JavaScript is disabled in your browser. Please enable JavaScript to view this website.
AB220803

Anti-NFkB p105 / p50 antibody [E381] - BSA and Azide free

Be the first to review this product! Submit a review

|

(44 Publications)

Rabbit Recombinant Monoclonal NFkB p105 / p50 antibody. Carrier free. Suitable for WB, IHC-P and reacts with Human, Mouse, Rat samples. Cited in 44 publications.

View Alternative Names

Nuclear factor NF-kappa-B p105 subunit, DNA-binding factor KBF1, EBP-1, Nuclear factor of kappa light polypeptide gene enhancer in B-cells 1, NFKB1

5 Images
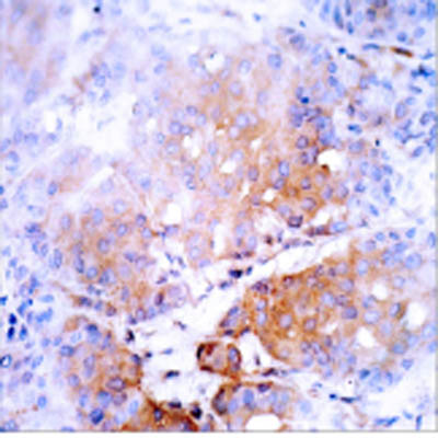
Immunohistochemistry (Formalin/PFA-fixed paraffin-embedded sections) - Anti-NFkB p105 / p50 antibody [E381] - BSA and Azide free (AB220803)
  • IHC-P

Unknown

Immunohistochemistry (Formalin/PFA-fixed paraffin-embedded sections) - Anti-NFkB p105 / p50 antibody [E381] - BSA and Azide free (AB220803)

Immunohistochemistry (Formalin/PFA-fixed paraffin-embedded sections) analysis of human bladder carcinoma tissue labelling NFkB p105 / p50 with purified ab32360 at 1/250. Heat mediated antigen retrieval was performed using Tris/EDTA buffer pH 9. ab97051, a HRP-conjugated goat anti-rabbit IgG (H+L) was used as the secondary antibody (1/500). Negative control using PBS instead of primary antibody. Counterstained with hematoxylin.

This data was developed using the same antibody clone in a different buffer formulation containing PBS, BSA, glycerol, and sodium azide (ab32360).

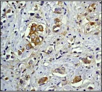
Immunohistochemistry (Formalin/PFA-fixed paraffin-embedded sections) - Anti-NFkB p105 / p50 antibody [E381] - BSA and Azide free (AB220803)
  • IHC-P

Unknown

Immunohistochemistry (Formalin/PFA-fixed paraffin-embedded sections) - Anti-NFkB p105 / p50 antibody [E381] - BSA and Azide free (AB220803)

Immunohistochemistry (Formalin/PFA-fixed paraffin-embedded sections) analysis of human prostate carcinoma tissue labelling NFkB p105 / p50 with unpurified ab32360 at a dilution of 1/250.

This data was developed using the same antibody clone in a different buffer formulation containing PBS, BSA, glycerol, and sodium azide (ab32360).

Western blot - Anti-NFkB p105 / p50 antibody [E381] - BSA and Azide free (AB220803)
  • WB

Lab

Western blot - Anti-NFkB p105 / p50 antibody [E381] - BSA and Azide free (AB220803)

Lanes 1 - 4 : Merged signal (red and green). Green - ab32360 observed at 120, 50 kDa. Red - loading control, ab8245, observed at 37 kDa.

ab32360 was shown to specifically react with NFkB p105 / p50 when NFkB p105 / p50 knockout samples were used. Wild-type and NFkB p105 / p50 knockout samples were subjected to SDS-PAGE. ab32360 and ab8245 (loading control to GAPDH) were diluted at 1/1000 and 1/10 000 respectively and and incubated overnight at 4°C. Blots were developed with Goat anti-Rabbit IgG H&L (IRDye® 800CW) preadsorbed (ab216773) and Goat anti-Mouse IgG H&L (IRDye® 680RD) preadsorbed (ab216776) secondary antibodies at 1/10000 dilution for 1 hour at room temperature before imaging.

This data was developed using the same antibody clone in a different buffer formulation containing PBS, BSA, glycerol, and sodium azide (ab32360).

