JavaScript is disabled in your browser. Please enable JavaScript to view this website.
AB308306

Anti-Nicotinic Acetylcholine Receptor alpha 1/CHRNA1 antibody [EPR27397-4]

  • BOND RX™ Validated
  • 20ul selling size
  • RabMAb
  • Recombinant
  • What is this?

2

(1 Review)

|

(1 Publication)

Rabbit Recombinant Monoclonal Nicotinic Acetylcholine Receptor alpha 1/CHRNA1 antibody. Suitable for WB, IHC-P, IHC-Fr and reacts with Human, Mouse, Rat, Transfected cell line samples. Cited in 1 publication.

View Alternative Names

ACHRA, CHNRA, CHRNA1, Acetylcholine receptor subunit alpha

17 Images
Immunohistochemistry (Formalin/PFA-fixed paraffin-embedded sections) - Anti-Nicotinic Acetylcholine Receptor alpha 1/CHRNA1 antibody [EPR27397-4] (AB308306)
  • IHC-P

Supplier Data

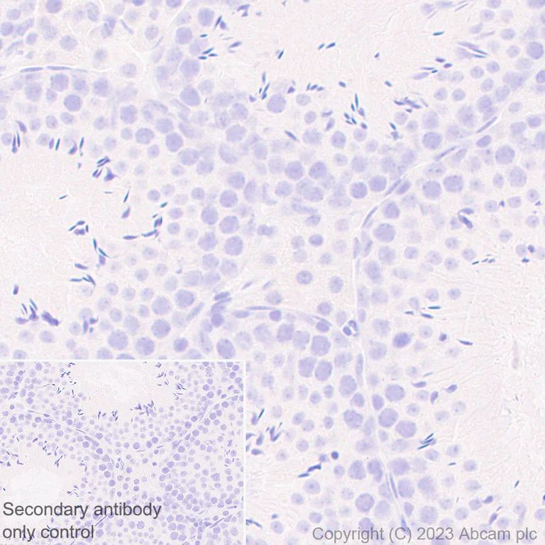
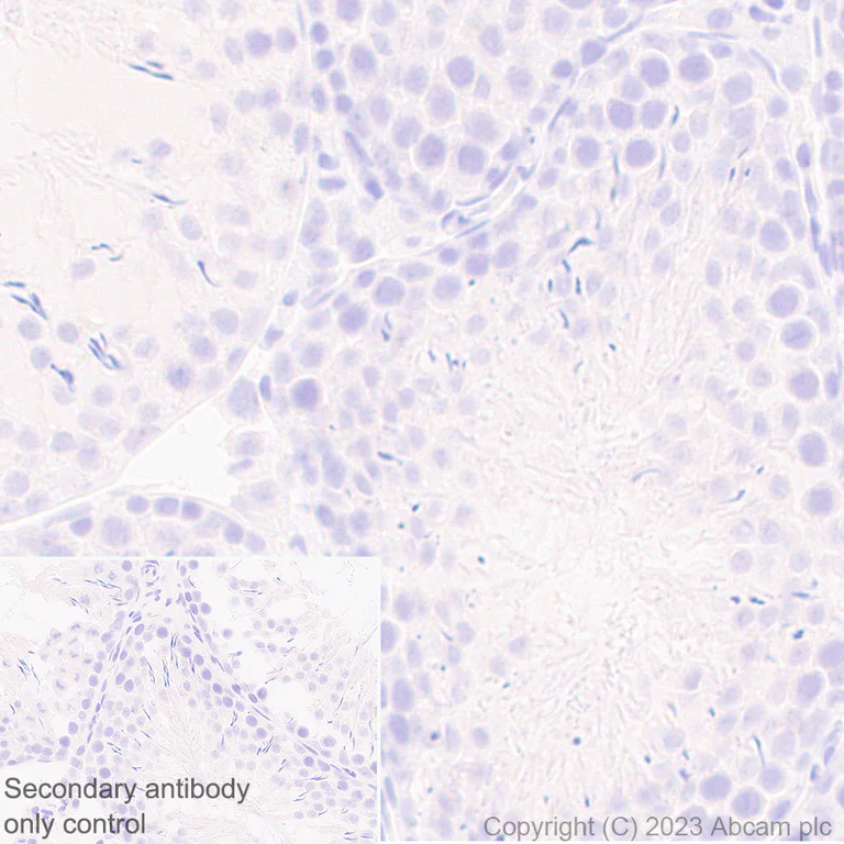
Immunohistochemistry (Formalin/PFA-fixed paraffin-embedded sections) - Anti-Nicotinic Acetylcholine Receptor alpha 1/CHRNA1 antibody [EPR27397-4] (AB308306)

Immunohistochemical analysis of paraffin-embedded human testis tissue labeling Nicotinic Acetylcholine Receptor alpha 1/CHRNA1 with ab308306 at 1/500 dilution (1.008 ug/ml) followed by ready to use LeicaDS9800 (Bond® Polymer Refine Detection). Negative control : no staining on human testis. The section was incubated with ab308306 for 30 mins at room temperature. The immunostaining was performed on a Leica Biosystems BOND® RX instrument. Counterstained with Hematoxylin. Secondary antibody only control : Secondary antibody is ready to use LeicaDS9800 (Bond® Polymer Refine Detection). Heat mediated antigen retrieval was performed with Tris-EDTA buffer (pH 9.0, Epitope Retrieval Solution2) for 20 mins.

