JavaScript is disabled in your browser. Please enable JavaScript to view this website.
AB275041

Anti-NG2 antibody [EPR23752-147] - BSA and Azide free

  • BOND RX™ Validated
  • RabMAb
  • Recombinant
  • KO Validated
  • What is this?

Be the first to review this product! Submit a review

|

(0 Publication)

Rabbit Recombinant Monoclonal NG2 antibody. Carrier free. Suitable for ICC/IF, Flow Cyt, WB, IHC-P and reacts with Mouse, Rat samples.

View Alternative Names

An2, Kiaa4232, Ng2, Cspg4, Chondroitin sulfate proteoglycan 4, Chondroitin sulfate proteoglycan NG2, Proteoglycan AN2

9 Images
Immunohistochemistry (Formalin/PFA-fixed paraffin-embedded sections) - Anti-NG2 antibody [EPR23752-147] - BSA and Azide free (AB275041)
  • IHC-P

Lab

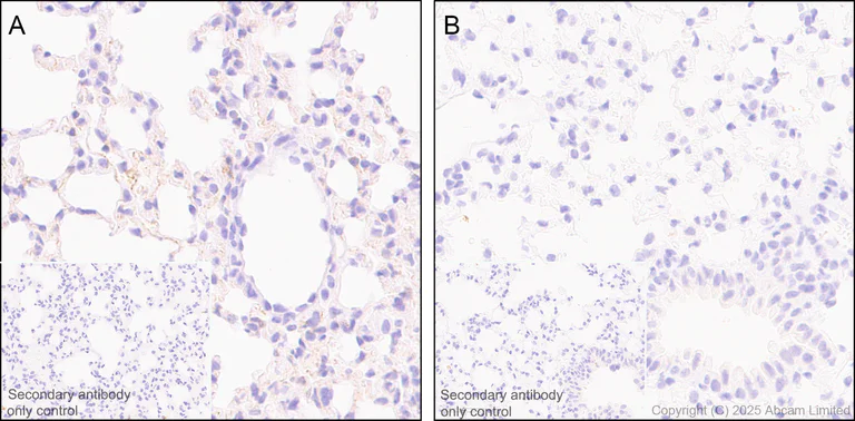
Immunohistochemistry (Formalin/PFA-fixed paraffin-embedded sections) - Anti-NG2 antibody [EPR23752-147] - BSA and Azide free (AB275041)

This data was developed using ab259324, the same antibody clone in a different buffer formulation.

Immunohistochemical analysis of paraffin-embedded (A) Lung tissue from wild-type C57BL/6J mice and (B) Lung tissue from Cspg4 knockout mice tissue labeling NG2 with ab259324 at 1/1000 dilution.

Positive staining on (A) Lung tissue from wild-type C57BL/6J mice, no staining on (B) Lung tissue from Cspg4 knockout mice.

The primary antibody was incubated for 30 mins at room temperature. The immunostaining was performed on a Leica Biosystems BOND® RX instrument. Counterstained with Hematoxylin.

Heat mediated antigen retrieval was performed with Tris-EDTA buffer (pH 9.0, Epitope Retrieval Solution2) for 20 mins

The tissue samples were kindly provided by GemPharmatech. C57BL/6JGpt wildtype mice and Cspg4-KO homozygous mice (Strain ID : T011797).

Immunocytochemistry/ Immunofluorescence - Anti-NG2 antibody [EPR23752-147] - BSA and Azide free (AB275041)
  • ICC/IF

Unknown

Immunocytochemistry/ Immunofluorescence - Anti-NG2 antibody [EPR23752-147] - BSA and Azide free (AB275041)

This data was developed using ab259324, the same antibody clone in a different buffer formulation.

Immunofluorescent analysis of 4% Paraformaldehyde-fixed, 0.1% Triton X-100 permeabilized rat primary neural/glia cells labelling NG2 with ab259324 at 1/50 dilution, followed by ab150077 Goat Anti-Rabbit IgG H&L (Alexa Fluor® 488) antibody at 1/1000 dilution (Green). Confocal image showing positive staining in rat primary glia cells. Confocal scanning Z step was set as 0.3 μm followed by image processing with maximum Z projection. ab11267 Anti-MAP2 mouse monoclonal antibody was used to counterstain MAP2 at 1/500 dilution, followed by ab150120 Goat Anti-Mouse IgG H&L (Alexa Fluor® 594) at 1/1000 dilution (Red). The Nuclear counterstain was DAPI (Blue).

-ve control 1 : ab259324 at 1/50 dilution, followed by ab150120 Goat Anti-Mouse IgG H&L (Alexa Fluor® 594) at 1/1000 dilution.

