JavaScript is disabled in your browser. Please enable JavaScript to view this website.
AB135272

Anti-Nicotinic Acetylcholine Receptor alpha 1/CHRNA1 antibody

3

(2 Reviews)

|

(2 Publications)

Rabbit Polyclonal Nicotinic Acetylcholine Receptor alpha 1/CHRNA1 antibody. Suitable for IHC-P and reacts with Human samples. Cited in 2 publications.

View Alternative Names

ACHRA, CHNRA, CHRNA1, Acetylcholine receptor subunit alpha

1 Images
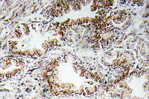
Immunohistochemistry (Formalin/PFA-fixed paraffin-embedded sections) - Anti-Nicotinic Acetylcholine Receptor alpha 1/CHRNA1 antibody (AB135272)
  • IHC-P

Unknown

Immunohistochemistry (Formalin/PFA-fixed paraffin-embedded sections) - Anti-Nicotinic Acetylcholine Receptor alpha 1/CHRNA1 antibody (AB135272)

Immunohistochemical analysis of paraffin embedded Human prostate carcinoma tissue labelling Nicotinic Acetylcholine Receptor alpha 1/CHRNA1 with ab135272 at 1/50.

Key facts

Host species

Rabbit

Clonality

Polyclonal

Isotype

IgG

Carrier free

No

Reacts with

Human

Applications

IHC-P

applications

Immunogen

The exact immunogen used to generate this antibody is proprietary information.

Specificity

Detects endogenous levels of Nicotinic Acetylcholine Receptor alpha 1

Reactivity data

{ "title": "Reactivity Data", "filters": { "stats": ["", "Species", "Dilution Info", "Notes"], "tabs": { "all-applications": {"fullname" : "All Applications", "shortname": "All Applications"}, "IHCP" : {"fullname" : "Immunohistochemistry (Formalin/PFA-fixed paraffin-embedded sections)", "shortname":"IHC-P"} }, "product-promise": { "all": "all", "testedAndGuaranteed": "tested", "guaranteed": "expected", "predicted": "predicted", "notRecommended": "not-recommended" } }, "values": { "Human": { "IHCP-species-checked": "testedAndGuaranteed", "IHCP-species-dilution-info": "1/50 - 1/100", "IHCP-species-notes": "<p></p> Perform heat-mediated antigen retrieval with citrate buffer pH 6 before commencing with IHC staining protocol." }, "Mouse": { "IHCP-species-checked": "predicted", "IHCP-species-dilution-info": "", "IHCP-species-notes": "" }, "Rat": { "IHCP-species-checked": "predicted", "IHCP-species-dilution-info": "", "IHCP-species-notes": "" } } }

Properties and storage information

Form
Liquid
Purification technique
Affinity purification Immunogen
Purification notes
The antibody was affinity purified from Rabbit antiserum by affinity chromatography using epitope specific phosphopeptide. The antibody against non phosphopeptide was removed by chromatography using non phosphopeptide corresponding to the phosphorylation.
Storage buffer
pH: 7.4 Preservative: 0.02% Sodium azide Constituents: 50% Glycerol (glycerin, glycerine), 0.88% Sodium chloride
Shipped at conditions
Blue Ice
Appropriate short-term storage conditions
+4°C
Appropriate long-term storage conditions
-20°C
Storage information
Stable for 12 months at -20°C

Supplementary information

This supplementary information is collated from multiple sources and compiled automatically.

The Nicotinic Acetylcholine Receptor alpha 1 also known as CHRNA1 is an essential component of the nicotinic acetylcholine receptor complex. This receptor an ion channel found in the neuromuscular junction is involved in the mechanical process of signal transmission between nerves and muscles. The protein facilitates the binding of acetylcholine a neurotransmitter which triggers an ion flow causing muscle contraction. The CHRNA1 subunit generally displays a mass of approximately 58 kDa and is widely expressed in muscle tissues.
Biological function summary

The Nicotinic Acetylcholine Receptor alpha 1 has a fundamental role in neuromuscular communication. It is part of a pentameric complex in combination with other acetylcholine receptor subunits. When acetylcholine binds to the receptor the channel opens permitting cations like sodium and calcium to enter the muscle cell leading to depolarization and subsequent muscle contraction. This biological process is essential for voluntary muscle movement.

Pathways

The Nicotinic Acetylcholine Receptor alpha 1 is involved in the neuromuscular signaling pathway. This pathway regulates muscle contraction by converting neural chemical signals into mechanical responses. In this pathway CHRNA1 interacts closely with proteins such as the acetylcholine ligand and acetylcholine receptor. These interactions ensure effective synaptic transmission at the neuromuscular junction contributing to muscle activation and relaxation cycles.

Nicotinic Acetylcholine Receptor alpha 1 is linked to conditions such as myasthenia gravis and congenital myasthenic syndromes. In myasthenia gravis autoantibodies targeting CHRNA1 hinder normal receptor function on muscles leading to weakness and fatigue. Additionally the protein is associated with congenital myasthenic syndromes where mutations can alter the receptor's function resulting in impaired neuromuscular transmission. The receptor's relationship with other proteins like the acetylcholine receptor and AchR protein plays an important role in these conditions often defining the severity and specific characteristics of the disorders.

Product protocols

For this product, it's our understanding that no specific protocols are required. You can visit:

Target data

Isoform 1. Upon acetylcholine binding, the AChR responds by an extensive change in conformation that affects all subunits and leads to opening of an ion-conducting channel across the plasma membrane.. Isoform 2. Non functional acetylcholine receptor alpha subunit which is not integrated into functional acetylcholine-gated cation-selective channels.
See full target information CHRNA1

Publications (2)

Recent publications for all applications. Explore the full list and refine your search

Nature protocols : PubMed40707741

2025

Printed photonic crystal biochips for rapid and sensitive detection of biomarkers in various body fluids.

Applications

Unspecified application

Species

Unspecified reactive species

Zewei Lian,Jimei Chi,Xu Yang,Lijun Cheng,Daixi Xie,Zhiyu Tan,Sisi Chen,Yang Yun,Yisilamu Yibulayimu,Wei Wu,Yanlin Song,Meng Su

Laryngoscope investigative otolaryngology 10:e70020 PubMed39780862

2025

Neuromuscular junction visualization in paraffin-embedded thyroarytenoid muscle sections: Expanding options beyond frozen section analysis.

Applications

Unspecified application

Species

Unspecified reactive species

Samuel L Kaefer,Elizabeth O Shay,Rachel A Morrison,Lujuan Zhang,Sherry Voytik-Harbin,Stacey Halum
View all publications

Product promise

We are committed to supporting your work with high-quality reagents, and we're here for you every step of the way. In the unlikely event that one of our products does not perform as expected, you're protected by our Product Promise.
For full details, please see our Terms & Conditions

Please note: All products are 'FOR RESEARCH USE ONLY. NOT FOR USE IN DIAGNOSTIC OR THERAPEUTIC PROCEDURES'.

For licensing inquiries, please contact partnerships@abcam.com