JavaScript is disabled in your browser. Please enable JavaScript to view this website.
AB271975

Anti-Niemann Pick C2 antibody [EPR19993] - BSA and Azide free

Be the first to review this product! Submit a review

|

(0 Publication)

Rabbit Recombinant Monoclonal Niemann Pick C2 antibody. Carrier free. Suitable for WB, IHC-P and reacts with Mouse, Rat, Human samples.

View Alternative Names

HE1, NPC2, NPC intracellular cholesterol transporter 2, Epididymal secretory protein E1, Human epididymis-specific protein 1, Niemann-Pick disease type C2 protein, He1

4 Images
Immunohistochemistry (Formalin/PFA-fixed paraffin-embedded sections) - Anti-Niemann Pick C2 antibody [EPR19993] - BSA and Azide free (AB271975)
  • IHC-P

Supplier Data

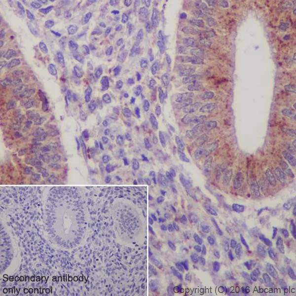
Immunohistochemistry (Formalin/PFA-fixed paraffin-embedded sections) - Anti-Niemann Pick C2 antibody [EPR19993] - BSA and Azide free (AB271975)

Immunohistochemical analysis of paraffin-embedded human endometrium cancer tissue labeling Niemann Pick C2 with ab207158 at 1/4000 dilution, followed by Goat Anti-Rabbit IgG H&L (HRP) (ab97051) at 1/500 dilution. Cytoplasmic staining on human endometrium cancer is observed. Counter stained with Hematoxylin.

Secondary antibody only control : Used PBS instead of primary antibody, secondary antibody is Goat Anti-Rabbit IgG H&L (HRP) (ab97051) at 1/500 dilution.

Perform heat mediated antigen retrieval with Tris/EDTA buffer pH 9.0 before commencing with IHC staining protocol.

This data was developed using the same antibody clone in a different buffer formulation containing PBS, BSA, glycerol, and sodium azide (ab207158).

Immunohistochemistry (Formalin/PFA-fixed paraffin-embedded sections) - Anti-Niemann Pick C2 antibody [EPR19993] - BSA and Azide free (AB271975)
  • IHC-P

Supplier Data

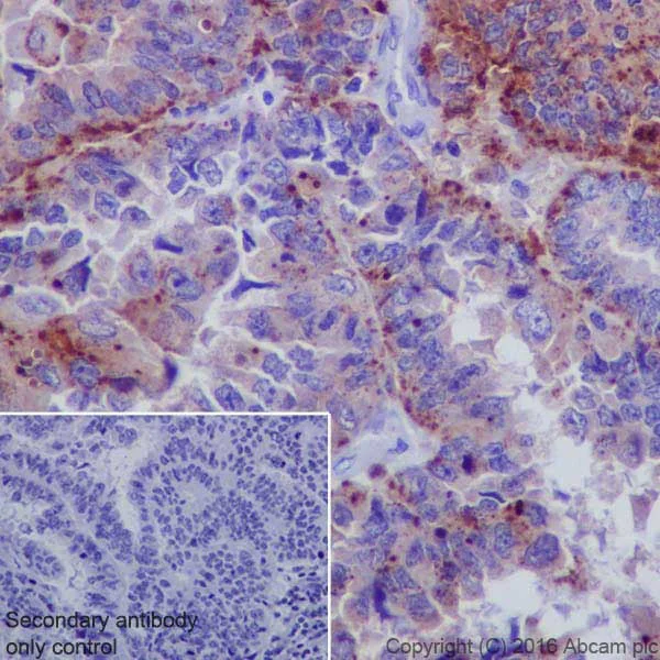
Immunohistochemistry (Formalin/PFA-fixed paraffin-embedded sections) - Anti-Niemann Pick C2 antibody [EPR19993] - BSA and Azide free (AB271975)

Immunohistochemical analysis of paraffin-embedded human endometrium tissue labeling Niemann Pick C2 with ab207158 at 1/4000 dilution, followed by Goat Anti-Rabbit IgG H&L (HRP) (ab97051) at 1/500 dilution. Cytoplasmic staining on human endometrium is observed. Counter stained with Hematoxylin.

Secondary antibody only control : Used PBS instead of primary antibody, secondary antibody is Goat Anti-Rabbit IgG H&L (HRP) (ab97051) at 1/500 dilution.

Perform heat mediated antigen retrieval with Tris/EDTA buffer pH 9.0 before commencing with IHC staining protocol.

This data was developed using the same antibody clone in a different buffer formulation containing PBS, BSA, glycerol, and sodium azide (ab207158).

