JavaScript is disabled in your browser. Please enable JavaScript to view this website.
AB183929

Anti-NG2 antibody [EPR20244]

3

(3 Reviews)

|

(2 Publications)

Rabbit Recombinant Monoclonal NG2 antibody. Suitable for WB, ICC/IF, IHC-P and reacts with Human samples. Cited in 2 publications.

View Alternative Names

MCSP, CSPG4, Chondroitin sulfate proteoglycan 4, Chondroitin sulfate proteoglycan NG2, Melanoma chondroitin sulfate proteoglycan, Melanoma-associated chondroitin sulfate proteoglycan

5 Images
Immunocytochemistry/ Immunofluorescence - Anti-NG2 antibody [EPR20244] (AB183929)
  • ICC/IF

Supplier Data

Immunocytochemistry/ Immunofluorescence - Anti-NG2 antibody [EPR20244] (AB183929)

Immunofluorescent analysis of 100% methanol-fixed MeWo (human malignant melanoma cell line) cells labeling NG2 with ab183929 at 1/100 dilution, followed by Goat Anti-Rabbit IgG H&L (Alexa Fluor® 488) (ab150077) secondary antibody at 1/1000 dilution (green). Confocal image showing membrane staining on MeWo cell line.

The nuclear counter stain is DAPI (blue). Tubulin is detected with Anti-alpha Tubulin antibody [DM1A] - Microtubule Marker (Alexa Fluor® 594) (ab195889) (red) at 1/200 dilution.

Secondary antibody only control : Used PBS instead of primary antibody, secondary antibody is Goat Anti-Rabbit IgG H&L (Alexa Fluor® 488) (ab150077) secondary antibody at 1/1000 dilution.

Immunohistochemistry (Formalin/PFA-fixed paraffin-embedded sections) - Anti-NG2 antibody [EPR20244] (AB183929)
  • IHC-P

Supplier Data

Immunohistochemistry (Formalin/PFA-fixed paraffin-embedded sections) - Anti-NG2 antibody [EPR20244] (AB183929)

Immunohistochemical analysis of paraffin-embedded human glioma tissue labeling NG2 with ab183929 at 1/1000 dilution, followed by Goat Anti-Rabbit IgG H&L (HRP) ready to use. Membranous staining on blood vessels of human glioma (PMID : 24386429). Counter stained with hematoxylin.

Secondary antibody only control : Used PBS instead of primary antibody, Goat Anti-Rabbit IgG H&L (HRP) ready to use.

Perform heat mediated antigen retrieval with Tris/EDTA buffer pH 9.0 before commencing with IHC staining protocol.

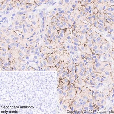
Immunohistochemistry (Formalin/PFA-fixed paraffin-embedded sections) - Anti-NG2 antibody [EPR20244] (AB183929)
  • IHC-P

Supplier Data

Immunohistochemistry (Formalin/PFA-fixed paraffin-embedded sections) - Anti-NG2 antibody [EPR20244] (AB183929)

Immunohistochemical analysis of paraffin-embedded human melanoma tissue labeling NG2 with ab183929 at 1/1000 dilution, followed by Goat Anti-Rabbit IgG H&L (HRP) ready to use. Membranous and weak cytoplasmic staining on tumor cells of human melanoma (PMID : 24258997). Counter stained with hematoxylin.

Secondary antibody only control : Used PBS instead of primary antibody, Goat Anti-Rabbit IgG H&L (HRP) ready to use.

Perform heat mediated antigen retrieval with Tris/EDTA buffer pH 9.0 before commencing with IHC staining protocol.

