JavaScript is disabled in your browser. Please enable JavaScript to view this website.
AB232883

Anti-Nidogen 2/NID-2 antibody

Be the first to review this product! Submit a review

|

(1 Publication)

Rabbit Polyclonal Nidogen 2/NID-2 antibody. Suitable for WB, IHC-P and reacts with Human samples. Cited in 1 publication. Immunogen corresponding to Recombinant Fragment Protein within Human Nidogen-2 aa 1-300.

View Alternative Names

Nidogen-2, NID-2, Osteonidogen, NID2

4 Images
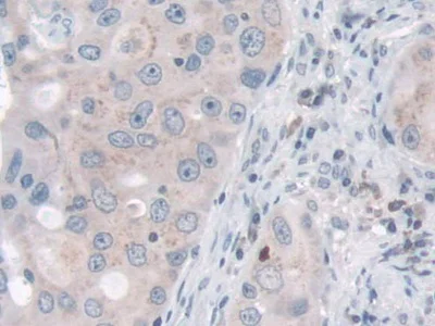
Immunohistochemistry (Formalin/PFA-fixed paraffin-embedded sections) - Anti-Nidogen 2/NID-2 antibody (AB232883)
  • IHC-P

Supplier Data

Immunohistochemistry (Formalin/PFA-fixed paraffin-embedded sections) - Anti-Nidogen 2/NID-2 antibody (AB232883)

Paraffin-embedded human stomach tissue stained for Nidogen 2/NID-2 using ab232883 at 10 μg/ml in immunohistochemical analysis. DAB staining.

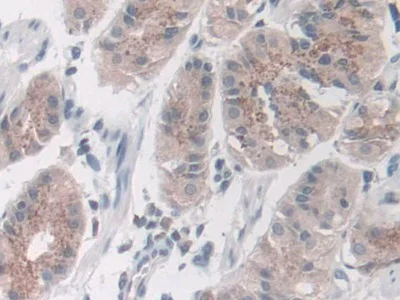
Immunohistochemistry (Formalin/PFA-fixed paraffin-embedded sections) - Anti-Nidogen 2/NID-2 antibody (AB232883)
  • IHC-P

Supplier Data

Immunohistochemistry (Formalin/PFA-fixed paraffin-embedded sections) - Anti-Nidogen 2/NID-2 antibody (AB232883)

Paraffin-embedded human breast cancer tissue stained for Nidogen 2/NID-2 using ab232883 at 10 μg/ml in immunohistochemical analysis. DAB staining.

Western blot - Anti-Nidogen 2/NID-2 antibody (AB232883)
  • WB

Supplier Data

Western blot - Anti-Nidogen 2/NID-2 antibody (AB232883)

All lanes:

Western blot - Anti-Nidogen 2/NID-2 antibody (ab232883) at 2 µg/mL

All lanes:

Recombinant human Nidogen 2/NID-2 protein

Predicted band size: 151 kDa

false

Western blot - Anti-Nidogen 2/NID-2 antibody (AB232883)
  • WB

Supplier Data

Western blot - Anti-Nidogen 2/NID-2 antibody (AB232883)

All lanes:

Western blot - Anti-Nidogen 2/NID-2 antibody (ab232883) at 2 µg/mL

All lanes:

Human lung lysate

Secondary

All lanes:

HRP-Linked Guinea pig anti-rabbit at 1/2000 dilution

Predicted band size: 151 kDa

false

Key facts

Host species

Rabbit

Clonality

Polyclonal

Isotype

IgG

Carrier free

No

Reacts with

Human

Applications

WB, IHC-P

applications

Immunogen

Recombinant Fragment Protein within Human Nidogen-2 aa 1-300. The exact immunogen used to generate this antibody is proprietary information.