Immunohistochemistry (Formalin/PFA-fixed paraffin-embedded sections) - Anti-Nicotinic Acetylcholine Receptor alpha 1/CHRNA1 antibody [EPR27397-4] (AB308306)
  • IHC-P

Supplier Data

Immunohistochemistry (Formalin/PFA-fixed paraffin-embedded sections) - Anti-Nicotinic Acetylcholine Receptor alpha 1/CHRNA1 antibody [EPR27397-4] (AB308306)

Immunohistochemical analysis of paraffin-embedded cell pellets labeling Nicotinic Acetylcholine Receptor alpha 1/CHRNA1 with ab308306 at 1/2000 dilution (0.252 ug/ml) followed by ready to use LeicaDS9800 (Bond® Polymer Refine Detection). Positive staining on (A) HEK-293T transfected with a CHRNA1 his tag construct, no staining on (B) HEK-293T transfected with empty plasmid. The section was incubated with ab308306 for 30 mins at room temperature. The immunostaining was performed on a Leica Biosystems BOND® RX instrument. Counterstained with Hematoxylin. Secondary antibody only control : Secondary antibody is ready to use LeicaDS9800 (Bond® Polymer Refine Detection). Heat mediated antigen retrieval was performed with Tris-EDTA buffer (pH 9.0, Epitope Retrieval Solution2) for 20 mins.

Immunohistochemistry (Formalin/PFA-fixed paraffin-embedded sections) - Anti-Nicotinic Acetylcholine Receptor alpha 1/CHRNA1 antibody [EPR27397-4] (AB308306)
  • IHC-P

Supplier Data

Immunohistochemistry (Formalin/PFA-fixed paraffin-embedded sections) - Anti-Nicotinic Acetylcholine Receptor alpha 1/CHRNA1 antibody [EPR27397-4] (AB308306)

Immunohistochemical analysis of paraffin-embedded human skeletal muscle tissue labeling Nicotinic Acetylcholine Receptor alpha 1/CHRNA1 with ab308306 at 1/500 dilution (1.008 ug/ml) followed by ready to use LeicaDS9800 (Bond® Polymer Refine Detection). Cytoplasmic staining on human skeletal muscle (PMID : 34228850). The section was incubated with ab308306 for 30 mins at room temperature. The immunostaining was performed on a Leica Biosystems BOND® RX instrument. Counterstained with Hematoxylin. Secondary antibody only control : Secondary antibody is ready to use LeicaDS9800 (Bond® Polymer Refine Detection). Heat mediated antigen retrieval was performed with Tris-EDTA buffer (pH 9.0, Epitope Retrieval Solution2) for 20 mins.

Immunohistochemistry (Formalin/PFA-fixed paraffin-embedded sections) - Anti-Nicotinic Acetylcholine Receptor alpha 1/CHRNA1 antibody [EPR27397-4] (AB308306)
  • IHC-P

Supplier Data

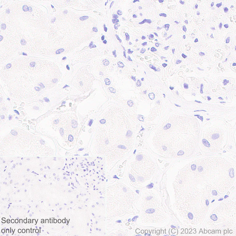
Immunohistochemistry (Formalin/PFA-fixed paraffin-embedded sections) - Anti-Nicotinic Acetylcholine Receptor alpha 1/CHRNA1 antibody [EPR27397-4] (AB308306)

Immunohistochemical analysis of paraffin-embedded human kidney tissue labeling Nicotinic Acetylcholine Receptor alpha 1/CHRNA1 with ab308306 at 1/500 dilution (1.008 ug/ml) followed by ready to use LeicaDS9800 (Bond® Polymer Refine Detection). Negative control : no staining on human kidney. The section was incubated with ab308306 for 30 mins at room temperature. The immunostaining was performed on a Leica Biosystems BOND® RX instrument. Counterstained with Hematoxylin. Secondary antibody only control : Secondary antibody is ready to use LeicaDS9800 (Bond® Polymer Refine Detection). Heat mediated antigen retrieval was performed with Tris-EDTA buffer (pH 9.0, Epitope Retrieval Solution2) for 20 mins.

Immunohistochemistry (Formalin/PFA-fixed paraffin-embedded sections) - Anti-Nicotinic Acetylcholine Receptor alpha 1/CHRNA1 antibody [EPR27397-4] (AB308306)
  • IHC-P

