JavaScript is disabled in your browser. Please enable JavaScript to view this website.
AB280367

Anti-Nicotinic Acetylcholine Receptor alpha 5/CHRNA5 antibody [EPR24135-98] - BSA and Azide free

Be the first to review this product! Submit a review

|

(0 Publication)

Rabbit Recombinant Monoclonal Nicotinic Acetylcholine Receptor alpha 5/CHRNA5 antibody. Carrier free. Suitable for ICC/IF, WB and reacts with Mouse, Rat, Human samples.

View Alternative Names

NACHRA5, CHRNA5, Neuronal acetylcholine receptor subunit alpha-5

7 Images
Immunocytochemistry/ Immunofluorescence - Anti-Nicotinic Acetylcholine Receptor alpha 5/CHRNA5 antibody [EPR24135-98] - BSA and Azide free (AB280367)
  • ICC/IF

Supplier Data

Immunocytochemistry/ Immunofluorescence - Anti-Nicotinic Acetylcholine Receptor alpha 5/CHRNA5 antibody [EPR24135-98] - BSA and Azide free (AB280367)

This data was developed using ab259859, the same antibody clone in a different buffer formulation.

Immunofluorescent analysis of 4% Paraformaldehyde-fixed, 0.1% TritonX-100 permeabilized A549 cells labelling Nicotinic Acetylcholine Receptor alpha 5/CHRNA5 with ab259859 at 1/50 dilution, followed by ab150077 Goat Anti-Rabbit IgG H&L (Alexa Fluor® 488) antibody at 1/1000 dilution (Green). Confocal image showing cytoplasmic staining in A549 cell line is observed. ab195889 Anti-alpha Tubulin mouse monoclonal antibody - Microtubule Marker (Alexa Fluor® 594) was used to counterstain tubulin at 1/200 dilution (Red). The Nuclear counterstain was DAPI (Blue).

Secondary antibody only control : Secondary antibody is ab150077 Goat Anti-Rabbit IgG H&L (Alexa Fluor® 488) at 1/1000 dilution.

Immunocytochemistry/ Immunofluorescence - Anti-Nicotinic Acetylcholine Receptor alpha 5/CHRNA5 antibody [EPR24135-98] - BSA and Azide free (AB280367)
  • ICC/IF

Supplier Data

Immunocytochemistry/ Immunofluorescence - Anti-Nicotinic Acetylcholine Receptor alpha 5/CHRNA5 antibody [EPR24135-98] - BSA and Azide free (AB280367)

This data was developed using ab259859, the same antibody clone in a different buffer formulation.

Immunofluorescent analysis of 4% Paraformaldehyde-fixed, 0.1% TritonX-100 permeabilized rat primary neuron cells labelling Nicotinic Acetylcholine Receptor alpha 5/CHRNA5 with ab259859 at 1/50 dilution, followed by ab150077 Goat Anti-Rabbit IgG H&L (Alexa Fluor® 488) antibody at 1/1000 dilution (Green). Confocal image showing positive staining in rat primary neuron. Confocal scanning Z step was set as 0.3 μm followed by image processing with maximum Z projection is observed. ab11267 Anti-MAP2 mouse monoclonal antibody was used to counterstain tubulin at 1/200 dilution (Red). The Nuclear counterstain was DAPI (Blue).

Secondary antibody only control : Secondary antibody is ab150077 Goat Anti-Rabbit IgG H&L (Alexa Fluor® 488) at 1/1000 dilution.

Immunocytochemistry/ Immunofluorescence - Anti-Nicotinic Acetylcholine Receptor alpha 5/CHRNA5 antibody [EPR24135-98] - BSA and Azide free (AB280367)
  • ICC/IF

Supplier Data

Immunocytochemistry/ Immunofluorescence - Anti-Nicotinic Acetylcholine Receptor alpha 5/CHRNA5 antibody [EPR24135-98] - BSA and Azide free (AB280367)

This data was developed using ab259859, the same antibody clone in a different buffer formulation.