All lanes:

Western blot - Anti-NFkB p105 / p50 antibody [E381] - BSA and Azide free (ab220803)

Lane 1:

Wild-type HAP1 cell lysate at 20 µg

Lane 2:

NFkB p105 / p50 knockout HAP1 cell lysate at 20 µg

Lane 3:

HeLa cell lysate at 20 µg

Lane 4:

Jurkat cell lysate at 20 µg

Predicted band size: 105 kDa

false

Western blot - Anti-NFkB p105 / p50 antibody [E381] - BSA and Azide free (AB220803)
  • WB

Lab

Western blot - Anti-NFkB p105 / p50 antibody [E381] - BSA and Azide free (AB220803)

This data was developed using the same antibody clone in a different buffer formulation containing PBS, BSA, glycerol, and sodium azide (ab32360).

Lanes 1- 2 : Merged signal (red and green). Green - ab32360 observed at 105 kDa. Red - Anti-GAPDH antibody [6C5] - Loading Control (ab8245) observed at 37 kDa.

ab32360 was shown to react with NFkB p105 / p50 in wild-type HeLa cells in western blot. The band observed in CRISPR/Cas9 edited cell line ab264823 (CRISPR/Cas9 edited cell lysate ab257003) lane below 105kDa may represent truncated forms and cleaved fragments. This has not been investigated further. Wild-type HeLa and NFKB1 CRISPR/Cas9 edited HeLa cell lysates were subjected to SDS-PAGE. Membrane was blocked for 1 hour at room temperature in 0.1% TBST with 3% non-fat dried milk. ab32360 and Anti-GAPDH antibody [6C5] - Loading Control (ab8245) were incubated overnight at 4°C at a 1 in 1000 dilution and a 1 in 20000 dilution respectively. Blots were developed with Goat anti-Rabbit IgG H&L (IRDye®800CW) preadsorbed (ab216773) and Goat anti-Mouse IgG H&L (IRDye®680RD) preadsorbed (ab216776) secondary antibodies at 1 in 20000 dilution for 1 hour at room temperature before imaging.

All lanes:

Western blot - Anti-NFkB p105 / p50 antibody [E381] (<a href='/en-us/products/primary-antibodies/nfkb-p105-p50-antibody-e381-ab32360'>ab32360</a>) at 1/1000 dilution

Lane 1:

Wild-type HeLa cell lysate at 20 µg

Lane 2:

NFKB1 CRISPR/Cas9 edited HeLa cell lysate at 20 µg

Predicted band size: 105 kDa

Observed band size: 105 kDa

false

Western blot - Anti-NFkB p105 / p50 antibody [E381] - BSA and Azide free (AB220803)
  • WB

CiteAb

Western blot - Anti-NFkB p105 / p50 antibody [E381] - BSA and Azide free (AB220803)

NFkB p105 / p50 western blot using anti-NFkB p105 / p50 antibody [E381] - BSA and Azide free ab220803. Publication image and figure legend from Xiao, X., Shi, X., et al., 2015, Nat Commun, PubMed 26365427.

ab220803 was used in this publication in western blot. This may not be the same as the application(s) guaranteed by Abcam. For a full list of applications guaranteed by Abcam for ab220803 please see the product overview.

Role of p50 in recruitment of histone deacetylases to the Foxp3 locus to inhibit Foxp3 expression.(a) Schematic diagram depicting Foxp3 locus structure and consensus κB binding sites (boxed) in the Foxp3 promoter and CNS1–2 regions. (b) ChIP analysis of p50 enrichment at the Foxp3 promoter and CNS1–2 sites in naive CD4+ cells left untreated (Unstim) or activated under iTreg-polarizing conditions in the presence of DTA-1. Data represent mean values±s.d. (n=4). (c) Co-immunoprecipitation analysis of p50 in naive CD4+ T cells activated as in (b). Anti-p50 or control IgG immunoprecipitates (IP) were subjected to immunoblot analysis (IB) using anti-HDAC1 and anti-Sirt1 antibodies. Data are representative of three independent experiments. (d) ChIP analysis of HDAC1 binding to the Foxp3 promoter and CNS1–2 sites in naive CD4+ cells stimulated under iTreg-polarizing conditions in the presence of DTA-1 or IgG. Data represent mean values±s.d. (n=3). (e,f) Flow cytometry analysis of Foxp3 expression in naive CD4+ T cells activated as in (d) for 3 days in the presence of HDAC1 inhibitor CI-994 (CI, 1 μM) or Sirt1 inhibitor EX-527 ( EX, 0.5 μM). Numbers in the quadrants indicate the percentage of Foxp3+ cells (e). (f) Plots shows mean±s.d. of Foxp3+ T cells from 3 experiments with duplicate culture. P values were determined by Student's t-test (*p<0.05).

