JavaScript is disabled in your browser. Please enable JavaScript to view this website.
AB256351

Anti-NG2 antibody [EPR22410-145] - BSA and Azide free

Be the first to review this product! Submit a review

|

(1 Publication)

Rabbit Recombinant Monoclonal NG2 antibody. Carrier free. Suitable for IP, Flow Cyt, WB, ICC/IF, IHC-P and reacts with Human samples. Cited in 1 publication.

View Alternative Names

MCSP, CSPG4, Chondroitin sulfate proteoglycan 4, Chondroitin sulfate proteoglycan NG2, Melanoma chondroitin sulfate proteoglycan, Melanoma-associated chondroitin sulfate proteoglycan

5 Images
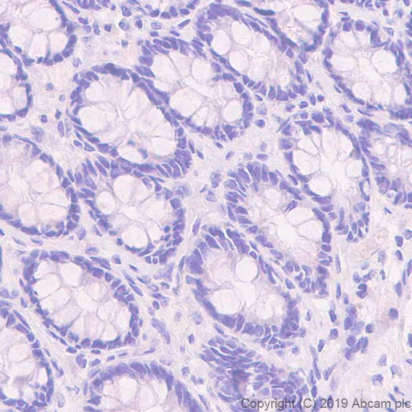
Immunohistochemistry (Formalin/PFA-fixed paraffin-embedded sections) - Anti-NG2 antibody [EPR22410-145] - BSA and Azide free (AB256351)
  • IHC-P

Supplier Data

Immunohistochemistry (Formalin/PFA-fixed paraffin-embedded sections) - Anti-NG2 antibody [EPR22410-145] - BSA and Azide free (AB256351)

Immunohistochemical analysis of paraffin-embedded human colon tissue labeling NG2 with ab255811 at 1/100 dilution, followed by ready to use Rabbit specific IHC polymer detection kit HRP/DAB (ab209101). Negative control : No staining in human colon. (PMID : 25197555). The section was incubated with ab255811 for 30 mins at room temperature. The immunostaining was performed on a Leica Biosystems BOND® RX instrument. Counterstained with hematoxylin. Secondary antibody only control : Used PBS instead of primary antibody, secondary antibody is ready to use Rabbit specific IHC polymer detection kit HRP/DAB (ab209101). Heat mediated antigen retrieval with Tris-EDTA buffer (pH 9.0, epitope retrieval solution 2) for 20 mins.This data was developed using the same antibody clone in a different buffer formulation containing PBS, BSA, glycerol, and sodium azide (ab255811).

Flow Cytometry - Anti-NG2 antibody [EPR22410-145] - BSA and Azide free (AB256351)
  • Flow Cyt

Supplier Data

Flow Cytometry - Anti-NG2 antibody [EPR22410-145] - BSA and Azide free (AB256351)

Flow cytometric analysis of SK-BR-3 (Human breast adenocarcinoma epithelial cell, Left panel) / A375 (Human malignant melanoma epithelial cell, Right panel) labeling NG2 with ab255811 at 1/600 (red) compared with a Rabbit monoclonal IgG (black) and an unlabeled control (cells without incubation with primary antibody and secondary antibody) (blue). Goat anti rabbit IgG (Alexa Fluor® 488, ab150077), at 1/2000 dilution was used as the secondary antibody. Negative control : SK-BR-3 (PMID : 20852124). Gated on viable cells.This data was developed using the same antibody clone in a different buffer formulation containing PBS, BSA, glycerol, and sodium azide (ab255811).

Immunocytochemistry/ Immunofluorescence - Anti-NG2 antibody [EPR22410-145] - BSA and Azide free (AB256351)
  • ICC/IF

Supplier Data

Immunocytochemistry/ Immunofluorescence - Anti-NG2 antibody [EPR22410-145] - BSA and Azide free (AB256351)

Immunofluorescent analysis of 4% paraformaldehyde-fixed, 0.1% Triton X-100 permeabilized A375 (human malignant melanoma epithelial cell) cells labeling NG2 with ab255811 at 1/250 dilution, followed by Goat Anti-Rabbit IgG H&L (Alexa Fluor® 488) (ab150077) secondary antibody at 1/1000 dilution (green). Confocal image showing membranous staining in A375 cells. Negative control : SK-BR-3 (PMID : 20852124). The nuclear counterstain is DAPI (blue). Counterstained with ab195889 Anti-alpha Tubulin antibody [DM1A] - Microtubule Marker (Alexa Fluor® 594) at a 1/200 dilution (red). The negative control is the secondary antibody only.This data was developed using the same antibody clone in a different buffer formulation containing PBS, BSA, glycerol, and sodium azide (ab255811).