Immunofluorescent analysis of 4% Paraformaldehyde-fixed, 0.1% TritonX-100 permeabilized mouse primary neuron cells labelling Nicotinic Acetylcholine Receptor alpha 5/CHRNA5 with ab259859 at 1/50 dilution, followed by ab150077 Goat Anti-Rabbit IgG H&L (Alexa Fluor® 488) antibody at 1/1000 dilution (Green). Confocal image showing positive staining in mouse primary neuron. Confocal scanning Z step was set as 0.3 μm followed by image processing with maximum Z projection is observed. ab11267 Anti-MAP2 mouse monoclonal antibody was used to counterstain tubulin at 1/200 dilution (Red). The Nuclear counterstain was DAPI (Blue).

Secondary antibody only control : Secondary antibody is ab150077 Goat Anti-Rabbit IgG H&L (Alexa Fluor® 488) at 1/1000 dilution.

Western blot - Anti-Nicotinic Acetylcholine Receptor alpha 5/CHRNA5 antibody [EPR24135-98] - BSA and Azide free (AB280367)
  • WB

Lab

Western blot - Anti-Nicotinic Acetylcholine Receptor alpha 5/CHRNA5 antibody [EPR24135-98] - BSA and Azide free (AB280367)

This data was developed using ab259859, the same antibody clone in a different buffer formulation.

Blocking and diluting buffer and concentration : 5% NFDM/TBST

The observed MW and expression pattern is consistent with what has been described in the literature (PMID : 30543688, PMID : 28878681).

Samples are non-boiled as boiling may cause protein aggregates.

Exposure time : Lane 1 : 3 minutes

Lane 2 : 26 seconds

All lanes:

Western blot - Anti-Nicotinic Acetylcholine Receptor alpha 5/CHRNA5 antibody [EPR24135-98] (<a href='/en-us/products/primary-antibodies/nicotinic-acetylcholine-receptor-alpha-5-chrna5-antibody-epr24135-98-ab259859'>ab259859</a>) at 1/1000 dilution

Lane 1:

A549 (human lung carcinoma epithelial cell) whole cell lysate at 20 µg

Lane 2:

MCF7 (human breast adenocarcinoma epithelial cell) whole cell lysate at 20 µg

Secondary

All lanes:

Western blot - Goat Anti-Rabbit IgG H&L (HRP) (<a href='/en-us/products/secondary-antibodies/goat-rabbit-igg-h-l-hrp-ab97051'>ab97051</a>) at 1/100000 dilution

Predicted band size: 53 kDa

Observed band size: 53 kDa

false

Western blot - Anti-Nicotinic Acetylcholine Receptor alpha 5/CHRNA5 antibody [EPR24135-98] - BSA and Azide free (AB280367)
  • WB

Lab

Western blot - Anti-Nicotinic Acetylcholine Receptor alpha 5/CHRNA5 antibody [EPR24135-98] - BSA and Azide free (AB280367)

This data was developed using ab259859, the same antibody clone in a different buffer formulation.

Blocking and diluting buffer and concentration : 5% NFDM/TBST

The observed MW is consistent with what has been described in the literature (PMID : 30543688).

Low expression : kidney (PMID : 20920278).

Samples (except lane1) are non-boiled as boiling may cause protein aggregates.

Exposure time : 26 seconds

All lanes:

Western blot - Anti-Nicotinic Acetylcholine Receptor alpha 5/CHRNA5 antibody [EPR24135-98] (<a href='/en-us/products/primary-antibodies/nicotinic-acetylcholine-receptor-alpha-5-chrna5-antibody-epr24135-98-ab259859'>ab259859</a>) at 1/1000 dilution

Lane 1:

Rat hippocampus tissue lysate at 20 µg

Lane 2:

Rat brain tissue lysate at 20 µg

Lane 3:

Rat testis tissue lysate at 20 µg

Lane 4:

Rat kidney tissue lysate at 20 µg

Secondary

All lanes:

Western blot - Goat Anti-Rabbit IgG H&L (HRP) (<a href='/en-us/products/secondary-antibodies/goat-rabbit-igg-h-l-hrp-ab97051'>ab97051</a>) at 1/100000 dilution

