JavaScript is disabled in your browser. Please enable JavaScript to view this website.
AB283716

Anti-NFkB p105 / p50 antibody [EPR25226-156] - BSA and Azide free

  • BOND RX™ Validated
  • RabMAb
  • Recombinant
  • KO Validated
  • What is this?

Be the first to review this product! Submit a review

|

(2 Publications)

Rabbit Recombinant Monoclonal NFkB p105 / p50 antibody. Carrier free. Suitable for IP, WB, IHC-P and reacts with Human samples. Cited in 2 publications.

View Alternative Names

Nuclear factor NF-kappa-B p105 subunit, DNA-binding factor KBF1, EBP-1, Nuclear factor of kappa light polypeptide gene enhancer in B-cells 1, NFKB1

7 Images
Immunohistochemistry (Formalin/PFA-fixed paraffin-embedded sections) - Anti-NFkB p105 / p50 antibody [EPR25226-156] - BSA and Azide free (AB283716)
  • IHC-P

Supplier Data

Immunohistochemistry (Formalin/PFA-fixed paraffin-embedded sections) - Anti-NFkB p105 / p50 antibody [EPR25226-156] - BSA and Azide free (AB283716)

This data was developed using ab283688, the same antibody clone in a different buffer formulation.

Immunohistochemical analysis of paraffin-embedded Human tonsil tissue labelling NFkB p105/p50 with ab283688 at 1/4000 (0.134 ug/ml) dilution followed by a ready to use LeicaDS9800 (Bond™ Polymer Refine Detection). Positive staining on human tonsil. The section was incubated with ab283688 for 30 mins at room temperature. The immunostaining was performed on a Leica Biosystems BOND® RX instrument Counterstained with Hematoxylin.

Secondary antibody only control : Secondary antibody is a ready to use LeicaDS9800 (Bond™ Polymer Refine Detection).

Heat mediated antigen retrieval with Tris-EDTA buffer (pH 9.0, epitope retrieval solution2) for 20 mins

Immunohistochemistry (Formalin/PFA-fixed paraffin-embedded sections) - Anti-NFkB p105 / p50 antibody [EPR25226-156] - BSA and Azide free (AB283716)
  • IHC-P

Supplier Data

Immunohistochemistry (Formalin/PFA-fixed paraffin-embedded sections) - Anti-NFkB p105 / p50 antibody [EPR25226-156] - BSA and Azide free (AB283716)

This data was developed using ab283688, the same antibody clone in a different buffer formulation.

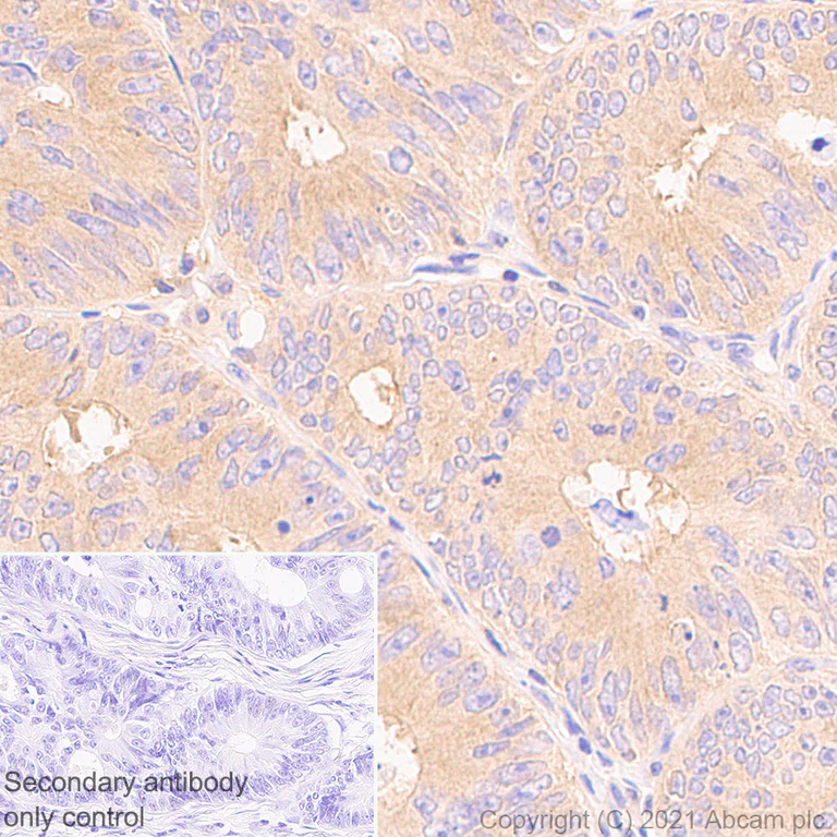
Immunohistochemical analysis of paraffin-embedded Human colon cancer tissue labelling NFkB p105/p50 with ab283688 at 1/4000 (0.134 ug/ml) dilution followed by a ready to use LeicaDS9800 (Bond™ Polymer Refine Detection) was used. Cytoplasmic staining on human colon cancer. The section was incubated with ab283688 for 30 mins at room temperature. The immunostaining was performed on a Leica Biosystems BOND® RX instrument Counterstained with Hematoxylin.

