JavaScript is disabled in your browser. Please enable JavaScript to view this website.
AB218192

Anti-Niemann Pick C2 antibody [EPR19993-145-1]

5

(1 Review)

|

(1 Publication)

Rabbit Recombinant Monoclonal Niemann Pick C2 antibody. Suitable for WB, ICC/IF, Flow Cyt (Intra), IHC-P and reacts with Mouse, Rat, Human samples. Cited in 1 publication.

View Alternative Names

HE1, NPC2, NPC intracellular cholesterol transporter 2, Epididymal secretory protein E1, Human epididymis-specific protein 1, Niemann-Pick disease type C2 protein, He1

12 Images
Immunohistochemistry (Formalin/PFA-fixed paraffin-embedded sections) - Anti-Niemann Pick C2 antibody [EPR19993-145-1] (AB218192)
  • IHC-P

Lab

Immunohistochemistry (Formalin/PFA-fixed paraffin-embedded sections) - Anti-Niemann Pick C2 antibody [EPR19993-145-1] (AB218192)

Immunohistochemical analysis of paraffin-embedded Human breast carcinoma labelling Niemann Pick C2 with ab218192 at 1/8000 dilution, followed by a Goat Anti-Rabbit IgG H&L (HRP polymer) ready to use (ab214880). Positive staining on Human breast carcinoma is observed. Counter stained with hematoxylin. Secondary antibody only control : Used PBS instead of primary antibody, secondary antibody is a Goat Anti-Rabbit IgG H&L (HRP polymer) ready to use. Heat mediated antigen retrieval using ab93684 (Tris/EDTA buffer, pH 9.0).

Flow Cytometry (Intracellular) - Anti-Niemann Pick C2 antibody [EPR19993-145-1] (AB218192)
  • Flow Cyt (Intra)

Supplier Data

Flow Cytometry (Intracellular) - Anti-Niemann Pick C2 antibody [EPR19993-145-1] (AB218192)

Intracellular flow cytometric analysis of 4% paraformaldehyde-fixed HepG2 (Human liver hepatocellular carcinoma cell line) cells labeling Niemann Pick C2 with ab218192 at 1/70 dilution (red) compared with a rabbit monoclonal IgG isotype control (ab172730; black) and an unlabeled control (cells without incubation with primary antibody and secondary antibody; blue). Goat anti rabbit IgG (Alexa Fluor® 488) at 1/2000 dilution was used as the secondary antibody.

Immunohistochemistry (Formalin/PFA-fixed paraffin-embedded sections) - Anti-Niemann Pick C2 antibody [EPR19993-145-1] (AB218192)
  • IHC-P

Supplier Data

Immunohistochemistry (Formalin/PFA-fixed paraffin-embedded sections) - Anti-Niemann Pick C2 antibody [EPR19993-145-1] (AB218192)

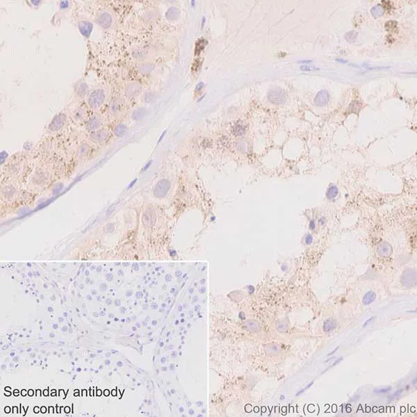
Immunohistochemical analysis of paraffin-embedded human testis tissue labeling Niemann Pick C2 with ab218192 at 1/8000 dilution followed by Goat Anti-Rabbit IgG H&L (HRP) (ab97051) at 1/500 dilution. Granularly cytoplasmic staining on human testis [PMID : 8924505]. Counter stained with Hematoxylin.

Secondary antibody only control : Used PBS instead of primary antibody secondary antibody is Goat Anti-Rabbit IgG H&L (HRP) (ab97051) at 1/500 dilution.

Perform heat mediated antigen retrieval with Tris/EDTA buffer pH 9.0 before commencing with IHC staining protocol.