Predicted band size: 53 kDa

Observed band size: 53 kDa

false

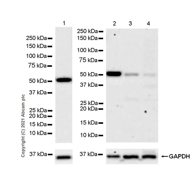
Western blot - Anti-Nicotinic Acetylcholine Receptor alpha 5/CHRNA5 antibody [EPR24135-98] - BSA and Azide free (AB280367)
  • WB

Lab

Western blot - Anti-Nicotinic Acetylcholine Receptor alpha 5/CHRNA5 antibody [EPR24135-98] - BSA and Azide free (AB280367)

This data was developed using ab259859, the same antibody clone in a different buffer formulation.

Blocking and diluting buffer and concentration : 5% NFDM/TBST

The observed MW is consistent with what has been described in the literature (PMID : 30543688).

Low expression : kidney, liver (PMID : 20920278).

Exposure time : Lane 1 : 10 seconds

Lane 2-5 : 26 seconds

All lanes:

Western blot - Anti-Nicotinic Acetylcholine Receptor alpha 5/CHRNA5 antibody [EPR24135-98] (<a href='/en-us/products/primary-antibodies/nicotinic-acetylcholine-receptor-alpha-5-chrna5-antibody-epr24135-98-ab259859'>ab259859</a>) at 1/1000 dilution

Lane 1:

Human Hippocampus tissue lysate at 20 µg

Lane 2:

Human brain tissue lysate at 20 µg

Lane 3:

Human testis tissue lysate at 20 µg

Lane 4:

Human kidney tissue lysate at 20 µg

Lane 5:

Human liver tissue lysate at 20 µg

Secondary

All lanes:

Western blot - VeriBlot for IP Detection Reagent (HRP) (<a href='/en-us/products/reagents/veriblot-for-ip-detection-reagent-hrp-ab131366'>ab131366</a>) at 1/1000 dilution

Predicted band size: 53 kDa

Observed band size: 53 kDa

false

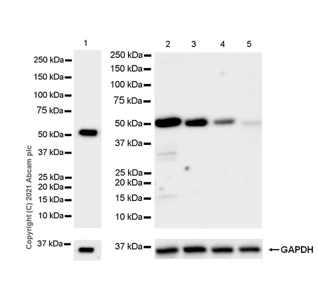
Western blot - Anti-Nicotinic Acetylcholine Receptor alpha 5/CHRNA5 antibody [EPR24135-98] - BSA and Azide free (AB280367)
  • WB

Lab

Western blot - Anti-Nicotinic Acetylcholine Receptor alpha 5/CHRNA5 antibody [EPR24135-98] - BSA and Azide free (AB280367)

This data was developed using ab259859, the same antibody clone in a different buffer formulation.

Blocking and diluting buffer and concentration : 5% NFDM/TBST

The observed MW is consistent with what has been described in the literature (PMID : 30543688).

Low expression : kidney, liver (PMID : 20920278).

Samples are non-boiled as boiling may cause protein aggregates.

Exposure time : 3 minutes

All lanes:

Western blot - Anti-Nicotinic Acetylcholine Receptor alpha 5/CHRNA5 antibody [EPR24135-98] (<a href='/en-us/products/primary-antibodies/nicotinic-acetylcholine-receptor-alpha-5-chrna5-antibody-epr24135-98-ab259859'>ab259859</a>) at 1/1000 dilution

Lane 1:

Neuro-2a (mouse neuroblastoma neuroblast) whole cell lysate at 20 µg

Lane 2:

Mouse testis tissue lysate at 20 µg

Lane 3:

Mouse kidney tissue lysate at 20 µg

Lane 4:

Mouse liver tissue lysate at 20 µg

Secondary

All lanes:

Western blot - Goat Anti-Rabbit IgG H&L (HRP) (<a href='/en-us/products/secondary-antibodies/goat-rabbit-igg-h-l-hrp-ab97051'>ab97051</a>) at 1/100000 dilution

Predicted band size: 53 kDa

Observed band size: 53 kDa

false

Key facts

Host species

Rabbit

Clonality

Monoclonal

Clone number

EPR24135-98

Isotype

IgG

Carrier free

Yes

Reacts with

Mouse, Rat, Human

Applications

ICC/IF, WB

applications

Immunogen

The exact immunogen used to generate this antibody is proprietary information.

