JavaScript is disabled in your browser. Please enable JavaScript to view this website.
AB272649

Anti-NHE-7 antibody

Be the first to review this product! Submit a review

|

(0 Publication)

Rabbit Polyclonal NHE-7 antibody. Suitable for IHC-P, WB and reacts with Human samples. Immunogen corresponding to Recombinant Fragment Protein within Human SLC9A7 aa 600-700.

View Alternative Names

NHE7, SLC9A7, Sodium/hydrogen exchanger 7, Na(+)/H(+) exchanger 7, Solute carrier family 9 member 7, NHE-7

2 Images
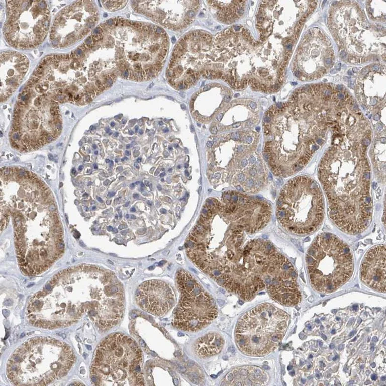
Immunohistochemistry (Formalin/PFA-fixed paraffin-embedded sections) - Anti-NHE-7 antibody (AB272649)
  • IHC-P

Unknown

Immunohistochemistry (Formalin/PFA-fixed paraffin-embedded sections) - Anti-NHE-7 antibody (AB272649)

Paraffin-embedded formalin-fixed human kidney tissue stained for NHE-7 using ab272649 at 1/20 dilution in immunohistochemical analysis.

Western blot - Anti-NHE-7 antibody (AB272649)
  • WB

Unknown

Western blot - Anti-NHE-7 antibody (AB272649)

Lane 1:

Western blot - Anti-NHE-7 antibody (ab272649)

Lanes 2 - 3:

Western blot - Anti-NHE-7 antibody (ab272649) at 0.4 µg/mL

Lane 1:

Molecular Weight ladder

Lane 2:

RT4 cells (Human urinary bladder cancer cell line)

Lane 3:

U-251 MG cells (Human brain glioma cell line)

Predicted band size: 80 kDa

false

Key facts

Host species

Rabbit

Clonality

Polyclonal

Isotype

IgG

Carrier free

No

Reacts with

Human

Applications

WB, IHC-P

applications

Immunogen

Recombinant Fragment Protein within Human SLC9A7 aa 600-700. The exact immunogen used to generate this antibody is proprietary information.

Q96T83

Reactivity data

{ "title": "Reactivity Data", "filters": { "stats": ["", "Species", "Dilution Info", "Notes"], "tabs": { "all-applications": {"fullname" : "All Applications", "shortname": "All Applications"}, "IHCP" : {"fullname" : "Immunohistochemistry (Formalin/PFA-fixed paraffin-embedded sections)", "shortname":"IHC-P"}, "WB" : {"fullname" : "Western blot", "shortname":"WB"} }, "product-promise": { "all": "all", "testedAndGuaranteed": "tested", "guaranteed": "expected", "predicted": "predicted", "notRecommended": "not-recommended" } }, "values": { "Human": { "IHCP-species-checked": "testedAndGuaranteed", "IHCP-species-dilution-info": "1/20 - 1/50", "IHCP-species-notes": "<p></p> Perform heat-mediated antigen retrieval with citrate buffer pH 6 before commencing with IHC staining protocol.", "WB-species-checked": "testedAndGuaranteed", "WB-species-dilution-info": "0.04-0.4 µg/mL", "WB-species-notes": "<p></p>" }, "Mouse": { "IHCP-species-checked": "predicted", "IHCP-species-dilution-info": "", "IHCP-species-notes": "", "WB-species-checked": "predicted", "WB-species-dilution-info": "", "WB-species-notes": "" } } }

Properties and storage information

Form
Liquid
Purification technique
Affinity purification Immunogen
Storage buffer
pH: 7.2 Preservative: 0.02% Sodium azide Constituents: PBS, 40% Glycerol (glycerin, glycerine)
Shipped at conditions
Blue Ice
Appropriate short-term storage duration
1-2 weeks
Appropriate short-term storage conditions
+4°C
Appropriate long-term storage conditions
-20°C
Aliquoting information
Upon delivery aliquot
Storage information
Avoid freeze / thaw cycle

Product protocols

For this product, it's our understanding that no specific protocols are required. You can visit:

Target data

Golgi Na(+), K(+)/(H+) antiporter. Mediates the electoneutral influx of Na(+) or K(+) in exchange for H(+). May contribute to the regulation of Golgi apparatus volume and pH.
See full target information SLC9A7

Product promise

We are committed to supporting your work with high-quality reagents, and we're here for you every step of the way. In the unlikely event that one of our products does not perform as expected, you're protected by our Product Promise.
For full details, please see our Terms & Conditions

Please note: All products are 'FOR RESEARCH USE ONLY. NOT FOR USE IN DIAGNOSTIC OR THERAPEUTIC PROCEDURES'.

For licensing inquiries, please contact partnerships@abcam.com