Supplier Data

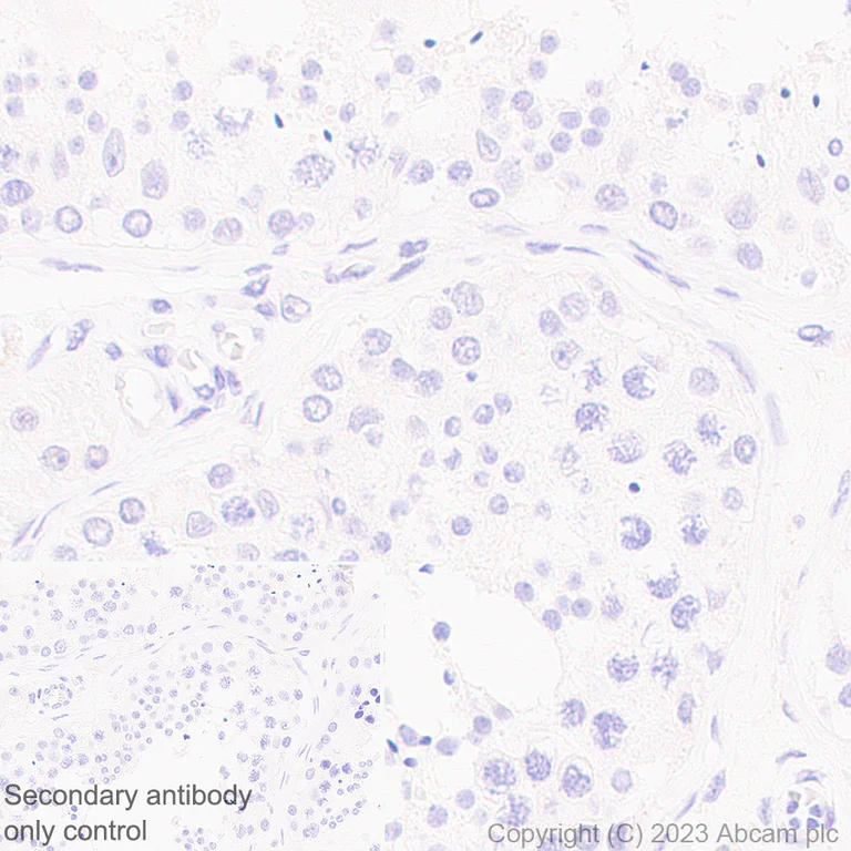
Immunohistochemistry (Formalin/PFA-fixed paraffin-embedded sections) - Anti-Nicotinic Acetylcholine Receptor alpha 1/CHRNA1 antibody [EPR27397-4] (AB308306)

Immunohistochemical analysis of paraffin-embedded rat testis tissue labeling Nicotinic Acetylcholine Receptor alpha 1/CHRNA1 with ab308306 at 1/2000 dilution (0.252 ug/ml) followed by ready to use LeicaDS9800 (Bond® Polymer Refine Detection). Negative control : no staining on rat testis. The section was incubated with ab308306 for 30 mins at room temperature. The immunostaining was performed on a Leica Biosystems BOND® RX instrument. Counterstained with Hematoxylin. Secondary antibody only control : Secondary antibody is ready to use LeicaDS9800 (Bond® Polymer Refine Detection). Heat mediated antigen retrieval was performed with Tris-EDTA buffer (pH 9.0, Epitope Retrieval Solution2) for 20 mins.

Immunohistochemistry (Frozen sections) - Anti-Nicotinic Acetylcholine Receptor alpha 1/CHRNA1 antibody [EPR27397-4] (AB308306)
  • IHC-Fr

Supplier Data

Immunohistochemistry (Frozen sections) - Anti-Nicotinic Acetylcholine Receptor alpha 1/CHRNA1 antibody [EPR27397-4] (AB308306)

Immunohistochemical analysis of 4% PFA-fixed, 0.2% Triton X-100 permeabilized frozen mouse testis (fresh) tissue labeling Nicotinic Acetylcholine Receptor alpha 1/CHRNA1 with ab308306 at 1/100 dilution (5.04 ug/ml) followed by ab150081 Goat Anti-Rabbit IgG H&L (Alexa Fluor® 488) preadsorbed at 1/1000 dilution (2 ug/mL) (Green). Low expression : confocal image showing no staining on mouse testis. The nuclear counterstain was DAPI (Blue). The section was incubated with ab308306 for 60 mins at room temperature. The section was then mounted using Fluoromount®. The immunostaining was performed on a Leica Biosystems BOND® RX instrument. Image was taken with a confocal microscope (Leica-Microsystems, TCS SP8). The nuclear counterstain was DAPI (Blue). Secondary antibody control : Secondary antibody is ab150081 Goat Anti-Rabbit IgG H&L (Alexa Fluor® 488) preadsorbed at 1/1000 dilution (2 ug/mL).

Immunohistochemistry (Frozen sections) - Anti-Nicotinic Acetylcholine Receptor alpha 1/CHRNA1 antibody [EPR27397-4] (AB308306)
  • IHC-Fr

Supplier Data

Immunohistochemistry (Frozen sections) - Anti-Nicotinic Acetylcholine Receptor alpha 1/CHRNA1 antibody [EPR27397-4] (AB308306)

Immunohistochemical analysis of 4% PFA-fixed, 0.2% Triton X-100 permeabilized frozen mouse skeletal muscle (fresh) tissue labeling Nicotinic Acetylcholine Receptor alpha 1/CHRNA1 with ab308306 at 1/100 dilution (5.04 ug/ml) followed by ab150081 Goat Anti-Rabbit IgG H&L (Alexa Fluor® 488) preadsorbed at 1/1000 dilution (2 ug/mL) (Green). Confocal image showing positive staining on mouse skeletal muscle. The nuclear counterstain was DAPI (Blue). The section was incubated with ab308306 for 60 mins at room temperature. The section was then mounted using Fluoromount®. The immunostaining was performed on a Leica Biosystems BOND® RX instrument. Image was taken with a confocal microscope (Leica-Microsystems, TCS SP8). The nuclear counterstain was DAPI (Blue). Secondary antibody control : Secondary antibody is ab150081 Goat Anti-Rabbit IgG H&L (Alexa Fluor® 488) preadsorbed at 1/1000 dilution (2 ug/mL).