Immunocytochemistry/ Immunofluorescence - Anti-Niemann Pick C2 antibody [EPR19993-145-1] (AB218192)
  • ICC/IF

Supplier Data

Immunocytochemistry/ Immunofluorescence - Anti-Niemann Pick C2 antibody [EPR19993-145-1] (AB218192)

Immunofluorescent analysis of 4% paraformaldehyde-fixed 0.1% Triton X-100 permeabilized HepG2 (Human liver hepatocellular carcinoma cell line) cells labeling Niemann Pick C2 with ab218192 at 1/100 dilution followed by Goat anti-rabbit IgG (Alexa Fluor® 488) (ab150077) secondary antibody at 1/1000 dilution (green). Confocal image showing cytoplasmic staining on HepG2 cell line.

The nuclear counter stain is DAPI (blue). Tubulin is detected with ab195889 (Anti-alpha Tubulin antibody [DM1A] - Microtubule Marker (Alexa Fluor® 594)) at 1/200 dilution (red).

Secondary antibody only control : Used PBS instead of primary antibody secondary antibody is Goat anti-rabbit IgG (Alexa Fluor® 488) (ab150077) at 1/1000 dilution.

Immunohistochemistry (Formalin/PFA-fixed paraffin-embedded sections) - Anti-Niemann Pick C2 antibody [EPR19993-145-1] (AB218192)
  • IHC-P

Supplier Data

Immunohistochemistry (Formalin/PFA-fixed paraffin-embedded sections) - Anti-Niemann Pick C2 antibody [EPR19993-145-1] (AB218192)

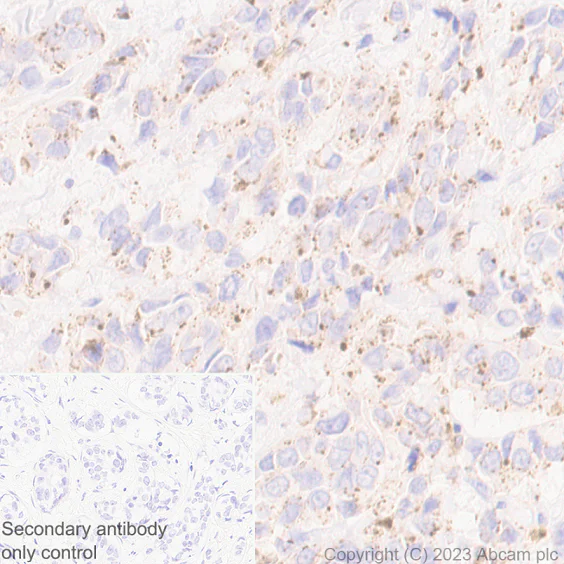
Immunohistochemical analysis of paraffin-embedded human epididymis tissue labeling Niemann Pick C2 with ab218192 at 1/8000 dilution followed by Goat Anti-Rabbit IgG H&L (HRP) (ab97051) at 1/500 dilution. Cytoplasmic staining on human epididymis [PMID : 8924505]. Counter stained with Hematoxylin.

Secondary antibody only control : Used PBS instead of primary antibody secondary antibody is Goat Anti-Rabbit IgG H&L (HRP) (ab97051) at 1/500 dilution.

Perform heat mediated antigen retrieval with Tris/EDTA buffer pH 9.0 before commencing with IHC staining protocol.

