JavaScript is disabled in your browser. Please enable JavaScript to view this website.
AB224268

Anti-Niemann Pick C1 antibody [EPR5209] - BSA and Azide free

5

(1 Review)

|

(6 Publications)

Anti-Niemann Pick C1 antibody [EPR5209] - BSA and Azide free (ab224268) is a rabbit recombinant monoclonal antibody provided in a PBS only buffer for easy conjugation. Suitable for Western Blot, Flow Cytometry, IHC-P, ICC/IF in Human, Mouse, Rat.

- KO validated for confirmed specificity
- BSA, sodium azide, and glycerol-free for easy conjugation
- Biophysical QC for unrivalled batch-batch consistency

View Alternative Names

NPC intracellular cholesterol transporter 1, Niemann-Pick C1 protein, NPC1

9 Images
Immunocytochemistry/ Immunofluorescence - Anti-Niemann Pick C1 antibody [EPR5209] - BSA and Azide free (AB224268)
  • ICC/IF

PubMed

Immunocytochemistry/ Immunofluorescence - Anti-Niemann Pick C1 antibody [EPR5209] - BSA and Azide free (AB224268)

Cathepsin B/L inhibition causes NPC disease-like cholesterol accumulation in SH-SY5Y cells.

Confocal microscopy of SH-SY5Y control and PADK treated cells. Cholesterol (filipin staining, white) and NPC1 (ab134113; green).

This data was developed using the same antibody clone in a different buffer formulation containing PBS, BSA, glycerol, and sodium azide (ab134113).

Image from Cermak S et al., PLoS One. 2016;11(11):e0167428. Fig 3.; doi: 10.1371/journal.pone.0167428. Reproduced under the Creative Commons license http://creativecommons.org/licenses/by/4.0/

Immunohistochemistry (Formalin/PFA-fixed paraffin-embedded sections) - Anti-Niemann Pick C1 antibody [EPR5209] - BSA and Azide free (AB224268)
  • IHC-P

Lab

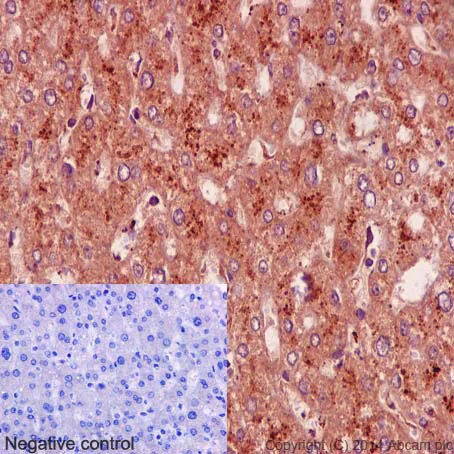
Immunohistochemistry (Formalin/PFA-fixed paraffin-embedded sections) - Anti-Niemann Pick C1 antibody [EPR5209] - BSA and Azide free (AB224268)

Immunohistochemical staining of paraffin embedded human liver with purified ab134113 at a working dilution of 1 in 50. The secondary antibody used is a HRP polymer for rabbit IgG. The sample is counter-stained with hematoxylin. Antigen retrieval was perfomed using Tris-EDTA buffer, pH 9.0. PBS was used instead of the primary antibody as the negative control, and is shown in the inset.

This data was developed using the same antibody clone in a different buffer formulation containing PBS, BSA, glycerol, and sodium azide (ab134113).

Immunohistochemistry (Formalin/PFA-fixed paraffin-embedded sections) - Anti-Niemann Pick C1 antibody [EPR5209] - BSA and Azide free (AB224268)
  • IHC-P

Unknown

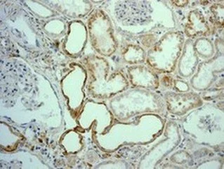
Immunohistochemistry (Formalin/PFA-fixed paraffin-embedded sections) - Anti-Niemann Pick C1 antibody [EPR5209] - BSA and Azide free (AB224268)

Immunohistochemical analysis of paraffin embedded human kidney tissue labelling Niemann Pick C1 with unpurified ab134113 at 1/50.

This data was developed using the same antibody clone in a different buffer formulation containing PBS, BSA, glycerol, and sodium azide (ab134113).