Secondary antibody only control : Secondary antibody is a ready to use LeicaDS9800 (Bond™ Polymer Refine Detection).

Heat mediated antigen retrieval with Tris-EDTA buffer (pH 9.0, epitope retrieval solution2) for 20 mins

Immunohistochemistry (Formalin/PFA-fixed paraffin-embedded sections) - Anti-NFkB p105 / p50 antibody [EPR25226-156] - BSA and Azide free (AB283716)
  • IHC-P

Supplier Data

Immunohistochemistry (Formalin/PFA-fixed paraffin-embedded sections) - Anti-NFkB p105 / p50 antibody [EPR25226-156] - BSA and Azide free (AB283716)

This data was developed using ab283688, the same antibody clone in a different buffer formulation.

Immunohistochemical analysis of paraffin-embedded Human liver tissue labelling NFkB p105/p50 with ab283688 at 1/4000 (0.134 ug/ml) dilution followed by a ready to use LeicaDS9800 (Bond™ Polymer Refine Detection) was used. Negative control : No staining on human liver. The section was incubated with ab283688 for 30 mins at room temperature.The immunostaining was performed on a Leica Biosystems BOND® RX instrument Counterstained with Hematoxylin.

Secondary antibody only control : Secondary antibody is a ready to use LeicaDS9800 (Bond™ Polymer Refine Detection).

Heat mediated antigen retrieval with Tris-EDTA buffer (pH 9.0, epitope retrieval solution2) for 20 mins

Immunohistochemistry (Formalin/PFA-fixed paraffin-embedded sections) - Anti-NFkB p105 / p50 antibody [EPR25226-156] - BSA and Azide free (AB283716)
  • IHC-P

Supplier Data

Immunohistochemistry (Formalin/PFA-fixed paraffin-embedded sections) - Anti-NFkB p105 / p50 antibody [EPR25226-156] - BSA and Azide free (AB283716)

This data was developed using ab283688, the same antibody clone in a different buffer formulation.

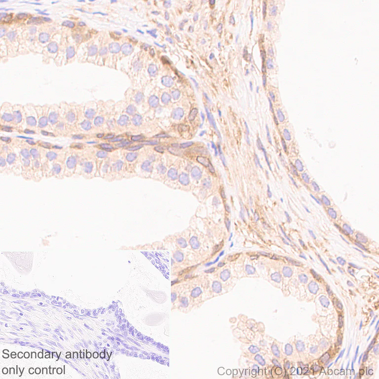
Immunohistochemical analysis of paraffin-embedded Human prostate hyperplasia tissue labelling NFkB p105/p50 with ab283688 at 1/4000 (0.134 ug/ml) dilution followed by a ready to use LeicaDS9800 (Bond™ Polymer Refine Detection). Cytoplasmic staining on human prostate hyperplasia. The section was incubated with ab283688 for 30 mins at room temperature. The immunostaining was performed on a Leica Biosystems BOND® RX instrument Counterstained with Hematoxylin.

Secondary antibody only control : Secondary antibody is a ready to use LeicaDS9800 (Bond™ Polymer Refine Detection).

Heat mediated antigen retrieval with Tris-EDTA buffer (pH 9.0, epitope retrieval solution2) for 20 mins

Immunoprecipitation - Anti-NFkB p105 / p50 antibody [EPR25226-156] - BSA and Azide free (AB283716)
  • IP

Supplier Data

Immunoprecipitation - Anti-NFkB p105 / p50 antibody [EPR25226-156] - BSA and Azide free (AB283716)

This data was developed using ab283688, the same antibody clone in a different buffer formulation.

NFκB p105/p50 was immunoprecipitated from 0.35 mg HAP1 (human chronic myelogenous leukemia near-haploid cell) whole cell lysate 10 μg with ab283688 at 1/30 dilution (2ug in 0.35mg lysates). Western blot was performed on the immunoprecipitate using ab283688 at 1/1000 dilution. VeriBlot for IP secondary antibody(HRP)(ab131366) was used at 1/5000 dilution.