Immunohistochemistry (Formalin/PFA-fixed paraffin-embedded sections) - Anti-Niemann Pick C2 antibody [EPR19993-145-1] (AB218192)
  • IHC-P

Supplier Data

Immunohistochemistry (Formalin/PFA-fixed paraffin-embedded sections) - Anti-Niemann Pick C2 antibody [EPR19993-145-1] (AB218192)

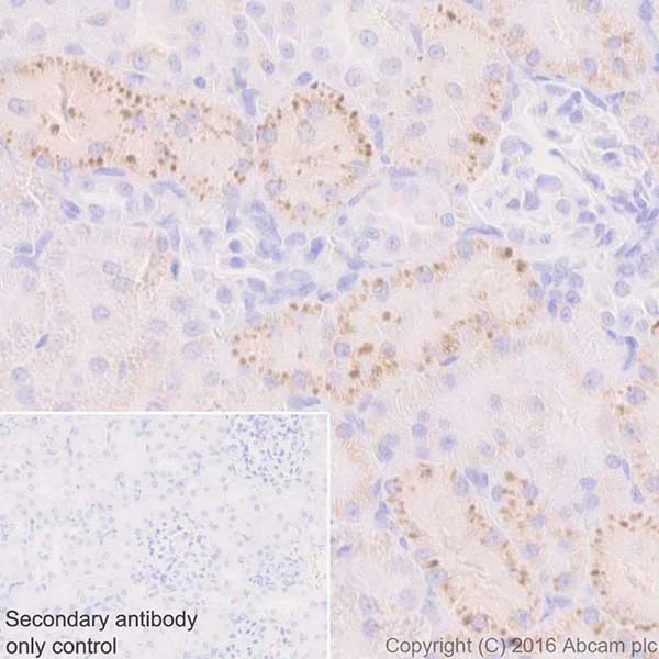
Immunohistochemical analysis of paraffin-embedded rat kidney tissue labeling Niemann Pick C2 with ab218192 at 1/8000 dilution followed by Goat Anti-Rabbit IgG H&L (HRP) (ab97051) at 1/500 dilution. Granularly cytoplasmic staining on rat kidney tubules [PMID : 24147030]. Counter stained with Hematoxylin.

Secondary antibody only control : Used PBS instead of primary antibody secondary antibody is Goat Anti-Rabbit IgG H&L (HRP) (ab97051) at 1/500 dilution.

Perform heat mediated antigen retrieval with Tris/EDTA buffer pH 9.0 before commencing with IHC staining protocol.

Immunohistochemistry (Formalin/PFA-fixed paraffin-embedded sections) - Anti-Niemann Pick C2 antibody [EPR19993-145-1] (AB218192)
  • IHC-P

Supplier Data

Immunohistochemistry (Formalin/PFA-fixed paraffin-embedded sections) - Anti-Niemann Pick C2 antibody [EPR19993-145-1] (AB218192)

Immunohistochemical analysis of paraffin-embedded mouse kidney tissue labeling Niemann Pick C2 with ab218192 at 1/8000 dilution followed by Goat Anti-Rabbit IgG H&L (HRP) (ab97051) at 1/500 dilution. Granularly cytoplasmic staining on mouse kidney tubules [PMID : 24147030]. Counter stained with Hematoxylin.

Secondary antibody only control : Used PBS instead of primary antibody secondary antibody is Goat Anti-Rabbit IgG H&L (HRP) (ab97051) at 1/500 dilution.

Perform heat mediated antigen retrieval with Tris/EDTA buffer pH 9.0 before commencing with IHC staining protocol.

Flow Cytometry (Intracellular) - Anti-Niemann Pick C2 antibody [EPR19993-145-1] (AB218192)
  • Flow Cyt (Intra)

Supplier Data

Flow Cytometry (Intracellular) - Anti-Niemann Pick C2 antibody [EPR19993-145-1] (AB218192)

Intracellular flow cytometric analysis of 4% paraformaldehyde-fixed NIH/3T3 (Mouse embryonic fibroblast cell line) cells labeling Niemann Pick C2 with ab218192 at 1/70 dilution (red) compared with a rabbit monoclonal IgG isotype control (ab172730; black) and an unlabeled control (cells without incubation with primary antibody and secondary antibody; blue). Goat anti rabbit IgG (Alexa Fluor® 488) at 1/2000 dilution was used as the secondary antibody.