Immunohistochemistry (Frozen sections) - Anti-Nicotinic Acetylcholine Receptor alpha 1/CHRNA1 antibody [EPR27397-4] (AB308306)
  • IHC-Fr

Supplier Data

Immunohistochemistry (Frozen sections) - Anti-Nicotinic Acetylcholine Receptor alpha 1/CHRNA1 antibody [EPR27397-4] (AB308306)

Immunohistochemical analysis of 4% PFA-fixed, 0.2% Triton X-100 permeabilized frozen rat skeletal muscle (fresh) tissue labeling Nicotinic Acetylcholine Receptor alpha 1/CHRNA1 with ab308306 at 1/100 dilution (5.04 ug/ml) followed by ab150081 Goat Anti-Rabbit IgG H&L (Alexa Fluor® 488) preadsorbed at 1/1000 dilution (2 ug/mL) (Green). Confocal image showing positive staining on rat skeletal muscle. The nuclear counterstain was DAPI (Blue). The section was incubated with ab308306 for 60 mins at room temperature. The section was then mounted using Fluoromount®. The immunostaining was performed on a Leica Biosystems BOND® RX instrument. Image was taken with a confocal microscope (Leica-Microsystems, TCS SP8). The nuclear counterstain was DAPI (Blue). Secondary antibody control : Secondary antibody is ab150081 Goat Anti-Rabbit IgG H&L (Alexa Fluor® 488) preadsorbed at 1/1000 dilution (2 ug/mL).

Immunohistochemistry (Frozen sections) - Anti-Nicotinic Acetylcholine Receptor alpha 1/CHRNA1 antibody [EPR27397-4] (AB308306)
  • IHC-Fr

Supplier Data

Immunohistochemistry (Frozen sections) - Anti-Nicotinic Acetylcholine Receptor alpha 1/CHRNA1 antibody [EPR27397-4] (AB308306)

Immunohistochemical analysis of 4% PFA-fixed, 0.2% Triton X-100 permeabilized frozen rat testis (fresh) tissue labeling Nicotinic Acetylcholine Receptor alpha 1/CHRNA1 with ab308306 at 1/100 dilution (5.04 ug/ml) followed by ab150081 Goat Anti-Rabbit IgG H&L (Alexa Fluor® 488) preadsorbed at 1/1000 dilution (2 ug/mL) (Green). Low expression : confocal image showing no staining on rat testis. The nuclear counterstain was DAPI (Blue). The section was incubated with ab308306 for 60 mins at room temperature. The section was then mounted using Fluoromount®. The immunostaining was performed on a Leica Biosystems BOND® RX instrument. Image was taken with a confocal microscope (Leica-Microsystems, TCS SP8). The nuclear counterstain was DAPI (Blue). Secondary antibody control : Secondary antibody is ab150081 Goat Anti-Rabbit IgG H&L (Alexa Fluor® 488) preadsorbed at 1/1000 dilution (2 ug/mL).

Immunohistochemistry (Frozen sections) - Anti-Nicotinic Acetylcholine Receptor alpha 1/CHRNA1 antibody [EPR27397-4] (AB308306)
  • IHC-Fr

Supplier Data

Immunohistochemistry (Frozen sections) - Anti-Nicotinic Acetylcholine Receptor alpha 1/CHRNA1 antibody [EPR27397-4] (AB308306)

Immunohistochemical analysis of 4% PFA-fixed, 0.2% Triton X-100 permeabilized frozen mouse kidney (fresh) tissue labeling Nicotinic Acetylcholine Receptor alpha 1/CHRNA1 with ab308306 at 1/100 dilution (5.04 ug/ml) followed by ab150081 Goat Anti-Rabbit IgG H&L (Alexa Fluor® 488) preadsorbed at 1/1000 dilution (2 ug/mL) (Green). Low expression : confocal image showing no staining on mouse kidney. The nuclear counterstain was DAPI (Blue). The section was incubated with ab308306 for 60 mins at room temperature. The section was then mounted using Fluoromount®. The immunostaining was performed on a Leica Biosystems BOND® RX instrument. Image was taken with a confocal microscope (Leica-Microsystems, TCS SP8). The nuclear counterstain was DAPI (Blue). Secondary antibody control : Secondary antibody is ab150081 Goat Anti-Rabbit IgG H&L (Alexa Fluor® 488) preadsorbed at 1/1000 dilution (2 ug/mL).

Immunohistochemistry (Frozen sections) - Anti-Nicotinic Acetylcholine Receptor alpha 1/CHRNA1 antibody [EPR27397-4] (AB308306)
  • IHC-Fr

Supplier Data

Immunohistochemistry (Frozen sections) - Anti-Nicotinic Acetylcholine Receptor alpha 1/CHRNA1 antibody [EPR27397-4] (AB308306)

Immunohistochemical analysis of 4% PFA-fixed, 0.2% Triton X-100 permeabilized frozen rat kidney (fresh) tissue labeling Nicotinic Acetylcholine Receptor alpha 1/CHRNA1 with ab308306 at 1/100 dilution (5.04 ug/ml) followed by ab150081 Goat Anti-Rabbit IgG H&L (Alexa Fluor® 488) preadsorbed at 1/1000 dilution (2 ug/mL) (Green). Low expression : confocal image showing no staining on rat kidney. The nuclear counterstain was DAPI (Blue). The section was incubated with ab308306 for 60 mins at room temperature. The section was then mounted using Fluoromount®. The immunostaining was performed on a Leica Biosystems BOND® RX instrument. Image was taken with a confocal microscope (Leica-Microsystems, TCS SP8). The nuclear counterstain was DAPI (Blue). Secondary antibody control : Secondary antibody is ab150081 Goat Anti-Rabbit IgG H&L (Alexa Fluor® 488) preadsorbed at 1/1000 dilution (2 ug/mL).

