JavaScript is disabled in your browser. Please enable JavaScript to view this website.
AB232913

Anti-NFKBID antibody

Be the first to review this product! Submit a review

|

(3 Publications)

Rabbit Polyclonal NFKBID antibody. Suitable for WB, IHC-P and reacts with Recombinant fragment - Human, Mouse, Human samples. Cited in 3 publications. Immunogen corresponding to Recombinant Fragment Protein within Human NFKBID aa 1-300.

View Alternative Names

IKBNS, NFKBID, NF-kappa-B inhibitor delta, NFKB inhibitor delta, I-kappa-B-delta, IkappaBNS, T-cell activation NFKB-like protein, TA-NFKBH, IkB-delta, IkappaBdelta

4 Images
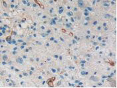
Immunohistochemistry (Formalin/PFA-fixed paraffin-embedded sections) - Anti-NFKBID antibody (AB232913)
  • IHC-P

Supplier Data

Immunohistochemistry (Formalin/PFA-fixed paraffin-embedded sections) - Anti-NFKBID antibody (AB232913)

Paraffin-embedded human liver tissue stained for NFKBID using ab232913 at 20 μg/ml in immunohistochemical analysis. DAB staining.

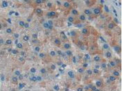
Immunohistochemistry (Formalin/PFA-fixed paraffin-embedded sections) - Anti-NFKBID antibody (AB232913)
  • IHC-P

Supplier Data

Immunohistochemistry (Formalin/PFA-fixed paraffin-embedded sections) - Anti-NFKBID antibody (AB232913)

Paraffin-embedded human glioma tissue stained for NFKBID using ab232913 at 20 μg/ml in immunohistochemical analysis. DAB staining.

Western blot - Anti-NFKBID antibody (AB232913)
  • WB

Supplier Data

Western blot - Anti-NFKBID antibody (AB232913)

All lanes:

Western blot - Anti-NFKBID antibody (ab232913) at 3 µg/mL

Lane 1:

Human serum

Lane 2:

Human liver lysate

Lane 3:

Mouse kidney lysate

Lane 4:

Human lung lysate

Secondary

All lanes:

HRP-Linked Guinea pig Anti-Rabbit at 1/2000 dilution

Predicted band size: 33 kDa

false

Western blot - Anti-NFKBID antibody (AB232913)
  • WB

Supplier Data

Western blot - Anti-NFKBID antibody (AB232913)

All lanes:

Western blot - Anti-NFKBID antibody (ab232913) at 5 µg/mL

All lanes:

Recombinant human NFKBID protein

Predicted band size: 33 kDa

false

Key facts

Host species

Rabbit

Clonality

Polyclonal

Isotype

IgG

Carrier free

No

Reacts with

Mouse, Human

Applications

IHC-P, WB

applications

Immunogen

Recombinant Fragment Protein within Human NFKBID aa 1-300. The exact immunogen used to generate this antibody is proprietary information.

Q8NI38

Reactivity data

{ "title": "Reactivity Data", "filters": { "stats": ["", "Species", "Dilution Info", "Notes"], "tabs": { "all-applications": {"fullname" : "All Applications", "shortname": "All Applications"}, "WB" : {"fullname" : "Western blot", "shortname":"WB"}, "IHCP" : {"fullname" : "Immunohistochemistry (Formalin/PFA-fixed paraffin-embedded sections)", "shortname":"IHC-P"} }, "product-promise": { "all": "all", "testedAndGuaranteed": "tested", "guaranteed": "expected", "predicted": "predicted", "notRecommended": "not-recommended" } }, "values": { "Human": { "WB-species-checked": "testedAndGuaranteed", "WB-species-dilution-info": "0.5-5 µg/mL", "WB-species-notes": "<p></p>", "IHCP-species-checked": "testedAndGuaranteed", "IHCP-species-dilution-info": "5-20 µg/mL", "IHCP-species-notes": "<p></p>" }, "Mouse": { "WB-species-checked": "testedAndGuaranteed", "WB-species-dilution-info": "0.5-5 µg/mL", "WB-species-notes": "<p></p>", "IHCP-species-checked": "guaranteed", "IHCP-species-dilution-info": "", "IHCP-species-notes": "" }, "Recombinant fragment - Human": { "WB-species-checked": "testedAndGuaranteed", "WB-species-dilution-info": "0.5-5 µg/mL", "WB-species-notes": "<p></p>", "IHCP-species-checked": "notRecommended", "IHCP-species-dilution-info": "", "IHCP-species-notes": "" } } }

Properties and storage information

Form
Liquid
Purification technique
Affinity purification Immunogen
Purification notes
ab232913 was purified by antigen-specific affinity chromatography followed by Protein A affinity chromatography.
Storage buffer
pH: 7.4 Preservative: 0.02% Sodium azide Constituents: PBS, 55.77% Glycerol (glycerin, glycerine)
Shipped at conditions
Blue Ice
Appropriate short-term storage duration
1-2 weeks
Appropriate short-term storage conditions
+4°C
Appropriate long-term storage conditions
-20°C
Aliquoting information
Upon delivery aliquot
Storage information
Avoid freeze / thaw cycle

Product protocols

For this product, it's our understanding that no specific protocols are required. You can visit:

Target data

Regulates the expression of IL-2, IL-6, and other cytokines through regulation on NF-kappa-B activity. Functions in the regulation of inflammatory responses. Involved in the induction of T helper 17 cells (Th17) differentiation upon recognition of antigen by T cell antigen receptor (TCR). May also regulate TCR-induced negative selection of thymocytes.
See full target information NFKBID

Publications (3)

Recent publications for all applications. Explore the full list and refine your search

International journal of molecular sciences 24: PubMed36982231

2023

Early Pregnancy Regulates Expression of IkappaB Family in Ovine Spleen and Lymph Nodes.

Applications

Unspecified application

Species

Unspecified reactive species

Shengya Fang,Chunjiang Cai,Ying Bai,Leying Zhang,Ling Yang

Animals : an open access journal from MDPI 13: PubMed36978599

2023

Expression of IkappaB Family in the Ovine Liver during Early Pregnancy.

Applications

Unspecified application

Species

Unspecified reactive species

Chunjiang Cai,Ying Ren,Jianhua Cao,Shengya Fang,Leying Zhang,Ling Yang

mBio 10: PubMed31213550

2019

Nuclear Factor Y (NF-Y) Modulates Encystation in via Stage-Specific Expression of the NF-YB and NF-YC Subunits.

Applications

Unspecified application

Species

Unspecified reactive species

Dipak Manna,Upinder Singh
View all publications

Product promise

We are committed to supporting your work with high-quality reagents, and we're here for you every step of the way. In the unlikely event that one of our products does not perform as expected, you're protected by our Product Promise.
For full details, please see our Terms & Conditions

Please note: All products are 'FOR RESEARCH USE ONLY. NOT FOR USE IN DIAGNOSTIC OR THERAPEUTIC PROCEDURES'.

For licensing inquiries, please contact partnerships@abcam.com