Q14112

Reactivity data

{ "title": "Reactivity Data", "filters": { "stats": ["", "Species", "Dilution Info", "Notes"], "tabs": { "all-applications": {"fullname" : "All Applications", "shortname": "All Applications"}, "WB" : {"fullname" : "Western blot", "shortname":"WB"}, "IHCP" : {"fullname" : "Immunohistochemistry (Formalin/PFA-fixed paraffin-embedded sections)", "shortname":"IHC-P"} }, "product-promise": { "all": "all", "testedAndGuaranteed": "tested", "guaranteed": "expected", "predicted": "predicted", "notRecommended": "not-recommended" } }, "values": { "Human": { "WB-species-checked": "testedAndGuaranteed", "WB-species-dilution-info": "0.5-2 µg/mL", "WB-species-notes": "<p></p>", "IHCP-species-checked": "testedAndGuaranteed", "IHCP-species-dilution-info": "5-20 µg/mL", "IHCP-species-notes": "<p></p>" } } }

Properties and storage information

Form
Liquid
Purification technique
Affinity purification Immunogen
Purification notes
ab232883 was purified by antigen-specific affinity chromatography followed by Protein A affinity chromatography.
Storage buffer
pH: 7.4 Preservative: 0.011% Proclin 300 Constituents: 55.77% Glycerol (glycerin, glycerine), 44.219% PBS
Shipped at conditions
Blue Ice
Appropriate short-term storage duration
1-2 weeks
Appropriate short-term storage conditions
+4°C
Appropriate long-term storage conditions
-20°C
Aliquoting information
Upon delivery aliquot
Storage information
Avoid freeze / thaw cycle

Supplementary information

This supplementary information is collated from multiple sources and compiled automatically.

'Nidogen 2' also called 'NID-2' or '"nidogen protein'" or '"nid-2"' is a glycoprotein found in basement membranes. It has a molecular mass around 150 kDa and expresses across various tissues particularly in the vascular structures and certain epithelial tissues. This protein has sulfated and carbohydrate-rich regions making it important in forming stable extracellular matrix architecture.
Biological function summary

'nidogen 2' plays roles in maintaining the structural integrity of basement membranes. It interacts with other matrix components like laminin and collagen IV forming part of complexes that ensure the basal membrane's maintenance and stability. 'NID-2' provides structural support and helps secure cellular environments which is important for tissue repair and morphogenesis.

Pathways

'nidogen 2' contributes to the extracellular matrix remodeling and cell signaling pathways. It participates in the integrin signaling pathway where it interacts with proteins such as 'integrin' and 'perlecan'. These interactions help mediate cellular adhesion and signal transduction impacting cellular behavior like proliferation differentiation and migration processes.

Abnormalities in 'nidogen 2' relate to certain cancers and kidney disorders. In cancer disrupted interactions with 'laminin' may promote tumor cell invasion and metastasis. In kidney disorders such as nephrotic syndrome altered 'nidogen 2' function relates to basement membrane defects affecting kidney filtration function. Understanding its role could lead to insights into therapies for these conditions.

Product protocols

For this product, it's our understanding that no specific protocols are required. You can visit:

Target data

Cell adhesion glycoprotein which is widely distributed in basement membranes. Binds to collagens I and IV, to perlecan and to laminin 1. Does not bind fibulins. It probably has a role in cell-extracellular matrix interactions.
See full target information Nidogen-2

Publications (1)

Recent publications for all applications. Explore the full list and refine your search

Pathology oncology research : POR 26:801-811 PubMed30826972

2019

Silencing NID2 by DNA Hypermethylation Promotes Lung Cancer.

Applications

Unspecified application

Species

Unspecified reactive species

Jianfeng Wang,Yan Zhao,Hongyan Xu,Jun Ma,Feihai Liang,Qingxu Zou,Fengwu Lin
View all publications

Product promise

We are committed to supporting your work with high-quality reagents, and we're here for you every step of the way. In the unlikely event that one of our products does not perform as expected, you're protected by our Product Promise.
For full details, please see our Terms & Conditions

Please note: All products are 'FOR RESEARCH USE ONLY. NOT FOR USE IN DIAGNOSTIC OR THERAPEUTIC PROCEDURES'.

For licensing inquiries, please contact partnerships@abcam.com