JavaScript is disabled in your browser. Please enable JavaScript to view this website.
AB180498

Anti-NHP2 antibody [EPR12404]

5

(1 Review)

|

(7 Publications)

Rabbit Recombinant Monoclonal NHP2 antibody. Suitable for WB, Flow Cyt (Intra), IHC-P and reacts with Human samples. Cited in 7 publications.

View Alternative Names

NOLA2, HSPC286, NHP2, H/ACA ribonucleoprotein complex subunit 2, Nucleolar protein family A member 2, snoRNP protein NHP2

3 Images
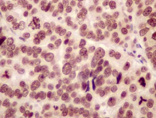
Immunohistochemistry (Formalin/PFA-fixed paraffin-embedded sections) - Anti-NHP2 antibody [EPR12404] (AB180498)
  • IHC-P

Supplier Data

Immunohistochemistry (Formalin/PFA-fixed paraffin-embedded sections) - Anti-NHP2 antibody [EPR12404] (AB180498)

Immunohistochemical analysis of paraffin-embedded Human ovarian carcinoma tissue labeling NHP2 with ab180498 at 1/500 dilution followed by ImmunoHistoprobe (Ready to use) HRP Polymer for Rabbit IgG and counter stained with Hematoxylin.

Perform heat mediated antigen retrieval with EDTA buffer pH 9 before commencing with IHC staining protocol.

Flow Cytometry (Intracellular) - Anti-NHP2 antibody [EPR12404] (AB180498)
  • Flow Cyt (Intra)

Supplier Data

Flow Cytometry (Intracellular) - Anti-NHP2 antibody [EPR12404] (AB180498)

Intracellular flow cytometric analysis of K562 cells (2% paraformaldehyde-fixed)labeling NHP2 with ab180498 at 1/20 (red) compared to a Rabbit monoclonal IgGnegative control antibody (green) followed byGoat anti rabbit IgG (FITC) at 1/75 dilution.

Western blot - Anti-NHP2 antibody [EPR12404] (AB180498)
  • WB

Supplier Data

Western blot - Anti-NHP2 antibody [EPR12404] (AB180498)

All lanes:

Western blot - Anti-NHP2 antibody [EPR12404] (ab180498) at 1/2000 dilution

Lane 1:

K562 lysate at 20 µg

Lane 2:

Jurkat lysate at 20 µg

Lane 3:

Caco-2 cell lysate at 20 µg

Lane 4:

SH-SY5Y cell lysate at 20 µg

Secondary

All lanes:

Goat Anti-Rabbit IgG, (H+L), Peroxidase conjugated at 1/1000 dilution

Predicted band size: 17 kDa

false

Key facts

Host species

Rabbit

Clonality

Monoclonal

Clone number

EPR12404

Isotype

IgG

Carrier free

No

Reacts with

Human

Applications

IHC-P, Flow Cyt (Intra), WB

applications

Immunogen

The exact immunogen used to generate this antibody is proprietary information.

Reactivity data

{ "title": "Reactivity Data", "filters": { "stats": ["", "Species", "Dilution Info", "Notes"], "tabs": { "all-applications": {"fullname" : "All Applications", "shortname": "All Applications"}, "WB" : {"fullname" : "Western blot", "shortname":"WB"}, "FlowCytIntra" : {"fullname" : "Flow Cytometry (Intracellular)", "shortname":"Flow Cyt (Intra)"}, "IHCP" : {"fullname" : "Immunohistochemistry (Formalin/PFA-fixed paraffin-embedded sections)", "shortname":"IHC-P"} }, "product-promise": { "all": "all", "testedAndGuaranteed": "tested", "guaranteed": "expected", "predicted": "predicted", "notRecommended": "not-recommended" } }, "values": { "Human": { "WB-species-checked": "testedAndGuaranteed", "WB-species-dilution-info": "1/1000 - 1/10000", "WB-species-notes": "<p></p>", "FlowCytIntra-species-checked": "testedAndGuaranteed", "FlowCytIntra-species-dilution-info": "1/20", "FlowCytIntra-species-notes": "<p><a href='/en-us/products/primary-antibodies/rabbit-igg-monoclonal-epr25a-isotype-control-ab172730'>ab172730</a> - Rabbit monoclonal IgG, is suitable for use as an isotype control with this antibody.</p>", "IHCP-species-checked": "testedAndGuaranteed", "IHCP-species-dilution-info": "1/500", "IHCP-species-notes": "<p></p>" }, "Mouse": { "WB-species-checked": "predicted", "WB-species-dilution-info": "", "WB-species-notes": "", "FlowCytIntra-species-checked": "predicted", "FlowCytIntra-species-dilution-info": "", "FlowCytIntra-species-notes": "", "IHCP-species-checked": "predicted", "IHCP-species-dilution-info": "", "IHCP-species-notes": "" }, "Rat": { "WB-species-checked": "predicted", "WB-species-dilution-info": "", "WB-species-notes": "", "FlowCytIntra-species-checked": "predicted", "FlowCytIntra-species-dilution-info": "", "FlowCytIntra-species-notes": "", "IHCP-species-checked": "predicted", "IHCP-species-dilution-info": "", "IHCP-species-notes": "" } } }

Product details

Patented technology
Our RabMAb® technology is a patented hybridoma-based technology for making rabbit monoclonal antibodies. For details on our patents, please refer to RabMAb® patents.

What are the advantages of a recombinant monoclonal antibody?
This product is a recombinant monoclonal antibody, which offers several advantages including:

  • - High batch-to-batch consistency and reproducibility
  • - Improved sensitivity and specificity
  • - Long-term security of supply
  • - Animal-free batch production

For more information, read more on recombinant antibodies.