Immunohistochemistry (Formalin/PFA-fixed paraffin-embedded sections) - Anti-Nicotinic Acetylcholine Receptor alpha 1/CHRNA1 antibody [EPR27397-4] (AB308306)
  • IHC-P

Supplier Data

Immunohistochemistry (Formalin/PFA-fixed paraffin-embedded sections) - Anti-Nicotinic Acetylcholine Receptor alpha 1/CHRNA1 antibody [EPR27397-4] (AB308306)

Immunohistochemical analysis of paraffin-embedded mouse skeletal muscle tissue labeling Nicotinic Acetylcholine Receptor alpha 1/CHRNA1 with ab308306 at 1/2000 dilution (0.252 ug/ml) followed by ready to use LeicaDS9800 (Bond® Polymer Refine Detection). Cytoplasmic staining on mouse skeletal muscle (PMID : 30089464). The section was incubated with ab308306 for 30 mins at room temperature. The immunostaining was performed on a Leica Biosystems BOND® RX instrument. Counterstained with Hematoxylin. Secondary antibody only control : Secondary antibody is ready to use LeicaDS9800 (Bond® Polymer Refine Detection). Heat mediated antigen retrieval was performed with Tris-EDTA buffer (pH 9.0, Epitope Retrieval Solution2) for 20 mins.

Immunohistochemistry (Formalin/PFA-fixed paraffin-embedded sections) - Anti-Nicotinic Acetylcholine Receptor alpha 1/CHRNA1 antibody [EPR27397-4] (AB308306)
  • IHC-P

Supplier Data

Immunohistochemistry (Formalin/PFA-fixed paraffin-embedded sections) - Anti-Nicotinic Acetylcholine Receptor alpha 1/CHRNA1 antibody [EPR27397-4] (AB308306)

Immunohistochemical analysis of paraffin-embedded mouse testis tissue labeling Nicotinic Acetylcholine Receptor alpha 1/CHRNA1 with ab308306 at 1/2000 dilution (0.252 ug/ml) followed by ready to use LeicaDS9800 (Bond® Polymer Refine Detection). Negative control : no staining on mouse testis. The section was incubated with ab308306 for 30 mins at room temperature. The immunostaining was performed on a Leica Biosystems BOND® RX instrument. Counterstained with Hematoxylin. Secondary antibody only control : Secondary antibody is ready to use LeicaDS9800 (Bond® Polymer Refine Detection). Heat mediated antigen retrieval was performed with Tris-EDTA buffer (pH 9.0, Epitope Retrieval Solution2) for 20 mins.

Immunohistochemistry (Formalin/PFA-fixed paraffin-embedded sections) - Anti-Nicotinic Acetylcholine Receptor alpha 1/CHRNA1 antibody [EPR27397-4] (AB308306)
  • IHC-P

Supplier Data

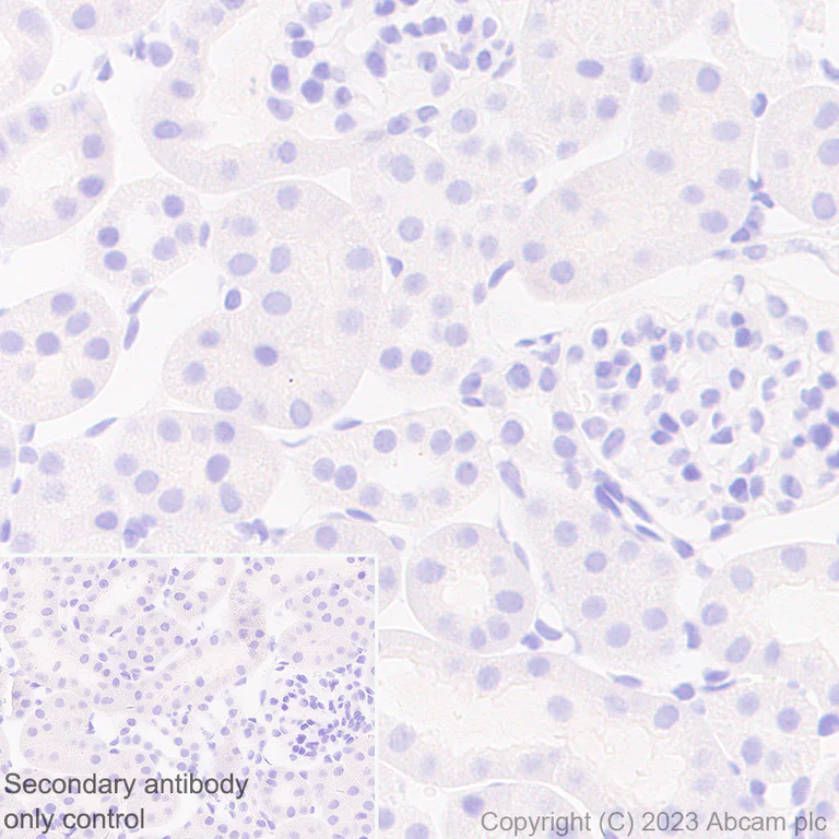
Immunohistochemistry (Formalin/PFA-fixed paraffin-embedded sections) - Anti-Nicotinic Acetylcholine Receptor alpha 1/CHRNA1 antibody [EPR27397-4] (AB308306)