Immunocytochemistry/ Immunofluorescence - Anti-Niemann Pick C2 antibody [EPR19993-145-1] (AB218192)
  • ICC/IF

Supplier Data

Immunocytochemistry/ Immunofluorescence - Anti-Niemann Pick C2 antibody [EPR19993-145-1] (AB218192)

Immunofluorescent analysis of 4% paraformaldehyde-fixed 0.1% Triton X-100 permeabilized NIH/3T3 (Mouse embryonic fibroblast cell line) cells labeling Niemann Pick C2 with ab218192 at 1/100 dilution followed by Goat anti-rabbit IgG (Alexa Fluor® 488) (ab150077) secondary antibody at 1/1000 dilution (green). Confocal image showing cytoplasmic staining on NIH/3T3 cell line.

The nuclear counter stain is DAPI (blue). Tubulin is detected with ab195889 (Anti-alpha Tubulin antibody [DM1A] - Microtubule Marker (Alexa Fluor® 594)) at 1/200 dilution (red).

Secondary antibody only control : Used PBS instead of primary antibody secondary antibody is Goat anti-rabbit IgG (Alexa Fluor® 488) (ab150077) at 1/1000 dilution.

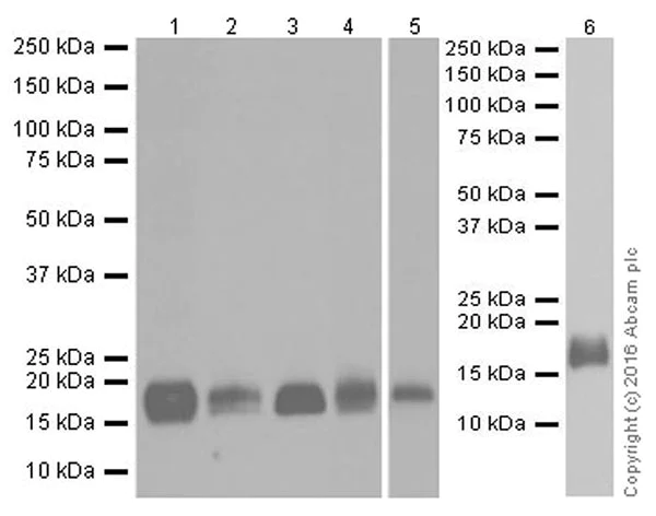
Western blot - Anti-Niemann Pick C2 antibody [EPR19993-145-1] (AB218192)
  • WB

Supplier Data

Western blot - Anti-Niemann Pick C2 antibody [EPR19993-145-1] (AB218192)

Blocking/Dilution buffer : 5% NFDM/TBST.

Exposure times : Lane 1-4 : 4 seconds; Lane 5/6 : 15 seconds.

Niemann Pick C2 can be glycosylated, the WB pattern is consistent with references PMID : 16374838; PMID : 22183894.

All lanes:

Western blot - Anti-Niemann Pick C2 antibody [EPR19993-145-1] (ab218192) at 1/5000 dilution

Lane 1:

Human fetal kidney lysate at 20 µg

Lane 2:

Mouse kidney lysate at 20 µg

Lane 3:

Rat kidney lysate at 20 µg

Lane 4:

HepG2 (Human liver hepatocellular carcinoma cell line) whole cell lysate at 20 µg

Lane 5:

Rat spleen lysate at 20 µg

Lane 6:

Human spleen lysate at 20 µg

Secondary

All lanes:

Western blot - Goat Anti-Rabbit IgG H&L (HRP) (<a href='/en-us/products/secondary-antibodies/goat-rabbit-igg-h-l-hrp-ab97051'>ab97051</a>) at 1/100000 dilution

Predicted band size: 17 kDa

Observed band size: 16-18 kDa

false

Western blot - Anti-Niemann Pick C2 antibody [EPR19993-145-1] (AB218192)
  • WB

Lab

Western blot - Anti-Niemann Pick C2 antibody [EPR19993-145-1] (AB218192)

Lanes 1-3 : Merged signal (red and green). Green - ab218192 observed at 16-18 kDa. Red - loading control ab8245 observed at 36 kDa.

