JavaScript is disabled in your browser. Please enable JavaScript to view this website.
AB32360

Anti-NFkB p105 / p50 antibody [E381]

  • RabMAb
  • Recombinant
  • KO Validated
  • 20ul selling size
  • What is this?

4

(21 Reviews)

|

(269 Publications)

Anti-NFkB p105 / p50 antibody [E381] (ab32360) is a rabbit monoclonal antibody detecting NFkB p105 / p50 in Western Blot, IHC-P. Suitable for Human, Mouse, Rat.

- KO validated for confirmed specificity
- Biophysical QC for unrivalled batch-batch consistency
- Over 210 publications
- Trusted since 2006

View Alternative Names

Nuclear factor NF-kappa-B p105 subunit, DNA-binding factor KBF1, EBP-1, Nuclear factor of kappa light polypeptide gene enhancer in B-cells 1, NFKB1

11 Images
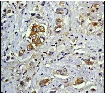
Immunohistochemistry (Formalin/PFA-fixed paraffin-embedded sections) - Anti-NFkB p105 / p50 antibody [E381] (AB32360)
  • IHC-P

Unknown

Immunohistochemistry (Formalin/PFA-fixed paraffin-embedded sections) - Anti-NFkB p105 / p50 antibody [E381] (AB32360)

Immunohistochemistry (Formalin/PFA-fixed paraffin-embedded sections) analysis of human prostate carcinoma tissue labelling NFkB p105 / p50 with unpurified ab32360 at a dilution of 1/250.

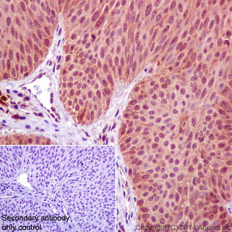
Immunohistochemistry (Formalin/PFA-fixed paraffin-embedded sections) - Anti-NFkB p105 / p50 antibody [E381] (AB32360)
  • IHC-P

Unknown

Immunohistochemistry (Formalin/PFA-fixed paraffin-embedded sections) - Anti-NFkB p105 / p50 antibody [E381] (AB32360)

Immunohistochemistry (Formalin/PFA-fixed paraffin-embedded sections) analysis of human bladder carcinoma tissue labelling NFkB p105 / p50 with purified ab32360 at 1/250. Heat mediated antigen retrieval was performed using Tris/EDTA buffer pH 9. ab97051, a HRP-conjugated goat anti-rabbit IgG (H+L) was used as the secondary antibody (1/500). Negative control using PBS instead of primary antibody. Counterstained with hematoxylin.

Western blot - Anti-NFkB p105 / p50 antibody [E381] (AB32360)
  • WB

Lab

Western blot - Anti-NFkB p105 / p50 antibody [E381] (AB32360)

Lanes 1- 2 : Merged signal (red and green). Green - ab32360 observed at 105 kDa. Red - Anti-GAPDH antibody [6C5] - Loading Control (ab8245) observed at 37 kDa.

ab32360 was shown to react with NFkB p105 / p50 in wild-type HeLa cells in western blot. The band observed in CRISPR/Cas9 edited cell line ab264823 (CRISPR/Cas9 edited cell lysate ab257003) lane below 105kDa may represent truncated forms and cleaved fragments. This has not been investigated further. Wild-type HeLa and NFKB1 CRISPR/Cas9 HeLa HeLa cell lysates were subjected to SDS-PAGE. Membrane was blocked for 1 hour at room temperature in 0.1% TBST with 3% non-fat dried milk. ab32360 and Anti-GAPDH antibody [6C5] - Loading Control (ab8245) were incubated overnight at 4°C at a 1 in 1000 dilution and a 1 in 20000 dilution respectively. Blots were developed with Goat anti-Rabbit IgG H&L (IRDye®800CW) preadsorbed (ab216773) and Goat anti-Mouse IgG H&L (IRDye®680RD) preadsorbed (ab216776) secondary antibodies at 1 in 20000 dilution for 1 hour at room temperature before imaging.

All lanes:

Western blot - Anti-NFkB p105 / p50 antibody [E381] (ab32360) at 1/1000 dilution

Lane 1:

Wild-type HeLa cell lysate at 20 µg

Lane 2:

NFKB1 CRISPR/Cas9 edited HeLa cell lysate at 20 µg

Predicted band size: 105 kDa

Observed band size: 105 kDa

false

Western blot - Anti-NFkB p105 / p50 antibody [E381] (AB32360)
  • WB

Unknown

Western blot - Anti-NFkB p105 / p50 antibody [E381] (AB32360)

Blocking and dilution buffer : 5% NFDM/TBST.