Reactivity data

{ "title": "Reactivity Data", "filters": { "stats": ["", "Species", "Dilution Info", "Notes"], "tabs": { "all-applications": {"fullname" : "All Applications", "shortname": "All Applications"}, "ICCIF" : {"fullname" : "Immunocytochemistry/ Immunofluorescence", "shortname":"ICC/IF"}, "IP" : {"fullname" : "Immunoprecipitation", "shortname":"IP"}, "FlowCyt" : {"fullname" : "Flow Cytometry", "shortname":"Flow Cyt"}, "WB" : {"fullname" : "Western blot", "shortname":"WB"}, "IHCP" : {"fullname" : "Immunohistochemistry (Formalin/PFA-fixed paraffin-embedded sections)", "shortname":"IHC-P"}, "IHCFr" : {"fullname" : "Immunohistochemistry (Frozen sections)", "shortname":"IHC-Fr"} }, "product-promise": { "all": "all", "testedAndGuaranteed": "tested", "guaranteed": "expected", "predicted": "predicted", "notRecommended": "not-recommended" } }, "values": { "Human": { "ICCIF-species-checked": "testedAndGuaranteed", "ICCIF-species-dilution-info": "", "ICCIF-species-notes": "<p></p>", "IP-species-checked": "notRecommended", "IP-species-dilution-info": "", "IP-species-notes": "<p></p>", "FlowCyt-species-checked": "notRecommended", "FlowCyt-species-dilution-info": "", "FlowCyt-species-notes": "<p></p>", "WB-species-checked": "testedAndGuaranteed", "WB-species-dilution-info": "", "WB-species-notes": "<p></p>", "IHCP-species-checked": "notRecommended", "IHCP-species-dilution-info": "", "IHCP-species-notes": "<p></p>", "IHCFr-species-checked": "notRecommended", "IHCFr-species-dilution-info": "", "IHCFr-species-notes": "<p></p>" }, "Mouse": { "ICCIF-species-checked": "testedAndGuaranteed", "ICCIF-species-dilution-info": "", "ICCIF-species-notes": "<p></p>", "IP-species-checked": "notRecommended", "IP-species-dilution-info": "", "IP-species-notes": "<p></p>", "FlowCyt-species-checked": "notRecommended", "FlowCyt-species-dilution-info": "", "FlowCyt-species-notes": "<p></p>", "WB-species-checked": "testedAndGuaranteed", "WB-species-dilution-info": "", "WB-species-notes": "<p></p>", "IHCP-species-checked": "notRecommended", "IHCP-species-dilution-info": "", "IHCP-species-notes": "<p></p>", "IHCFr-species-checked": "notRecommended", "IHCFr-species-dilution-info": "", "IHCFr-species-notes": "<p></p>" }, "Rat": { "ICCIF-species-checked": "testedAndGuaranteed", "ICCIF-species-dilution-info": "", "ICCIF-species-notes": "<p></p>", "IP-species-checked": "notRecommended", "IP-species-dilution-info": "", "IP-species-notes": "<p></p>", "FlowCyt-species-checked": "notRecommended", "FlowCyt-species-dilution-info": "", "FlowCyt-species-notes": "<p></p>", "WB-species-checked": "testedAndGuaranteed", "WB-species-dilution-info": "", "WB-species-notes": "<p></p>", "IHCP-species-checked": "notRecommended", "IHCP-species-dilution-info": "", "IHCP-species-notes": "<p></p>", "IHCFr-species-checked": "notRecommended", "IHCFr-species-dilution-info": "", "IHCFr-species-notes": "<p></p>" } } }

Product details

ab280367 is the carrier-free version of ab259859.