false

Key facts

Host species

Rabbit

Clonality

Monoclonal

Clone number

E381

Isotype

IgG

Carrier free

Yes

Reacts with

Mouse, Rat, Human

Applications

IHC-P, WB

applications

Immunogen

The exact immunogen used to generate this antibody is proprietary information.

Specificity

This antibody will detect both forms: p50 and p105.

Reactivity data

{ "title": "Reactivity Data", "filters": { "stats": ["", "Species", "Dilution Info", "Notes"], "tabs": { "all-applications": {"fullname" : "All Applications", "shortname": "All Applications"}, "FlowCyt" : {"fullname" : "Flow Cytometry", "shortname":"Flow Cyt"}, "WB" : {"fullname" : "Western blot", "shortname":"WB"}, "IHCP" : {"fullname" : "Immunohistochemistry (Formalin/PFA-fixed paraffin-embedded sections)", "shortname":"IHC-P"} }, "product-promise": { "all": "all", "testedAndGuaranteed": "tested", "guaranteed": "expected", "predicted": "predicted", "notRecommended": "not-recommended" } }, "values": { "Human": { "FlowCyt-species-checked": "notRecommended", "FlowCyt-species-dilution-info": "", "FlowCyt-species-notes": "<p><a href='/en-us/products/primary-antibodies/rabbit-igg-monoclonal-epr25a-isotype-control-low-endotoxin-azide-free-ab199376'>ab199376</a> - Rabbit monoclonal IgG, is suitable for use as an isotype control with this antibody.</p>", "WB-species-checked": "testedAndGuaranteed", "WB-species-dilution-info": "", "WB-species-notes": "<p></p>", "IHCP-species-checked": "testedAndGuaranteed", "IHCP-species-dilution-info": "", "IHCP-species-notes": "<p></p>" }, "Mouse": { "FlowCyt-species-checked": "notRecommended", "FlowCyt-species-dilution-info": "", "FlowCyt-species-notes": "<p><a href='/en-us/products/primary-antibodies/rabbit-igg-monoclonal-epr25a-isotype-control-low-endotoxin-azide-free-ab199376'>ab199376</a> - Rabbit monoclonal IgG, is suitable for use as an isotype control with this antibody.</p>", "WB-species-checked": "testedAndGuaranteed", "WB-species-dilution-info": "", "WB-species-notes": "<p></p>", "IHCP-species-checked": "guaranteed", "IHCP-species-dilution-info": "", "IHCP-species-notes": "" }, "Rat": { "FlowCyt-species-checked": "notRecommended", "FlowCyt-species-dilution-info": "", "FlowCyt-species-notes": "<p><a href='/en-us/products/primary-antibodies/rabbit-igg-monoclonal-epr25a-isotype-control-low-endotoxin-azide-free-ab199376'>ab199376</a> - Rabbit monoclonal IgG, is suitable for use as an isotype control with this antibody.</p>", "WB-species-checked": "testedAndGuaranteed", "WB-species-dilution-info": "", "WB-species-notes": "<p></p>", "IHCP-species-checked": "guaranteed", "IHCP-species-dilution-info": "", "IHCP-species-notes": "" } } }

Product details

ab220803 is the carrier-free version of ab32360.

Patented technology
Our RabMAb® technology is a patented hybridoma-based technology for making rabbit monoclonal antibodies. For details on our patents, please refer to RabMAb® patents.

What are the advantages of a recombinant monoclonal antibody?
This product is a recombinant monoclonal antibody, which offers several advantages including:

  • - High batch-to-batch consistency and reproducibility
  • - Improved sensitivity and specificity
  • - Long-term security of supply
  • - Animal-free batch production

For more information, read more on recombinant antibodies.