All lanes:

Western blot - Anti-NFkB p105 / p50 antibody [E381] (ab32360) at 1/50000 dilution

All lanes:

MCF-7 cell lysate at 10 µg

Secondary

All lanes:

Peroxidase conjugated goat anti-rabbit IgG (H+L) at 1/1000 dilution

Predicted band size: 105 kDa

Observed band size: 105 kDa,50 kDa

false

Western blot - Anti-NFkB p105 / p50 antibody [E381] (AB32360)
  • WB

Unknown

Western blot - Anti-NFkB p105 / p50 antibody [E381] (AB32360)

Lanes 1 - 4 : Merged signal (red and green). Green - ab32360 observed at 120, 50 kDa. Red - loading control, ab8245, observed at 37 kDa.

ab32360 was shown to specifically react with NFkB p105 / p50 when NFkB p105 / p50 knockout samples were used. Wild-type and NFkB p105 / p50 knockout samples were subjected to SDS-PAGE. ab32360 and ab8245 (loading control to GAPDH) were diluted at 1/1000 and 1/10 000 respectively and and incubated overnight at 4°C. Blots were developed with Goat anti-Rabbit IgG H&L (IRDye® 800CW) preadsorbed (ab216773) and Goat anti-Mouse IgG H&L (IRDye® 680RD) preadsorbed (ab216776) secondary antibodies at 1/10000 dilution for 1 hour at room temperature before imaging.

All lanes:

Western blot - Anti-NFkB p105 / p50 antibody [E381] (ab32360)

Lane 1:

Wild-type HAP1 cell lysate at 20 µg

Lane 2:

NFkB p105 / p50 knockout HAP1 cell lysate at 20 µg

Lane 3:

HeLa cell lysate at 20 µg

Lane 4:

Jurkat cell lysate at 20 µg

Predicted band size: 105 kDa

false

Western blot - Anti-NFkB p105 / p50 antibody [E381] (AB32360)
  • WB

Unknown

Western blot - Anti-NFkB p105 / p50 antibody [E381] (AB32360)

Blocking and dilution buffer : 5% NFDM/TBST.

All lanes:

Western blot - Anti-NFkB p105 / p50 antibody [E381] (ab32360) at 1/10000 dilution

All lanes:

HeLa cell lysate at 20 µg

Secondary

All lanes:

Peroxidase conjugated goat anti-rabbit IgG (H+L) at 1/1000 dilution

Predicted band size: 105 kDa

Observed band size: 105 kDa,50 kDa

false

Western blot - Anti-NFkB p105 / p50 antibody [E381] (AB32360)
  • WB

Unknown

Western blot - Anti-NFkB p105 / p50 antibody [E381] (AB32360)

Blocking and dilution buffer : 5% NFDM/TBST.

All lanes:

Western blot - Anti-NFkB p105 / p50 antibody [E381] (ab32360) at 1/10000 dilution

Lane 1:

PC-12 cell lysate at 20 µg

Lane 2:

NIH/3T3 cell lysate at 20 µg

Secondary

All lanes:

Peroxidase conjugated goat anti-rabbit IgG (H+L) at 1/1000 dilution

Predicted band size: 105 kDa

Observed band size: 105 kDa,50 kDa

false

Western blot - Anti-NFkB p105 / p50 antibody [E381] (AB32360)
  • WB

Unknown

Western blot - Anti-NFkB p105 / p50 antibody [E381] (AB32360)

All lanes:

Western blot - Anti-NFkB p105 / p50 antibody [E381] (ab32360) at 1/5000 dilution

All lanes:

HeLa cell lysate

Predicted band size: 105 kDa

Observed band size: 105 kDa,50 kDa

false

Western blot - Anti-NFkB p105 / p50 antibody [E381] (AB32360)
  • WB

AbReview64956****

Western blot - Anti-NFkB p105 / p50 antibody [E381] (AB32360)

All lanes:

Western blot - Anti-NFkB p105 / p50 antibody [E381] (ab32360) at 1/1000 dilution

All lanes:

mouse neural stem cell lysate at 40 µg

Secondary

All lanes:

Alexa Fluor 790 Goat fluorescent secondary at 1/10000 dilution

false

Exposure time: 1hr

This image is courtesy of an anonymous Abreview

Western blot - Anti-NFkB p105 / p50 antibody [E381] (AB32360)
  • WB

CiteAb

Western blot - Anti-NFkB p105 / p50 antibody [E381] (AB32360)

Western Blotting using Anti-NFkB p105 / p50 antibody [E381], ab32360. Publication image from Galle, P. R. et al., 2017, Nat Commun, 28452361. Legend direct from paper.