Perform heat mediated antigen retrieval with citrate buffer pH 6 before commencing with IHC staining protocol.

Immunocytochemistry/ Immunofluorescence - Anti-Niemann Pick C1 antibody [EPR5209] - BSA and Azide free (AB224268)
  • ICC/IF

Lab

Immunocytochemistry/ Immunofluorescence - Anti-Niemann Pick C1 antibody [EPR5209] - BSA and Azide free (AB224268)

This ICC data was generated using the same anti-Niemann Pick C1 antibody clone [EPR5209] in a different buffer formulation (cat# ab134133).

Immunofluorescence staining of neuro-2a cells with purified ab134113 at a working dilution of 1 in 70, counter-stained with DAPI. The secondary antibody was Alexa Fluor® 488 goat anti rabbit (ab150077), used at a dilution of 1 in 500. The cells were fixed in 4% PFA and permeabilized using 0.1% Triton X 100. The negative control is shown in bottom right hand panel - for the negative control, purified ab134113 was used at a dilution of 1/200 followed by an Alexa Fluor® 594 goat anti-mouse antibody (ab150120) at a dilution of 1/500.

Immunohistochemistry (Formalin/PFA-fixed paraffin-embedded sections) - Anti-Niemann Pick C1 antibody [EPR5209] - BSA and Azide free (AB224268)
  • IHC-P

Lab

Immunohistochemistry (Formalin/PFA-fixed paraffin-embedded sections) - Anti-Niemann Pick C1 antibody [EPR5209] - BSA and Azide free (AB224268)

Immunohistochemical staining of paraffin embedded mouse liver with purified ab134113 at a working dilution of 1 in 50. The secondary antibody used is a HRP polymer for rabbit IgG. The sample is counter-stained with hematoxylin. Antigen retrieval was perfomed using Tris-EDTA buffer, pH 9.0. PBS was used instead of the primary antibody as the negative control, and is shown in the inset.

This data was developed using the same antibody clone in a different buffer formulation containing PBS, BSA, glycerol, and sodium azide (ab134113).

Flow Cytometry (Intracellular) - Anti-Niemann Pick C1 antibody [EPR5209] - BSA and Azide free (AB224268)
  • Flow Cyt (Intra)

Lab

Flow Cytometry (Intracellular) - Anti-Niemann Pick C1 antibody [EPR5209] - BSA and Azide free (AB224268)

ab134113 staining Niemann Pick C1 in Neuro-2a (mouse neuroblastoma cell line) by intracellular flow cytometry. Cells were fixed with 4% paraformaldehyde, permabilised with 90% methanol and the sample was incubated with the primary antibody at a dilution of 1/200. A goat anti rabbit IgG (Alexa Fluor® 488) at a dilution of 1/2000 was used as the secondary antibody.

Isoytype control : Rabbit monoclonal IgG (Black)

Unlabeled control : Cell without incubation with primary antibody and secondary antibody (Blue)

This data was developed using the same antibody clone in a different buffer formulation containing PBS, BSA, glycerol, and sodium azide (ab134113).

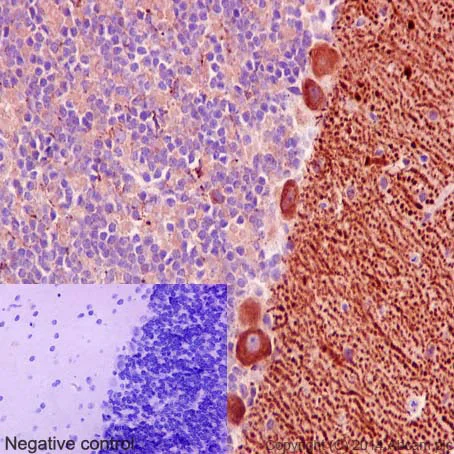
Immunohistochemistry (Formalin/PFA-fixed paraffin-embedded sections) - Anti-Niemann Pick C1 antibody [EPR5209] - BSA and Azide free (AB224268)
  • IHC-P

Lab

Immunohistochemistry (Formalin/PFA-fixed paraffin-embedded sections) - Anti-Niemann Pick C1 antibody [EPR5209] - BSA and Azide free (AB224268)

Immunohistochemical staining of paraffin embedded rat cerebellum with purified ab134113 at a working dilution of 1 in 50. The secondary antibody used is a HRP polymer for rabbit IgG. The sample is counter-stained with hematoxylin. Antigen retrieval was perfomed using Tris-EDTA buffer, pH 9.0. PBS was used instead of the primary antibody as the negative control, and is shown in the inset.