Lane 1 : HAP1 (human chronic myelogenous leukemia near-haploid cell) whole cell lysate 10 μg

Lane 2 : ab283688 IP in HAP1 whole cell lysate

Lane 3 : Rabbit monoclonal IgG (ab172730) instead of ab283688 in HAP1 whole cell lysate

Blocking and dilution buffer and concentration : 5% NFDM/TBST.

Exposure time : 7.75 seconds

All lanes:

Immunoprecipitation - Anti-NFkB p105 / p50 antibody [EPR25226-156] (<a href='/en-us/products/primary-antibodies/nfkb-p105-p50-antibody-epr25226-156-ab283688'>ab283688</a>)

Predicted band size: 105 kDa

Observed band size: 50 kDa

false

Western blot - Anti-NFkB p105 / p50 antibody [EPR25226-156] - BSA and Azide free (AB283716)
  • WB

Lab

Western blot - Anti-NFkB p105 / p50 antibody [EPR25226-156] - BSA and Azide free (AB283716)

This data was developed using ab283688, the same antibody clone in a different buffer formulation.

Blocking and diluting buffer and concentration : 5% NFDM/TBST

Exposure time : 59 seconds

All lanes:

Western blot - Anti-NFkB p105 / p50 antibody [EPR25226-156] (<a href='/en-us/products/primary-antibodies/nfkb-p105-p50-antibody-epr25226-156-ab283688'>ab283688</a>) at 1/1000 dilution

All lanes:

Human heart tissue lysate at 20 µg

Secondary

All lanes:

VeriBlot for IP secondary antibody(HRP)(<a href='/en-us/products/reagents/veriblot-for-ip-detection-reagent-hrp-ab131366'>ab131366</a>) at 1/1000 dilution

Predicted band size: 105 kDa

false

Western blot - Anti-NFkB p105 / p50 antibody [EPR25226-156] - BSA and Azide free (AB283716)
  • WB

Lab

Western blot - Anti-NFkB p105 / p50 antibody [EPR25226-156] - BSA and Azide free (AB283716)

This data was developed using ab283688, the same antibody clone in a different buffer formulation.

Blocking and diluting buffer and concentration : Intercept® (TBS) Blocking Buffer diluted with an equal volume of 0.1% TBSLanes 1 - 3 : Merged signal (red and green). Green - ab283688 observed at 120, 50 kDa. Red - loading control, ab8245, was observed at 36 kDa.

ab283688 was shown to specifically react with NFkB p105 / p50 when NFkB p105 / p50 knockout samples were used. Wild-type and NFkB p105 / p50 knockout samples were subjected to SDS-PAGE.

ab283688 and Anti-GAPDH antibody [6C5] - Loading Control (ab8245) were incubated at 4°C overnight at 1 in 1000 dilution and 1 in 20000 dilution respectively. Blots were developed with Goat anti-Rabbit IgG H&L (IRDye® 800CW) preadsorbed (ab216773) and Goat anti-Mouse IgG H&L (IRDye® 680RD) preadsorbed (ab216776) secondary antibodies at 1 in 10000 dilution for 1 hour at room temperature before imaging.

All lanes:

Western blot - Anti-NFkB p105 / p50 antibody [EPR25226-156] (<a href='/en-us/products/primary-antibodies/nfkb-p105-p50-antibody-epr25226-156-ab283688'>ab283688</a>) at 1/1000 dilution

Lane 1:

Wild-type HAP1 (human chronic myelogenous leukemia near-haploid cell) whole cell lysate at 20 µg

Lane 2:

NFkB p105 / p50 knockout HAP1 whole cell lysate at 20 µg

Lane 3:

HeLa (human cervix adenocarcinoma epithelial cell), whole cell lysate at 20 µg

Secondary

All lanes:

Goat Anti-Rabbit IgG H&L (IRDye® 800CW) (<a href='/en-us/products/secondary-antibodies/goat-rabbit-igg-h-l-irdye-800cw-preadsorbed-ab216773'>ab216773</a>) and Goat Anti-Mouse IgG H&L (IRDye® 680RD) (<a href='/en-us/products/secondary-antibodies/goat-mouse-igg-h-l-irdye-680rd-preadsorbed-ab216776'>ab216776</a>) at 1/10000 dilution

Predicted band size: 105 kDa

Observed band size: 120 kDa,50 kDa

false

Key facts

Host species

Rabbit

Clonality

Monoclonal

Clone number

EPR25226-156

Isotype

IgG

Carrier free

Yes

Reacts with

Human

Applications

IP, WB, IHC-P

applications

Immunogen

The exact immunogen used to generate this antibody is proprietary information.

