JavaScript is disabled in your browser. Please enable JavaScript to view this website.
AB313430

Anti-NFkB p105 / p50 antibody [RP23040086]

Be the first to review this product! Submit a review

|

(0 Publication)

Rabbit Recombinant Multiclonal NFkB p105 / p50 antibody. Suitable for IHC-P, ICC/IF, WB and reacts with Human samples. Immunogen corresponding to Synthetic Peptide within Human NFKB1.

View Alternative Names

Nuclear factor NF-kappa-B p105 subunit, DNA-binding factor KBF1, EBP-1, Nuclear factor of kappa light polypeptide gene enhancer in B-cells 1, NFKB1

4 Images
Immunocytochemistry/ Immunofluorescence - Anti-NFkB p105 / p50 antibody [RP23040086] (AB313430)
  • ICC/IF

Supplier Data

Immunocytochemistry/ Immunofluorescence - Anti-NFkB p105 / p50 antibody [RP23040086] (AB313430)

Immunofluorescent analysis of HeLa cells fixed using 4% formaldehyde (reconstituted in 1X PBS) for 10 min at room temperature and permeabilized using 0.1 % Triton X-100 in PBS for 15 min at room temperature labeling NFkB p50 with ab313430 followed by detection using an Alexa Fluor 488-conjugated Goat anti-Rabbit secondary antibody (green) (Image A). Nuclei were stained using DAPI (Image B) and actin stained with Alexa Fluor 594 phalloidin (red) (image C). Image D is a composite image showing nuclear localization of p50.

Immunohistochemistry (Formalin/PFA-fixed paraffin-embedded sections) - Anti-NFkB p105 / p50 antibody [RP23040086] (AB313430)
  • IHC-P

Supplier Data

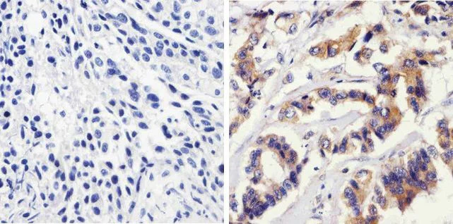
Immunohistochemistry (Formalin/PFA-fixed paraffin-embedded sections) - Anti-NFkB p105 / p50 antibody [RP23040086] (AB313430)

Immunohistochemical analysis of paraffin-embedded human breast carcinoma (right) labeling NFkB p50 with ab313430 at 1/100 dilution compared to a negative control without primary antibody (left). To expose target proteins, antigen retrieval was performed using 10 mM sodium citrate (pH 6.0), microwaved for 8-15 min. Following antigen retrieval, tissues were blocked in 3% H2O2-methanol for 15 min at room temperature, washed with ddH2O and PBS, and then probed with ab313430. Counterstained with hematoxylin and dehydrated with ethanol and xylene to prep for mounting.

Immunocytochemistry/ Immunofluorescence - Anti-NFkB p105 / p50 antibody [RP23040086] (AB313430)
  • ICC/IF

Supplier Data

Immunocytochemistry/ Immunofluorescence - Anti-NFkB p105 / p50 antibody [RP23040086] (AB313430)

Immunofluorescent analysis of 70% confluent log phase HeLa cells fixed with 4% paraformaldehyde for 15 minutes, permeabilized with 0.25% Triton X-100 for 10 minutes, and blocked with 5% BSA for 1 hour at room temperature, labeling NFkB p50 with ab313430 at 1 ?g/mL followed by Goat anti-Rabbit IgG (H+L) Secondary Antibody, Alexa Fluor 488 conjugate at a dilution of 1/2000 for 45 minutes at room temperature (Panel a/ green). Nuclei (Panel b/ blue) were stained with DAPI. F-actin (Panel c/ red) was stained with Alexa Fluor 555 Rhodamine Phalloidin at 1/300. Panel d is a merged image showing Nuclear localization. Panel e is a no primary antibody control. The images were captured at 60X magnification.

Western blot - Anti-NFkB p105 / p50 antibody [RP23040086] (AB313430)
  • WB

Supplier Data

Western blot - Anti-NFkB p105 / p50 antibody [RP23040086] (AB313430)

All lanes:

Western blot - Anti-NFkB p105 / p50 antibody [RP23040086] (ab313430) at 2 µg/mL

All lanes:

HeLa whole cell lysate

Secondary

All lanes:

HRP-conjugated Goat anti-Rabbit secondary antibody

Predicted band size: 105 kDa

Observed band size: 50 kDa

true

Key facts

Host species

Rabbit

Clonality

Multiclonal

Clone number

RP23040086

Isotype

IgG

Carrier free

No

Reacts with

Human

Applications

ICC/IF, WB, IHC-P

applications

Immunogen

Synthetic Peptide within Human NFKB1.