This data was developed using the same antibody clone in a different buffer formulation containing PBS, BSA, glycerol, and sodium azide (ab134113).

Western blot - Anti-Niemann Pick C1 antibody [EPR5209] - BSA and Azide free (AB224268)
  • WB

Lab

Western blot - Anti-Niemann Pick C1 antibody [EPR5209] - BSA and Azide free (AB224268)

Lanes 1 - 4 : Merged signal (red and green). Green - ab134113 observed at 180 kDa. Red - loading control, ab9484, observed at 37 kDa.

ab134113 was shown to specifically react with Niemann Pick C1 in wild-type HAP1 cells as signal was lost in NPC1 (Niemann Pick C1) knockout cells. Wild-type and NPC1 (Niemann Pick C1) knockout samples were subjected to SDS-PAGE. ab134113 and ab9484 (Mouse anti-GAPDH loading control) were incubated overnight at 4°C at 1/1000 dilution and 1/20000 dilution respectively. Blots were developed with Goat anti-Rabbit IgG H&L (IRDye® 800CW) preabsorbed ab216773 and Goat anti-Mouse IgG H&L (IRDye® 680RD) preabsorbed ab216776 secondary antibodies at 1/20000 dilution for 1 hour at room temperature before imaging.

This data was developed using the same antibody clone in a different buffer formulation containing PBS, BSA, glycerol, and sodium azide (ab134113).

All lanes:

Western blot - Anti-Niemann Pick C1 antibody [EPR5209] (<a href='/en-us/products/primary-antibodies/niemann-pick-c1-antibody-epr5209-ab134113'>ab134113</a>) at 1/1000 dilution

Lane 1:

Wild-type HAP1 whole cell lysate at 20 µg

Lane 2:

NPC1 (Niemann Pick C1) knockout HAP1 whole cell lysate at 20 µg

Lane 3:

HEK293 whole cell lysate at 20 µg

Lane 4:

HepG2 whole cell lysate at 20 µg

Predicted band size: 142 kDa

false

OI-RD Scanning - Anti-Niemann Pick C1 antibody [EPR5209] - BSA and Azide free (AB224268)
  • OI-RD Scanning

Unknown

OI-RD Scanning - Anti-Niemann Pick C1 antibody [EPR5209] - BSA and Azide free (AB224268)

We have systematically measured KD (the equilibrium dissociation constant between the antibody and its antigen), of more than 840 recombinant antibodies to assess not only their individual KD values but also to see the average affinity of antibody. Based on the comparison with published literature values for mouse monoclonal antibodies, Recombinant antibodies appear to be on average 1-2 order of magnitude higher affinity.

  • Unconjugated

    Anti-Niemann Pick C1 antibody [EPR5209]

  • 519 Alexa Fluor® 488

    Alexa Fluor® 488 Anti-Niemann Pick C1 antibody [EPR5209]

  • 565 Alexa Fluor® 555

    Alexa Fluor® 555 Anti-Niemann Pick C1 antibody [EPR5209]

  • 665 Alexa Fluor® 647

    Alexa Fluor® 647 Anti-Niemann Pick C1 antibody [EPR5209]

  • 617 Alexa Fluor® 594

    Alexa Fluor® 594 Anti-Niemann Pick C1 antibody [EPR5209]

  • 578 PE

    PE Anti-Niemann Pick C1 antibody [EPR5209]

  • 775 Alexa Fluor® 750

    Alexa Fluor® 750 Anti-Niemann Pick C1 antibody [EPR5209]

  • 660 APC

    APC Anti-Niemann Pick C1 antibody [EPR5209]

Key facts

Host species

Rabbit

Clonality

Monoclonal

Clone number

EPR5209

Isotype

IgG

Carrier free

Yes

Reacts with

Mouse, Rat, Human

Applications

WB, IHC-P, Flow Cyt (Intra), ICC/IF

applications

Immunogen

The exact immunogen used to generate this antibody is proprietary information.