ab218192 Anti-Niemann Pick C2 antibody [EPR19993-145-1] was shown to specifically react with Niemann Pick C2 in wild-type HEK-293T cells. Loss of signal was observed when knockout cell line ab266749 (knockout cell lysate ab258079) was used. Wild-type and Niemann Pick C2 knockout samples were subjected to SDS-PAGE. ab218192 and Anti-GAPDH antibody [6C5] - Loading Control (ab8245) were incubated overnight at 4°C at 1 in 1000 dilution and 1 in 20000 dilution respectively. Blots were developed with Goat anti-Rabbit IgG H&L (IRDye® 800CW) preadsorbed (ab216773) and Goat anti-Mouse IgG H&L (IRDye® 680RD) preadsorbed (ab216776) secondary antibodies at 1 in 20000 dilution for 1 hour at room temperature before imaging.

All lanes:

Western blot - Anti-Niemann Pick C2 antibody [EPR19993-145-1] (ab218192) at 1/1000 dilution

Lane 1:

Wild-type HEK-293T (Human epithelial cell line from embryonic kidney transformed with large T antigen) whole cell lysate at 20 µg

Lane 2:

NPC2 knockout HEK-293T (Human epithelial cell line from embryonic kidney transformed with large T antigen) whole cell lysate at 20 µg

Lane 2:

Western blot - Human NPC2 (Niemann Pick C2) knockout HEK-293T cell line (<a href='/en-us/products/cell-lines/human-npc2-niemann-pick-c2-knockout-hek-293t-cell-line-ab266749'>ab266749</a>)

Lane 3:

HepG2 (Human liver hepatocellular carcinoma cell line) whole cell lysate at 20 µg

Secondary

All lanes:

Western blot - Goat anti-Rabbit IgG H&L (IRDye® 800CW) preadsorbed (<a href='/en-us/products/secondary-antibodies/goat-rabbit-igg-h-l-irdye-800cw-preadsorbed-ab216773'>ab216773</a>) at 1/10000 dilution

Predicted band size: 17 kDa

Observed band size: 16-18 kDa

false

Western blot - Anti-Niemann Pick C2 antibody [EPR19993-145-1] (AB218192)
  • WB

Supplier Data

Western blot - Anti-Niemann Pick C2 antibody [EPR19993-145-1] (AB218192)

Blocking/Dilution buffer : 5% NFDM/TBST.

Niemann Pick C2 can be glycosylated, the WB pattern is consistent with references PMID : 16374838; PMID : 22183894.

All lanes:

Western blot - Anti-Niemann Pick C2 antibody [EPR19993-145-1] (ab218192) at 1/2000 dilution

Lane 1:

C6 (Rat glial tumor cell line) whole cell lysate at 10 µg

Lane 2:

RAW 264.7 (Mouse macrophage cell line transformed with Abelson murine leukemia virus) whole cell lysate at 10 µg

Lane 3:

PC-12 (Rat adrenal gland pheochromocytoma cell line) whole cell lysate at 10 µg

Lane 4:

NIH/3T3 (Mouse embryonic fibroblast cell line) whole cell lysate at 10 µg

Secondary

All lanes:

Western blot - Goat Anti-Rabbit IgG H&L (HRP) (<a href='/en-us/products/secondary-antibodies/goat-rabbit-igg-h-l-hrp-ab97051'>ab97051</a>) at 1/100000 dilution

Predicted band size: 17 kDa

Observed band size: 16-18 kDa

false

Exposure time: 10s

  • Carrier free

    Anti-Niemann Pick C2 antibody [EPR19993-145-1] - BSA and Azide free

Key facts

Host species

Rabbit

Clonality

Monoclonal

Clone number

EPR19993-145-1

Isotype

IgG

Carrier free

No

Reacts with

Mouse, Rat, Human

Applications

ICC/IF, WB, Flow Cyt (Intra), IHC-P

applications

Immunogen

The exact immunogen used to generate this antibody is proprietary information.