Bcl-3 prevents p50 binding to the Foxp3 and CTLA-4 promoter.(a) Western blot analysis of Bcl-3 and the NF-κB family members p50, p52 and p65 in nuclear versus whole extract of Bcl-3TOE and littermate controls using Tregs either unstimulated (left) or restimulated for 2 h with PMA/Ionomycin (right). One representative blot from two independent experiments is shown. (b) Immunoprecipitation with Bcl-3 antibodies using protein extracts from in vitro differentiated Tregs, restimulated with PMA/Ionomycin for 4 h and followed by immunoblot analysis with antibodies against Bcl-3 or p50. One representative blot from two independent experiments is shown. (c) Pull-down experiments with DNA probes from promoters of IL2Ra, Foxp3 CN2 (from top to bottowm) with protein extracts from Tregs to which Bcl-3 or empty vector overexpressing lysates were added. One out of two experiments is demonstrated. (d) CHiP assay using p50 and isotope control antibodies antibodies were performed in in vitro differentiated Tregs from Bcl3TOE mice and littermate controls. Primer were designed as indicated for two sites within the CTLA-4 and Foxp3 Promoter region. One of two representative biological examples is shown.

false

Western blot - Anti-NFkB p105 / p50 antibody [E381] (AB32360)
  • WB

CiteAb

Western blot - Anti-NFkB p105 / p50 antibody [E381] (AB32360)

Western Blotting using Anti-NFkB p105 / p50 antibody [E381], ab32360. Publication image from Galle, P. R. et al., 2017, Nat Commun, 28452361. Legend direct from paper.

Bcl-3 inhibits Foxp3 promoter activity via direct binding to p50.(a) Reporter assays with constructs containing the endogenous Foxp3 promoter, using in vitro differentiated Tregs restimulated with PMA/Ionomycin from Bcl-3TOE mice. The Luciferase reads from the pGL4 plasmid that contained the Foxp3 promoter or empty were normalized to a Renilla transfection control plasmid. One representative out of two independent experiments with four parallel transfections is shown. Mean±s.e.m. ***P<0.001 using unpaired Student's t-test. (b) Immunoprecipitations using nuclear extracts from HEK293T cells transfected with Bcl-3 wt and Bcl-3 mutant co-transfected with p50 were performed, followed by immune blot analysis using Bcl-3 and p50 antibodies. (c) Reporter assays for Foxp3 gene activity as described in a with in vitro expanded T cells transfected with Bcl-3 wt and Bcl-3-p50 mutant constructs. Normalization was performed as in a. One representative out of two independent experiments with four parallel transfections is shown. Mean±s.e.m. **P<0.01 and ***P<0.001 using unpaired Student's t-test; s>3.

false

  • Carrier free

    Anti-NFkB p105 / p50 antibody [E381] - BSA and Azide free

  • HRP

    HRP Anti-NFkB p105 / p50 antibody [E381]

  • 603 Alexa Fluor® 568

    Alexa Fluor® 568 Anti-NFkB p105 / p50 antibody [E381]

  • 565 Alexa Fluor® 555

    Alexa Fluor® 555 Anti-NFkB p105 / p50 antibody [E381]

  • 617 Alexa Fluor® 594

    Alexa Fluor® 594 Anti-NFkB p105 / p50 antibody [E381]

  • 665 Alexa Fluor® 647

    Alexa Fluor® 647 Anti-NFkB p105 / p50 antibody [E381]

  • 775 Alexa Fluor® 750

    Alexa Fluor® 750 Anti-NFkB p105 / p50 antibody [E381]

Key facts

Host species

Rabbit

Clonality

Monoclonal

Clone number

E381

Isotype

IgG

Carrier free

No

Reacts with

Mouse, Rat, Human

Applications

WB, IHC-P

applications

Immunogen

The exact immunogen used to generate this antibody is proprietary information.

Specificity

This antibody will detect both forms: p50 and p105.