Reactivity data

{ "title": "Reactivity Data", "filters": { "stats": ["", "Species", "Dilution Info", "Notes"], "tabs": { "all-applications": {"fullname" : "All Applications", "shortname": "All Applications"}, "IP" : {"fullname" : "Immunoprecipitation", "shortname":"IP"}, "WB" : {"fullname" : "Western blot", "shortname":"WB"}, "IHCP" : {"fullname" : "Immunohistochemistry (Formalin/PFA-fixed paraffin-embedded sections)", "shortname":"IHC-P"}, "ICCIF" : {"fullname" : "Immunocytochemistry/ Immunofluorescence", "shortname":"ICC/IF"}, "FlowCytIntra" : {"fullname" : "Flow Cytometry (Intracellular)", "shortname":"Flow Cyt (Intra)"} }, "product-promise": { "all": "all", "testedAndGuaranteed": "tested", "guaranteed": "expected", "predicted": "predicted", "notRecommended": "not-recommended" } }, "values": { "Human": { "IP-species-checked": "testedAndGuaranteed", "IP-species-dilution-info": "", "IP-species-notes": "<p></p>", "WB-species-checked": "testedAndGuaranteed", "WB-species-dilution-info": "", "WB-species-notes": "<p></p>", "IHCP-species-checked": "testedAndGuaranteed", "IHCP-species-dilution-info": "", "IHCP-species-notes": "<p></p>", "ICCIF-species-checked": "notRecommended", "ICCIF-species-dilution-info": "", "ICCIF-species-notes": "<p></p>", "FlowCytIntra-species-checked": "notRecommended", "FlowCytIntra-species-dilution-info": "", "FlowCytIntra-species-notes": "<p></p>" }, "Mouse": { "IP-species-checked": "notRecommended", "IP-species-dilution-info": "", "IP-species-notes": "", "WB-species-checked": "notRecommended", "WB-species-dilution-info": "", "WB-species-notes": "<p></p>", "IHCP-species-checked": "notRecommended", "IHCP-species-dilution-info": "", "IHCP-species-notes": "<p></p>", "ICCIF-species-checked": "notRecommended", "ICCIF-species-dilution-info": "", "ICCIF-species-notes": "", "FlowCytIntra-species-checked": "notRecommended", "FlowCytIntra-species-dilution-info": "", "FlowCytIntra-species-notes": "" }, "Rat": { "IP-species-checked": "notRecommended", "IP-species-dilution-info": "", "IP-species-notes": "", "WB-species-checked": "notRecommended", "WB-species-dilution-info": "", "WB-species-notes": "<p></p>", "IHCP-species-checked": "notRecommended", "IHCP-species-dilution-info": "", "IHCP-species-notes": "<p></p>", "ICCIF-species-checked": "notRecommended", "ICCIF-species-dilution-info": "", "ICCIF-species-notes": "", "FlowCytIntra-species-checked": "notRecommended", "FlowCytIntra-species-dilution-info": "", "FlowCytIntra-species-notes": "" } } }

Product details

ab283716 is the carrier-free version of ab283688.

Patented technology
Our RabMAb® technology is a patented hybridoma-based technology for making rabbit monoclonal antibodies. For details on our patents, please refer to RabMAb® patents.

What are the advantages of a recombinant monoclonal antibody?
This product is a recombinant monoclonal antibody, which offers several advantages including:

  • - High batch-to-batch consistency and reproducibility
  • - Improved sensitivity and specificity
  • - Long-term security of supply
  • - Animal-free batch production

For more information, read more on recombinant antibodies.

Conjugation ready
Our carrier-free antibodies are typically supplied in a PBS-only formulation, purified and free of BSA, sodium azide and glycerol. This conjugation-ready format is designed for use with fluorochromes, metal isotopes, oligonucleotides, and enzymes, which makes them ideal for antibody labelling, functional and cell-based assays, flow-based assays (e.g. mass cytometry) and Multiplex Imaging applications.

Use our conjugation kits for antibody conjugates that are ready-to-use in as little as 20 minutes with 1 minute hands-on-time and 100% antibody recovery: available for fluorescent dyes, HRP, biotin and gold.

Compatibility
This product is compatible with the Maxpar® Antibody Labeling Kit from Fluidigm, without the need for antibody preparation. Maxpar® is a trademark of Fluidigm Canada Inc.