P19838

Reactivity data

{ "title": "Reactivity Data", "filters": { "stats": ["", "Species", "Dilution Info", "Notes"], "tabs": { "all-applications": {"fullname" : "All Applications", "shortname": "All Applications"}, "IHCP" : {"fullname" : "Immunohistochemistry (Formalin/PFA-fixed paraffin-embedded sections)", "shortname":"IHC-P"}, "ICCIF" : {"fullname" : "Immunocytochemistry/ Immunofluorescence", "shortname":"ICC/IF"}, "WB" : {"fullname" : "Western blot", "shortname":"WB"} }, "product-promise": { "all": "all", "testedAndGuaranteed": "tested", "guaranteed": "expected", "predicted": "predicted", "notRecommended": "not-recommended" } }, "values": { "Human": { "IHCP-species-checked": "testedAndGuaranteed", "IHCP-species-dilution-info": "1/100", "IHCP-species-notes": "<p></p>", "ICCIF-species-checked": "testedAndGuaranteed", "ICCIF-species-dilution-info": "1 µg/mL", "ICCIF-species-notes": "<p></p>", "WB-species-checked": "testedAndGuaranteed", "WB-species-dilution-info": "2 µg/mL", "WB-species-notes": "<p></p>" } } }

Product details

What are recombinant multiclonals?
Recombinant multiclonals are a mixture of recombinant antibodies co-expressed from a library of heavy and light chains. They offer several advantages including:

  • - The sensitivity of polyclonal antibodies by recognising multiple epitopes
  • - High batch-to-batch consistency and reproducibility
  • - Improved sensitivity and specificity
  • - Long-term security of supply
  • - Animal-free batch production

View our range of recombinant multiclonal antibodies.

Properties and storage information

Form
Liquid
Purification technique
Affinity purification Protein A
Storage buffer
Preservative: 0.09% Sodium azide Constituents: PBS
Shipped at conditions
Blue Ice
Appropriate short-term storage duration
1-2 weeks
Appropriate short-term storage conditions
+4°C
Appropriate long-term storage conditions
-20°C
Aliquoting information
Upon delivery aliquot
Storage information
Avoid freeze / thaw cycle

Product protocols

For this product, it's our understanding that no specific protocols are required. You can visit:

Target data

NF-kappa-B is a pleiotropic transcription factor present in almost all cell types and is the endpoint of a series of signal transduction events that are initiated by a vast array of stimuli related to many biological processes such as inflammation, immunity, differentiation, cell growth, tumorigenesis and apoptosis. NF-kappa-B is a homo- or heterodimeric complex formed by the Rel-like domain-containing proteins RELA/p65, RELB, NFKB1/p105, NFKB1/p50, REL and NFKB2/p52 and the heterodimeric p65-p50 complex appears to be most abundant one. The dimers bind at kappa-B sites in the DNA of their target genes and the individual dimers have distinct preferences for different kappa-B sites that they can bind with distinguishable affinity and specificity. Different dimer combinations act as transcriptional activators or repressors, respectively. NF-kappa-B is controlled by various mechanisms of post-translational modification and subcellular compartmentalization as well as by interactions with other cofactors or corepressors. NF-kappa-B complexes are held in the cytoplasm in an inactive state complexed with members of the NF-kappa-B inhibitor (I-kappa-B) family. In a conventional activation pathway, I-kappa-B is phosphorylated by I-kappa-B kinases (IKKs) in response to different activators, subsequently degraded thus liberating the active NF-kappa-B complex which translocates to the nucleus. NF-kappa-B heterodimeric p65-p50 and RelB-p50 complexes are transcriptional activators. The NF-kappa-B p50-p50 homodimer is a transcriptional repressor, but can act as a transcriptional activator when associated with BCL3. NFKB1 appears to have dual functions such as cytoplasmic retention of attached NF-kappa-B proteins by p105 and generation of p50 by a cotranslational processing. The proteasome-mediated process ensures the production of both p50 and p105 and preserves their independent function, although processing of NFKB1/p105 also appears to occur post-translationally. p50 binds to the kappa-B consensus sequence 5'-GGRNNYYCC-3', located in the enhancer region of genes involved in immune response and acute phase reactions. In a complex with MAP3K8, NFKB1/p105 represses MAP3K8-induced MAPK signaling; active MAP3K8 is released by proteasome-dependent degradation of NFKB1/p105.. Nuclear factor NF-kappa-B p105 subunit. P105 is the precursor of the active p50 subunit (Nuclear factor NF-kappa-B p50 subunit) of the nuclear factor NF-kappa-B (PubMed : 1423592). Acts as a cytoplasmic retention of attached NF-kappa-B proteins by p105 (PubMed : 1423592).. Nuclear factor NF-kappa-B p50 subunit. Constitutes the active form, which associates with RELA/p65 to form the NF-kappa-B p65-p50 complex to form a transcription factor (PubMed : 1740106, PubMed : 7830764). Together with RELA/p65, binds to the kappa-B consensus sequence 5'-GGRNNYYCC-3', located in the enhancer region of genes involved in immune response and acute phase reactions (PubMed : 1740106, PubMed : 7830764).
See full target information NFKB1

Product promise

We are committed to supporting your work with high-quality reagents, and we're here for you every step of the way. In the unlikely event that one of our products does not perform as expected, you're protected by our Product Promise.
For full details, please see our Terms & Conditions

Please note: All products are 'FOR RESEARCH USE ONLY. NOT FOR USE IN DIAGNOSTIC OR THERAPEUTIC PROCEDURES'.

For licensing inquiries, please contact partnerships@abcam.com