Reactivity data

{ "title": "Reactivity Data", "filters": { "stats": ["", "Species", "Dilution Info", "Notes"], "tabs": { "all-applications": {"fullname" : "All Applications", "shortname": "All Applications"}, "WB" : {"fullname" : "Western blot", "shortname":"WB"}, "ICCIF" : {"fullname" : "Immunocytochemistry/ Immunofluorescence", "shortname":"ICC/IF"}, "FlowCytIntra" : {"fullname" : "Flow Cytometry (Intracellular)", "shortname":"Flow Cyt (Intra)"}, "IHCP" : {"fullname" : "Immunohistochemistry (Formalin/PFA-fixed paraffin-embedded sections)", "shortname":"IHC-P"} }, "product-promise": { "all": "all", "testedAndGuaranteed": "tested", "guaranteed": "expected", "predicted": "predicted", "notRecommended": "not-recommended" } }, "values": { "Human": { "WB-species-checked": "testedAndGuaranteed", "WB-species-dilution-info": "1/2000", "WB-species-notes": "<p></p>", "ICCIF-species-checked": "testedAndGuaranteed", "ICCIF-species-dilution-info": "1/1000", "ICCIF-species-notes": "<p></p>", "FlowCytIntra-species-checked": "testedAndGuaranteed", "FlowCytIntra-species-dilution-info": "1/70", "FlowCytIntra-species-notes": "<p></p>", "IHCP-species-checked": "testedAndGuaranteed", "IHCP-species-dilution-info": "1/8000", "IHCP-species-notes": "<p></p>" }, "Mouse": { "WB-species-checked": "testedAndGuaranteed", "WB-species-dilution-info": "1/2000", "WB-species-notes": "<p></p>", "ICCIF-species-checked": "testedAndGuaranteed", "ICCIF-species-dilution-info": "1/1000", "ICCIF-species-notes": "<p></p>", "FlowCytIntra-species-checked": "testedAndGuaranteed", "FlowCytIntra-species-dilution-info": "1/70", "FlowCytIntra-species-notes": "<p></p>", "IHCP-species-checked": "testedAndGuaranteed", "IHCP-species-dilution-info": "1/8000", "IHCP-species-notes": "<p></p>" }, "Rat": { "WB-species-checked": "testedAndGuaranteed", "WB-species-dilution-info": "1/2000", "WB-species-notes": "<p></p>", "ICCIF-species-checked": "guaranteed", "ICCIF-species-dilution-info": "", "ICCIF-species-notes": "", "FlowCytIntra-species-checked": "guaranteed", "FlowCytIntra-species-dilution-info": "", "FlowCytIntra-species-notes": "", "IHCP-species-checked": "testedAndGuaranteed", "IHCP-species-dilution-info": "1/8000", "IHCP-species-notes": "<p></p>" } } }

Product details

Patented technology
Our RabMAb® technology is a patented hybridoma-based technology for making rabbit monoclonal antibodies. For details on our patents, please refer to RabMAb® patents.

What are the advantages of a recombinant monoclonal antibody?
This product is a recombinant monoclonal antibody, which offers several advantages including:

  • - High batch-to-batch consistency and reproducibility
  • - Improved sensitivity and specificity
  • - Long-term security of supply
  • - Animal-free batch production

For more information, read more on recombinant antibodies.

Properties and storage information

Form
Liquid
Purification technique
Affinity purification Protein A
Storage buffer
pH: 7.2 - 7.4 Preservative: 0.01% Sodium azide Constituents: PBS, 40% Glycerol (glycerin, glycerine), 0.05% BSA
Shipped at conditions
Blue Ice
Appropriate short-term storage duration
1-2 weeks
Appropriate short-term storage conditions
+4°C
Appropriate long-term storage conditions
-20°C
Aliquoting information
Upon delivery aliquot
Storage information
Avoid freeze / thaw cycle

Supplementary information

This supplementary information is collated from multiple sources and compiled automatically.