Immunocytochemistry/ Immunofluorescence - Anti-NG2 antibody [EPR20244] (AB183929)
  • ICC/IF

Supplier Data

Immunocytochemistry/ Immunofluorescence - Anti-NG2 antibody [EPR20244] (AB183929)

Immunofluorescent analysis of 100% methanol-fixed A-375 (human malignant melanoma cell line) cells labeling NG2 with ab183929 at 1/100 dilution, followed by Goat Anti-Rabbit IgG H&L (Alexa Fluor® 488) (ab150077) secondary antibody at 1/1000 dilution (green). Confocal image showing membrane staining on A-375 cell line.

The nuclear counter stain is DAPI (blue). Tubulin is detected with Anti-alpha Tubulin antibody [DM1A] - Microtubule Marker (Alexa Fluor® 594) (ab195889) (red) at 1/200 dilution.

Secondary antibody only control : Used PBS instead of primary antibody, secondary antibody is Goat Anti-Rabbit IgG H&L (Alexa Fluor® 488) (ab150077) secondary antibody at 1/1000 dilution.

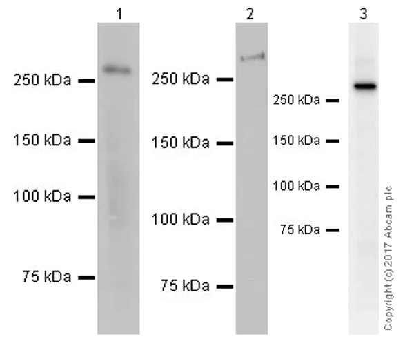
Western blot - Anti-NG2 antibody [EPR20244] (AB183929)
  • WB

Supplier Data

Western blot - Anti-NG2 antibody [EPR20244] (AB183929)

Exposure times : Lanes 1,3 : 1 minute; Lane 2 : 3 minutes.

Blocking/Dilution buffer : 5% NFDM/TBST.

This image of lane 3 was performed on a BIO-RAD® ChemiDoc™ MP instrument.

All lanes:

Western blot - Anti-NG2 antibody [EPR20244] (ab183929) at 1/1000 dilution

Lane 1:

A-375 (human malignant melanoma cell line), whole cell lysate at 20 µg

Lane 2:

Human skin lysate at 20 µg

Lane 3:

MeWo (human malignant melanoma cell line), whole cell lysate at 20 µg

Secondary

Lanes 1 and 3:

Western blot - Goat Anti-Rabbit IgG H&L (HRP) (<a href='/en-us/products/secondary-antibodies/goat-rabbit-igg-h-l-hrp-ab97051'>ab97051</a>) at 1/20000 dilution

Lane 2:

Western blot - Goat Anti-Rabbit IgG H&L (HRP) (<a href='/en-us/products/secondary-antibodies/goat-rabbit-igg-h-l-hrp-ab97051'>ab97051</a>) at 1/100000 dilution

Predicted band size: 251 kDa

Observed band size: 270 kDa

true

Key facts

Host species

Rabbit

Clonality

Monoclonal

Clone number

EPR20244

Isotype

IgG

Carrier free

No

Reacts with

Human

Applications

WB, IHC-P, ICC/IF

applications

Immunogen

The exact immunogen used to generate this antibody is proprietary information.

Reactivity data

{ "title": "Reactivity Data", "filters": { "stats": ["", "Species", "Dilution Info", "Notes"], "tabs": { "all-applications": {"fullname" : "All Applications", "shortname": "All Applications"}, "WB" : {"fullname" : "Western blot", "shortname":"WB"}, "ICCIF" : {"fullname" : "Immunocytochemistry/ Immunofluorescence", "shortname":"ICC/IF"}, "IHCP" : {"fullname" : "Immunohistochemistry (Formalin/PFA-fixed paraffin-embedded sections)", "shortname":"IHC-P"} }, "product-promise": { "all": "all", "testedAndGuaranteed": "tested", "guaranteed": "expected", "predicted": "predicted", "notRecommended": "not-recommended" } }, "values": { "Human": { "WB-species-checked": "testedAndGuaranteed", "WB-species-dilution-info": "1/1000", "WB-species-notes": "<p></p>", "ICCIF-species-checked": "testedAndGuaranteed", "ICCIF-species-dilution-info": "1/100", "ICCIF-species-notes": "<p></p>", "IHCP-species-checked": "testedAndGuaranteed", "IHCP-species-dilution-info": "1/1000", "IHCP-species-notes": "<p></p>" } } }

Product details

Patented technology
Our RabMAb® technology is a patented hybridoma-based technology for making rabbit monoclonal antibodies. For details on our patents, please refer to RabMAb® patents.