Reactivity data

{ "title": "Reactivity Data", "filters": { "stats": ["", "Species", "Dilution Info", "Notes"], "tabs": { "all-applications": {"fullname" : "All Applications", "shortname": "All Applications"}, "WB" : {"fullname" : "Western blot", "shortname":"WB"}, "FlowCyt" : {"fullname" : "Flow Cytometry", "shortname":"Flow Cyt"}, "IHCP" : {"fullname" : "Immunohistochemistry (Formalin/PFA-fixed paraffin-embedded sections)", "shortname":"IHC-P"}, "IP" : {"fullname" : "Immunoprecipitation", "shortname":"IP"} }, "product-promise": { "all": "all", "testedAndGuaranteed": "tested", "guaranteed": "expected", "predicted": "predicted", "notRecommended": "not-recommended" } }, "values": { "Human": { "WB-species-checked": "testedAndGuaranteed", "WB-species-dilution-info": "1/1000 - 1/10000", "WB-species-notes": "<p></p>", "FlowCyt-species-checked": "notRecommended", "FlowCyt-species-dilution-info": "", "FlowCyt-species-notes": "<p><a href='/en-us/products/primary-antibodies/rabbit-igg-monoclonal-epr25a-isotype-control-ab172730'>ab172730</a> - Rabbit monoclonal IgG, is suitable for use as an isotype control with this antibody.</p>", "IHCP-species-checked": "testedAndGuaranteed", "IHCP-species-dilution-info": "1/250 - 1/500", "IHCP-species-notes": "<p></p> Perform heat-mediated antigen retrieval with Tris/EDTA buffer pH 9.0 before commencing with IHC staining protocol.", "IP-species-checked": "notRecommended", "IP-species-dilution-info": "", "IP-species-notes": "<p></p>" }, "Mouse": { "WB-species-checked": "guaranteed", "WB-species-dilution-info": "1/1000 - 1/10000", "WB-species-notes": "<p></p>", "FlowCyt-species-checked": "notRecommended", "FlowCyt-species-dilution-info": "", "FlowCyt-species-notes": "<p><a href='/en-us/products/primary-antibodies/rabbit-igg-monoclonal-epr25a-isotype-control-ab172730'>ab172730</a> - Rabbit monoclonal IgG, is suitable for use as an isotype control with this antibody.</p>", "IHCP-species-checked": "predicted", "IHCP-species-dilution-info": "", "IHCP-species-notes": "", "IP-species-checked": "notRecommended", "IP-species-dilution-info": "", "IP-species-notes": "" }, "Rat": { "WB-species-checked": "testedAndGuaranteed", "WB-species-dilution-info": "1/1000 - 1/10000", "WB-species-notes": "<p></p>", "FlowCyt-species-checked": "notRecommended", "FlowCyt-species-dilution-info": "", "FlowCyt-species-notes": "<p><a href='/en-us/products/primary-antibodies/rabbit-igg-monoclonal-epr25a-isotype-control-ab172730'>ab172730</a> - Rabbit monoclonal IgG, is suitable for use as an isotype control with this antibody.</p>", "IHCP-species-checked": "guaranteed", "IHCP-species-dilution-info": "", "IHCP-species-notes": "", "IP-species-checked": "notRecommended", "IP-species-dilution-info": "", "IP-species-notes": "" } } }

Product details

What is this antibody validated in?
Anti-NFkB p105 / p50 antibody [E381] (ab32360) is a rabbit recombinant monoclonal antibody and is validated for use in Western Blot (WB), Immunohistochemistry (IHC-P) in Human, Mouse, Rat samples.

What is the molecular weight of NFkB p105 / p50?
Anti-NFkB p105 / p50 [E381] (ab32360) specifically detects a band for NFkB p105 / p50 (UniProt: P19838) at a molecular weight of 50kDa.

Trusted by the scientific community
Anti-NFkB p105 / p50 [E381] (ab32360) was first used in a scientific publication in 2006 and has been cited over 210 times in peer-reviewed journals.

Reviewed by scientists
Anti-NFkB p105 / p50 [E381] (ab32360) has over 20 independent reviews from customers.

Trial sizes available!
Test your antibody or perform pre-screening before committing to a larger quantity. Sold in 10µl. Discover our selection of trial-size antibodies.

Specificity confirmed
The specificity of Anti-NFkB p105 / p50 antibody [E381] (ab32360) has been confirmed by Western blot testing in NFKB1 Knockout HAP1 cells.

Other related products
We have a range of other formats of antibody clone [E381] also available for your convenience: ab32360, HRP - ab195854, Carrier free - ab220803, Alexa Fluor® 647 - ab311174, Alexa Fluor® 594 - ab311829, Alexa Fluor® 568 - ab313112, Alexa Fluor® 555 - ab313305, Alexa Fluor® 750 - ab321590

Patented technology
Our RabMAb® technology is a patented hybridoma-based technology for making rabbit monoclonal antibodies. For details on our patents, please refer to RabMAb® patents.