Conjugation ready
Our carrier-free antibodies are typically supplied in a PBS-only formulation, purified and free of BSA, sodium azide and glycerol. This conjugation-ready format is designed for use with fluorochromes, metal isotopes, oligonucleotides, and enzymes, which makes them ideal for antibody labelling, functional and cell-based assays, flow-based assays (e.g. mass cytometry) and Multiplex Imaging applications.

Use our conjugation kits for antibody conjugates that are ready-to-use in as little as 20 minutes with 1 minute hands-on-time and 100% antibody recovery: available for fluorescent dyes, HRP, biotin and gold.

Compatibility
This product is compatible with the Maxpar® Antibody Labeling Kit from Fluidigm, without the need for antibody preparation. Maxpar® is a trademark of Fluidigm Canada Inc.

Properties and storage information

Form
Liquid
Purification technique
Affinity purification Protein A
Storage buffer
pH: 7.2 - 7.4 Constituents: PBS
Shipped at conditions
Blue Ice
Appropriate short-term storage conditions
+4°C
Appropriate long-term storage conditions
+4°C
Storage information
Do Not Freeze

Product protocols

For this product, it's our understanding that no specific protocols are required. You can visit:

Target data

NF-kappa-B is a pleiotropic transcription factor present in almost all cell types and is the endpoint of a series of signal transduction events that are initiated by a vast array of stimuli related to many biological processes such as inflammation, immunity, differentiation, cell growth, tumorigenesis and apoptosis. NF-kappa-B is a homo- or heterodimeric complex formed by the Rel-like domain-containing proteins RELA/p65, RELB, NFKB1/p105, NFKB1/p50, REL and NFKB2/p52 and the heterodimeric p65-p50 complex appears to be most abundant one. The dimers bind at kappa-B sites in the DNA of their target genes and the individual dimers have distinct preferences for different kappa-B sites that they can bind with distinguishable affinity and specificity. Different dimer combinations act as transcriptional activators or repressors, respectively. NF-kappa-B is controlled by various mechanisms of post-translational modification and subcellular compartmentalization as well as by interactions with other cofactors or corepressors. NF-kappa-B complexes are held in the cytoplasm in an inactive state complexed with members of the NF-kappa-B inhibitor (I-kappa-B) family. In a conventional activation pathway, I-kappa-B is phosphorylated by I-kappa-B kinases (IKKs) in response to different activators, subsequently degraded thus liberating the active NF-kappa-B complex which translocates to the nucleus. NF-kappa-B heterodimeric p65-p50 and RelB-p50 complexes are transcriptional activators. The NF-kappa-B p50-p50 homodimer is a transcriptional repressor, but can act as a transcriptional activator when associated with BCL3. NFKB1 appears to have dual functions such as cytoplasmic retention of attached NF-kappa-B proteins by p105 and generation of p50 by a cotranslational processing. The proteasome-mediated process ensures the production of both p50 and p105 and preserves their independent function, although processing of NFKB1/p105 also appears to occur post-translationally. p50 binds to the kappa-B consensus sequence 5'-GGRNNYYCC-3', located in the enhancer region of genes involved in immune response and acute phase reactions. In a complex with MAP3K8, NFKB1/p105 represses MAP3K8-induced MAPK signaling; active MAP3K8 is released by proteasome-dependent degradation of NFKB1/p105.. Nuclear factor NF-kappa-B p105 subunit. P105 is the precursor of the active p50 subunit (Nuclear factor NF-kappa-B p50 subunit) of the nuclear factor NF-kappa-B (PubMed : 1423592). Acts as a cytoplasmic retention of attached NF-kappa-B proteins by p105 (PubMed : 1423592).. Nuclear factor NF-kappa-B p50 subunit. Constitutes the active form, which associates with RELA/p65 to form the NF-kappa-B p65-p50 complex to form a transcription factor (PubMed : 1740106, PubMed : 7830764). Together with RELA/p65, binds to the kappa-B consensus sequence 5'-GGRNNYYCC-3', located in the enhancer region of genes involved in immune response and acute phase reactions (PubMed : 1740106, PubMed : 7830764).
See full target information NFKB1

Publications (44)

Recent publications for all applications. Explore the full list and refine your search

Discover oncology 16:489 PubMed40198509

2025

Acinar cells modulate the tumor microenvironment through the promotion of M1 macrophage polarization via macrophage endocytosis in pancreatic cancer.