What are the advantages of a recombinant monoclonal antibody?
This product is a recombinant monoclonal antibody, which offers several advantages including:

  • - High batch-to-batch consistency and reproducibility
  • - Improved sensitivity and specificity
  • - Long-term security of supply
  • - Animal-free batch production

For more information, read more on recombinant antibodies.

Properties and storage information

Form
Liquid
Purification technique
Affinity purification Protein A
Storage buffer
pH: 7.2 Preservative: 0.01% Sodium azide Constituents: PBS, 40% Glycerol (glycerin, glycerine), 0.05% BSA
Shipped at conditions
Blue Ice
Appropriate short-term storage duration
1-2 weeks
Appropriate short-term storage conditions
+4°C
Appropriate long-term storage conditions
-20°C
Aliquoting information
Upon delivery aliquot
Storage information
Avoid freeze / thaw cycle

Product protocols

For this product, it's our understanding that no specific protocols are required. You can visit:

Target data

Proteoglycan playing a role in cell proliferation and migration which stimulates endothelial cells motility during microvascular morphogenesis. May also inhibit neurite outgrowth and growth cone collapse during axon regeneration. Cell surface receptor for collagen alpha 2(VI) which may confer cells ability to migrate on that substrate. Binds through its extracellular N-terminus growth factors, extracellular matrix proteases modulating their activity. May regulate MPP16-dependent degradation and invasion of type I collagen participating in melanoma cells invasion properties. May modulate the plasminogen system by enhancing plasminogen activation and inhibiting angiostatin. Functions also as a signal transducing protein by binding through its cytoplasmic C-terminus scaffolding and signaling proteins. May promote retraction fiber formation and cell polarization through Rho GTPase activation. May stimulate alpha-4, beta-1 integrin-mediated adhesion and spreading by recruiting and activating a signaling cascade through CDC42, ACK1 and BCAR1. May activate FAK and ERK1/ERK2 signaling cascades.
See full target information CSPG4

Publications (2)

Recent publications for all applications. Explore the full list and refine your search

Cell death discovery 9:4 PubMed36617578

2023

Inhibition of acetyl-CoA carboxylase impaired tubulin palmitoylation and induced spindle abnormalities.

Applications

Unspecified application

Species

Unspecified reactive species

Chieh-Ting Fang,Hsiao-Hui Kuo,Oyundari Amartuvshin,Hwei-Jan Hsu,Sih-Long Liu,Jhong-Syuan Yao,Ling-Huei Yih

Frontiers in oncology 9:1545 PubMed32039020

2020

Changes in Tumor-Infiltrating Lymphocytes and Vascular Normalization in Breast Cancer Patients After Neoadjuvant Chemotherapy and Their Correlations With DFS.

Applications

Unspecified application

Species

Unspecified reactive species

Qiong Wang,Qun Xiang,Lan Yu,Ting Hu,Yangyang Chen,Jue Wang,Xiu Nie,Jing Cheng
View all publications

Product promise

We are committed to supporting your work with high-quality reagents, and we're here for you every step of the way. In the unlikely event that one of our products does not perform as expected, you're protected by our Product Promise.
For full details, please see our Terms & Conditions

Please note: All products are 'FOR RESEARCH USE ONLY. NOT FOR USE IN DIAGNOSTIC OR THERAPEUTIC PROCEDURES'.

For licensing inquiries, please contact partnerships@abcam.com