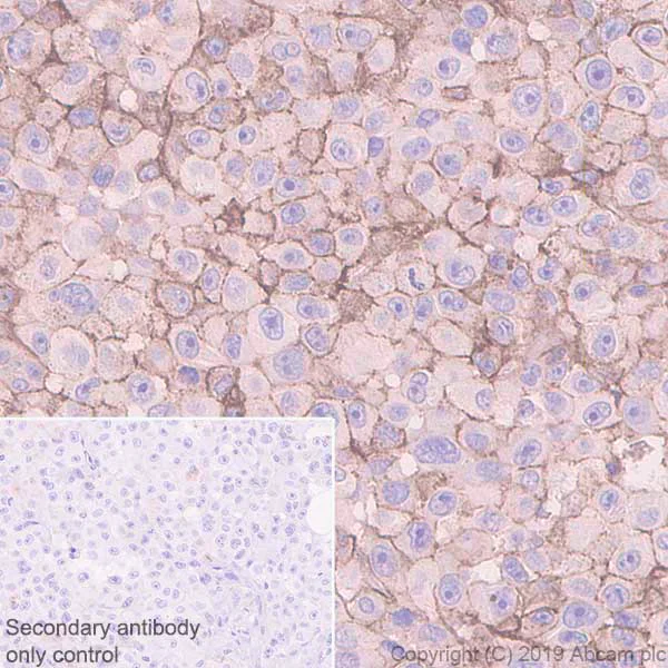
Immunohistochemistry (Formalin/PFA-fixed paraffin-embedded sections) - Anti-NG2 antibody [EPR22410-145] - BSA and Azide free (AB256351)
  • IHC-P

Supplier Data

Immunohistochemistry (Formalin/PFA-fixed paraffin-embedded sections) - Anti-NG2 antibody [EPR22410-145] - BSA and Azide free (AB256351)

Immunohistochemical analysis of paraffin-embedded human melanoma tissue labeling NG2 with ab255811 at 1/100 dilution, followed by ready to use Rabbit specific IHC polymer detection kit HRP/DAB (ab209101). Positive staining in human melanoma (PMID : 25197555). The section was incubated with ab255811 for 30 mins at room temperature. The immunostaining was performed on a Leica Biosystems BOND® RX instrument. Counterstained with hematoxylin. Secondary antibody only control : Used PBS instead of primary antibody, secondary antibody is ready to use Rabbit specific IHC polymer detection kit HRP/DAB (ab209101). Heat mediated antigen retrieval with Tris-EDTA buffer (pH 9.0, epitope retrieval solution 2) for 20 mins.This data was developed using the same antibody clone in a different buffer formulation containing PBS, BSA, glycerol, and sodium azide (ab255811).

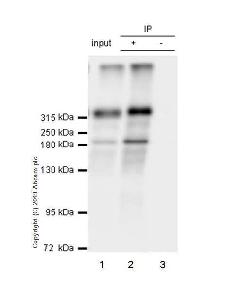
Immunoprecipitation - Anti-NG2 antibody [EPR22410-145] - BSA and Azide free (AB256351)
  • IP

Supplier Data

Immunoprecipitation - Anti-NG2 antibody [EPR22410-145] - BSA and Azide free (AB256351)

NG2 was immunoprecipitated from 0.35 mg A375 (Human malignant melanoma epithelial cell) whole cell lysate with ab255811 at 1/30 dilution. Western blot was performed from the immunoprecipitate using ab255811 at 1/1000 dilution. VeriBlot for IP Detection Reagent (HRP) (ab131366), was used at 1/1000 dilution.

Lane 1 : A375 whole cell lysate 10 μg (Input).
Lane 2 : ab255811 IP in A375 whole cell lysate.
Lane 3 : Rabbit monoclonal IgG (ab172730) instead of ab255811 in A375 whole cell lysate.

The molecular weight observed is consistent with what has been described in the literature (PMID : 9477982, 8790396). A truncated form is also detected (190kDa, PMID : 25387269).

Blocking/Dilution buffer : 5% NFDM/TBST.
Exposure time : 1 second.

This data was developed using the same antibody clone in a different buffer formulation containing PBS, BSA, glycerol, and sodium azide (ab255811).

All lanes:

Immunoprecipitation - Anti-NG2 antibody [EPR22410-145] (<a href='/en-us/products/primary-antibodies/ng2-antibody-epr22410-145-ab255811'>ab255811</a>)

Predicted band size: 251 kDa

Observed band size: 190 kDa,330 kDa,600 kDa

false

Key facts

Host species

Rabbit

Clonality

Monoclonal

Clone number

EPR22410-145

Isotype

IgG

Carrier free

Yes

Reacts with

Human

Applications

IHC-P, IP, ICC/IF, Flow Cyt, WB

applications

Immunogen

The exact immunogen used to generate this antibody is proprietary information.