Reactivity data

{ "title": "Reactivity Data", "filters": { "stats": ["", "Species", "Dilution Info", "Notes"], "tabs": { "all-applications": {"fullname" : "All Applications", "shortname": "All Applications"}, "IHCP" : {"fullname" : "Immunohistochemistry (Formalin/PFA-fixed paraffin-embedded sections)", "shortname":"IHC-P"}, "WB" : {"fullname" : "Western blot", "shortname":"WB"}, "ICCIF" : {"fullname" : "Immunocytochemistry/ Immunofluorescence", "shortname":"ICC/IF"}, "FlowCytIntra" : {"fullname" : "Flow Cytometry (Intracellular)", "shortname":"Flow Cyt (Intra)"} }, "product-promise": { "all": "all", "testedAndGuaranteed": "tested", "guaranteed": "expected", "predicted": "predicted", "notRecommended": "not-recommended" } }, "values": { "Human": { "IHCP-species-checked": "testedAndGuaranteed", "IHCP-species-dilution-info": "", "IHCP-species-notes": "<p></p>", "WB-species-checked": "testedAndGuaranteed", "WB-species-dilution-info": "", "WB-species-notes": "<p></p>", "ICCIF-species-checked": "guaranteed", "ICCIF-species-dilution-info": "", "ICCIF-species-notes": "", "FlowCytIntra-species-checked": "guaranteed", "FlowCytIntra-species-dilution-info": "", "FlowCytIntra-species-notes": "" }, "Mouse": { "IHCP-species-checked": "testedAndGuaranteed", "IHCP-species-dilution-info": "", "IHCP-species-notes": "<p></p>", "WB-species-checked": "testedAndGuaranteed", "WB-species-dilution-info": "", "WB-species-notes": "<p></p>", "ICCIF-species-checked": "testedAndGuaranteed", "ICCIF-species-dilution-info": "", "ICCIF-species-notes": "<p></p>", "FlowCytIntra-species-checked": "testedAndGuaranteed", "FlowCytIntra-species-dilution-info": "", "FlowCytIntra-species-notes": "<p><a href='/en-us/products/primary-antibodies/rabbit-igg-monoclonal-epr25a-isotype-control-low-endotoxin-azide-free-ab199376'>ab199376</a> - Rabbit monoclonal IgG, is suitable for use as an isotype control with this antibody.</p>" }, "Rat": { "IHCP-species-checked": "testedAndGuaranteed", "IHCP-species-dilution-info": "", "IHCP-species-notes": "<p></p>", "WB-species-checked": "testedAndGuaranteed", "WB-species-dilution-info": "", "WB-species-notes": "<p></p>", "ICCIF-species-checked": "guaranteed", "ICCIF-species-dilution-info": "", "ICCIF-species-notes": "", "FlowCytIntra-species-checked": "guaranteed", "FlowCytIntra-species-dilution-info": "", "FlowCytIntra-species-notes": "" } } }

Product details

What is this antibody validated in?
Anti-Niemann Pick C1 antibody [EPR5209] - BSA and Azide free (ab224268) is a rabbit recombinant monoclonal antibody and is validated for use in Western Blot (WB), Flow Cytometry (Intra), Flow Cytometry (Flow Cyt), Immunohistochemistry (IHC-P), Immunocytochemistry/immunofluorescence (ICC/IF) in Human, Mouse, Rat samples.

What is the molecular weight of Niemann Pick C1?
Anti-Niemann Pick C1 [EPR5209] - BSA and Azide free (ab224268) specifically detects a band for Niemann Pick C1 (UniProt: O15118) at a molecular weight of 142kDa.

Specificity confirmed
The specificity of Anti-Niemann Pick C1 antibody [EPR5209] - BSA and Azide free (ab224268) has been confirmed by Western blot testing in Niemann Pick C1 Knockout HAP1 cell line.

Other related products
We have a range of other formats of antibody clone [EPR5209] also available for your convenience: ab134113, APC - ab223985, Carrier free - ab224268, PE - ab317903, Alexa Fluor® 488 - ab317983, Alexa Fluor® 594 - ab318025, Alexa Fluor® 555 - ab318067, Alexa Fluor® 647 - ab318108, Alexa Fluor® 750 - ab321075

Patented technology
Our RabMAb® technology is a patented hybridoma-based technology for making rabbit monoclonal antibodies. For details on our patents, please refer to RabMAb® patents.

