JavaScript is disabled in your browser. Please enable JavaScript to view this website.
AB211871

Anti-NIFK antibody [CL2240] - Nucleolar Marker

5

(1 Review)

|

(1 Publication)

Mouse Monoclonal NIFK antibody. Nucleolus marker. Suitable for IHC-P, ICC/IF and reacts with Human samples. Cited in 1 publication. Immunogen corresponding to Recombinant Fragment Protein within Human NIFK aa 150 to C-terminus.

View Alternative Names

MKI67IP, NOPP34, NIFK, MKI67 FHA domain-interacting nucleolar phosphoprotein, Nucleolar phosphoprotein Nopp34, Nucleolar protein interacting with the FHA domain of pKI-67, hNIFK

11 Images
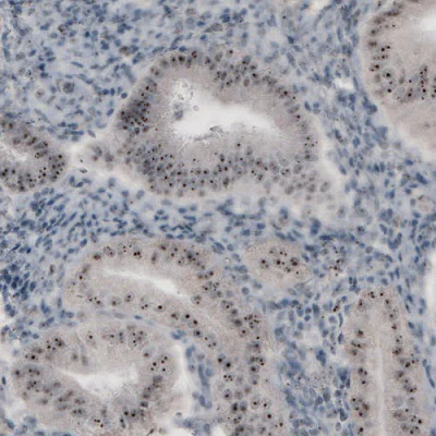
Immunohistochemistry (Formalin/PFA-fixed paraffin-embedded sections) - Anti-NIFK antibody [CL2240] - Nucleolar Marker (AB211871)
  • IHC-P

Supplier Data

Immunohistochemistry (Formalin/PFA-fixed paraffin-embedded sections) - Anti-NIFK antibody [CL2240] - Nucleolar Marker (AB211871)

Immunohistochemical analysis of formalin fixed, paraffin-embedded Human prostate tissue labeling NIFK with ab211871 at 1/200 dilution.

Immunohistochemistry (Formalin/PFA-fixed paraffin-embedded sections) - Anti-NIFK antibody [CL2240] - Nucleolar Marker (AB211871)
  • IHC-P

Supplier Data

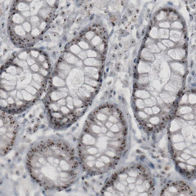
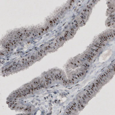
Immunohistochemistry (Formalin/PFA-fixed paraffin-embedded sections) - Anti-NIFK antibody [CL2240] - Nucleolar Marker (AB211871)

Immunohistochemical analysis of formalin fixed, paraffin-embedded Human rectum tissue labeling NIFK with ab211871 at 1/200 dilution.

Immunohistochemistry (Formalin/PFA-fixed paraffin-embedded sections) - Anti-NIFK antibody [CL2240] - Nucleolar Marker (AB211871)
  • IHC-P

Supplier Data

Immunohistochemistry (Formalin/PFA-fixed paraffin-embedded sections) - Anti-NIFK antibody [CL2240] - Nucleolar Marker (AB211871)

Immunohistochemical analysis of formalin fixed, paraffin-embedded Human endometrium tissue labeling NIFK with ab211871 at 1/200 dilution.

Immunocytochemistry/ Immunofluorescence - Anti-NIFK antibody [CL2240] - Nucleolar Marker (AB211871)
  • ICC/IF

Supplier Data

Immunocytochemistry/ Immunofluorescence - Anti-NIFK antibody [CL2240] - Nucleolar Marker (AB211871)

Immunofluorescent analysis of formalin fixed, Triton X-100 permealized U2OS cells labeling NIFK with ab211871 at 4 μg/ml dilution showing specific staining of nucleoli in green. Microtubules are visualized in red.

Immunocytochemistry/ Immunofluorescence - Anti-NIFK antibody [CL2240] - Nucleolar Marker (AB211871)
  • ICC/IF

Supplier Data

Immunocytochemistry/ Immunofluorescence - Anti-NIFK antibody [CL2240] - Nucleolar Marker (AB211871)

Immunofluorescent analysis of formalin fixed, Triton X-100 permealized A431 cells labeling NIFK with ab211871 at 4 μg/ml dilution showing specific staining of nucleoli in green. Microtubules are visualized in red.

Immunocytochemistry/ Immunofluorescence - Anti-NIFK antibody [CL2240] - Nucleolar Marker (AB211871)
  • ICC/IF

Supplier Data

Immunocytochemistry/ Immunofluorescence - Anti-NIFK antibody [CL2240] - Nucleolar Marker (AB211871)

Immunofluorescent analysis of formalin fixed, Triton X-100 permealized U251 cells labeling NIFK with ab211871 at 4 μg/ml dilution showing specific staining of nucleoli in green. Microtubules are visualized in red.

Immunocytochemistry/ Immunofluorescence - Anti-NIFK antibody [CL2240] - Nucleolar Marker (AB211871)
  • ICC/IF

Supplier Data

Immunocytochemistry/ Immunofluorescence - Anti-NIFK antibody [CL2240] - Nucleolar Marker (AB211871)

Immunofluorescent analysis of formalin fixed, Triton X-100 permealized MCF7 cells labeling NIFK with ab211871 at 4 μg/ml dilution showing specific staining of nucleoli in green. Microtubules are visualized in red.

Immunohistochemistry (Formalin/PFA-fixed paraffin-embedded sections) - Anti-NIFK antibody [CL2240] - Nucleolar Marker (AB211871)
  • IHC-P

Supplier Data

Immunohistochemistry (Formalin/PFA-fixed paraffin-embedded sections) - Anti-NIFK antibody [CL2240] - Nucleolar Marker (AB211871)

Immunohistochemical analysis of formalin fixed, paraffin-embedded Human cervix tissue labeling NIFK with ab211871 at 1/200 dilution.

