JavaScript is disabled in your browser. Please enable JavaScript to view this website.
AB7048

Anti-Nitrotyrosine antibody [HM.11]

5

(13 Reviews)

|

(84 Publications)

Mouse Monoclonal Nitrotyrosine antibody. Suitable for IHC-P, IHC-Fr and reacts with Synthetic peptide, Modified Amino Acid samples. Cited in 84 publications.
1 Images
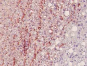
Immunohistochemistry (Formalin/PFA-fixed paraffin-embedded sections) - Anti-Nitrotyrosine antibody [HM.11] (AB7048)
  • IHC-P

Unknown

Immunohistochemistry (Formalin/PFA-fixed paraffin-embedded sections) - Anti-Nitrotyrosine antibody [HM.11] (AB7048)

ab7048 at 2 μg/ml staining Nitrotyrosine in Human liver from a severely obese patient. ab7048 was incubated for 1 hour at room temperature.

Key facts

Host species

Mouse

Clonality

Monoclonal

Clone number

HM.11

Isotype

IgG2b

Carrier free

No

Applications

IHC-P, IHC-Fr

applications

Specificity

This antibody reacts with nitrotyrosine, both with the free amino acid as well as with proteins containing nitrotyrosine. The antibody does not recognize other antigens with a nitrotyrosine-like structure such as tyrosine, 3-chlorotyrosine, phosphotyrosine and phenylalanine.

Reactivity data

{ "title": "Reactivity Data", "filters": { "stats": ["", "Species", "Dilution Info", "Notes"], "tabs": { "all-applications": {"fullname" : "All Applications", "shortname": "All Applications"}, "IHCP" : {"fullname" : "Immunohistochemistry (Formalin/PFA-fixed paraffin-embedded sections)", "shortname":"IHC-P"}, "IHCFr" : {"fullname" : "Immunohistochemistry (Frozen sections)", "shortname":"IHC-Fr"} }, "product-promise": { "all": "all", "testedAndGuaranteed": "tested", "guaranteed": "expected", "predicted": "predicted", "notRecommended": "not-recommended" } }, "values": { "Modified Amino Acid": { "IHCP-species-checked": "notRecommended", "IHCP-species-dilution-info": "", "IHCP-species-notes": "", "IHCFr-species-checked": "guaranteed", "IHCFr-species-dilution-info": "", "IHCFr-species-notes": "<p>Acetone fixation 10 min -20 degree C; block endogenous peroxidase by 0.3 % H2O2 in PBS (or methanol for intracellular staining); block with 10% NGS or 5 % BSA for 30 min.</p>" }, "Synthetic peptide": { "IHCP-species-checked": "testedAndGuaranteed", "IHCP-species-dilution-info": "1/200 - 1/400", "IHCP-species-notes": "<p>10% formalin fixation; 3% H<sub>2</sub>O<sub>2</sub> to block endogenous peroxidases; Citrate buffer pH 6.0 for 1 min at 100°C as antigen retrieval treatment</p>", "IHCFr-species-checked": "notRecommended", "IHCFr-species-dilution-info": "", "IHCFr-species-notes": "" } } }

Properties and storage information

Form
Liquid
Purification technique
Affinity purification Protein G
Storage buffer
Constituents: PBS, 0.1% BSA
Shipped at conditions
Blue Ice
Appropriate short-term storage conditions
+4°C
Appropriate long-term storage conditions
-20°C
Aliquoting information
Upon delivery aliquot
Storage information
Avoid freeze / thaw cycle

Supplementary information

This supplementary information is collated from multiple sources and compiled automatically.

Nitrotyrosine also known as 3-nitrotyrosine is a marker for nitrosative stress and oxidative damage. It comes from the nitration of tyrosine an amino acid primarily through the action of reactive nitrogen species. Nitrotyrosine can be found in proteins and its molecular mass varies depending on the protein context. It is present across various tissues and fluid samples within the body particularly where high oxidative stress occurs.
Biological function summary

Nitrotyrosine acts as an indicator of cellular damage and protein modification due to stress conditions. When proteins have nitrotyrosine residues their function might change which can lead to cellular signaling disruption. Nitrotyrosine is not usually part of a specific complex but it affects proteins and enzymes by altering their activity and stability contributing to larger stress response mechanisms.

Pathways

Proteins modified by nitrotyrosine are involved in cellular pathways related to oxidative stress and inflammation. Particularly pathways like the nitric oxide synthase pathway and the inflammatory response pathway include nitrotyrosine-modified proteins. It is related to proteins such as nitric oxide synthase (NOS) and superoxide dismutase (SOD) important in managing oxidative balance and stress responses in cells.

Nitrotyrosine is significantly linked to diseases related to oxidative stress such as cardiovascular disease and neurodegenerative disorders. These conditions often have increased levels of nitrotyrosine indicating heightened oxidative damage. Through these diseases nitrotyrosine connects with proteins like amyloid-beta in neurodegenerative disorders and endothelial nitric oxide synthase (eNOS) in cardiovascular diseases reflecting the impact of oxidative stress on these proteins.

Product protocols

For this product, it's our understanding that no specific protocols are required. You can visit:

Publications (84)

Recent publications for all applications. Explore the full list and refine your search

Frontiers in pharmacology 16:1551533 PubMed40371343

2025

Resveratrol attenuates the priapism phenotype in sickle cell mice by restoring NO-cGMP-PDE5 signaling and reducing NADPH oxidase 2 expression.