Patented technology
Our RabMAb® technology is a patented hybridoma-based technology for making rabbit monoclonal antibodies. For details on our patents, please refer to RabMAb® patents.

What are the advantages of a recombinant monoclonal antibody?
This product is a recombinant monoclonal antibody, which offers several advantages including:

  • - High batch-to-batch consistency and reproducibility
  • - Improved sensitivity and specificity
  • - Long-term security of supply
  • - Animal-free batch production

For more information, read more on recombinant antibodies.

Conjugation ready
Our carrier-free antibodies are typically supplied in a PBS-only formulation, purified and free of BSA, sodium azide and glycerol. This conjugation-ready format is designed for use with fluorochromes, metal isotopes, oligonucleotides, and enzymes, which makes them ideal for antibody labelling, functional and cell-based assays, flow-based assays (e.g. mass cytometry) and Multiplex Imaging applications.

Use our conjugation kits for antibody conjugates that are ready-to-use in as little as 20 minutes with 1 minute hands-on-time and 100% antibody recovery: available for fluorescent dyes, HRP, biotin and gold.

Compatibility
This product is compatible with the Maxpar® Antibody Labeling Kit from Fluidigm, without the need for antibody preparation. Maxpar® is a trademark of Fluidigm Canada Inc.

Properties and storage information

Form
Liquid
Purification technique
Affinity purification Protein A
Storage buffer
Constituents: PBS
Shipped at conditions
Blue Ice
Appropriate short-term storage conditions
+4°C
Appropriate long-term storage conditions
+4°C

Supplementary information

This supplementary information is collated from multiple sources and compiled automatically.

The Nicotinic Acetylcholine Receptor alpha 5 (CHRNA5) also known as the nicotinic receptor plays a mechanical role as part of the heteromeric nicotinic acetylcholine receptor (nAChR) complex. It is a subunit that contributes to the formation of ligand-gated ion channels sensitive to acetylcholine a neurotransmitter. The receptor's mass varies depending on the specific subunit composition but is generally around 55 kDa. CHRNA5 expression occurs mainly in the central nervous system including areas like the brain and spinal cord and it also shows expression in some peripheral tissues.
Biological function summary

The Nicotinic Acetylcholine Receptor alpha 5 modulates neural signaling by affecting the flow of ions through its channel which is activated upon acetylcholine binding. It is part of a complex that includes other nicotinic acetylcholine receptor subunits forming a transmembrane channel. This receptor complex adjusts neurotransmission dynamics and influences synaptic plasticity. It plays roles in cognitive processes and behavioral regulation through its modulation of cholinergic signaling pathways.

Pathways

The Nicotinic Acetylcholine Receptor alpha 5 influences neural signaling through involvement in the cholinergic and dopamine pathways. It interacts with proteins like CHRNA4 and CHRNB2 integral components of these pathways where it modulates synaptic activity and neurotransmission. The receptor's function impacts neurotransmitter release which is critical for processing cognitive and reward-related signals in the brain.

The Nicotinic Acetylcholine Receptor alpha 5 has links to nicotine addiction and schizophrenia. Genetic variations in CHRNA5 are associated with increased risk for nicotine dependence suggesting its role in addiction pathways. Studies implicate it in schizophrenia where its altered expression or function might affect dopaminergic signaling balance. The receptor's association with proteins like CHRNA4 highlights its involvement in disorders through complex interactions in neural transmission.

Product protocols

For this product, it's our understanding that no specific protocols are required. You can visit:

Target data

After binding acetylcholine, the AChR responds by an extensive change in conformation that affects all subunits and leads to opening of an ion-conducting channel across the plasma membrane.
See full target information CHRNA5

Product promise

We are committed to supporting your work with high-quality reagents, and we're here for you every step of the way. In the unlikely event that one of our products does not perform as expected, you're protected by our Product Promise.
For full details, please see our Terms & Conditions

Please note: All products are 'FOR RESEARCH USE ONLY. NOT FOR USE IN DIAGNOSTIC OR THERAPEUTIC PROCEDURES'.

For licensing inquiries, please contact partnerships@abcam.com