Immunocytochemistry/ Immunofluorescence - Anti-NIFK antibody [CL2240] - Nucleolar Marker (AB211871)
  • ICC/IF

Supplier Data

Immunocytochemistry/ Immunofluorescence - Anti-NIFK antibody [CL2240] - Nucleolar Marker (AB211871)

Immunofluorescent analysis of formalin fixed, Triton X-100 permealized HeLa cells labeling NIFK with ab211871 at 4 μg/ml dilution showing specific staining of nucleoli in green. Microtubules are visualized in red.

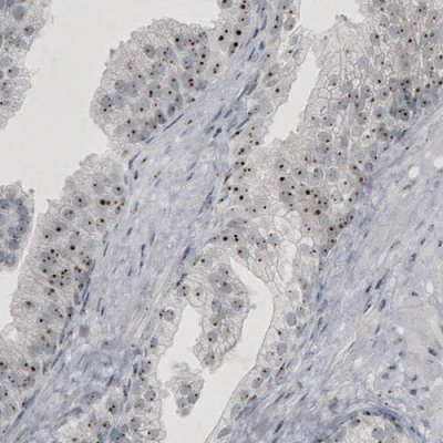
Immunohistochemistry (Formalin/PFA-fixed paraffin-embedded sections) - Anti-NIFK antibody [CL2240] - Nucleolar Marker (AB211871)
  • IHC-P

Supplier Data

Immunohistochemistry (Formalin/PFA-fixed paraffin-embedded sections) - Anti-NIFK antibody [CL2240] - Nucleolar Marker (AB211871)

Immunohistochemical analysis of formalin fixed, paraffin-embedded Human kidney tissue labeling NIFK with ab211871 at 1/200 dilution.

Immunohistochemistry (Formalin/PFA-fixed paraffin-embedded sections) - Anti-NIFK antibody [CL2240] - Nucleolar Marker (AB211871)
  • IHC-P

Supplier Data

Immunohistochemistry (Formalin/PFA-fixed paraffin-embedded sections) - Anti-NIFK antibody [CL2240] - Nucleolar Marker (AB211871)

Immunohistochemical analysis of formalin fixed, paraffin-embedded Human fallopian tube tissue labeling NIFK with ab211871 at 1/200 dilution.

Key facts

Host species

Mouse

Clonality

Monoclonal

Clone number

CL2240

Isotype

IgG2a

Carrier free

No

Reacts with

Human

Applications

ICC/IF, IHC-P

applications

Immunogen

Recombinant Fragment Protein within Human NIFK aa 150 to C-terminus. The exact immunogen used to generate this antibody is proprietary information.

Q9BYG3

Epitope

Binds to an epitope located within the peptide sequence KVSGTLDTPE (216-225aa) as determined by overlapping synthetic peptides.

Reactivity data

{ "title": "Reactivity Data", "filters": { "stats": ["", "Species", "Dilution Info", "Notes"], "tabs": { "all-applications": {"fullname" : "All Applications", "shortname": "All Applications"}, "IHCP" : {"fullname" : "Immunohistochemistry (Formalin/PFA-fixed paraffin-embedded sections)", "shortname":"IHC-P"}, "ICCIF" : {"fullname" : "Immunocytochemistry/ Immunofluorescence", "shortname":"ICC/IF"} }, "product-promise": { "all": "all", "testedAndGuaranteed": "tested", "guaranteed": "expected", "predicted": "predicted", "notRecommended": "not-recommended" } }, "values": { "Human": { "IHCP-species-checked": "testedAndGuaranteed", "IHCP-species-dilution-info": "1/200 - 1/500", "IHCP-species-notes": "<p></p> Perform heat-mediated antigen retrieval with citrate buffer pH 6 before commencing with IHC staining protocol.", "ICCIF-species-checked": "testedAndGuaranteed", "ICCIF-species-dilution-info": "2-10 µg/mL", "ICCIF-species-notes": "<p></p>" } } }

Properties and storage information

Form
Liquid
Purification technique
Affinity purification Protein A
Storage buffer
pH: 7.2 Preservative: 0.02% Sodium azide Constituents: PBS, 40% Glycerol (glycerin, glycerine)
Shipped at conditions
Blue Ice
Appropriate short-term storage duration
1-2 weeks
Appropriate short-term storage conditions
+4°C
Appropriate long-term storage conditions
-20°C
Aliquoting information
Upon delivery aliquot
Storage information
Avoid freeze / thaw cycle

Product protocols

For this product, it's our understanding that no specific protocols are required. You can visit:

Publications (1)

Recent publications for all applications. Explore the full list and refine your search

Canadian journal of gastroenterology & hepatology 2025:5209381 PubMed41031049

2025

TSPAN7 Functions as an Antitumor Agent Through the STK11/AMPK/mTOR Axis in Colorectal Cancer.

Applications

Unspecified application

Species

Unspecified reactive species

Tao Weng,Fenfen Hong
View all publications

Product promise

We are committed to supporting your work with high-quality reagents, and we're here for you every step of the way. In the unlikely event that one of our products does not perform as expected, you're protected by our Product Promise.
For full details, please see our Terms & Conditions

Please note: All products are 'FOR RESEARCH USE ONLY. NOT FOR USE IN DIAGNOSTIC OR THERAPEUTIC PROCEDURES'.

For licensing inquiries, please contact partnerships@abcam.com