Reactivity data

{ "title": "Reactivity Data", "filters": { "stats": ["", "Species", "Dilution Info", "Notes"], "tabs": { "all-applications": {"fullname" : "All Applications", "shortname": "All Applications"}, "IP" : {"fullname" : "Immunoprecipitation", "shortname":"IP"}, "FlowCyt" : {"fullname" : "Flow Cytometry", "shortname":"Flow Cyt"}, "WB" : {"fullname" : "Western blot", "shortname":"WB"}, "ICCIF" : {"fullname" : "Immunocytochemistry/ Immunofluorescence", "shortname":"ICC/IF"}, "IHCP" : {"fullname" : "Immunohistochemistry (Formalin/PFA-fixed paraffin-embedded sections)", "shortname":"IHC-P"} }, "product-promise": { "all": "all", "testedAndGuaranteed": "tested", "guaranteed": "expected", "predicted": "predicted", "notRecommended": "not-recommended" } }, "values": { "Human": { "IP-species-checked": "testedAndGuaranteed", "IP-species-dilution-info": "", "IP-species-notes": "<p></p>", "FlowCyt-species-checked": "testedAndGuaranteed", "FlowCyt-species-dilution-info": "", "FlowCyt-species-notes": "<p></p>", "WB-species-checked": "guaranteed", "WB-species-dilution-info": "", "WB-species-notes": "<p></p>", "ICCIF-species-checked": "testedAndGuaranteed", "ICCIF-species-dilution-info": "", "ICCIF-species-notes": "<p></p>", "IHCP-species-checked": "testedAndGuaranteed", "IHCP-species-dilution-info": "", "IHCP-species-notes": "<p></p>" } } }

Product details

ab256351 is the carrier-free version of ab255811.

Patented technology
Our RabMAb® technology is a patented hybridoma-based technology for making rabbit monoclonal antibodies. For details on our patents, please refer to RabMAb® patents.

What are the advantages of a recombinant monoclonal antibody?
This product is a recombinant monoclonal antibody, which offers several advantages including:

  • - High batch-to-batch consistency and reproducibility
  • - Improved sensitivity and specificity
  • - Long-term security of supply
  • - Animal-free batch production

For more information, read more on recombinant antibodies.

Conjugation ready
Our carrier-free antibodies are typically supplied in a PBS-only formulation, purified and free of BSA, sodium azide and glycerol. This conjugation-ready format is designed for use with fluorochromes, metal isotopes, oligonucleotides, and enzymes, which makes them ideal for antibody labelling, functional and cell-based assays, flow-based assays (e.g. mass cytometry) and Multiplex Imaging applications.

Use our conjugation kits for antibody conjugates that are ready-to-use in as little as 20 minutes with 1 minute hands-on-time and 100% antibody recovery: available for fluorescent dyes, HRP, biotin and gold.

Compatibility
This product is compatible with the Maxpar® Antibody Labeling Kit from Fluidigm, without the need for antibody preparation. Maxpar® is a trademark of Fluidigm Canada Inc.

Properties and storage information

Form
Liquid
Purification technique
Affinity purification Protein A
Storage buffer
pH: 7.2 - 7.4 Constituents: PBS
Shipped at conditions
Blue Ice
Appropriate short-term storage conditions
+4°C
Appropriate long-term storage conditions
+4°C
Storage information
Do Not Freeze

Product protocols

For this product, it's our understanding that no specific protocols are required. You can visit:

Target data

Proteoglycan playing a role in cell proliferation and migration which stimulates endothelial cells motility during microvascular morphogenesis. May also inhibit neurite outgrowth and growth cone collapse during axon regeneration. Cell surface receptor for collagen alpha 2(VI) which may confer cells ability to migrate on that substrate. Binds through its extracellular N-terminus growth factors, extracellular matrix proteases modulating their activity. May regulate MPP16-dependent degradation and invasion of type I collagen participating in melanoma cells invasion properties. May modulate the plasminogen system by enhancing plasminogen activation and inhibiting angiostatin. Functions also as a signal transducing protein by binding through its cytoplasmic C-terminus scaffolding and signaling proteins. May promote retraction fiber formation and cell polarization through Rho GTPase activation. May stimulate alpha-4, beta-1 integrin-mediated adhesion and spreading by recruiting and activating a signaling cascade through CDC42, ACK1 and BCAR1. May activate FAK and ERK1/ERK2 signaling cascades.
See full target information CSPG4

Publications (1)

Recent publications for all applications. Explore the full list and refine your search

Frontiers in pharmacology 16:1550458 PubMed40599805

2025

Naringenin attenuates slow-transit constipation by regulating the AMPK/mTOR/ULK1 signalling pathway: and studies.

Applications

Unspecified application

Species

Unspecified reactive species

Yahui Wang,Xiaopeng Wang,Yifei Qian,Mingming Sun,Huiju Yang,Lianlin Su,Shuai Yan
View all publications

Product promise

We are committed to supporting your work with high-quality reagents, and we're here for you every step of the way. In the unlikely event that one of our products does not perform as expected, you're protected by our Product Promise.
For full details, please see our Terms & Conditions

Please note: All products are 'FOR RESEARCH USE ONLY. NOT FOR USE IN DIAGNOSTIC OR THERAPEUTIC PROCEDURES'.

For licensing inquiries, please contact partnerships@abcam.com