What are the advantages of a recombinant monoclonal antibody?
This product is a recombinant monoclonal antibody, which offers several advantages including:

  • - High batch-to-batch consistency and reproducibility
  • - Improved sensitivity and specificity
  • - Long-term security of supply
  • - Animal-free batch production

For more information, read more on recombinant antibodies.

Properties and storage information

Form
Liquid
Purification technique
Affinity purification Protein A
Storage buffer
pH: 7.2 - 7.4 Preservative: 0.01% Sodium azide Constituents: PBS, 40% Glycerol (glycerin, glycerine), 0.05% BSA
Shipped at conditions
Blue Ice
Appropriate short-term storage duration
1-2 weeks
Appropriate short-term storage conditions
+4°C
Appropriate long-term storage conditions
-20°C
Aliquoting information
Upon delivery aliquot
Storage information
Avoid freeze / thaw cycle

Product protocols

For this product, it's our understanding that no specific protocols are required. You can visit:

Target data

NF-kappa-B is a pleiotropic transcription factor present in almost all cell types and is the endpoint of a series of signal transduction events that are initiated by a vast array of stimuli related to many biological processes such as inflammation, immunity, differentiation, cell growth, tumorigenesis and apoptosis. NF-kappa-B is a homo- or heterodimeric complex formed by the Rel-like domain-containing proteins RELA/p65, RELB, NFKB1/p105, NFKB1/p50, REL and NFKB2/p52 and the heterodimeric p65-p50 complex appears to be most abundant one. The dimers bind at kappa-B sites in the DNA of their target genes and the individual dimers have distinct preferences for different kappa-B sites that they can bind with distinguishable affinity and specificity. Different dimer combinations act as transcriptional activators or repressors, respectively. NF-kappa-B is controlled by various mechanisms of post-translational modification and subcellular compartmentalization as well as by interactions with other cofactors or corepressors. NF-kappa-B complexes are held in the cytoplasm in an inactive state complexed with members of the NF-kappa-B inhibitor (I-kappa-B) family. In a conventional activation pathway, I-kappa-B is phosphorylated by I-kappa-B kinases (IKKs) in response to different activators, subsequently degraded thus liberating the active NF-kappa-B complex which translocates to the nucleus. NF-kappa-B heterodimeric p65-p50 and RelB-p50 complexes are transcriptional activators. The NF-kappa-B p50-p50 homodimer is a transcriptional repressor, but can act as a transcriptional activator when associated with BCL3. NFKB1 appears to have dual functions such as cytoplasmic retention of attached NF-kappa-B proteins by p105 and generation of p50 by a cotranslational processing. The proteasome-mediated process ensures the production of both p50 and p105 and preserves their independent function, although processing of NFKB1/p105 also appears to occur post-translationally. p50 binds to the kappa-B consensus sequence 5'-GGRNNYYCC-3', located in the enhancer region of genes involved in immune response and acute phase reactions. In a complex with MAP3K8, NFKB1/p105 represses MAP3K8-induced MAPK signaling; active MAP3K8 is released by proteasome-dependent degradation of NFKB1/p105.. Nuclear factor NF-kappa-B p105 subunit. P105 is the precursor of the active p50 subunit (Nuclear factor NF-kappa-B p50 subunit) of the nuclear factor NF-kappa-B (PubMed : 1423592). Acts as a cytoplasmic retention of attached NF-kappa-B proteins by p105 (PubMed : 1423592).. Nuclear factor NF-kappa-B p50 subunit. Constitutes the active form, which associates with RELA/p65 to form the NF-kappa-B p65-p50 complex to form a transcription factor (PubMed : 1740106, PubMed : 7830764). Together with RELA/p65, binds to the kappa-B consensus sequence 5'-GGRNNYYCC-3', located in the enhancer region of genes involved in immune response and acute phase reactions (PubMed : 1740106, PubMed : 7830764).
See full target information NFKB1

Publications (269)

Recent publications for all applications. Explore the full list and refine your search

Scientific reports 15:27037 PubMed40715217

2025

Biotin/sulfasalazine combination therapy alleviates acetic acid-induced ulcerative colitis in rats via modulation of S1PR1/NF-κB/IL-23/STAT3/COX-2 axis.