-ve control 2 : ab11267 at 1/1000 dilution, followed by ab150077 Goat Anti-Rabbit IgG H&L (Alexa Fluor® 488) antibody at 1/1000 dilution.

Flow Cytometry - Anti-NG2 antibody [EPR23752-147] - BSA and Azide free (AB275041)
  • Flow Cyt

Unknown

Flow Cytometry - Anti-NG2 antibody [EPR23752-147] - BSA and Azide free (AB275041)

This data was developed using ab259324, the same antibody clone in a different buffer formulation.

Flow cytometric analysis of N9 (Mouse microglia, Left) / NIH/3T3 (Mouse embryonic fibroblast, Right) cells labelling NG2 with ab259324 at 1/500 dilution (0.1ug) (Red) compared with a Rabbit monoclonal IgG (ab172730) isotype control (Black) and an unlabelled control (cells without incubation with primary antibody and secondary antibody) (Blue).

Goat anti rabbit IgG (Alexa Fluor® 488, ab150077) at 1/2000 dilution was used as the secondary antibody.

Negative control : N9 cells.

Gated on viable cells.

Flow Cytometry - Anti-NG2 antibody [EPR23752-147] - BSA and Azide free (AB275041)
  • Flow Cyt

Unknown

Flow Cytometry - Anti-NG2 antibody [EPR23752-147] - BSA and Azide free (AB275041)

This data was developed using ab259324, the same antibody clone in a different buffer formulation.

Flow cytometric analysis of Mouse primary neural glia cells cells labelling NG2 with ab259324 at 1/500 dilution (0.1ug) (Right) compared with a Rabbit monoclonal IgG (ab172730) isotype control (Left).

Goat anti rabbit IgG (Alexa Fluor® 488, ab150077) at 1/2000 dilution was used as the secondary antibody.

Gated on viable cells.

Immunohistochemistry (Formalin/PFA-fixed paraffin-embedded sections) - Anti-NG2 antibody [EPR23752-147] - BSA and Azide free (AB275041)
  • IHC-P

Unknown

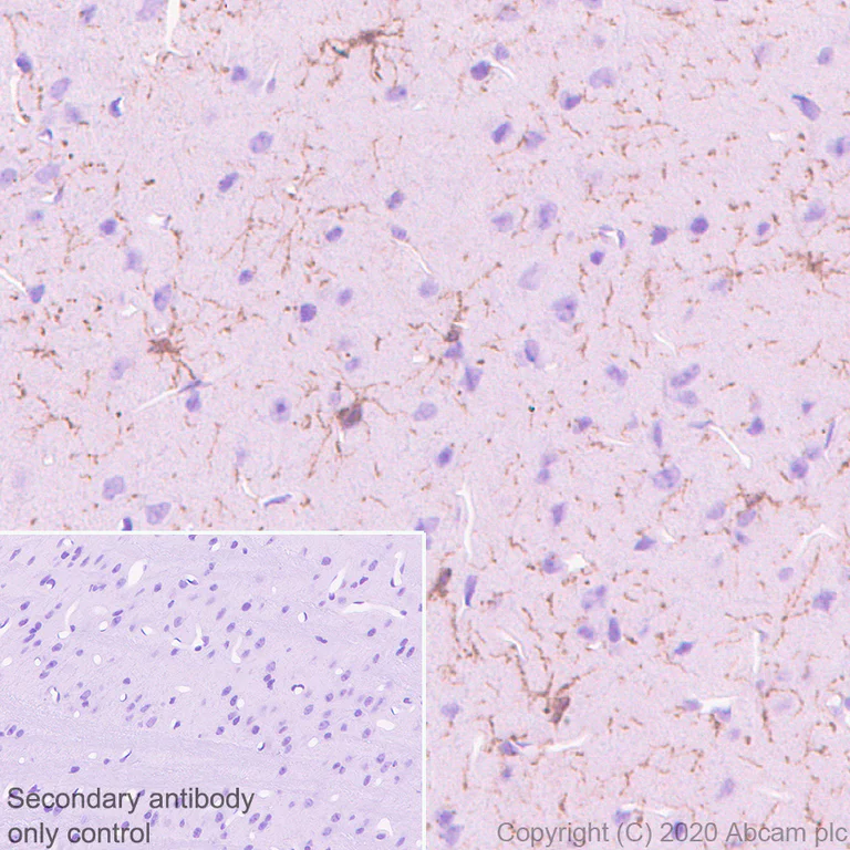
Immunohistochemistry (Formalin/PFA-fixed paraffin-embedded sections) - Anti-NG2 antibody [EPR23752-147] - BSA and Azide free (AB275041)

This data was developed using ab259324, the same antibody clone in a different buffer formulation.