Immunohistochemical analysis of paraffin-embedded mouse kidney tissue labeling Nicotinic Acetylcholine Receptor alpha 1/CHRNA1 with ab308306 at 1/2000 dilution (0.252 ug/ml) followed by ready to use LeicaDS9800 (Bond® Polymer Refine Detection). Negative control : no staining on mouse kidney. The section was incubated with ab308306 for 30 mins at room temperature. The immunostaining was performed on a Leica Biosystems BOND® RX instrument. Counterstained with Hematoxylin. Secondary antibody only control : Secondary antibody is ready to use LeicaDS9800 (Bond® Polymer Refine Detection). Heat mediated antigen retrieval was performed with Tris-EDTA buffer (pH 9.0, Epitope Retrieval Solution2) for 20 mins.

Immunohistochemistry (Formalin/PFA-fixed paraffin-embedded sections) - Anti-Nicotinic Acetylcholine Receptor alpha 1/CHRNA1 antibody [EPR27397-4] (AB308306)
  • IHC-P

Supplier Data

Immunohistochemistry (Formalin/PFA-fixed paraffin-embedded sections) - Anti-Nicotinic Acetylcholine Receptor alpha 1/CHRNA1 antibody [EPR27397-4] (AB308306)

Immunohistochemical analysis of paraffin-embedded rat skeletal muscle tissue labeling Nicotinic Acetylcholine Receptor alpha 1/CHRNA1 with ab308306 at 1/2000 dilution (0.252 ug/ml) followed by ready to use LeicaDS9800 (Bond® Polymer Refine Detection). Cytoplasmic staining on rat skeletal muscle. The section was incubated with ab308306 for 30 mins at room temperature. The immunostaining was performed on a Leica Biosystems BOND® RX instrument. Counterstained with Hematoxylin. Secondary antibody only control : Secondary antibody is ready to use LeicaDS9800 (Bond® Polymer Refine Detection). Heat mediated antigen retrieval was performed with Tris-EDTA buffer (pH 9.0, Epitope Retrieval Solution2) for 20 mins.

Western blot - Anti-Nicotinic Acetylcholine Receptor alpha 1/CHRNA1 antibody [EPR27397-4] (AB308306)
  • WB

Supplier Data

Western blot - Anti-Nicotinic Acetylcholine Receptor alpha 1/CHRNA1 antibody [EPR27397-4] (AB308306)

Blocking and diluting buffer and concentration : 5% NFDM/TBST. Negative control : testis (PMID : 34228850). This antibody can only recognize the functional skeletal muscle-specific isoform (isoform 1) dimers of CHRNA1. Functional CHRNA1 can form dimers with delta subunits (CHRND) or epsilon subunits (CHRNE) (PMID : 29874875; PMID : 36634413; PMID : 1694127; PMID : 11836518; PMID : 7695910). Samples are non-boiled as boiling may cause protein aggregation. In Western blot, anti-GAPDH antibody (ab181602) loading control staining at 1/200000 dilution. Exposure time : 70 seconds.

All lanes:

Western blot - Anti-Nicotinic Acetylcholine Receptor alpha 1/CHRNA1 antibody [EPR27397-4] (ab308306) at 1/1000 dilution

Lane 1:

Human skeletal muscle tissue lysate at 20 µg

Lane 2:

Human testis tissue lysate at 20 µg

Secondary

All lanes:

Western blot - Goat Anti-Rabbit IgG H&L (HRP) (<a href='/en-us/products/secondary-antibodies/goat-rabbit-igg-h-l-hrp-ab97051'>ab97051</a>) at 1/100000 dilution

Observed band size: 100 kDa

false

Western blot - Anti-Nicotinic Acetylcholine Receptor alpha 1/CHRNA1 antibody [EPR27397-4] (AB308306)
  • WB

Supplier Data

Western blot - Anti-Nicotinic Acetylcholine Receptor alpha 1/CHRNA1 antibody [EPR27397-4] (AB308306)

Blocking and diluting buffer and concentration : 5% NFDM/TBST. Negative control : testis and kidney (PMID : 34228850). This antibody can only recognize the functional skeletal muscle-specific isoform (isoform 1) dimers of CHRNA1. Functional CHRNA1 can form dimers with delta subunits (CHRND) or epsilon subunits (CHRNE) (PMID : 29874875; PMID : 36634413; PMID : 1694127; PMID : 11836518; PMID : 7695910). Samples are non-boiled as boiling may cause protein aggregation. In Western blot, anti-GAPDH antibody (ab181602) loading control staining at 1/200000 dilution. Exposure time : 37 seconds.