The Niemann Pick C2 protein (NPC2) is a small intracellular cholesterol transport protein weighing approximately 16 kDa. Alternately referred to as "NPC2 protein" or "NPC 293" it binds with lipids and is predominantly expressed in the lysosome. This protein plays a critical role in the intracellular lipid transport process. NPC2 forms part of a family of proteins tasked with moving cholesterol and other related lipids within lysosomal compartments.
Biological function summary

NPC2 protein facilitates the transfer of cholesterol from lysosomes to other parts of the cell. It operates in tandem with its partner protein Niemann Pick C1 (NPC1) to mediate the egress of cholesterol. The NPC2 protein docks to NPC1 within the lysosomal membrane forming an essential complex in lipid transport. This function is pivotal for the maintenance of cellular cholesterol homeostasis influencing various cellular and systemic functions linked to cholesterol metabolism.

Pathways

NPC2 protein participates prominently in the cholesterol efflux pathways. It associates with the NPC1 protein to regulate the movement of cholesterol from the lysosomal membrane to cytoplasmic areas where it can be utilized or stored. This pathway links NPC2 to significant biological processes like the homeostasis of lipoprotein-derived cholesterol influencing the SREBP pathway which governs lipid synthesis and uptake. Such interactions highlight NPC2's involvement in regulating cellular lipid balance.

NPC2 protein dysfunction notably links to Niemann-Pick disease type C a lipid storage disorder. Mutations in the genes encoding NPC2 or NPC1 disrupt cholesterol transportation leading to abnormal lipid accumulation and progressive neurodegeneration. Additionally this protein's dysregulation is indirectly connected to atherosclerosis as such disruptions can result in altered cellular cholesterol management highlighting its interaction with proteins involved in cardiovascular diseases.

Product protocols

For this product, it's our understanding that no specific protocols are required. You can visit:

Target data

Intracellular cholesterol transporter which acts in concert with NPC1 and plays an important role in the egress of cholesterol from the lysosomal compartment (PubMed : 11125141, PubMed : 15937921, PubMed : 17018531, PubMed : 18772377, PubMed : 29580834). Unesterified cholesterol that has been released from LDLs in the lumen of the late endosomes/lysosomes is transferred by NPC2 to the cholesterol-binding pocket in the N-terminal domain of NPC1 (PubMed : 17018531, PubMed : 18772377, PubMed : 27238017). May bind and mobilize cholesterol that is associated with membranes (PubMed : 18823126). NPC2 binds cholesterol with a 1 : 1 stoichiometry (PubMed : 17018531). Can bind a variety of sterols, including lathosterol, desmosterol and the plant sterols stigmasterol and beta-sitosterol (PubMed : 17018531). The secreted form of NCP2 regulates biliary cholesterol secretion via stimulation of ABCG5/ABCG8-mediated cholesterol transport (By similarity).
See full target information NPC2

Publications (1)

Recent publications for all applications. Explore the full list and refine your search

Nature communications 10:3521 PubMed31387993

2019

Lysosomal integral membrane protein-2 (LIMP-2/SCARB2) is involved in lysosomal cholesterol export.

Applications

Unspecified application

Species

Unspecified reactive species

Saskia Heybrock,Kristiina Kanerva,Ying Meng,Chris Ing,Anna Liang,Zi-Jian Xiong,Xialian Weng,Young Ah Kim,Richard Collins,William Trimble,Régis Pomès,Gilbert G Privé,Wim Annaert,Michael Schwake,Joerg Heeren,Renate Lüllmann-Rauch,Sergio Grinstein,Elina Ikonen,Paul Saftig,Dante Neculai
View all publications

Product promise

We are committed to supporting your work with high-quality reagents, and we're here for you every step of the way. In the unlikely event that one of our products does not perform as expected, you're protected by our Product Promise.
For full details, please see our Terms & Conditions

Please note: All products are 'FOR RESEARCH USE ONLY. NOT FOR USE IN DIAGNOSTIC OR THERAPEUTIC PROCEDURES'.

For licensing inquiries, please contact partnerships@abcam.com