JavaScript is disabled in your browser. Please enable JavaScript to view this website.
AB194927

Anti-NFkB p105 / p50 (phospho S907) antibody

Be the first to review this product! Submit a review

|

(1 Publication)

Rabbit Polyclonal NFkB p105 / p50 phospho S907 antibody. Suitable for WB, IHC-P and reacts with Human samples. Cited in 1 publication. Immunogen corresponding to Synthetic Peptide within Human NFKB1 phospho S907.

View Alternative Names

Nuclear factor NF-kappa-B p105 subunit, DNA-binding factor KBF1, EBP-1, Nuclear factor of kappa light polypeptide gene enhancer in B-cells 1, NFKB1

2 Images
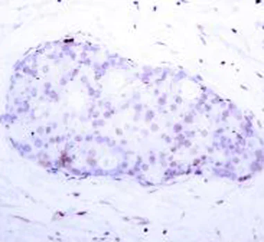
Immunohistochemistry (Formalin/PFA-fixed paraffin-embedded sections) - Anti-NFkB p105 / p50 (phospho S907) antibody (AB194927)
  • IHC-P

Supplier Data

Immunohistochemistry (Formalin/PFA-fixed paraffin-embedded sections) - Anti-NFkB p105 / p50 (phospho S907) antibody (AB194927)

Immunohistochemical analysis of formalin fixed paraffin embedded human breast carcinoma labeling NFkB p105 / p50 (phospho S907) with ab194927 at 1/50 dilution

Western blot - Anti-NFkB p105 / p50 (phospho S907) antibody (AB194927)
  • WB

Supplier Data

Western blot - Anti-NFkB p105 / p50 (phospho S907) antibody (AB194927)

All lanes:

Western blot - Anti-NFkB p105 / p50 (phospho S907) antibody (ab194927) at 1/500 dilution

Lane 1:

Untreated Hela cell lysate

Lane 2:

TNF-alpha Hela cell lysate

Predicted band size: 105 kDa

Observed band size: 120 kDa

false

Key facts

Host species

Rabbit

Clonality

Polyclonal

Isotype

IgG

Carrier free

No

Reacts with

Human

Applications

IHC-P, WB

applications

Immunogen

Synthetic Peptide within Human NFKB1 phospho S907. The exact immunogen used to generate this antibody is proprietary information.

P19838

Reactivity data

{ "title": "Reactivity Data", "filters": { "stats": ["", "Species", "Dilution Info", "Notes"], "tabs": { "all-applications": {"fullname" : "All Applications", "shortname": "All Applications"}, "WB" : {"fullname" : "Western blot", "shortname":"WB"}, "IHCP" : {"fullname" : "Immunohistochemistry (Formalin/PFA-fixed paraffin-embedded sections)", "shortname":"IHC-P"} }, "product-promise": { "all": "all", "testedAndGuaranteed": "tested", "guaranteed": "expected", "predicted": "predicted", "notRecommended": "not-recommended" } }, "values": { "Human": { "WB-species-checked": "testedAndGuaranteed", "WB-species-dilution-info": "1/500 - 1/2000", "WB-species-notes": "<p></p>", "IHCP-species-checked": "testedAndGuaranteed", "IHCP-species-dilution-info": "1/50 - 1/100", "IHCP-species-notes": "<p></p>" } } }

Properties and storage information

Form
Liquid
Purification technique
Affinity purification Immunogen
Storage buffer
pH: 7.3 Preservative: 0.02% Sodium azide Constituents: PBS, 50% Glycerol (glycerin, glycerine)
Shipped at conditions
Blue Ice
Appropriate short-term storage duration
1-2 weeks
Appropriate short-term storage conditions
+4°C
Appropriate long-term storage conditions
-20°C
Aliquoting information
Upon delivery aliquot
Storage information
Avoid freeze / thaw cycle

Product protocols

For this product, it's our understanding that no specific protocols are required. You can visit:

Target data

NF-kappa-B is a pleiotropic transcription factor present in almost all cell types and is the endpoint of a series of signal transduction events that are initiated by a vast array of stimuli related to many biological processes such as inflammation, immunity, differentiation, cell growth, tumorigenesis and apoptosis. NF-kappa-B is a homo- or heterodimeric complex formed by the Rel-like domain-containing proteins RELA/p65, RELB, NFKB1/p105, NFKB1/p50, REL and NFKB2/p52 and the heterodimeric p65-p50 complex appears to be most abundant one. The dimers bind at kappa-B sites in the DNA of their target genes and the individual dimers have distinct preferences for different kappa-B sites that they can bind with distinguishable affinity and specificity. Different dimer combinations act as transcriptional activators or repressors, respectively. NF-kappa-B is controlled by various mechanisms of post-translational modification and subcellular compartmentalization as well as by interactions with other cofactors or corepressors. NF-kappa-B complexes are held in the cytoplasm in an inactive state complexed with members of the NF-kappa-B inhibitor (I-kappa-B) family. In a conventional activation pathway, I-kappa-B is phosphorylated by I-kappa-B kinases (IKKs) in response to different activators, subsequently degraded thus liberating the active NF-kappa-B complex which translocates to the nucleus. NF-kappa-B heterodimeric p65-p50 and RelB-p50 complexes are transcriptional activators. The NF-kappa-B p50-p50 homodimer is a transcriptional repressor, but can act as a transcriptional activator when associated with BCL3. NFKB1 appears to have dual functions such as cytoplasmic retention of attached NF-kappa-B proteins by p105 and generation of p50 by a cotranslational processing. The proteasome-mediated process ensures the production of both p50 and p105 and preserves their independent function, although processing of NFKB1/p105 also appears to occur post-translationally. p50 binds to the kappa-B consensus sequence 5'-GGRNNYYCC-3', located in the enhancer region of genes involved in immune response and acute phase reactions. In a complex with MAP3K8, NFKB1/p105 represses MAP3K8-induced MAPK signaling; active MAP3K8 is released by proteasome-dependent degradation of NFKB1/p105.. Nuclear factor NF-kappa-B p105 subunit. P105 is the precursor of the active p50 subunit (Nuclear factor NF-kappa-B p50 subunit) of the nuclear factor NF-kappa-B (PubMed : 1423592). Acts as a cytoplasmic retention of attached NF-kappa-B proteins by p105 (PubMed : 1423592).. Nuclear factor NF-kappa-B p50 subunit. Constitutes the active form, which associates with RELA/p65 to form the NF-kappa-B p65-p50 complex to form a transcription factor (PubMed : 1740106, PubMed : 7830764). Together with RELA/p65, binds to the kappa-B consensus sequence 5'-GGRNNYYCC-3', located in the enhancer region of genes involved in immune response and acute phase reactions (PubMed : 1740106, PubMed : 7830764).
See full target information NFKB1 phospho S907

Publications (1)

Recent publications for all applications. Explore the full list and refine your search

Naunyn-Schmiedeberg's archives of pharmacology 395:1097-1107 PubMed35776167

2022

Therapeutic effects of a lipid transfer protein isolated from Morinda citrifolia L. (noni) seeds on irinotecan-induced intestinal mucositis in mice.

Applications

Unspecified application

Species

Unspecified reactive species

Luana David do Carmo,Gisele de Fátima Pinheiro Rangel,Liviane Maria Alves Rabelo,Tamiris de Fátima Goebel de Souza,Roberto César Pereira Lima Júnior,Deysi Viviana Tenazoa Wong,Renata Ferreira de Carvalho Leitão,Alfredo Augusto Vasconcelos da Silva,Pedro Jorge Caldas Magalhães,Andréa Santos Costa,Dyély de Carvalho Oliveira Campos,Nylane Maria Nunes de Alencar,Hermógenes David de Oliveira
View all publications

Product promise

We are committed to supporting your work with high-quality reagents, and we're here for you every step of the way. In the unlikely event that one of our products does not perform as expected, you're protected by our Product Promise.
For full details, please see our Terms & Conditions

Please note: All products are 'FOR RESEARCH USE ONLY. NOT FOR USE IN DIAGNOSTIC OR THERAPEUTIC PROCEDURES'.

For licensing inquiries, please contact partnerships@abcam.com