Applications

Unspecified application

Species

Unspecified reactive species

Congjia Ma,Wenbo Zhu,Xiulin Hu,Deli Wu,Xintong Zhao,Yiqi Du,Xiangyu Kong

Scientific reports 15:875 PubMed39762378

2025

6-hydroxygenistein attenuates hypoxia-induced injury via activating Nrf2/HO-1 signaling pathway in PC12 cells.

Applications

Unspecified application

Species

Unspecified reactive species

Pengpeng Zhang,Jie Zhang,Chuan Ma,Huiping Ma,Linlin Jing

Drug development research 85:e70033 PubMed39660541

2024

Heme Oxygenase-1 Overexpression Activates the IRF1/DRP1 Signaling Pathway to Promote M2-Type Polarization of Spinal Cord Microglia.

Applications

Unspecified application

Species

Unspecified reactive species

Wenping Lin,Ziming Cai,Jinzhu Liang,Ping Miao,Ye Ruan,Pian Li,Shuhui Lin,He Tian,Qinghe Yu,Xu He

Experimental and therapeutic medicine 25:264 PubMed37206565

2023

PRMT5 inhibition ameliorates inflammation and promotes the osteogenic differentiation of LPS‑induced periodontal stem cells via STAT3/NF‑κB signaling.

Applications

Unspecified application

Species

Unspecified reactive species

Kun Zhang,Changshun Li,Jian Sun,Xiaobei Tian

Physiology international 109:215-229 PubMed35895566

2022

Uridine alleviates LPS-induced ARDS and improves insulin sensitivity by decreasing oxidative stress and inflammatory processes.

Applications

Unspecified application

Species

Unspecified reactive species

Lei Zhang,Bin Li,Degang Zhang,Zhuo Wang,Ye Zhao,Qin Yu

Experimental and therapeutic medicine 22:1139 PubMed34504585

2021

C1q/TNF-related protein 9 decreases cardiomyocyte hypoxia/reoxygenation-induced inflammation by inhibiting the TLR4/MyD88/NF-κB signaling pathway.

Applications

Unspecified application

Species

Unspecified reactive species

Zhongyi Huang,Dan Zhao,Yongjian Wang,Xiaolei Li,Jianqiu Li,Jie Han,Lisi Jiang,Fen Ai,Zhaoxiong Zhou

The Kaohsiung journal of medical sciences 37:795-802 PubMed34042286

2021

MiR-128-3p alleviates TNBS-induced colitis through inactivating TRAF6/NF-κB signaling pathway in rats.

Applications

Unspecified application

Species

Unspecified reactive species

Ling-Ling Huo,Zhao-Rui Sun

Yonsei medical journal 62:325-337 PubMed33779086

2021

Inhibition of Long Noncoding RNA SNHG15 Ameliorates Hypoxia/Ischemia-Induced Neuronal Damage by Regulating miR-302a-3p/STAT1/NF-κB Axis.

Applications

Unspecified application

Species

Unspecified reactive species

Chunting Hu,Chen Li,Qiaoya Ma,Ruili Wang,Ya He,Hui Wang,Guogang Luo

Clinics (Sao Paulo, Brazil) 76:e2484 PubMed33681946

2021

miR-139-5p protects septic mice with acute lung injury by inhibiting Toll-like receptor 4/Myeloid differentiation factor 88/Nuclear factor-&mac_kgr;B signaling pathway.

Applications

Unspecified application

Species

Unspecified reactive species

Xiuxiu Zhang,Xin Liu,Rui Chang,Yue Li

Cell death & disease 11:1008 PubMed33230102

2020

Exosomal circ_DLGAP4 promotes diabetic kidney disease progression by sponging miR-143 and targeting ERBB3/NF-κB/MMP-2 axis.

Applications

Unspecified application

Species

Unspecified reactive species

Shoujun Bai,Xiaoyan Xiong,Bo Tang,Tingting Ji,Xiaoying Li,Xiaolei Qu,Weiliang Li
View all publications

Product promise

We are committed to supporting your work with high-quality reagents, and we're here for you every step of the way. In the unlikely event that one of our products does not perform as expected, you're protected by our Product Promise.
For full details, please see our Terms & Conditions

Please note: All products are 'FOR RESEARCH USE ONLY. NOT FOR USE IN DIAGNOSTIC OR THERAPEUTIC PROCEDURES'.

For licensing inquiries, please contact partnerships@abcam.com