Immunohistochemical analysis of paraffin-embedded Mouse cerebrum tissue labeling NG2 with ab259324 at 1/100 dilution followed by a ready to use Rabbit specific IHC polymer detection kit HRP/DAB (ab209101). Positive staining on mouse cerebrum (PMID : 31769737). The section was incubated with ab259324 for 30 mins at room temperature. The immunostaining was performed on a Leica Biosystems BOND® RX instrument. Counterstained with Hematoxylin.

Secondary antibody only control : Secondary antibody is a ready to use Rabbit specific IHC polymer detection kit HRP/DAB (ab209101).

Heat mediated antigen retrieval with Tris-EDTA buffer (pH 9.0, epitope retrieval solution2) for 20 mins.

Immunohistochemistry (Formalin/PFA-fixed paraffin-embedded sections) - Anti-NG2 antibody [EPR23752-147] - BSA and Azide free (AB275041)
  • IHC-P

Lab

Immunohistochemistry (Formalin/PFA-fixed paraffin-embedded sections) - Anti-NG2 antibody [EPR23752-147] - BSA and Azide free (AB275041)

This data was developed using ab259324, the same antibody clone in a different buffer formulation.

Immunohistochemical analysis of paraffin-embedded (A) Cerebrum tissue from wild-type C57BL/6J mice and (B) Cerebrum tissue from Cspg4 knockout mice tissue labeling NG2 with ab259324 at 1/1000 dilution.

Positive staining on (A) Cerebrum tissue from wild-type C57BL/6J mice, no staining on (B) Cerebrum tissue from Cspg4 knockout mice.

The primary antibody was incubated for 30 mins at room temperature. The immunostaining was performed on a Leica Biosystems BOND® RX instrument. Counterstained with Hematoxylin.

Heat mediated antigen retrieval was performed with Tris-EDTA buffer (pH 9.0, Epitope Retrieval Solution2) for 20 mins

The tissue samples were kindly provided by GemPharmatech. C57BL/6JGpt wildtype mice and Cspg4-KO homozygous mice (Strain ID : T011797).

Immunocytochemistry/ Immunofluorescence - Anti-NG2 antibody [EPR23752-147] - BSA and Azide free (AB275041)
  • ICC/IF

Unknown

Immunocytochemistry/ Immunofluorescence - Anti-NG2 antibody [EPR23752-147] - BSA and Azide free (AB275041)

This data was developed using ab259324, the same antibody clone in a different buffer formulation.

Immunofluorescent analysis of 4% Paraformaldehyde-fixed, 0.1% Triton X-100 permeabilized mouse primary neural/glia cells labelling NG2 with ab259324 at 1/100 dilution, followed by ab150077 Goat Anti-Rabbit IgG H&L (Alexa Fluor® 488) antibody at 1/1000 dilution (Green). Confocal image showing positive staining in mouse primary glia cells. Confocal scanning Z step was set as 0.3 μm followed by image processing with maximum Z projection. ab11267 Anti-MAP2 mouse monoclonal antibody was used to counterstain tubulin at 1/500 dilution (Red). The Nuclear counterstain was DAPI (Blue).

Secondary antibody only control : Secondary antibody is ab150077 Goat Anti-Rabbit IgG H&L (Alexa Fluor® 488) at 1/1000 dilution.

Western blot - Anti-NG2 antibody [EPR23752-147] - BSA and Azide free (AB275041)
  • WB

Lab

Western blot - Anti-NG2 antibody [EPR23752-147] - BSA and Azide free (AB275041)

This data was developed using ab259324, the same antibody clone in a different buffer formulation.

Blocking and diluting buffer and concentration : 5% NFDM/TBST.

In Western blot, Anti-GAPDH antibody [EPR16891] - Loading Control (ab181602) staining at 1/200000 dilution.

The tissue samples were kindly provided by GemPharmatech. C57BL/6JGpt wildtype mice and Cspg4-KO homozygous mice (Strain ID : T011797).