What are the advantages of a recombinant monoclonal antibody?
This product is a recombinant monoclonal antibody, which offers several advantages including:

  • - High batch-to-batch consistency and reproducibility
  • - Improved sensitivity and specificity
  • - Long-term security of supply
  • - Animal-free batch production

For more information, read more on recombinant antibodies.

Conjugation ready
Our carrier-free antibodies are typically supplied in a PBS-only formulation, purified and free of BSA, sodium azide and glycerol. This conjugation-ready format is designed for use with fluorochromes, metal isotopes, oligonucleotides, and enzymes, which makes them ideal for antibody labelling, functional and cell-based assays, flow-based assays (e.g. mass cytometry) and Multiplex Imaging applications.

Use our conjugation kits for antibody conjugates that are ready-to-use in as little as 20 minutes with 1 minute hands-on-time and 100% antibody recovery: available for fluorescent dyes, HRP, biotin and gold.

Compatibility
This product is compatible with the Maxpar® Antibody Labeling Kit from Fluidigm, without the need for antibody preparation. Maxpar® is a trademark of Fluidigm Canada Inc.

Properties and storage information

Form
Liquid
Purification technique
Affinity purification Protein A
Storage buffer
pH: 7.2 - 7.4 Constituents: PBS
Shipped at conditions
Blue Ice
Appropriate short-term storage conditions
+4°C
Appropriate long-term storage conditions
+4°C
Storage information
Do Not Freeze

Supplementary information

This supplementary information is collated from multiple sources and compiled automatically.

Niemann Pick C1 also known as NPC1 or C1 protein is an integral membrane protein involved in cholesterol and lipid transport within cells. It is located in late endosomes and lysosomes and plays a role in intracellular cholesterol traffic. The NPC1 protein has a molecular weight of approximately 170 kDa. It is expressed in various tissues with high expression levels in the liver brain and spleen.
Biological function summary

This protein acts in the movement of lipids and cholesterol through cellular compartments. NPC1 functions as part of a protein complex that includes NPC2 which works to mobilize cholesterol from lysosomes to other areas in the cell where it is further processed or stored. This transport mechanism is necessary to maintain cellular lipid homeostasis and proper cellular functions.

Pathways

NPC1 integrates into the cholesterol trafficking pathway and plays an essential part in intracellular lipid regulation. It interacts with proteins involved in cholesterol metabolism such as sterol regulatory element-binding proteins (SREBPs). These interactions ensure that cholesterol distribution within the cell remains balanced and adjusts to metabolic needs. The proper function of NPC1 in these pathways is necessary for maintaining cell health and homeostasis.

NPC1 mutations are directly linked to Niemann-Pick disease type C a severe lipid storage disorder. This condition is characterized by the accumulation of cholesterol and other lipids in lysosomes leading to neurological and hepatic dysfunction. NPC1's role in this disease involves disrupted cholesterol trafficking which is critical for cellular lipid homeostasis. Additionally NPC2 protein is also affected in this disorder as both work together in the cholesterol transport process.

Product protocols

For this product, it's our understanding that no specific protocols are required. You can visit:

Target data

Intracellular cholesterol transporter which acts in concert with NPC2 and plays an important role in the egress of cholesterol from the endosomal/lysosomal compartment (PubMed : 10821832, PubMed : 12554680, PubMed : 18772377, PubMed : 27238017, PubMed : 9211849, PubMed : 9927649). Unesterified cholesterol that has been released from LDLs in the lumen of the late endosomes/lysosomes is transferred by NPC2 to the cholesterol-binding pocket in the N-terminal domain of NPC1 (PubMed : 18772377, PubMed : 19563754, PubMed : 27238017, PubMed : 27378690, PubMed : 28784760, PubMed : 9211849, PubMed : 9927649). Cholesterol binds to NPC1 with the hydroxyl group buried in the binding pocket (PubMed : 19563754). Binds oxysterol with higher affinity than cholesterol. May play a role in vesicular trafficking in glia, a process that may be crucial for maintaining the structural and functional integrity of nerve terminals (Probable). Inhibits cholesterol-mediated mTORC1 activation throught its interaction with SLC38A9 (PubMed : 28336668).. (Microbial infection) Acts as an endosomal entry receptor for ebolavirus.
See full target information NPC intracellular cholesterol transporter 1

Publications (6)

Recent publications for all applications. Explore the full list and refine your search

Life science alliance 2: PubMed30902833

2019

Functional inhibition of acid sphingomyelinase disrupts infection by intracellular bacterial pathogens.