Immunohistochemistry (Formalin/PFA-fixed paraffin-embedded sections) - Anti-Niemann Pick C2 antibody [EPR19993] - BSA and Azide free (AB271975)
  • IHC-P

Supplier Data

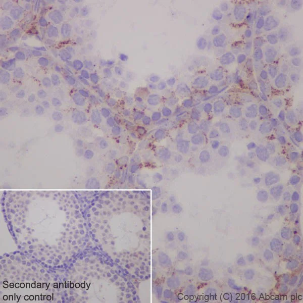
Immunohistochemistry (Formalin/PFA-fixed paraffin-embedded sections) - Anti-Niemann Pick C2 antibody [EPR19993] - BSA and Azide free (AB271975)

Immunohistochemical analysis of paraffin-embedded mouse testis tissue labeling Niemann Pick C2 with ab207158 at 1/4000 dilution, followed by Goat Anti-Rabbit IgG H&L (HRP) (ab97051) at 1/500 dilution. Cytoplasmic staining on mouse testis is observed. Counter stained with Hematoxylin.

Secondary antibody only control : Used PBS instead of primary antibody, secondary antibody is Goat Anti-Rabbit IgG H&L (HRP) (ab97051) at 1/500 dilution.

Perform heat mediated antigen retrieval with Tris/EDTA buffer pH 9.0 before commencing with IHC staining protocol.

This data was developed using the same antibody clone in a different buffer formulation containing PBS, BSA, glycerol, and sodium azide (ab207158).

Immunohistochemistry (Formalin/PFA-fixed paraffin-embedded sections) - Anti-Niemann Pick C2 antibody [EPR19993] - BSA and Azide free (AB271975)
  • IHC-P

Supplier Data

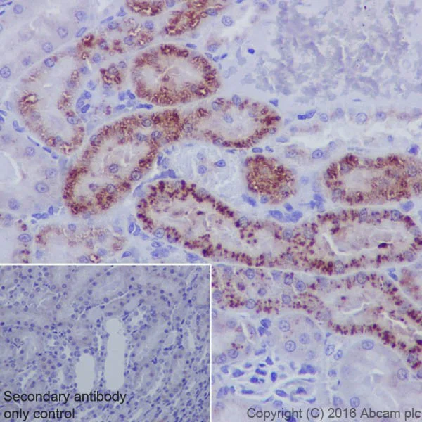
Immunohistochemistry (Formalin/PFA-fixed paraffin-embedded sections) - Anti-Niemann Pick C2 antibody [EPR19993] - BSA and Azide free (AB271975)

Immunohistochemical analysis of paraffin-embedded rat kidney tissue labeling Niemann Pick C2 with ab207158 at 1/4000 dilution, followed by Goat Anti-Rabbit IgG H&L (HRP) (ab97051) at 1/500 dilution. Cytoplasmic staining on rat kidney is observed. Counter stained with Hematoxylin.

Secondary antibody only control : Used PBS instead of primary antibody, secondary antibody is Goat Anti-Rabbit IgG H&L (HRP) (ab97051) at 1/500 dilution.

Perform heat mediated antigen retrieval with Tris/EDTA buffer pH 9.0 before commencing with IHC staining protocol.

This data was developed using the same antibody clone in a different buffer formulation containing PBS, BSA, glycerol, and sodium azide (ab207158).

  • Unconjugated

    Anti-Niemann Pick C2 antibody [EPR19993]

  • Carrier free

    Anti-Niemann Pick C2 antibody [EPR19993] - Low endotoxin, Azide free

Key facts

Host species

Rabbit

Clonality

Monoclonal

Clone number

EPR19993

Isotype

IgG

Carrier free

Yes

Reacts with

Mouse, Rat, Human

Applications

IHC-P, WB

applications

Immunogen

The exact immunogen used to generate this antibody is proprietary information.

Reactivity data

{ "title": "Reactivity Data", "filters": { "stats": ["", "Species", "Dilution Info", "Notes"], "tabs": { "all-applications": {"fullname" : "All Applications", "shortname": "All Applications"}, "WB" : {"fullname" : "Western blot", "shortname":"WB"}, "IHCP" : {"fullname" : "Immunohistochemistry (Formalin/PFA-fixed paraffin-embedded sections)", "shortname":"IHC-P"} }, "product-promise": { "all": "all", "testedAndGuaranteed": "tested", "guaranteed": "expected", "predicted": "predicted", "notRecommended": "not-recommended" } }, "values": { "Human": { "WB-species-checked": "guaranteed", "WB-species-dilution-info": "", "WB-species-notes": "<p></p>", "IHCP-species-checked": "testedAndGuaranteed", "IHCP-species-dilution-info": "", "IHCP-species-notes": "<p><a href='/en-us/products/buffers/antigen-retrieval-buffer-100x-tris-edta-buffer-ph-90-ab93684'>ab93684</a> can be used for antigen retrieval buffer.</p>" }, "Mouse": { "WB-species-checked": "guaranteed", "WB-species-dilution-info": "", "WB-species-notes": "<p></p>", "IHCP-species-checked": "predicted", "IHCP-species-dilution-info": "", "IHCP-species-notes": "" }, "Rat": { "WB-species-checked": "guaranteed", "WB-species-dilution-info": "", "WB-species-notes": "<p></p>", "IHCP-species-checked": "predicted", "IHCP-species-dilution-info": "", "IHCP-species-notes": "" } } }

Product details

ab271975 is the carrier-free version of ab207158.