Applications

Unspecified application

Species

Unspecified reactive species

Carolina Oliveira Splendore,Tammyris Helena Rebecchi Silveira,Dalila Andrade Pereira,Beatriz Pereira Bossarino,Mariana Gonçalves de Oliveira,Fabiano Beraldi Calmasini,Arthur L Burnett,Fernando Ferreira Costa,Fábio Henrique Silva

Frontiers in cellular neuroscience 19:1571428 PubMed40313591

2025

Chronic palmitoylethanolamide administration slow-release subcutaneous pellets promotes neuroprotection and mitigates neuroinflammation in the Tg2576 mouse model of Alzheimer's disease.

Applications

Unspecified application

Species

Unspecified reactive species

Daniel Tortolani,Davide Decandia,Giacomo Giacovazzo,Lucia Scipioni,Anna Panuccio,Francesca Ciaramellano,Fabiola Eugelio,Federico Fanti,Emanuele Claudio Latagliata,Livia La Barbera,Debora Cutuli,Dario Compagnone,Marcello D'Amelio,Roberto Coccurello,Sergio Oddi,Laura Petrosini,Mauro Maccarrone

International journal of molecular sciences 25: PubMed39409096

2024

3',4'-Dihydroxyflavonol Inhibits Fibrotic Response in a Rabbit Model of Glaucoma Filtration Surgery.

Applications

Unspecified application

Species

Unspecified reactive species

Zoe Pasvanis,Roy C K Kong,Manisha H Shah,Elsa C Chan,Jennifer C Fan Gaskin

International journal of molecular sciences 25: PubMed39126079

2024

Pyridoxamine Alleviates Cardiac Fibrosis and Oxidative Stress in Western Diet-Induced Prediabetic Rats.

Applications

Unspecified application

Species

Unspecified reactive species

Sarah D'Haese,Lisa Claes,Eva Jaeken,Dorien Deluyker,Lize Evens,Ellen Heeren,Sibren Haesen,Lotte Vastmans,Ivo Lambrichts,Kristiaan Wouters,Casper G Schalkwijk,Dominique Hansen,B O Eijnde,Virginie Bito

Journal of neuroimmune pharmacology : the official journal of the Society on NeuroImmune Pharmacology 19:36 PubMed39042202

2024

Semaglutide Attenuates Anxious and Depressive-Like Behaviors and Reverses the Cognitive Impairment in a Type 2 Diabetes Mellitus Mouse Model Via the Microbiota-Gut-Brain Axis.

Applications

Unspecified application

Species

Unspecified reactive species

Igor Henrique Rodrigues de Paiva,Rodrigo Soares da Silva,Ingrid Prata Mendonça,José Roberto Botelho de Souza,Christina Alves Peixoto

Neurobiology of disease 196:106506 PubMed38648865

2024

Dopamine‑iron homeostasis interaction rescues mitochondrial fitness in Parkinson's disease.

Applications

Unspecified application

Species

Unspecified reactive species

Chiara Buoso,Markus Seifert,Martin Lang,Corey M Griffith,Begoña Talavera Andújar,Maria Paulina Castelo Rueda,Christine Fischer,Carolina Doerrier,Heribert Talasz,Alessandra Zanon,Peter P Pramstaller,Emma L Schymanski,Irene Pichler,Guenter Weiss

Antioxidants (Basel, Switzerland) 13: PubMed38247537

2024

Pyridoxamine Limits Cardiac Dysfunction in a Rat Model of Doxorubicin-Induced Cardiotoxicity.

Applications

Unspecified application

Species

Unspecified reactive species

Sibren Haesen,Manon Marie Jager,Aline Brillouet,Iris de Laat,Lotte Vastmans,Eline Verghote,Anouk Delaet,Sarah D'Haese,Ibrahim Hamad,Markus Kleinewietfeld,Jeroen Mebis,Wilfried Mullens,Ivo Lambrichts,Esther Wolfs,Dorien Deluyker,Virginie Bito

Journal of translational medicine 21:799 PubMed37946197

2023

Pharmacological inhibition of the cysteine protease cathepsin C improves graft function after heart transplantation in rats.

Applications

Unspecified application

Species

Unspecified reactive species

Baoer Liu,Brice Korkmaz,Patricia Kraft,Tobias Mayer,Alex A Sayour,Marc A Grundl,Roxane Domain,Matthias Karck,Gábor Szabó,Sevil Korkmaz-Icöz

eLife 12: PubMed37267120

2023

Myoglobin-derived iron causes wound enlargement and impaired regeneration in pressure injuries of muscle.

Applications

Unspecified application

Species

Unspecified reactive species

Nurul Jannah Mohamed Nasir,Hans Heemskerk,Julia Jenkins,Nur Hidayah Hamadee,Ralph Bunte,Lisa Tucker-Kellogg

International journal of molecular sciences 23: PubMed36499244

2022

Acute Exposure to Glycated Proteins Impaired in the Endothelium-Dependent Aortic Relaxation: A Matter of Oxidative Stress.

Applications

Unspecified application

Species

Unspecified reactive species

Sarah D'Haese,Dorien Deluyker,Virginie Bito
View all publications

Product promise

We are committed to supporting your work with high-quality reagents, and we're here for you every step of the way. In the unlikely event that one of our products does not perform as expected, you're protected by our Product Promise.
For full details, please see our Terms & Conditions

Please note: All products are 'FOR RESEARCH USE ONLY. NOT FOR USE IN DIAGNOSTIC OR THERAPEUTIC PROCEDURES'.

For licensing inquiries, please contact partnerships@abcam.com