Applications

Unspecified application

Species

Unspecified reactive species

Sahar A Helmy,Mahmoud M Samaha,Al Shaima G Abd El Salam,Nesma A Abd Elrazik

Computational and structural biotechnology journal 27:3066-3078 PubMed40697880

2025

Anticancer effects and mechanisms of , and on human lung carcinoma and hepatoma cells.

Applications

Unspecified application

Species

Unspecified reactive species

Mengzhen Li,Woonghee Kim,Han Jin,Hong Yang,Xiangtai Kong,Xiya Song,Hasan Turkez,Yuefeng Bi,Chengxue Pan,Ling Fu,Hongmin Liu,Mathias Uhlen,Cheng Zhang,Adil Mardinoglu

Veterinary research 56:131 PubMed40597301

2025

IDO1 promotes Echinococcus multilocularis infection by regulating the formation of neutrophil extracellular traps.

Applications

Unspecified application

Species

Unspecified reactive species

Haining Zhang,Ru Meng,Fan Zhang,Ao Chen,Hongrun Ge,Wangkai Chen,Zhi Li,Yong Fu

Scientific reports 15:4248 PubMed39905060

2025

Yiqi Juanshen decoction alleviates renal interstitial fibrosis by targeting the LOXL2/PI3K/AKT pathway to suppress EMT and inflammation.

Applications

Unspecified application

Species

Unspecified reactive species

Kaiyue Tan,Jingwei Deng,Yi Liu,Yudi Zhang,Yu Xiong,Su Yuan,Jun Liu,Zhiwei Chen,Yuanyuan Liu,Wenfu Cao

Apoptosis : an international journal on programmed cell death 30:880-893 PubMed39833632

2025

Exosomes derived from FN14-overexpressing BMSCs activate the NF-κB signaling pathway to induce PANoptosis in osteosarcoma.

Applications

Unspecified application

Species

Unspecified reactive species

Liangming Wang,Yanbin Huang,Xiaolu Zhang,Wenkai Chen,Zhangsheng Dai

Biology of sex differences 15:95 PubMed39587693

2024

Age- and sex-associated alterations in hypothalamic mitochondrial bioenergetics and inflammatory-associated signaling in the 3xTg mouse model of Alzheimer's disease.

Applications

Unspecified application

Species

Unspecified reactive species

Aida Adlimoghaddam,Kyle M Fontaine,Benedict C Albensi

International heart journal 65:1087-1094 PubMed39537169

2024

CITED2 Attenuates Ischemia Reperfusion-Induced Pyroptosis and Injury in Cardiomyocyte.

Applications

Unspecified application

Species

Unspecified reactive species

Long Qian,Juan Zhao,Mengtao Fan,Jie Wang,Zhuqing Ji

Molecules (Basel, Switzerland) 29: PubMed39519712

2024

Ferulic Acid Interferes with Radioactive Intestinal Injury Through the DJ-1-Nrf2 and Sirt1-NF-κB-NLRP3 Pathways.

Applications

Unspecified application

Species

Unspecified reactive species

Xuemei Zhang,Haoyu Zhang,Mingyue Huang,Yu Mei,Changkun Hu,Congshu Huang,Huiting Zhang,Xue Wei,Yue Gao,Zengchun Ma

Biological & pharmaceutical bulletin 47:1774-1785 PubMed39477471

2024

5-Demethylnobiletin Ameliorates Isoproterenol-Induced Cardiac Fibrosis and Apoptosis by Repressing the Sirt1/FOXO3a/NF-κB and Wnt/β-Catenin Pathways.

Applications

Unspecified application

Species

Unspecified reactive species

Haiyan Du,Weizhong Huangfu,Zhonghua Liu,Gaopeng Jia,Feng Zhao,Wenjun Cheng

Biochemistry and biophysics reports 40:101833 PubMed39398537

2024

CEACAM1 increased the lymphangiogenesis through miR-423-5p and NF- kB in Non-Small Cell Lung Cancer.

Applications

Unspecified application

Species

Unspecified reactive species

Jie Yu,Wenke Cai,Tao Zhou,Bo Men,Shunqiong Chen,Dong Tu,Wei Guo,Jicui Wang,Feipeng Zhao,Yan Wang
View all publications

Product promise

We are committed to supporting your work with high-quality reagents, and we're here for you every step of the way. In the unlikely event that one of our products does not perform as expected, you're protected by our Product Promise.
For full details, please see our Terms & Conditions

Please note: All products are 'FOR RESEARCH USE ONLY. NOT FOR USE IN DIAGNOSTIC OR THERAPEUTIC PROCEDURES'.

For licensing inquiries, please contact partnerships@abcam.com