Patented technology
Our RabMAb® technology is a patented hybridoma-based technology for making rabbit monoclonal antibodies. For details on our patents, please refer to RabMAb® patents.

What are the advantages of a recombinant monoclonal antibody?
This product is a recombinant monoclonal antibody, which offers several advantages including:

  • - High batch-to-batch consistency and reproducibility
  • - Improved sensitivity and specificity
  • - Long-term security of supply
  • - Animal-free batch production

For more information, read more on recombinant antibodies.

Conjugation ready
Our carrier-free antibodies are typically supplied in a PBS-only formulation, purified and free of BSA, sodium azide and glycerol. This conjugation-ready format is designed for use with fluorochromes, metal isotopes, oligonucleotides, and enzymes, which makes them ideal for antibody labelling, functional and cell-based assays, flow-based assays (e.g. mass cytometry) and Multiplex Imaging applications.

Use our conjugation kits for antibody conjugates that are ready-to-use in as little as 20 minutes with 1 minute hands-on-time and 100% antibody recovery: available for fluorescent dyes, HRP, biotin and gold.

Compatibility
This product is compatible with the Maxpar® Antibody Labeling Kit from Fluidigm, without the need for antibody preparation. Maxpar® is a trademark of Fluidigm Canada Inc.

Properties and storage information

Form
Liquid
Purification technique
Affinity purification Protein A
Storage buffer
pH: 7.2 - 7.4 Constituents: PBS
Shipped at conditions
Blue Ice
Appropriate short-term storage conditions
+4°C
Appropriate long-term storage conditions
+4°C
Storage information
Do Not Freeze

Supplementary information

This supplementary information is collated from multiple sources and compiled automatically.

The Niemann Pick C2 protein (NPC2) is a small intracellular cholesterol transport protein weighing approximately 16 kDa. Alternately referred to as "NPC2 protein" or "NPC 293" it binds with lipids and is predominantly expressed in the lysosome. This protein plays a critical role in the intracellular lipid transport process. NPC2 forms part of a family of proteins tasked with moving cholesterol and other related lipids within lysosomal compartments.
Biological function summary

NPC2 protein facilitates the transfer of cholesterol from lysosomes to other parts of the cell. It operates in tandem with its partner protein Niemann Pick C1 (NPC1) to mediate the egress of cholesterol. The NPC2 protein docks to NPC1 within the lysosomal membrane forming an essential complex in lipid transport. This function is pivotal for the maintenance of cellular cholesterol homeostasis influencing various cellular and systemic functions linked to cholesterol metabolism.

Pathways

NPC2 protein participates prominently in the cholesterol efflux pathways. It associates with the NPC1 protein to regulate the movement of cholesterol from the lysosomal membrane to cytoplasmic areas where it can be utilized or stored. This pathway links NPC2 to significant biological processes like the homeostasis of lipoprotein-derived cholesterol influencing the SREBP pathway which governs lipid synthesis and uptake. Such interactions highlight NPC2's involvement in regulating cellular lipid balance.

NPC2 protein dysfunction notably links to Niemann-Pick disease type C a lipid storage disorder. Mutations in the genes encoding NPC2 or NPC1 disrupt cholesterol transportation leading to abnormal lipid accumulation and progressive neurodegeneration. Additionally this protein's dysregulation is indirectly connected to atherosclerosis as such disruptions can result in altered cellular cholesterol management highlighting its interaction with proteins involved in cardiovascular diseases.

Product protocols

For this product, it's our understanding that no specific protocols are required. You can visit:

Target data

Intracellular cholesterol transporter which acts in concert with NPC1 and plays an important role in the egress of cholesterol from the lysosomal compartment (PubMed : 11125141, PubMed : 15937921, PubMed : 17018531, PubMed : 18772377, PubMed : 29580834). Unesterified cholesterol that has been released from LDLs in the lumen of the late endosomes/lysosomes is transferred by NPC2 to the cholesterol-binding pocket in the N-terminal domain of NPC1 (PubMed : 17018531, PubMed : 18772377, PubMed : 27238017). May bind and mobilize cholesterol that is associated with membranes (PubMed : 18823126). NPC2 binds cholesterol with a 1 : 1 stoichiometry (PubMed : 17018531). Can bind a variety of sterols, including lathosterol, desmosterol and the plant sterols stigmasterol and beta-sitosterol (PubMed : 17018531). The secreted form of NCP2 regulates biliary cholesterol secretion via stimulation of ABCG5/ABCG8-mediated cholesterol transport (By similarity).
See full target information NPC2

Product promise

We are committed to supporting your work with high-quality reagents, and we're here for you every step of the way. In the unlikely event that one of our products does not perform as expected, you're protected by our Product Promise.
For full details, please see our Terms & Conditions

Please note: All products are 'FOR RESEARCH USE ONLY. NOT FOR USE IN DIAGNOSTIC OR THERAPEUTIC PROCEDURES'.

For licensing inquiries, please contact partnerships@abcam.com