Properties and storage information

Form
Liquid
Purification technique
Affinity purification Protein A
Storage buffer
Preservative: 0.01% Sodium azide Constituents: PBS, 40% Glycerol (glycerin, glycerine), 0.05% BSA
Shipped at conditions
Blue Ice
Appropriate short-term storage duration
1-2 weeks
Appropriate short-term storage conditions
+4°C
Appropriate long-term storage conditions
-20°C
Aliquoting information
Upon delivery aliquot
Storage information
Avoid freeze / thaw cycle

Product protocols

For this product, it's our understanding that no specific protocols are required. You can visit:

Target data

Required for ribosome biogenesis and telomere maintenance. Part of the H/ACA small nucleolar ribonucleoprotein (H/ACA snoRNP) complex, which catalyzes pseudouridylation of rRNA. This involves the isomerization of uridine such that the ribose is subsequently attached to C5, instead of the normal N1. Each rRNA can contain up to 100 pseudouridine ('psi') residues, which may serve to stabilize the conformation of rRNAs. May also be required for correct processing or intranuclear trafficking of TERC, the RNA component of the telomerase reverse transcriptase (TERT) holoenzyme.
See full target information NHP2

Publications (7)

Recent publications for all applications. Explore the full list and refine your search

BMC cancer 25:1088 PubMed40597828

2025

NHP2 and PRPF4 are hub genes associated with the prognosis of colorectal cancer.

Applications

Unspecified application

Species

Unspecified reactive species

Ning Li,Li-Juan Gao,Ke-Xin Guo,Jie Wang,De-Ping Wang,Jia-Yi Hou,Ji-Min Cao

Human molecular genetics 32:2901-2912 PubMed37440454

2023

Novel pathological variants of NHP2 affect N-terminal domain flexibility, protein stability, H/ACA Ribonucleoprotein (RNP) complex formation and telomerase activity.

Applications

Unspecified application

Species

Unspecified reactive species

Bartosz Maliński,Jacopo Vertemara,Elena Faustini,Claes Ladenvall,Anna Norberg,Yuming Zhang,Eleonore von Castelmur,Panagiotis Baliakas,Renata Tisi,Jörg Cammenga,Francisca Lottersberger

Molecular & cellular proteomics : MCP 20:100115 PubMed34129943

2021

Age-Associated Proteomic Signatures and Potential Clinically Actionable Targets of Colorectal Cancer.

Applications

Unspecified application

Species

Unspecified reactive species

Yanqiu Gong,Yu Liu,Tian Wang,Zhigui Li,Li Gao,Haining Chen,Yang Shu,Yuan Li,Heng Xu,Zongguang Zhou,Lunzhi Dai

EMBO reports 22:e50684 PubMed33852194

2021

The deubiquitinase USP36 promotes snoRNP group SUMOylation and is essential for ribosome biogenesis.

Applications

Unspecified application

Species

Unspecified reactive species

Hyunju Ryu,Xiao-Xin Sun,Yingxiao Chen,Yanping Li,Xiaoyan Wang,Roselyn S Dai,Hong-Ming Zhu,John Klimek,Larry David,Lev M Fedorov,Yoshiaki Azuma,Rosalie C Sears,Mu-Shui Dai

Aging 12:19365-19374 PubMed33044946

2020

Knockdown of NHP2 inhibits hepatitis B virus X protein-induced hepatocarcinogenesis via repressing TERT expression and disrupting the stability of telomerase complex.

Applications

Unspecified application

Species

Unspecified reactive species

Shuming Tang,Weigang Wu,Haoqiang Wan,Xuecheng Wu,Haixia Chen

Human molecular genetics 29:907-922 PubMed31985013

2020

NHP2 deficiency impairs rRNA biogenesis and causes pulmonary fibrosis and Høyeraal-Hreidarsson syndrome.

Applications

Unspecified application

Species

Unspecified reactive species

Maname Benyelles,Marie-Françoise O'Donohue,Laëtitia Kermasson,Elodie Lainey,Raphael Borie,Chantal Lagresle-Peyrou,Hilario Nunes,Clarisse Cazelles,Cécile Fourrage,Emmanuelle Ollivier,Ambroise Marcais,Anne-Sophie Gamez,Fanny Morice-Picard,Denis Caillaud,Nicolas Pottier,Christelle Ménard,Ibrahima Ba,Alicia Fernandes,Bruno Crestani,Jean-Pierre de Villartay,Pierre-Emmanuel Gleizes,Isabelle Callebaut,Caroline Kannengiesser,Patrick Revy

Journal of enzyme inhibition and medicinal chemistry 33:1199-1211 PubMed30132373

2018

Discovery of new chromen-4-one derivatives as telomerase inhibitors through regulating expression of dyskerin.

Applications

Unspecified application

Species

Unspecified reactive species

Jie Quan Wang,Meng Di Yang,Xing Chen,Yang Wang,Liu Zeng Chen,Xiu Cheng,Xin Hua Liu
View all publications

Product promise

We are committed to supporting your work with high-quality reagents, and we're here for you every step of the way. In the unlikely event that one of our products does not perform as expected, you're protected by our Product Promise.
For full details, please see our Terms & Conditions

Please note: All products are 'FOR RESEARCH USE ONLY. NOT FOR USE IN DIAGNOSTIC OR THERAPEUTIC PROCEDURES'.

For licensing inquiries, please contact partnerships@abcam.com