All lanes:

Western blot - Anti-Nicotinic Acetylcholine Receptor alpha 1/CHRNA1 antibody [EPR27397-4] (ab308306) at 1/1000 dilution

Lane 1:

Mouse skeletal muscle tissue lysate at 20 µg

Lane 2:

Mouse testis tissue lysate at 20 µg

Lane 3:

Mouse kidney tissue lysate at 20 µg

Lane 4:

Rat skeletal muscle tissue lysate at 20 µg

Lane 5:

Rat testis tissue lysate at 20 µg

Lane 6:

Rat kidney tissue lysate at 20 µg

Secondary

All lanes:

Western blot - Goat Anti-Rabbit IgG H&L (HRP) (<a href='/en-us/products/secondary-antibodies/goat-rabbit-igg-h-l-hrp-ab97051'>ab97051</a>) at 1/100000 dilution

Observed band size: 100 kDa

false

  • Carrier free

    Anti-Nicotinic Acetylcholine Receptor alpha 1/CHRNA1 antibody [EPR27397-4] - BSA and Azide free

Key facts

Host species

Rabbit

Clonality

Monoclonal

Clone number

EPR27397-4

Isotype

IgG

Carrier free

No

Reacts with

Rat, Human, Mouse

Applications

WB, IHC-P, IHC-Fr

applications

Immunogen

The exact immunogen used to generate this antibody is proprietary information.

Reactivity data

{ "title": "Reactivity Data", "filters": { "stats": ["", "Species", "Dilution Info", "Notes"], "tabs": { "all-applications": {"fullname" : "All Applications", "shortname": "All Applications"}, "WB" : {"fullname" : "Western blot", "shortname":"WB"}, "IHCP" : {"fullname" : "Immunohistochemistry (Formalin/PFA-fixed paraffin-embedded sections)", "shortname":"IHC-P"}, "IHCFr" : {"fullname" : "Immunohistochemistry (Frozen sections)", "shortname":"IHC-Fr"}, "ICCIF" : {"fullname" : "Immunocytochemistry/ Immunofluorescence", "shortname":"ICC/IF"}, "FlowCytIntra" : {"fullname" : "Flow Cytometry (Intracellular)", "shortname":"Flow Cyt (Intra)"}, "IP" : {"fullname" : "Immunoprecipitation", "shortname":"IP"} }, "product-promise": { "all": "all", "testedAndGuaranteed": "tested", "guaranteed": "expected", "predicted": "predicted", "notRecommended": "not-recommended" } }, "values": { "Human": { "WB-species-checked": "testedAndGuaranteed", "WB-species-dilution-info": "1/1000", "WB-species-notes": "<p></p>", "IHCP-species-checked": "testedAndGuaranteed", "IHCP-species-dilution-info": "1/500 - 1/2000", "IHCP-species-notes": "<p></p> Perform heat-mediated antigen retrieval with Tris/EDTA buffer pH 9.0 before commencing with IHC staining protocol.", "IHCFr-species-checked": "guaranteed", "IHCFr-species-dilution-info": "", "IHCFr-species-notes": "", "ICCIF-species-checked": "notRecommended", "ICCIF-species-dilution-info": "", "ICCIF-species-notes": "<p></p>", "FlowCytIntra-species-checked": "notRecommended", "FlowCytIntra-species-dilution-info": "", "FlowCytIntra-species-notes": "<p></p>", "IP-species-checked": "notRecommended", "IP-species-dilution-info": "", "IP-species-notes": "<p></p>" }, "Mouse": { "WB-species-checked": "testedAndGuaranteed", "WB-species-dilution-info": "1/1000", "WB-species-notes": "<p></p>", "IHCP-species-checked": "testedAndGuaranteed", "IHCP-species-dilution-info": "1/500 - 1/2000", "IHCP-species-notes": "<p></p> Perform heat-mediated antigen retrieval with Tris/EDTA buffer pH 9.0 before commencing with IHC staining protocol.", "IHCFr-species-checked": "testedAndGuaranteed", "IHCFr-species-dilution-info": "1/100", "IHCFr-species-notes": "<p></p>", "ICCIF-species-checked": "notRecommended", "ICCIF-species-dilution-info": "", "ICCIF-species-notes": "", "FlowCytIntra-species-checked": "notRecommended", "FlowCytIntra-species-dilution-info": "", "FlowCytIntra-species-notes": "", "IP-species-checked": "notRecommended", "IP-species-dilution-info": "", "IP-species-notes": "<p></p>" }, "Rat": { "WB-species-checked": "testedAndGuaranteed", "WB-species-dilution-info": "1/1000", "WB-species-notes": "<p></p>", "IHCP-species-checked": "testedAndGuaranteed", "IHCP-species-dilution-info": "1/500 - 1/2000", "IHCP-species-notes": "<p></p> Perform heat-mediated antigen retrieval with Tris/EDTA buffer pH 9.0 before commencing with IHC staining protocol.", "IHCFr-species-checked": "testedAndGuaranteed", "IHCFr-species-dilution-info": "1/100", "IHCFr-species-notes": "<p></p>", "ICCIF-species-checked": "notRecommended", "ICCIF-species-dilution-info": "", "ICCIF-species-notes": "", "FlowCytIntra-species-checked": "notRecommended", "FlowCytIntra-species-dilution-info": "", "FlowCytIntra-species-notes": "", "IP-species-checked": "notRecommended", "IP-species-dilution-info": "", "IP-species-notes": "" }, "Transfected cell line": { "WB-species-checked": "notRecommended", "WB-species-dilution-info": "", "WB-species-notes": "", "IHCP-species-checked": "testedAndGuaranteed", "IHCP-species-dilution-info": "1/500 - 1/2000", "IHCP-species-notes": "<p></p> Perform heat-mediated antigen retrieval with Tris/EDTA buffer pH 9.0 before commencing with IHC staining protocol.", "IHCFr-species-checked": "notRecommended", "IHCFr-species-dilution-info": "", "IHCFr-species-notes": "", "ICCIF-species-checked": "notRecommended", "ICCIF-species-dilution-info": "", "ICCIF-species-notes": "", "FlowCytIntra-species-checked": "notRecommended", "FlowCytIntra-species-dilution-info": "", "FlowCytIntra-species-notes": "", "IP-species-checked": "notRecommended", "IP-species-dilution-info": "", "IP-species-notes": "" } } }