All lanes:

Western blot - Anti-NG2 antibody [EPR23752-147] (<a href='/en-us/products/primary-antibodies/ng2-antibody-epr23752-147-ab259324'>ab259324</a>) at 1/1000 dilution

Lane 1:

Wild-type mouse lung tissue lysate (male) at 20 µg

Lane 2:

Cspg4 knockout mouse lung tissue lysate (male) at 20 µg

Lane 3:

Wild-type mouse lung tissue lysate (female) at 20 µg

Lane 4:

Cspg4 knockout mouse lung tissue lysate (female) at 20 µg

Secondary

All lanes:

Western blot - Goat Anti-Rabbit IgG H&L (HRP) (<a href='/en-us/products/secondary-antibodies/goat-rabbit-igg-h-l-hrp-ab97051'>ab97051</a>) at 1/20000 dilution

Observed band size: 300 kDa

false

Exposure time: 62s

Western blot - Anti-NG2 antibody [EPR23752-147] - BSA and Azide free (AB275041)
  • WB

Lab

Western blot - Anti-NG2 antibody [EPR23752-147] - BSA and Azide free (AB275041)

This data was developed using ab259324, the same antibody clone in a different buffer formulation.

Blocking and diluting buffer and concentration : 5% NFDM/TBST.

In Western blot, Anti-GAPDH antibody [EPR16891] - Loading Control (ab181602) staining at 1/200000 dilution.

The tissue samples were kindly provided by GemPharmatech. C57BL/6JGpt wildtype mice and Cspg4-KO homozygous mice (Strain ID : T011797).

All lanes:

Western blot - Anti-NG2 antibody [EPR23752-147] (<a href='/en-us/products/primary-antibodies/ng2-antibody-epr23752-147-ab259324'>ab259324</a>) at 1/1000 dilution

Lane 1:

Wild-type mouse cerebrum tissue lysate (male) at 20 µg

Lane 2:

Cspg4 knockout mouse cerebrum tissue lysate (male) at 20 µg

Lane 3:

Wild-type mouse cerebrum tissue lysate (female) at 20 µg

Lane 4:

Cspg4 knockout mouse cerebrum tissue lysate (female) at 20 µg

Secondary

All lanes:

Western blot - Goat Anti-Rabbit IgG H&L (HRP) (<a href='/en-us/products/secondary-antibodies/goat-rabbit-igg-h-l-hrp-ab97051'>ab97051</a>) at 1/20000 dilution

Observed band size: 300 kDa

false

Exposure time: 180s

Key facts

Host species

Rabbit

Clonality

Monoclonal

Clone number

EPR23752-147

Isotype

IgG

Carrier free

Yes

Reacts with

Mouse, Rat

Applications

IHC-P, ICC/IF, Flow Cyt, WB

applications

Immunogen

The exact immunogen used to generate this antibody is proprietary information.

Reactivity data

{ "title": "Reactivity Data", "filters": { "stats": ["", "Species", "Dilution Info", "Notes"], "tabs": { "all-applications": {"fullname" : "All Applications", "shortname": "All Applications"}, "ICCIF" : {"fullname" : "Immunocytochemistry/ Immunofluorescence", "shortname":"ICC/IF"}, "IP" : {"fullname" : "Immunoprecipitation", "shortname":"IP"}, "FlowCyt" : {"fullname" : "Flow Cytometry", "shortname":"Flow Cyt"}, "WB" : {"fullname" : "Western blot", "shortname":"WB"}, "IHCFr" : {"fullname" : "Immunohistochemistry (Frozen sections)", "shortname":"IHC-Fr"}, "IHCP" : {"fullname" : "Immunohistochemistry (Formalin/PFA-fixed paraffin-embedded sections)", "shortname":"IHC-P"} }, "product-promise": { "all": "all", "testedAndGuaranteed": "tested", "guaranteed": "expected", "predicted": "predicted", "notRecommended": "not-recommended" } }, "values": { "Human": { "ICCIF-species-checked": "notRecommended", "ICCIF-species-dilution-info": "", "ICCIF-species-notes": "<p></p>", "IP-species-checked": "notRecommended", "IP-species-dilution-info": "", "IP-species-notes": "<p></p>", "FlowCyt-species-checked": "notRecommended", "FlowCyt-species-dilution-info": "", "FlowCyt-species-notes": "<p></p>", "WB-species-checked": "notRecommended", "WB-species-dilution-info": "", "WB-species-notes": "<p></p>", "IHCFr-species-checked": "notRecommended", "IHCFr-species-dilution-info": "", "IHCFr-species-notes": "", "IHCP-species-checked": "notRecommended", "IHCP-species-dilution-info": "", "IHCP-species-notes": "<p></p>" }, "Mouse": { "ICCIF-species-checked": "testedAndGuaranteed", "ICCIF-species-dilution-info": "", "ICCIF-species-notes": "<p></p>", "IP-species-checked": "notRecommended", "IP-species-dilution-info": "", "IP-species-notes": "<p></p>", "FlowCyt-species-checked": "testedAndGuaranteed", "FlowCyt-species-dilution-info": "", "FlowCyt-species-notes": "<p></p>", "WB-species-checked": "testedAndGuaranteed", "WB-species-dilution-info": "", "WB-species-notes": "<p></p>", "IHCFr-species-checked": "notRecommended", "IHCFr-species-dilution-info": "", "IHCFr-species-notes": "<p></p>", "IHCP-species-checked": "testedAndGuaranteed", "IHCP-species-dilution-info": "", "IHCP-species-notes": "<p></p>" }, "Rat": { "ICCIF-species-checked": "testedAndGuaranteed", "ICCIF-species-dilution-info": "", "ICCIF-species-notes": "<p></p>", "IP-species-checked": "notRecommended", "IP-species-dilution-info": "", "IP-species-notes": "<p></p>", "FlowCyt-species-checked": "guaranteed", "FlowCyt-species-dilution-info": "", "FlowCyt-species-notes": "<p></p>", "WB-species-checked": "notRecommended", "WB-species-dilution-info": "", "WB-species-notes": "<p></p>", "IHCFr-species-checked": "notRecommended", "IHCFr-species-dilution-info": "", "IHCFr-species-notes": "<p></p>", "IHCP-species-checked": "notRecommended", "IHCP-species-dilution-info": "", "IHCP-species-notes": "<p></p>" } } }