Applications

Unspecified application

Species

Unspecified reactive species

Chelsea L Cockburn,Ryan S Green,Sheela R Damle,Rebecca K Martin,Naomi N Ghahrai,Punsiri M Colonne,Marissa S Fullerton,Daniel H Conrad,Charles E Chalfant,Daniel E Voth,Elizabeth A Rucks,Stacey D Gilk,Jason A Carlyon

PLoS neglected tropical diseases 11:e0005540 PubMed28403145

2017

The phosphatidylinositol-3-phosphate 5-kinase inhibitor apilimod blocks filoviral entry and infection.

Applications

Unspecified application

Species

Unspecified reactive species

Elizabeth A Nelson,Julie Dyall,Thomas Hoenen,Alyson B Barnes,Huanying Zhou,Janie Y Liang,Julia Michelotti,William H Dewey,Lisa Evans DeWald,Richard S Bennett,Patrick J Morris,Rajarshi Guha,Carleen Klumpp-Thomas,Crystal McKnight,Yu-Chi Chen,Xin Xu,Amy Wang,Emma Hughes,Scott Martin,Craig Thomas,Peter B Jahrling,Lisa E Hensley,Gene G Olinger,Judith M White

Scientific reports 7:43575 PubMed28262793

2017

Characterization of cholesterol homeostasis in sphingosine-1-phosphate lyase-deficient fibroblasts reveals a Niemann-Pick disease type C-like phenotype with enhanced lysosomal Ca storage.

Applications

Unspecified application

Species

Unspecified reactive species

Hans Vienken,Nathalie Mabrouki,Katja Grabau,Ralf Frederik Claas,Agnes Rudowski,Nina Schömel,Josef Pfeilschifter,Dieter Lütjohann,Gerhild van Echten-Deckert,Dagmar Meyer Zu Heringdorf

PloS one 11:e0167428 PubMed27902765

2016

Loss of Cathepsin B and L Leads to Lysosomal Dysfunction, NPC-Like Cholesterol Sequestration and Accumulation of the Key Alzheimer's Proteins.

Applications

Unspecified application

Species

Unspecified reactive species

Stjepko Cermak,Marko Kosicek,Aleksandra Mladenovic-Djordjevic,Kosara Smiljanic,Selma Kanazir,Silva Hecimovic

Journal of virology 90:8720-8 PubMed27440895

2016

An Ebola Virus-Like Particle-Based Reporter System Enables Evaluation of Antiviral Drugs In Vivo under Non-Biosafety Level 4 Conditions.

Applications

Unspecified application

Species

Unspecified reactive species

Dapeng Li,Tan Chen,Yang Hu,Yu Zhou,Qingwei Liu,Dongming Zhou,Xia Jin,Zhong Huang

mBio 5:e01534-14 PubMed25073644

2014

Host-directed antimicrobial drugs with broad-spectrum efficacy against intracellular bacterial pathogens.

Applications

Unspecified application

Species

Unspecified reactive species

Daniel M Czyż,Lakshmi-Prasad Potluri,Neeta Jain-Gupta,Sean P Riley,Juan J Martinez,Theodore L Steck,Sean Crosson,Howard A Shuman,Joëlle E Gabay
View all publications

Product promise

We are committed to supporting your work with high-quality reagents, and we're here for you every step of the way. In the unlikely event that one of our products does not perform as expected, you're protected by our Product Promise.
For full details, please see our Terms & Conditions

Please note: All products are 'FOR RESEARCH USE ONLY. NOT FOR USE IN DIAGNOSTIC OR THERAPEUTIC PROCEDURES'.

For licensing inquiries, please contact partnerships@abcam.com