Product details

Patented technology
Our RabMAb® technology is a patented hybridoma-based technology for making rabbit monoclonal antibodies. For details on our patents, please refer to RabMAb® patents.

What are the advantages of a recombinant monoclonal antibody?
This product is a recombinant monoclonal antibody, which offers several advantages including:

  • - High batch-to-batch consistency and reproducibility
  • - Improved sensitivity and specificity
  • - Long-term security of supply
  • - Animal-free batch production

For more information, read more on recombinant antibodies.

Properties and storage information

Form
Liquid
Purification technique
Affinity purification Protein A
Storage buffer
pH: 7.2 - 7.4 Preservative: 0.01% Sodium azide Constituents: PBS, 40% Glycerol (glycerin, glycerine), 0.05% BSA
Shipped at conditions
Blue Ice
Appropriate short-term storage duration
1-2 weeks
Appropriate short-term storage conditions
+4°C
Appropriate long-term storage conditions
-20°C
Aliquoting information
Upon delivery aliquot
Storage information
Avoid freeze / thaw cycle

Supplementary information

This supplementary information is collated from multiple sources and compiled automatically.

The Nicotinic Acetylcholine Receptor alpha 1 also known as CHRNA1 is an essential component of the nicotinic acetylcholine receptor complex. This receptor an ion channel found in the neuromuscular junction is involved in the mechanical process of signal transmission between nerves and muscles. The protein facilitates the binding of acetylcholine a neurotransmitter which triggers an ion flow causing muscle contraction. The CHRNA1 subunit generally displays a mass of approximately 58 kDa and is widely expressed in muscle tissues.
Biological function summary

The Nicotinic Acetylcholine Receptor alpha 1 has a fundamental role in neuromuscular communication. It is part of a pentameric complex in combination with other acetylcholine receptor subunits. When acetylcholine binds to the receptor the channel opens permitting cations like sodium and calcium to enter the muscle cell leading to depolarization and subsequent muscle contraction. This biological process is essential for voluntary muscle movement.

Pathways

The Nicotinic Acetylcholine Receptor alpha 1 is involved in the neuromuscular signaling pathway. This pathway regulates muscle contraction by converting neural chemical signals into mechanical responses. In this pathway CHRNA1 interacts closely with proteins such as the acetylcholine ligand and acetylcholine receptor. These interactions ensure effective synaptic transmission at the neuromuscular junction contributing to muscle activation and relaxation cycles.

Nicotinic Acetylcholine Receptor alpha 1 is linked to conditions such as myasthenia gravis and congenital myasthenic syndromes. In myasthenia gravis autoantibodies targeting CHRNA1 hinder normal receptor function on muscles leading to weakness and fatigue. Additionally the protein is associated with congenital myasthenic syndromes where mutations can alter the receptor's function resulting in impaired neuromuscular transmission. The receptor's relationship with other proteins like the acetylcholine receptor and AchR protein plays an important role in these conditions often defining the severity and specific characteristics of the disorders.

Product protocols

For this product, it's our understanding that no specific protocols are required. You can visit:

Target data

Isoform 1. Upon acetylcholine binding, the AChR responds by an extensive change in conformation that affects all subunits and leads to opening of an ion-conducting channel across the plasma membrane.. Isoform 2. Non functional acetylcholine receptor alpha subunit which is not integrated into functional acetylcholine-gated cation-selective channels.
See full target information CHRNA1

Publications (1)

Recent publications for all applications. Explore the full list and refine your search

Molecular therapy. Nucleic acids 36:102566 PubMed40503176

2025

PAI1 regulating CHRNA1 contributes to primary focal hyperhidrosis: Clinical and experimental studies.

Applications

Unspecified application

Species

Unspecified reactive species

Ru-Jie Zheng,Nan-Long Lin,Meng-Long Zhang,Rui-Qin Qiu,Feng-Qiang Yu,Xu Li,Jian-Bo Lin
View all publications

Product promise

We are committed to supporting your work with high-quality reagents, and we're here for you every step of the way. In the unlikely event that one of our products does not perform as expected, you're protected by our Product Promise.
For full details, please see our Terms & Conditions

Please note: All products are 'FOR RESEARCH USE ONLY. NOT FOR USE IN DIAGNOSTIC OR THERAPEUTIC PROCEDURES'.

For licensing inquiries, please contact partnerships@abcam.com