Product details

ab275041 is the carrier-free version of ab259324.

Patented technology
Our RabMAb® technology is a patented hybridoma-based technology for making rabbit monoclonal antibodies. For details on our patents, please refer to RabMAb® patents.

What are the advantages of a recombinant monoclonal antibody?
This product is a recombinant monoclonal antibody, which offers several advantages including:

  • - High batch-to-batch consistency and reproducibility
  • - Improved sensitivity and specificity
  • - Long-term security of supply
  • - Animal-free batch production

For more information, read more on recombinant antibodies.

Conjugation ready
Our carrier-free antibodies are typically supplied in a PBS-only formulation, purified and free of BSA, sodium azide and glycerol. This conjugation-ready format is designed for use with fluorochromes, metal isotopes, oligonucleotides, and enzymes, which makes them ideal for antibody labelling, functional and cell-based assays, flow-based assays (e.g. mass cytometry) and Multiplex Imaging applications.

Use our conjugation kits for antibody conjugates that are ready-to-use in as little as 20 minutes with 1 minute hands-on-time and 100% antibody recovery: available for fluorescent dyes, HRP, biotin and gold.

Compatibility
This product is compatible with the Maxpar® Antibody Labeling Kit from Fluidigm, without the need for antibody preparation. Maxpar® is a trademark of Fluidigm Canada Inc.

Properties and storage information

Form
Liquid
Purification technique
Affinity purification Protein A
Storage buffer
Constituents: PBS
Shipped at conditions
Blue Ice
Appropriate short-term storage conditions
+4°C
Appropriate long-term storage conditions
+4°C
Storage information
Do Not Freeze

Product protocols

For this product, it's our understanding that no specific protocols are required. You can visit:

Target data

Proteoglycan playing a role in cell proliferation and migration which stimulates endothelial cells motility during microvascular morphogenesis. May also inhibit neurite outgrowth and growth cone collapse during axon regeneration. Cell surface receptor for collagen alpha 2(VI) which may confer cells ability to migrate on that substrate. Binds through its extracellular N-terminus growth factors, extracellular matrix proteases modulating their activity. May regulate MPP16-dependent degradation and invasion of type I collagen participating in melanoma cells invasion properties. May modulate the plasminogen system by enhancing plasminogen activation and inhibiting angiostatin. Functions also as a signal transducing protein by binding through its cytoplasmic C-terminus scaffolding and signaling proteins. May promote retraction fiber formation and cell polarization through Rho GTPase activation. May stimulate alpha-4, beta-1 integrin-mediated adhesion and spreading by recruiting and activating a signaling cascade through CDC42, ACK1 and BCAR1. May activate FAK and ERK1/ERK2 signaling cascades.
See full target information Cspg4

Product promise

We are committed to supporting your work with high-quality reagents, and we're here for you every step of the way. In the unlikely event that one of our products does not perform as expected, you're protected by our Product Promise.
For full details, please see our Terms & Conditions

Please note: All products are 'FOR RESEARCH USE ONLY. NOT FOR USE IN DIAGNOSTIC OR THERAPEUTIC PROCEDURES'.

For licensing inquiries, please contact partnerships@abcam.com