Properties and storage information

Form
Liquid
Purification technique
Affinity purification Protein A
Storage buffer
pH: 7.2 - 7.4 Constituents: PBS
Shipped at conditions
Blue Ice
Appropriate short-term storage conditions
+4°C
Appropriate long-term storage conditions
+4°C

Product protocols

For this product, it's our understanding that no specific protocols are required. You can visit:

Target data

NF-kappa-B is a pleiotropic transcription factor present in almost all cell types and is the endpoint of a series of signal transduction events that are initiated by a vast array of stimuli related to many biological processes such as inflammation, immunity, differentiation, cell growth, tumorigenesis and apoptosis. NF-kappa-B is a homo- or heterodimeric complex formed by the Rel-like domain-containing proteins RELA/p65, RELB, NFKB1/p105, NFKB1/p50, REL and NFKB2/p52 and the heterodimeric p65-p50 complex appears to be most abundant one. The dimers bind at kappa-B sites in the DNA of their target genes and the individual dimers have distinct preferences for different kappa-B sites that they can bind with distinguishable affinity and specificity. Different dimer combinations act as transcriptional activators or repressors, respectively. NF-kappa-B is controlled by various mechanisms of post-translational modification and subcellular compartmentalization as well as by interactions with other cofactors or corepressors. NF-kappa-B complexes are held in the cytoplasm in an inactive state complexed with members of the NF-kappa-B inhibitor (I-kappa-B) family. In a conventional activation pathway, I-kappa-B is phosphorylated by I-kappa-B kinases (IKKs) in response to different activators, subsequently degraded thus liberating the active NF-kappa-B complex which translocates to the nucleus. NF-kappa-B heterodimeric p65-p50 and RelB-p50 complexes are transcriptional activators. The NF-kappa-B p50-p50 homodimer is a transcriptional repressor, but can act as a transcriptional activator when associated with BCL3. NFKB1 appears to have dual functions such as cytoplasmic retention of attached NF-kappa-B proteins by p105 and generation of p50 by a cotranslational processing. The proteasome-mediated process ensures the production of both p50 and p105 and preserves their independent function, although processing of NFKB1/p105 also appears to occur post-translationally. p50 binds to the kappa-B consensus sequence 5'-GGRNNYYCC-3', located in the enhancer region of genes involved in immune response and acute phase reactions. In a complex with MAP3K8, NFKB1/p105 represses MAP3K8-induced MAPK signaling; active MAP3K8 is released by proteasome-dependent degradation of NFKB1/p105.. Nuclear factor NF-kappa-B p105 subunit. P105 is the precursor of the active p50 subunit (Nuclear factor NF-kappa-B p50 subunit) of the nuclear factor NF-kappa-B (PubMed : 1423592). Acts as a cytoplasmic retention of attached NF-kappa-B proteins by p105 (PubMed : 1423592).. Nuclear factor NF-kappa-B p50 subunit. Constitutes the active form, which associates with RELA/p65 to form the NF-kappa-B p65-p50 complex to form a transcription factor (PubMed : 1740106, PubMed : 7830764). Together with RELA/p65, binds to the kappa-B consensus sequence 5'-GGRNNYYCC-3', located in the enhancer region of genes involved in immune response and acute phase reactions (PubMed : 1740106, PubMed : 7830764).
See full target information NFKB1

Publications (2)

Recent publications for all applications. Explore the full list and refine your search

Journal of orthopaedic surgery and research 18:916 PubMed38041147

2023

Inhibition of miR-96-5p alleviates intervertebral disc degeneration by regulating the peroxisome proliferator-activated receptor γ/nuclear factor-kappaB pathway.

Applications

Unspecified application

Species

Unspecified reactive species

Xusheng Li,Qian Hou,Wenqi Yuan,Xuehua Zhan,Haifeng Yuan

Thoracic cancer 14:450-461 PubMed36541122

2022

EIF4A3 stabilizes the expression of lncRNA AGAP2-AS1 to activate cancer-associated fibroblasts via MyD88/NF-κb signaling.

Applications

Unspecified application

Species

Unspecified reactive species

Qingqing Xu,Tingting Zhao,Honghao Han,Jiahao Fan,Weiping Xie
View all publications

Product promise

We are committed to supporting your work with high-quality reagents, and we're here for you every step of the way. In the unlikely event that one of our products does not perform as expected, you're protected by our Product Promise.
For full details, please see our Terms & Conditions

Please note: All products are 'FOR RESEARCH USE ONLY. NOT FOR USE IN DIAGNOSTIC OR THERAPEUTIC PROCEDURES'.

For licensing inquiries, please contact partnerships@abcam.com