions. p52 and p100 are respectively the minor and major form; the processing of p100 being relatively poor. Isoform p49 is a subunit of the NF-kappa-B protein complex, which stimulates the HIV enhancer in synergy with p65. In concert with RELB, regulates the circadian clock by repressing the transcriptional activator activity of the CLOCK-BMAL1 heterodimer.
See full target information NFKB2 phospho S866

Publications (2)

Recent publications for all applications. Explore the full list and refine your search

Frontiers in pharmacology 12:710722 PubMed34603025

2021

Intervention of Gastrodin in Type 2 Diabetes Mellitus and Its Mechanism.

Applications

Unspecified application

Species

Unspecified reactive species

Yu Bai,Ke Mo,Guirong Wang,Wanling Chen,Wei Zhang,Yibo Guo,Zhirong Sun

Science advances 7: PubMed33827816

2021

Phospholipase A inhibitor-loaded micellar nanoparticles attenuate inflammation and mitigate osteoarthritis progression.

Applications

Unspecified application

Species

Unspecified reactive species

Yulong Wei,Lesan Yan,Lijun Luo,Tao Gui,Bian Jang,Ahmad Amirshaghaghi,Tianyan You,Andrew Tsourkas,Ling Qin,Zhiliang Cheng
View all publications

Product promise

We are committed to supporting your work with high-quality reagents, and we're here for you every step of the way. In the unlikely event that one of our products does not perform as expected, you're protected by our Product Promise.
For full details, please see our Terms & Conditions

Please note: All products are 'FOR RESEARCH USE ONLY. NOT FOR USE IN DIAGNOSTIC OR THERAPEUTIC PROCEDURES'.

For licensing inquiries, please contact partnerships@abcam.com